En 50 år gammel kvinne ble innlagt i vår avdeling på grunn av rask hjerteaksjon. Hun hadde hatt kortvarige anfall med hjertebank et par ganger årlig, første gangen i forbindelse med en fødsel 15 år tidligere. Hun hadde telt en pulsfrekvens på over 200/min ved noen av disse anfallene. Det aktuelle anfallet oppsto i forbindelse med at hun drakk et glass kaldt vann etter at hun hadde gått en lengre skitur. Hun følte seg etter hvert så utmattet at hun tilkalte ambulanse. Da ambulansen ankom, viste EKG smalkomplekset takykardi med frekvens 188 slag/min (fig 1). Under transporten til sykehuset fikk hun spontant omslag til sinusrytme. Ved ankomst mottakelsen var hun ubesværet, med blodtrykk på 120/88 mm Hg og regelmessig sinusrytme med frekvens 75 slag/min.
EKG gir viktig informasjon om diagnosen ved takykardier. Ved brede QRS-komplekser (> 120 ms) må man overveie muligheten for ventrikkeltakykardi. Smale QRS-komplekser er uttrykk for supraventrikulær takykardi. Det er også viktig å merke seg om P-bølger synes og hvordan disse forholder seg til QRS-komplekser. En smalkomplekset takykardi uten P-bølger tyder på en reentrymekanisme i AV-knuten, det vil si en AV-nodal reentrytakykardi (1). Dette medfører en samtidig sammentrekning av atrium og ventrikkel med retrograd blodstrøm i lungevenene, noe som kan gi pasienten hjertebank og tung pust. Bortsett fra ubehaget med hjertebank er dette vanligvis en godartet arytmi. Ved strukturell hjertesykdom og svært rask hjerteaksjonen kan forløpet bli mer alvorlig. Når diagnosen er stilt, kan anfall behandles med medikamenter, for eksempel verapamil, som reduserer ledningsevnen i AV-knuten. Den endelige behandlingen for AV-nodal reentry er radiofrekvensablasjon, som gir nær 100 % helbredelse.
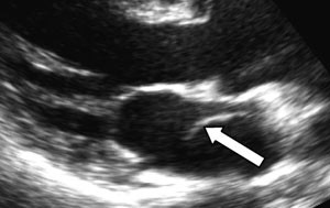
Som ledd i utredningen ble det utført transtorakal todimensjonal ekkokardiografi, som viste normale forhold, bortsett fra en mulig membran i venstre atrium som delte atriet inn i ett bakre og ett fremre kammer (fig 2).
Ved funn av membraner i venstre atrium er det viktig å bestemme de anatomiske forholdene for å kunne stille riktig diagnose. Differensialdiagnostisk er det særlig viktig å avgjøre relasjonen til aurikkelen. En supravalvulær mitralring er lokalisert apikalt for aurikkelen, mens en atriemembran (også kalt cor triatriatum sinister) er lokalisert basalt for denne. Venstre atrie-membran er en sjelden medfødt hjertefeil der en membran deler venstre atrium i to: Ett bakre kammer, som tar imot blod fra lungevenene, og ett fremre kammer, som kommuniserer med aurikkelen og venstre ventrikkel over mitralklaffen (2). Membranen er sannsynligvis et resultat av manglende resorpsjon av den felles lungevenen. En liknende tilstand kan forekomme i høyre atrium (3).
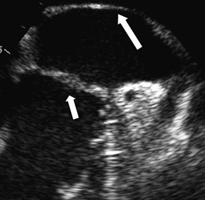
Transtorakal ekkokardiografi var ikke tilstrekkelig til å stille en sikker diagnose. Vi valgte derfor å gå videre med transøsofageal ekkokardiografi, som viste at membranen dekket en relativt stor del av atriet (fig 3). Det så ut til å være god passasje for blodstrømmen, siden det ikke var tegn til utvidelse av atriet proksimalt for membranen. Det var heller ikke andre tegn til obstruksjon, som tåkevirvler i den bakre del av atriet eller retrograd blodstrøm i lungevenene. Membranen var lokalisert basalt for aurikkelen. Det dreide seg dermed om en venstre atrie-membran.
Den transøsofageale undersøkelsen har betydelige fordeler fremfor den transtorakale når det gjelder strukturer i atriene, pga. av fysiske begrensninger ved ultralydteknologien. Hos denne pasienten kunne transøsofageal ekkokardiografi bekrefte diagnosen og belyse betydningen av membranen for blodstrømmen.
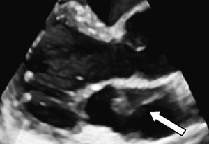
I tillegg til utredning med tradisjonelle ekkokardiografiske metoder ble pasienten også utredet med transtorakal tredimensjonal ekkokardiografi (fig 4), siden det nylig er rapportert at denne metoden kan erstatte transøsofageal ekkokardiografi i slike tilfeller.
Transtorakal tredimensjonal ekkokardiografi (3DE) har foreløpig liten utbredelse i klinisk sammenheng. Den seneste utviklingen innen transduserteknologi med muligheter for opptak i sanntid har forenklet og forbedret avbildningsprosessen betydelig (4). En av fordelene med 3DE-undersøkelse sammenliknet med transøsofageal ekkokardiografi er mindre ubehag for pasienten. I tillegg vil det gi en bedre kartlegging av de anatomiske strukturene, noe som er viktig dersom det blir nødvendig med kirurgisk behandling. Det er nemlig en betydelig utfordring å danne seg et godt tredimensjonalt bilde av strukturer inne i kroppen ut fra todimensjonale bilder. Nytten av tredimensjonale fremstillinger er naturligvis betinget av god bildekvalitet. Fra et apikalt vindu vil bildekvaliteten for strukturer i atriet begrenses av stor avstand fra lydhodet (proben). Fra et parasternalt vindu er god fremstilling av atriestrukturer, som en slik membran, også avhengig av en gunstig vinkel mellom lydbølgene og membranen. Hos denne pasienten var det parasternale vinduet best egnet til å fremstille membranen.
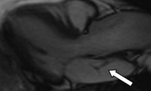
Pasienten ble også utredet med magnetisk resonanstomografi (MR) (fig 5) med tanke på sammenlikning med de ekkokardiografiske metodene. Undersøkelsen viste normale dimensjoner og funksjon i alle kamre, og var dermed i overensstemmelse med ultralydundersøkelsene.
MR gir også svært gode bilder av strukturer i hjertet. Måling av blodstrømshastigheter, slik som ved dopplerultralyd, er også mulig ved MR. MR gir også bedre romlig oppløselighet enn de ekkokardiografiske metodene. Ulempene med MR i forhold til ekkokardiografi er i første rekke dårligere tilgjengelighet, både når det gjelder apparatur og kompetent personale. Dessuten er MR-undersøkelsene tidkrevende og kan være problematisk hos pasienter med arytmier eller hyppige ekstrasystoler.
Pasienten hadde ingen symptomer som med sikkerhet kunne tilskrives membranen i atriet, og ingen videre tiltak er så langt blitt iverksatt. Vi anbefalte ikke antikoagulasjonsbehandling, da det ikke var tegn til utvidelse av atriet som uttrykk for hemodynamisk belastning.
Ved obstruksjon av blodstrømmen er det viktig å fastslå om denne har hemodynamisk betydning – dvs. om obstruksjonen medfører trykkøkning på tilførselssiden. Trykkøkningen kan forplante seg inn i lungesirkulasjonen og forårsake tung pust ved anstrengelse tilsvarende som ved hjertesvikt, på grunn av redusert venstre ventrikkel-funksjon. Stuvningssvikt kan også oppstå ved svært rask hjerteaksjon, selv hos personer med normal hjertestruktur. I en slik situasjonen kan det tenkes at en membran i atriet kan ha en ugunstig effekt, selv om den ikke har hemodynamiske betydning under normale omstendigheter. Det kan derfor ikke utelukkes at symptomene hos vår pasient ble forsterket av membranen i atriet. Økning av trykket i bakre del av atriet kan også forårsake utvidelse av atriet – med langsom blodstrøm og risiko for danning av tromber. Utvidelse av atriet vil dessuten kunne gi større tendens til atrieflimmer. Det er derimot ikke økt hyppighet av nodaltakykardi ved atriedilatasjon. Kirurgisk fjerning av membranen og antikoagulasjonsbehandling med warfarin må overveies ved hemodynamisk betydningsfull obstruksjon av blodstrømmen (5, 6). Prognosen ved operasjon av en atriemembran er ypperlig dersom den kan utføres i et tidlig stadium.
Pasientens datter ble operert for atrieseptumdefekt som barn, men det kunne ikke påvises andre strukturelle hjertefeil hos pasienten.
Det er rapportert om økt hyppighet av assosierte medfødte hjertefeil hos pasienter med atriemembran. Ved ekkokardiografi er det blant annet nødvendig å se etter defekter i atrieseptum. Det er imidlertid ikke rapportert at det hos pasienter med atriemembran er økt forekomst av nodaltakykardi.
Utredning med elektrofysiologisk testing fire måneder senere bekreftet mistanken om nodaltakykardi. Ablasjon ble utført i samme seanse. Pasienten har senere ikke hatt tilbakefall, men observasjonstiden er kort.
Avsluttende bemerkninger
Beskrivelser av membraner i hjertet, tilsvarende den som ble funnet hos vår pasient, ble publisert allerede for 40 år siden (7). I en årrekke ble slike membraner først og fremst påvist hos pasienter med symptomer på hjertesvikt. I de senere år er det mer vanlig at slike membraner er tilfeldige funn ved ekkokardiografisk utredning. Dette er en generell trend i medisinen, parallelt med den teknologiske utviklingen, og kan bidra til at sykdomsrisiko oppdages på et tidlig stadium. Muligheten for at ellers friske individer kan få et unødvendig sykdomsstempel dersom det oppdages at de har en anomali, er imidlertid til stede. I verste fall kan det føre til unødvendig behandling. Flere supplerende, men overlappende, undersøkelsesmetoder vil dessuten kunne bidra til økte kostnader. God innsikt i metodenes styrke og svakheter er nødvendig for å drive rasjonell bildediagnostikk. Våre foreløpige erfaringer med den nyeste teknologien innen 3DE-undersøkelser tilsier at metoden har potensial i diagnostikken av hjertesykdommer med kompliserte anatomiske forhold. Ytterligere perfeksjonering er nødvendig før undersøkelsen kan få en plass i den kliniske hverdag. Nytten vil dessuten være avhengig av problemstillingen, som illustrert ved vår kasuistikk.
Oppgitte interessekonflikter:
Brage H. Amundsen har mottatt honorar fra GE Vingmed Ultrasound. De andre forfatterne har ingen oppgitte interessekonflikter.
Oppgitte interessekonflikter: Se til slutt i artikkelen
Hovedbudskap
Cor triatriatum er en sjelden medfødt hjertefeil som kan forårsake hjertesvikt
Tredimensjonal ekkokardiografi kan være nyttig i utredningen av medfødte hjertefeil
- 1.
Wellens HJ. Twenty-five years of insights into the mechanisms of supraventricular arrhythmias. J Cardiovasc Electrophysiol 2003; 14: 1020 – 5.
- 2.
Jacobs A, Weinert LC, Goonewardena S et al. Three-dimensional transthoracic echocardiography to evaluate cor triatriatum in the adult. J Am Soc Echocardiogr 2006; 19: 468: e1 – e4.
- 3.
Joe BN, Poustchi-Amin M, Woodard PK. Case 56: cor triatriatum dexter. Radiology 2003; 226: 701 – 5.
- 4.
Andersen K. Klinisk bruk av nye ekkokardiografiske teknikker Tidsskr Nor Lægeforen 2004; 124: 346 – 9.
- 5.
Slight RD, Nzewi OC, Sivaprakasam R et al. Cor triatriatum sinister presenting in the adult as mitral stenosis. Heart 2003; 89: e26.
- 6.
Alphonso N, Norgaard MA, Newcomb A et al. Cor triatriatum: presentation, diagnosis and long-term surgical results. Ann Thorac Surg 2005; 80: 1666 – 71.
- 7.
Jimenez Martinez M, Franco Vazquez JS, Gutierrez Bosque R et al. Cor triatriatum with pericardial agenesis. Thorax 1969; 24: 667 – 72.