Background
. Treatment of acute ischemic stroke changes rapidly. The purpose of this article is to present current therapeutic options.
Material and methods.
The review is based on relevant literature found through a Medline search and on personal clinical experience.
Results
. Acute treatment of ischemic stroke encompasses specific therapy aimed at recanalising the occluded vessel (chemical or mechanical thrombolysis) and treatment aimed at protection from the cellular consequences of ischemia (neuroprotection). Acute treatment also encompasses general stabilisation of a critically ill patient; with focus on blood pressure, cardiovascular function, airways, breathing and metabolic disturbances such as hyperglycemia and hyperthermia. Time is a crucial single factor for treatment effect. A rapid chain of delivery and a well-functioning stroke unit are therefore necessary prerequisites for effective acute stroke treatment.
Interpretation.
Effective treatment of acute ischemic stroke is available and should whenever possible be evidence-based. Treatment based on experience and pathophysiological reasoning should be used when scientific evidence lacks.
Fellesnevneren for de fleste hjerneinfarkter er en cerebral arterieokklusjon med påfølgende cerebral iskemi, celleskade og irreversibel celledød. Behandling ved akutt hjerneinfarkt må derfor prinsipielt følge to hovedstrategier: en vaskulær og en cellulær (tab 1, fig 1, fig 2). I denne artikkelen gis det en oversikt over aktuelle behandlingsmuligheter ved akutt hjerneinfarkt.
Tabell 1
Oversikt over generelle og spesifikke behandlingsstrategier som kan være aktuelle i behandlingen av akutt hjerneinfarkt
| Strategi | Generell behandling | Spesifikk behandling |
| Vaskulær | Hemodynamisk stabilisering | Rekanaliserende behandling |
|
| |
| Cellulær | Fysiologisk homøostase | Nevroprotektiv behandling |
|
|
Materiale og metode
Artikkelen er basert på litteratur fremskaffet ved søk i Medline samt egen klinisk erfaring. I formuleringene av anbefalinger er det lagt vekt på oversiktsartikler og eksisterende kliniske retningslinjer (1) – (7).
Generell behandling
Ved den generelle behandlingen tar man sikte på å optimalisere fysiologiske forhold som ubehandlet vil kunne ha negativ innflytelse på hjerneinfarktet og dermed også på langtidsresultatet.
Blodtrykksbehandling
Behandling av blodtrykket i akuttfasen er omdiskutert og ikke avklart (8). Det er imidlertid enighet om at en blodtrykksreduksjon vanligvis må foretas forsiktig og at plutselige fall i blodtrykk bør unngås. Systolisk blodtrykk > 220 mm Hg eller diastolisk > 120 mm Hg som varer utover en time i slagenheten bør sannsynligvis behandles. Måltrykket initialt bør være 180/100 – 105 mm Hg hos pasienter med kjent hypertensjon og 160 – 180/90 – 100 mm Hg hos pasienter uten kjent hypertensjon (5). Pasienter med hypertensiv encefalopati, aortadisseksjon, akutt nyresvikt, akutt hjerteinfarkt eller lungeødem kan ha behov for sterkere og raskere blodtrykksbehandling. Der det er behov for rask blodtrykkssenkning, anbefales labetalol infusjon 0,5 – 2 mg/min – doseringen avhenger av blodtrykksresponsen. Det foreligger ikke spesielle anbefalinger vedrørende valg av orale antihypertensiver der det er behov for langsommere blodtrykkssenkning. Høyt blodtrykk kan være en følge av hjerneinfarktet eller skyldes smerter, overfylt urinblære eller angst. Årsaken må avklares.
Lavt blodtrykk ved akutt hjerneinfarkt er sjeldent. Initial behandling er væsketilførsel. Indusert blodtrykksøkning er vanligvis ikke indisert (9), men bør overveies hvis vaskulær diagnostikk viser multiple okklusjoner og fare for cerebral hypoperfusjon. Årsaker som aortadisseksjon eller hjertesvikt må imidlertid avklares.
Hjertefunksjon
Kardiologisk elektronisk overvåking kan være nyttig både diagnostisk (påvisning av EKG-forandringer eller paroksystisk atrieflimmer) og terapeutisk (monitorering av hjertearytmier som følge av hjerneinfarktet). Det er bred enighet om at pasienten bør tilkobles kardiovaskulær overvåking de første 24 – 48 timer etter sykdomsstart (2, 5), men dette må ikke hindre tidlig mobilisering. I Norge har slik overvåking vært anbefalt (10), andre har argumentert mot intensiv rutineovervåking (11). Medikamentell behandling av kardiologiske aspekter ved hjerneinfarkt ligger utenfor rammen av denne artikkelen.
Væske og elektrolytter
Man bør tilstrebe fysiologisk væskebalanse. Dehydrering er vanlig, spesielt hos eldre. Dehydrering kan gi redusert cerebral perfusjon og økt tromboserisiko, overhydrering kan føre til økt hjerneødem og også ha negative kardiale virkninger ved for eksempel hjertesvikt. Pasienter med hjerneinfarkt bør rutinemessig gis Ringer-acetat 1 000 ml intravenøst i løpet av første døgn, med individuell tilpasning ut fra pasientens eventuelle dehydreringsgrad. Intravenøs glukose bør unngås, og elektrolytter bør kontrolleres daglig de første døgnene (5).
Lungefunksjon og oksygenering
Pasientene bør monitoreres med pulsoksymetri. Det er vist at oksygentilskudd generelt ikke er nyttig ved akutt hjerneinfarkt (12), men hvis pulsoksymetri viser Oâ‚‚-metning < 95 % (2) eller < 92 % (5), bør imidlertid 2 – 4 l Oâ‚‚ per minutt gis over maske eller nesekateter. Det er ikke vist at hyperbar oksygenering har positiv effekt ved akutt hjerneinfarkt (13).
Temperatur
Hypertermi opptrer hyppig de første par døgn etter et hjerneinfarkt. Feber er assosiert med økt dødelighet, febersenkning med bedret prognose (14). Temperaturøkning kan være forårsaket av sentrale autonome forstyrrelser, men det må foretas en grundig klinisk gjennomgang for å kartlegge andre årsaker til feber. Uavhengig av årsaken bør man ved en temperatur ≥ 37,5 °C gi antipyretika, samtidig som en eventuell infeksjon bør behandles aggressivt.
Hypotermi synes i eksperimentelle og små kliniske studier å være assosiert med et gunstig klinisk resultat. Indusert hypotermi har imidlertid ingen plass i akutt slagbehandling ennå.
Blodglukose
Hypoglykemi kan forårsake fokalnevrologiske symptomer som kan mistolkes som hjerneinfarkt. Hyperglykemi er assosiert med et dårlig klinisk langtidsresultat både eksperimentelt og i kliniske serier (15, 16). Det foreligger ikke vitenskapelige data som beviser nytten av å tilstrebe normoglykemi, men allikevel anbefales det å senke forhøyet blodglukose. Det er ikke enighet om hvilket nivå man skal intervenere på eller hvor lavt blodsukkernivået bør senkes. Amerikanske retningslinjer (2) anbefaler å senke glukosenivået ved verdier over 16 – 17 mmol/l, mens man i europeiske retningslinjer (5) anbefaler behandling ved 10 mmol/l. Etter vår oppfatning bør man tilstrebe normoglykemi med et glukose-insulin-drypp.
Spesifikk behandling
Man tar sikte på å fjerne okklusjonen (trombolytisk behandling) og å beskytte hjernevevet (nevroprotektiv behandling) (tab 1). Tiltakene er uløselig knyttet til tiden mellom sykdomsstart og behandlingsstart (17) og dermed til organiseringen av behandlingskjeden utenfor og innenfor sykehuset. Behandlingen er også uløselig knyttet til adekvat radiologisk diagnostikk og adekvat overvåking og behandling i en slagenhet.
Intravenøs trombolytisk behandling
Intravenøs trombolytisk behandling med rekombinant vevsplasminogenaktivator (tPA) er effektivt ved akutt hjerneinfarkt innen tre timer etter sykdomsstart. Pasientene behandles med alteplase (Actilyse) 0,9 mg/kg, 10 % som bolusdose og resten som infusjon over en time. Randomiserte, kontrollerte studier har vist at behandling innen tre timer ga en signifikant reduksjon i antall pasienter som døde eller forble avhengige (OR 0,58; 95 % KI 0,46 – 0,74). Jo tidligere behandlingen blir gitt, desto større er sjansen for positiv effekt. En samleanalyse av individuelle pasientdata fra de randomiserte studiene bekrefter at trombolytisk behandling med tPA har en positiv effekt i alle fall i opptil 4,5 timer etter sykdomsstart, men at effekten ved senere behandlingsstart er mer usikker (18).
Etter EU-godkjenning av trombolytisk behandling i 2003 er den i økende grad tatt i bruk i daglig klinisk praksis. Over 5 000 pasienter er inkludert i det internasjonale trombolyseregisteret SITS-MOST (19). Resultatene i forhold til resultatene i de randomiserte, kontrollerte trombolysestudiene viser lavere blødningsrate (7,3 % versus 8,6 %) og lavere dødelighet (12,8 % versus 17 %), mens uavhengigheten (modifisert Rankin Scale 0 – 2) etter tre måneder er høyere (53,3 % versus 50 %). Dette viser at sikkerheten og effekten ved trombolytisk behandling i daglig praksis tilsvarer det man oppnådde i de randomiserte studiene.
En risiko ved trombolytisk behandling er hemoragisk transformasjon av hjerneinfarktet. Småblødninger (hemoragisk infarkt) er vanligvis tegn på vellykket rekanalisering og er assosiert med godt langtidsresultat (20). Større blødninger (parenkymatøst hematom) er vanligvis assosiert med klinisk forverring og dårlig langtidsresultat og opptrer hos 5 – 7 % av behandlede pasienter. Den beste måten å unngå blødningskomplikasjoner på er å følge behandlingsprotokollen nøye.
Intraarteriell behandling
Intraarteriell kjemisk trombolyse kan være effektivt ved akutt hjerneinfarkt. Det er imidlertid ikke gjort sammenliknende studier mellom intravenøs og intraarteriell trombolytisk behandling og ingen større studier med intraarteriell trombolytisk behandling versus placebo. Tidsforsinkelsen før man kan starte intraarteriell trombolyse har vært forsøkt kompensert ved kombinert intravenøs og intraarteriell trombolytisk behandling (21, 22). Denne strategien er under videre utprøvning. Intraarteriell trombolyse må foreløpig anses som eksperimentell behandling.
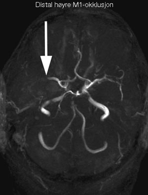
Intraarteriell mekanisk trombolyse (embolektomi) (23) med forskjellige typer instrumenter er beskrevet i små kliniske serier og i en mindre fase 2-studie (MERCI I) (24). Resultatene er lovende og metoden blir utprøvd i større studier. Embolektomi vil også bli utprøvd hos pasienter der intravenøs trombolytisk behandling ikke har gitt rekanalisering (THRUST) i en randomisert studie tilknyttet SITS-trombolyseregisteret. Embolektomi må foreløpig anses som eksperimentell behandling.
Platehemming
Det er ikke gjort randomiserte studier for å undersøke effekten av platehemmere de første timene etter et hjerneinfarkt. Man har vist at acetylsalisylsyre gitt innen 48 timer etter sykdomsstart i beskjeden grad har gitt lavere dødelighet og redusert antall residivinfarkter (25). Pasienter med akutt hjerneinfarkt bør på dette grunnlag gis hurtigoppløselig acetylsalisylsyre 300 mg ved innleggelse. Det er ikke avklart om andre platehemmere (dipyridamol, klopidogrel) har en tilleggseffekt eller tilstrekkelig egeneffekt slik at de bør brukes i akuttfasen. Hemmere av glykoprotein IIb/IIIa-reseptorer har ennå ingen plass i akuttbehandlingen. Hvorvidt pasienter som får et hjerneinfarkt under behandling med warfarin (Marevan) også bør få tillegg av platehemmere i akuttfasen, er uavklart.
Antikoagulasjon
Antikoagulasjonsbehandling har vært utprøvd i et utall studier opp gjennom årene, men ikke gitt i løpet av de første timene etter symptomdebut. Nytten av slik behandling i de første timene etter akutt hjerneinfarkt er derfor usikker. Behandling gitt innen 48 timer etter sykdomsstart kan gi færre residivinfarkter, men effekten nøytraliseres gjennom økt blødningsfrekvens (26). Heller ikke ved atrieflimmer har relativt tidlig bruk av antikoagulasjon gitt positive resultater. Allikevel er det rimelig å anta at enkelte pasienter med hjerneinfarkt kan ha nytte av dette i akuttfasen. Pasienter med betydelig forstyrret lokal blodstrøm, som ved subtotale intrakraniale stenoser eller akutt carotisdisseksjon, kan være kandidater for antikoagulasjonsbehandling. Pasienter med residiverende TIA der hemodynamiske årsaker er utelukket og platehemming ikke er effektivt, kan også ha nytte av dette. For akuttfasen er imidlertid ingen av disse indikasjonene vitenskapelig dokumentert.
Nevroprotektiv behandling
De siste 10 – 15 år har et høyt antall nevroprotektive substanser vært utprøvd ved akutt hjerneinfarkt – med usikkert eller negativt resultat. Det er mulig at nevroprotektiv behandling kombinert med trombolytisk behandling kan gi en tilleggseffekt dersom man oppnår rekanalisering ved hjelp av trombolyse. I dag finnes det ingen nevroprotektive medikamenter egnet til rutinebruk ved akutt hjerneinfarkt.
Behandling av akutte nevrologiske komplikasjoner
Hos omkring 20 % av pasientene er det klinisk forverring de første 24 – 48 timene etter sykdomsstart.
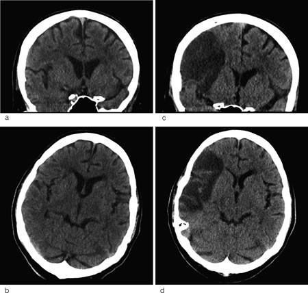
Hjerneødem. Hos rundt halvparten kan forverringen tilskrives et klinisk signifikant hjerneødem. Utvikling av et malignt ødem er en fryktet komplikasjon, spesielt hos unge med proksimal okklusjon av a. cerebri media. Gjennom innføring av trombolytisk behandling er også malignt reperfusjonsødem en aktuell differensialdiagnose ved forverring etterpå. Generell behandling inkluderer 30° løftet hodeende, adekvat oksygenering, normalisering av temperatur og glukosenivå samt smertelindring. Ved økende utfall kan man forsøke mannitol intravenøst i gjentatte doser. Det er ikke vist at slik behandling fører til bedre prognose isolert sett, men man kjøper seg tid, vanligvis i påvente av kirurgisk intervensjon.
Hemikraniektomi kan være livreddende ved uttalt hjerneødem (27), og kasuistikker viser at man kan oppnå gode langtidsresultater ved slik behandling. Hemikraniektomi må ses på som et profylaktisk inngrep for å redusere intrakranialt trykk og bør derfor sannsynligvis utføres i løpet av de første 24 timer hvis man finner indikasjon for det. Inngrepet må foreløpig anses som eksperimentell behandling. Ved store cerebellære infarkter med økende kompresjon av hjernestammen kan nevrokirurgisk reseksjon av cerebellum være indisert.
Hemoragisk transformasjon. Hemoragisk transformasjon av et primært iskemisk infarktområde opptrer spontant hos rundt 5 % av pasientene med hjerneinfarkt, og er blitt et hyppigere fenomen etter innføringen av intravenøs trombolyse. Behandling av symptomatisk hemoragisk transformasjon (hematom) følger retningslinjene for spontane hjerneblødninger.
Agitasjon og konfusjon. Dette kan være forårsaket av strategisk lokaliserte infarkter, men kan også skyldes generelle faktorer som feber, infeksjon eller smerter. Behandlingen er symptomatisk, men må også rettes mot årsaken.
Epileptiske anfall. Anfall opptrer hos < 5 % av pasienter med akutt hjerneinfarkt. De bør behandles effektivt, idet epileptiske anfall fører til en økende diskrepans mellom metabolske behov og tilgjengelig surstoff og glukose.
Systemiske komplikasjoner og rehabilitering
En vesentlig del av slagenhetens oppgave er å forebygge komplikasjoner som aspirasjonspneumoni, urinveisinfeksjoner, dyp venetrombose og lungeembolisme, som kan forverre pasientens tilstand og medvirke til en dårlig prognose. Behandling i videre forstand tar også sikte på å gjenopprette tapte funksjoner gjennom tidlig opptrening. Disse aspektene ligger imidlertid utenfor rammen for denne artikkelen.
Diskusjon
Det er gjort betydelige fremskritt innen behandling av akutt hjerneinfarkt i de senere år, og behandlingen er i økende grad basert på vitenskaplig dokumentasjon. Likevel er mange terapeutiske retningslinjer basert på patofysiologiske resonnementer og små kliniske serier. I påvente av flere forskningsresultater behøver ikke dette være galt, men det er nødvendig å være klar over hva som er vitenskapelig dokumentert behandling.
Nye behandlingsmuligheter har gitt bedre prognose for pasienter med akutt hjerneinfarkt. Med trombolytisk behandling er et tilfelle av akutt hjerneinfarkt blitt en akuttmedisinsk nødssituasjon, på lik linje med akutt hjerteinfarkt. En effektiv behandlingskjede, ambisiøs diagnostikk og god overvåking i en slagenhet sikrer et godt grunnlag for videre forskningsmessige og terapeutiske fremskritt.
Oppgitte interessekonflikter:
Forfatteren har mottatt reisestøtte og forelesningshonorar fra firma Boehringer Ingelheim Norway.
Oppgitte interessekonflikter: Se til slutt i artikkelen
Hovedbudskap
-
Hjerneinfarkt kan behandles effektivt
-
Første mål er å fjerne blodproppen (trombolyse) og å stabilisere blodsirkulasjonen
-
Andre mål er å beskytte cellene mot iskemi (nevroproteksjon) og å normalisere metabolske forstyrrelser
-
Rask innleggelse, nøyaktig diagnostikk og god overvåking i en slagenhet er en forutsetning for målrettet akuttbehandling
- 1.
Adams H, Adams R, del Zoppo G et al. Guidelines for the early management of patients with ischemic stroke: 2005 guidelines update a scientific statement from the Stroke Council of the American Heart Association/American Stroke Association. Stroke 2005; 36: 916 – 23.
- 2.
Adams HP jr., Adams RJ, Brott T et al. Guidelines for the early management of patients with ischemic stroke: a scientific statement from the Stroke Council of the American Stroke Association. Stroke 2003; 34: 1056 – 83.
- 3.
Albers GW, Amarenco P, Easton JD et al. Antithrombotic and thrombolytic therapy for ischemic stroke. Chest 2001; 119 (suppl 1): 300 – 20.
- 4.
Klijn CJ, Hankey GJ. Management of acute ischaemic stroke: new guidelines from the American Stroke Association and European Stroke Initiative. Lancet Neurol 2003; 2: 698 – 701.
- 5.
Hacke W, Kaste M, Bogousslavsky J et al. European Stroke Initiative Recommendations for Stroke Management – update 2003. Cerebrovasc Dis 2003; 16: 311 – 37.
- 6.
Wahlgren NG, Ahmed N. Neuroprotection in cerebral ischaemia: facts and fancies--the need for new approaches. Cerebrovasc Dis 2004; 17 (suppl 1): 153 – 66.
- 7.
del Zoppo GJ. Stroke and neurovascular protection. N Engl J Med 2006; 354: 553 – 5.
- 8.
Spengos K, Tsivgoulis G, Zakopoulos N. Blood pressure management in acute stroke: a long-standing debate. Eur Neurol 2006; 55: 123 – 35.
- 9.
Mistri AK, Robinson TG, Potter JF. Pressor therapy in acute ischemic stroke: systematic review. Stroke 2006; 37: 1565 – 71.
- 10.
Naess H, Waje-Andreassen U, Thomassen L. Overvåking ved akutt hjerneinfarkt Tidsskr Nor Lægeforen 2006; 126: 444 – 6.
- 11.
Indredavik B. Intensive monitoring should not be the routine. Stroke 2004; 35: 1019 – 20.
- 12.
Ronning OM, Guldvog B. Should stroke victims routinely receive supplemental oxygen? A quasi-randomized controlled trial. Stroke 1999; 30: 2033 – 7.
- 13.
Helms AK, Whelan HT, Torbey MT. Hyperbaric oxygen therapy of cerebral ischemia. Cerebrovasc Dis 2005; 20: 417 – 26.
- 14.
Hajat C, Hajat S, Sharma P. Effects of poststroke pyrexia on stroke outcome: a meta-analysis of studies in patients. Stroke 2000; 31: 410 – 4.
- 15.
Lees KR, Walters MR. Acute stroke and diabetes. Cerebrovasc Dis 2005; 20 (suppl 1): 9 – 14.
- 16.
Garg R, Chaudhuri A, Munschauer F et al. Hyperglycemia, insulin, and acute ischemic stroke: a mechanistic justification for a trial of insulin infusion therapy. Stroke 2006; 37: 267 – 73.
- 17.
Saver JL. Time is brain – quantified. Stroke 2006; 37: 263 – 6.
- 18.
Hacke W, Donnan G, Fieschi C et al. Association of outcome with early stroke treatment: pooled analysis of ATLANTIS, ECASS, and NINDS rt-PA stroke trials. Lancet 2004; 363: 768 – 74.
- 19.
SITS monitoring study (SITS-MOST): a multinational multicentre monitoring study of safety and efficacy of thrombolysis in stroke, 2002. www.acutestroke.org/SM_Protocol/SITS-MOST_final_protocol.pdf (31.5.2006).
- 20.
Molina CA, Alvarez-Sabin J, Montaner J et al. Thrombolysis-related hemorrhagic infarction: a marker of early reperfusion, reduced infarct size, and improved outcome in patients with proximal middle cerebral artery occlusion. Stroke 2002; 33: 1551 – 6.
- 21.
Flaherty ML, Woo D, Kissela B et al. Combined IV and intra-arterial thrombolysis for acute ischemic stroke. Neurology 2005; 64: 386 – 8.
- 22.
Combined intravenous and intra-arterial recanalization for acute ischemic stroke: the interventional management of stroke study. Stroke 2004; 35: 904 – 11.
- 23.
Katz JM, Gobin YP, Segal AZ et al. Mechanical embolectomy. Neurosurg Clin N Am 2005; 16: 463 – 74.
- 24.
Smith WS, Sung G, Starkman S et al. Safety and efficacy of mechanical embolectomy in acute ischemic stroke: results of the MERCI trial. Stroke 2005; 36: 1432 – 8.
- 25.
Sandercock P, Gubitz G, Foley P et al. Antiplatelet therapy for acute ischaemic stroke. Cochrane Database Syst Rev 2003; CD000029.
- 26.
Gubitz G, Sandercock P, Counsell C. Anticoagulants for acute ischaemic stroke. Cochrane Database Syst Rev 2004; CD000024.
- 27.
Gupta R, Connolly ES, Mayer S et al. Hemicraniectomy for massive middle cerebral artery territory infarction: a systematic review. Stroke 2004; 35: 539 – 43.