En 28 år gammel kvinne med nyoppstått urininkontinens

    ()

    sporsmal_grey_rgb
    Abstract

    A 28 year-old woman developed sensory loss in the gluteal region and involuntary micturition during sleep. After two days she arrived at the Department of neurology. Examination disclosed absence of the right ancle reflex (S1), sensory loss in the saddle area including the dermatomes S1 – S5, absence of the ano cutan (S3 – S5) and bulbocavernous reflexes (S3 – S4). She had sphincter disturbance and a sensory palsy of the bladder, but no retention. She experienced no vertebral, radicular or other pain at any time.

    Because of the lack of pain, the tentative diagnosis was acute myelitis, and a CT scan was not done. A further investigation with MRI vas postponed to the next day. The MRI scan showed a large herniation of the L5/S1 disc, with significant affection of the cauda equina. The patient went to surgery with laminectomia and extirpation of the hernia.

    This case illustrates that a disk herniation with a cauda equina syndrome is not necessarily painful.

    Artikkel

    En 28 år gammel kvinne hadde tidligere stort sett vært frisk, men hun brukte regelmessig ketoprofen på grunn av leddsmerter. I en periode på ett år hadde hun hatt korsryggssmerter med utstråling til høyre underekstremitet. Lumbal CT hadde ikke avdekket noe prolaps, og hun hadde ikke hatt symptomer det siste halve året.

    To dager før innleggelsen merket hun nummenhet i høyre glutealregion. Dette tiltok gradvis utover kvelden, men var ikke veldig uttalt, og det var ingen ledsagende smerter. Neste morgen oppdaget hun at hun hadde hatt ufrivillig urinavgang i sengen. Hun hadde nå betydelig nedsatt følsomhet i begge nates og kjente ikke vannlatingstrang. Hos fastlegen ble det, på grunnlag av ultralydskanning, antatt å foreligge 50 ml resturin. Fastlegen tok kontakt med vår avdeling, men man fant at de beskrevne symptomene var såpass diffuse og lite dramatiske at man anbefalte å se det an.

    50 ml urin i blæren etter vannlating er ikke mye, og kan ikke regnes som patologisk resturin. Det ble derfor antatt at hun ikke hadde blæreparese. Ikke å kjenne vannlatingstrang er imidlertid et varselsymptom, og ufrivillig vannavgang i søvne hos en tidligere frisk, ung kvinne et svært uvanlig symptom som nok ikke burde vært avvist som «diffust».

    Neste natt hadde hun igjen ufrivillig urinavgang i sengen og hun var fremdeles følelsesløs i glutealregionen. Hun kjente ikke vannlatingstrang, men gikk hyppig på toalettet og hadde ingen urinlekkasje på dagtid. Hun oppsøkte igjen sin fastlege, og hun ble nå innlagt. Innleggelsesdiagnosen var akutt myelitt. Pasienten ankom avdelingen ved 21-tiden.

    Ved innleggelsen var hun ikke smertepreget, gikk uanstrengt uten å halte, og benektet at hun hadde hatt smerter i forløpet. Det var normal motilitet med full kraft i ekstremitetene, men asymmetri for akillesreflekser med 0 på høyre side mot ++ på venstre. I glutealregionen og litt nedover dorsalt på lårene var det nedsatt sensibilitet. Det var også betydelig nedsatt sensibilitet ved vaginal og rektal eksplorasjon, slapp sfinktertonus, ingen voluntær knipekraft og intet anslag ved hoste. Anokutan- og bulbocavernosusrefleksene var begge opphevet, men det var ingen resturin målt med kateter. Lasègues prøve var negativ.

    Sensibilitetssvekkelsen var i et område som etter noen beskrivelser tilsvarer dermatomene S3 – S5 (1), men som etter Keegan & Garrett også innebærer deler av S1- og S2-dermatomene, omtalt hos Greenberg (2). Bulbocavernosusrefleksen regnes å involvere S3- og S4-segmentene, mens anokutanrefleksen bortfaller ved brudd i refleksbuen S3 – S5. Opphevet akillesrefleks indikerer affeksjon av S1-nerveroten.

    Klinisk hadde vår pasient utfall som ved cauda equina-syndrom. Med dette menes som regel en tilstand som skyldes skiveprolaps med affeksjon av sakrale nerverøtter, men andre romoppfyllende prosesser, som tumor eller blødning, kan gi tilsvarende symptomer og funn. Myelitt med affeksjon av conus er også en differensialdiagnose. Smerten er som regel betydelig ved store prolapser med nerverotaffeksjon. Vår pasient hadde ikke på noe tidspunkt i forløpet hatt smerter, verken utstrålende eller i korsryggen. Det var imidlertid tydelige sensoriske utfall og en sannsynlig sensorisk blæreparalyse.

    Pasienten var ferdig undersøkt rundt kl 22, en drøy time etter ankomst. Det ble ikke gjort CT som øyeblikkelig hjelp, da man mente at prolaps eller andre tilstander som ville avdekkes ved denne undersøkelsesmetoden, var lite sannsynlig, all den tid det ikke forelå smerte. I tillegg var hun noe overvektig, og man kunne anta at bilder fremstilt ved CT ikke ville bli av optimal kvalitet.

    Det ble vurdert at man uansett ikke ville komme utenom MR-undersøkelse, enten man utførte CT eller ikke. Vårt sykehus har ikke døgnberedskap for MR, men det ble avtalt med radiologisk avdeling at pasienten ville få utført MR-undersøkelse tidlig neste dag. Tentativ diagnose var akutt myelitt, og hun var også i en alder der man måtte mistenke debut av multippel sklerose.

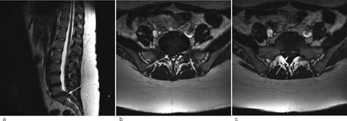
    MR lumbalcolumna, som ble tatt neste dag kl 12, viste et stort prolaps i nivå L5/S1 som fylte ut store deler av spinalkanalen og affiserte flere nerverøtter (fig 1). Hun ble overflyttet til nevrokirurgisk avdeling ved regionsykehuset tre timer etter at bildene var tatt, og ble der operert som øyeblikkelig hjelp med partiell laminektomi og fjerning av prolapset.

    Fjerde postoperative dag var hun inkontinent ved hoste, men senere fikk hun god kontroll på blæren, selv om hun nok måtte gå litt hyppig på toalettet. Hun hadde ingen tilfeller, verken pre- eller postoperativt, med fekal inkontinens, men hadde ingen kontroll på luftavgang. Ved undersøkelse sjuende postoperative dag var det sensoriske utfall i høyre glutealregion, men i mindre omfang enn tidligere, og bare lette sensoriske utfall på venstre side. Akillesrefleksen var fremdeles utslukket på høyre side. Det var svak voluntær knipekraft ved rektal eksplorasjon, men ingen knipekraft ved hoste. Fremdeles var verken anokutan- eller bulbocavernosusrefleksen til stede. Hun hadde ingen resturin. Pasienten merket bedring dag for dag. To måneder senere hadde hun ingen subjektive vannlatingsvansker.

    Diskusjon

    Diskusjon

    Cauda equina-syndromet er beskrevet som et kompleks av symptomer og funn bestående av korsryggssmerter, uni- eller bilateral isjialgi, motorisk svakhet i underekstremitetene og sensoriske forstyrrelser med ridebukseanestesi. Tap av viscerale funksjoner i blære og tarm må være til stede (3).

    Cauda equina-syndrom kan også forekomme uten motoriske eller sensoriske utfall i underekstremitetene. Dette er mulig dersom et sentralt prolaps i nivå L5/S1 affiserer de nedre sakrale nerverøttene, uten å affisere S1-røttene (3). Det er også beskrevet tilfeller av sentrale skiveprolapser i nivå L4/L5 med urinretensjon, men uten ytterlige nevrologiske utfall eller smerte (4).

    Det er bred enighet om at rask kirurgisk intervensjon er av stor betydning for prognosen. Shapiro inkluderte 44 pasienter med prolaps og cauda equina-syndrom i en retrospektiv undersøkelse der han sammenliknet 20 pasienter som ble operert tidlig (innen 48 timer, herav 17 innen 24 timer), og 24 som ble operert sent (etter 48 timer) etter symptomdebut. I gruppen som ble operert tidlig, var 19 av 20 pasienter kontinente med normal blærefunksjon etter seks måneder, mens det i den andre gruppen var 63 % som brukte enten permanent eller intermitterende kateterisering ett år senere. Gruppen som ble operert sent, hadde signifikant dårligere resultater med tanke på motoriske utfall, kronisk smerte og urologisk og seksuell funksjon. (5).

    Cauda equina-syndrom innebærer vannlatingsforstyrrelser. Man kan skille mellom to undergrupper, komplett eller inkomplett, avhengig av om det foreligger urinretensjon eller ikke. Ved urinretensjon synes det å være dårlig prognose selv med rask operasjon, da irreversibel skade kan oppstå så tidlig som etter seks timer. Dersom det foreligger blæreforstyrrelser uten at det fører til retensjon, er prognosen mye bedre. Denne tilstanden kan selvfølgelig også utvikle seg til en komplett skade, og krever derfor også rask operasjon (6).

    Konklusjon

    Konklusjon

    Cauda equina-kompresjon pga. store, romoppfyllende prolapser gir ikke alltid smerter. Tilstanden kan gi lammelse av blærens tømmemuskel og urinretensjon, men sensorisk blæreparese med normal detrusorfunksjon forekommer også. Rask kirurgisk intervensjon kan forebygge ytterligere skade, og normal funksjon kan gjenopprettes. Ved nytilkommet urininkontinens må man ha cauda equina-syndrom på bakgrunn av prolaps som differensialdiagnose, selv om det ikke foreligger smerte. I det beskrevne tilfellet medførte pasientens smertefrihet at diagnose og behandling ble forsinket med omlag to døgn.

    Oppgitte interessekonflikter: Ingen

    Se kommentar side 440

    Kommentarer  ( 0 )
    PDF
    Skriv ut

    Anbefalte artikler