En pasient med akutte magesmerter og kjent kardiovaskulær sykdom

    ()

    sporsmal_grey_rgb
    Abstract

    Background.

    Emphysematous cholecystitis (EC) is a serious variant of acute cholecystitis (AC), with gas-forming bacteria in the biliary system and the surrounding tissues. The pathogenesis of EC is assumed to be ischemia. EC is associated with diabetes mellitus and arteriosclerosis; has a higher mortality rate and a more rapid progression than AC, but has initial clinical findings, similar to those in AC-patients.

    Method.

    We present a case report describing a patient with cardiovascular disease and sepsis, who has acalcular emphysematous cholecystitis. The patient was treated with antibiotics and percutaneus drainage. We performed a PubMed search for «Cholecystitis, Emphysematous, Acalcular». The literature study describes case reports and retrospective analyses.

    Interpretation.

    EC arises in 1 – 3 % of AC, with a mortality rate of 15 %, compared to 4 % in AC. EC has a 30-fold risk of necrosis and a 5-fold risk of perforation of the gall bladder wall compared to AC. Ultrasound imaging may be difficult to interpret and CT scanning is the preferred method of diagnosis. Recommended treatment is immediate cholecystectomy in association with antibiotics directed against the most common infectors, Cl. perfringens and enteropathogenic bacteria. Open and laparoscopic procedures seem equal in outcome. Some reports, as the present, describe successful treatment with percutaneous drainage when necrosis-mediated perforation is absent.

    Artikkel

    En 57-årig mann ble innlagt ved lokalsykehusets kirurgiske avdeling med kolikkaktige smerter i nedre, høyre del av abdomen. Han hadde kjent alvorlig kardiovaskulær sykdom med ustabil angina pectoris og dilatert venstre ventrikkel med ejeksjonsfraksjon på 15 – 20 %. Han hadde også hatt gjentatte nyresteinsanfall og moderat nyresvikt, som han hadde hatt flere innleggelser for, men ingen tidligere galleveissykdom. Han hadde ingen vannlatings- eller avføringsforstyrrelser. Klinisk var abdomen myk uten oppfyllinger, og det var ingen palpasjons- eller perkusjonsømhet i buk eller nyrelosjer. Innleggelsesdiagnosen var nyrestein.

    Det var ingen mistanke om infeksjon ved innleggelsen. Leukocytter og C-reaktivt protein (CRP) var innenfor referanseområdene. Ultralydfunn av abdomen ved innkomst var normale, bortsett fra kjent hesteskonyre. Man fant lett mikroskopisk hematuri.

    Tentative diagnoser hos denne pasienten med kolikksmerter uten infeksjonstegn var nyrestein-, gallestein- og tarmobstruksjon.

    Etter to døgns innleggelse utviklet pasienten feber og stigning i leukocyttnivå (14,1 x 10⁹/l) og CRP (257mg/l ), stigning i totalbilirubin (79 µmol/l ), alkalisk fosfatase (272U/l) og transaminaser (firedobling av normalverdier). Magen ble utspilt og tympanittisk, og smertene flyttet seg til øvre høyre del av abdomen, der han var peritonealt irritert.

    Man mistenkte nå en infeksiøs tilstand i øvre høyre del av abdomen. Differensialdiagnoser var kolecystitt, kolangitt og leverabscess samt appendisittisk infiltrat eller tarminflammasjon. Computertomografi (CT) ble utført, da tidligere ultralydfunn var negative, og tarmgass ville gjøre ultralyd vanskelig. Man ønsket å vurdere lever, galleveier, duodenum/pancreas, eventuelt forekomst av tarmtumor, vaskulær tarmskade/inflammasjon eller appendisittisk infiltrat.

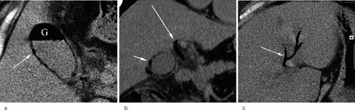
    CT abdomen utført to dager etter innleggelsen viste gass i 1/3 av galleblærens lumen samt i ductus hepaticus communis og i intrahepatiske galleganger. Det var også gass i galleblæreveggen, men ikke i peribiliært vev (fig 1a-c). Det var ingen tegn til tumor. Behandling med cefuroksim samt metronidazol ble startet.

    Differensialdiagnoser ved funn av gass i galleveier omfatter emfysematøs kolecystitt, en følgetilstand av papillotomi eller stentinnleggelse i galleveiene, enterobiliær fistel på grunn av gallesteinsperforasjon eller ekstrahepatisk biliært karsinom med enterisk penetrasjon, intraabdominal abscess, leverabscess og biliær lipomatose (1). Den mest sannsynlige diagnosen hos vår pasient var nå akutt emfysematøs kolecystitt.

    Gastroskopi ble utført med tanke på eventuell kolecystogastrisk eller kolecystoduodenal fistel. Man fant ventrikkelretensjon, ellers ingen patologi, og det kom normal galle fra papilla Vateri.

    Kolecystokolisk fistel ble ansett som mindre sannsynlig på grunn av manglende gallestein i anamnesen og ved tidligere utførte ultralydundersøkelser av abdomen. Pasienten ble samme dag, dvs. to dager etter innleggelsen, overflyttet til samarbeidende universitetssykehus for akutt kolecystektomi, da han som høyrisikopasient ikke kunne tilbys adekvat anestesi og postoperativ oppfølging ved lokalsykehuset.

    Operasjon ble planlagt påfølgende dag, men pasienten utviklet sepsis i tillegg til sin alvorlige hjertelidelse, og operasjon ble vurdert som for risikabel. Ultralydveiledet perkutan kolecystotomi ble utført, og man skiftet antibiotika til piperacillin. Det var ingen bakteriell vekst i galleaspirat eller blodkultur. Via galleblæredrenet var det initialt ingen overgang av kontrast til ductus choledochus. Magnetresonanstomografi av galleveier og pancreasgang viste normal biliovaskulær anatomi, ingen stein eller obstruksjon i galleveiene. Senere kolangiografi via galleblæredrenet viste uhindret passasje gjennom ductus cysticus og ingen kontrastlekkasje. På dag 11 etter primærinnleggelsen steg CRP igjen, og dag 13 fikk man positiv dyrking fra trakealsekret av Enterobacter. Antibiotikaregime ble nå endret til ciprofloksacin.

    Pasienten ble intensivbehandlet for multiorgansvikt med adrenalin/noradrenalin samt dopamin og dialysebehandling (Prisma). Han ble trakeostomert dag 10. Så vel inotropisk behandling som dialyse ble seponert dag 12 og pasienten ble overflyttet til lokalsykehus dag 14. Drenet til galleblæren ble seponert dag 16. Antibiotika ble seponert dag 20. Pasienten ble gradvis bedre og kunne kobles fra respirator dag 22 og ble dekanylert samme døgn. Det var forbigående sekvele i form av endret psykisk habitus og lettere usammenhengende tale, men CT cerebrum var uten patologiske funn. Pasienten ble overflyttet til medisinsk avdeling for videre behandling av hjertesvikt dag 42. Han ble utskrevet fra medisinsk avdeling dag 52, men gjeninnlagt to ganger kort deretter for hjertesviktbehandling. Det er ikke planlagt kolecystektomi.

    Diskusjon

    Diskusjon

    Akutt kolecystitt kan inndeles i to undergrupper: akutt akalkuløs kolecystitt og akutt kalkuløs kolecystitt. Emfysematøs kolecystitt utgjør 1 – 3 % av tilfellene av akutt kolecystitt (2, 3) og kan både være kalkuløs og akalkuløs. Dette er en alvorlig variant av akutt kolecystitt, der bakterier i galleblæren danner gass i galleblærelumen, galleblæreveggen og/eller omliggende vev. Insidensen er høyere hos menn enn kvinner (3 : 1). Emfysematøs kolecystitt er assosiert med vaskulær sykdom, og 33 – 40 % av pasientene har diabetes mellitus. 28 – 50 % av pasientene har ikke stein i galleblæren (1, 3, 4), og 41 – 63 % av pasientene har hatt galleblærebetennelse tidligere (4). Galleblæregangren er opptil 30 ganger hyppigere ved emfysematøs kolecystitt, og det er 5 – 6 ganger økt risiko for galleblæreperforasjon sammenliknet med hovedgruppen akutt kolecystitt (3).

    I en oversiktsartikkel fra 1975 som gjennomgikk 161 publiserte kasus med emfysematøs kolecystitt, var mortalitet ved denne tilstanden 15 %, og ved akutt kolecystitt ca. 4 % (3). Hos pasienter under 60 år var forskjellen mer uttalt med tidobbelt mortalitet: 15 % vs. 1,4 %, mens forholdet hos pasienter eldre enn 60 år var 15 % mot 8 % (3, 5). De nevnte mortalitetsratene ved akutt kolecystitt synes høye, men også nyere serier viser høy mortalitet. I et pasientmateriale fra Johns Hopkins Hospital fra perioden 1996 – 2001 var mortaliteten i første treårsperiode 4 % og i siste periode 3 %. I et materiale med 18 pasienter med emfysematøs kolecystitt der man sammenliknet laparoskopisk kolecystektomi med åpen kolecystektomi ved denne tilstanden, var det to dødsfall pga. komorbiditet og ingen som følge av emfysematøs kolecystitt (2). Der er således stor spredning i mortalitet i disse retrospektive materialene.

    Akutt kolecystitt er prinsipielt en aseptisk inflammasjon med sekundær bakteriell infisering, selv om primær infeksjon i noen tilfeller ikke kan utelukkes. Bakteriologien ved emfysematøs kolecystitt domineres av anaerobe stammer som Clostridium perfringens. Escherichia coli finnes oftest som kopatogen. Klebsiella, anaerobe streptokokker, men også enterokokker og Pseudomonas er påvist (1, 6, 7). Nekrose på grunn av iskemi eller infarsering i galleblæreveggen disponerer for vekst av anaerobe gassdannende bakterier. Reduksjon av gallesyre i gallen ved inflammasjon synes å være vekstfremmende for bakterier i galle og galleblærevegg (1). Også ved akutt akalkuløs kolecystitt er det i opp mot 40 % av tilfellene dyrket anaerobe bakterier, der C perfringens dominerer.

    Initialt skiller ikke emfysematøs kolecystitt seg klinisk eller laboratorisk-kjemisk fra øvrige typer akutt kolecystitt, slik at differensialdiagnose ikke er klinisk eller laboratoriemessig mulig. Tidlig radiologisk diagnostikk er derfor viktig. I et materiale på 11 pasienter hadde fire av 11 pasienter ikke gass i galleblæren initialt, men utviklet dette senere. Median tid fra sykdomsstart til synlig gass i galleblære ved ultralydundersøkelse var 3,3 døgn (spredning 2 – 5) (8).

    Ved røntgen oversikt abdomen kan man se gass og væskespeil i galleblæren, men ofte feiltolkes dette som gass i duodenum. Det røntgenologiske bildet beskrives i tre stadier, som lettest erkjennes ved CT. I første stadium finnes gass i galleblæren, i andre stadium i tillegg gass i galleblæreveggen og i tredje stadium gass i omkringliggende vev (5, 6). Ultralydundersøkelse er den vanligst benyttede metoden ved mistanke om galleblæresykdom. Ved emfysematøs kolecystitt med lite gass i galleblæren kan ultralyd vise en ekkogen linje med «puddersnø»-ekko, og galleblærens begrensning kan visualiseres. Ved emfysematøs kolecystitt med mye gass kan man se et bredt takket ekkogent bånd med «puddersnø»-ekko og skygge bak. Galleblæreveggen kan ikke visualiseres, og diagnostikk er vanskelig. Ultralyd kan ikke differensiere mellom gass i galleblæreveggen eller omkringliggende vev. Gass i dypere galleveier kan ses ved ultralyd, og funn av dette indiserer mer fremskreden sykdom med mer alvorlig prognose (8). CT er den mest egnede undersøkelsen ved emfysematøs kolecystitt. Ved manglende visualisering av galleblæren, funn som beskrevet, spesielt hos eldre mannlige pasienter med kardiovaskulær sykdom, diabetes mellitus eller andre småkarsykdommer, bør man mistenke emfysematøs kolecystitt og dermed utføre CT.

    I litteraturen omtales gangrenøs kolecystitt som egen variant av akutt kolecystitt. Høye leukocyttverdier (> 15) og diabetes mellitus synes å kunne predikere risiko for denne tilstanden (9). Ikke-perforert gangrenøs kolecystitt har ved tidlig operasjon ikke økt morbiditet/mortalitet.

    Anbefalt behandling av emfysematøs kolecystitt er kolecystektomi umiddelbart etter at diagnosen er stilt, dersom pasienten er operabel ut fra klinisk tilstand (3, 4, 6). Dersom pasienten er septisk og sirkulatorisk ustabil som følge av nekrotisk eller perforert galleblære, anbefaler noen likevel kolecystektomi. I eldre rapporter anbefales åpen operasjon, men i nyere materialer vises like gode resultater ved laparoskopisk metode (2). I noen rapporter beskriver man, som i vår kasuistikk, vellykket invasiv behandling i form av perkutan kolecystotomi når perforasjon ikke mistenkes og hos kritisk syke pasienter (10). Antibakteriell behandling startes umiddelbart etter at diagnosen er stilt og rettes primært mot C perfringens i form av penicillin G 3 – 4 mill x 6, alternativt klindamycin ved penicillinallergi (4, 6), og i tillegg gis behandling mot tarmbakterier. Langt postoperativt forløp med intensiv overvåking må forventes. Det foreligger ikke anbefalinger spesielt for emfysematøs kolecystitt vedrørende kolecystektomi i senere kald fase. Alminnelig praksis ved akutt kolecystitt, der kolecystektomi er å foretrekke i akuttfasen og ellers anbefales i senere kald fase, synes adekvat også ved emfysematøs kolecystitt, dersom det ikke er alvorlig kontraindikasjon mot operasjon.

    Oppgitte interessekonflikter: Ingen

    Kommentarer  ( 0 )
    PDF
    Skriv ut

    Anbefalte artikler