En 90 år gammel kvinne med akutt hemiparese

    ()

    sporsmal_grey_rgb
    Abstract

    A right-handed woman of 90, taking aspirin 160 mg daily, suffered acute neck pain radiating to the shoulders, with right side hemiparesis and numbness occurring minutes thereafter. On admission 2.5 hrs later, examination showed paresis and hyporeflexia of the right limbs accompanied by neck stiffness and vertebral tenderness in level C7. Acute stroke was the initial working diagnosis. Cerebral CT was normal. Symptoms progressed with left arm numbness and left ancle clonus, and eight hours after symptom onset there was bilateral plantar inversion, reduced skin prick sensibility below C4, bladder paresis and anal sphincter hypotonia. CT myelography revealed an intraspinal mass extending from C2 to C6. 14 hours after symptom onset, a spinal epidural haematoma was removed by spinal laminectomy. Recovery and functional outcome was good. Symptoms, work-up and treatment are discussed with reference to previous publications.

    Artikkel

    En høyrehendt kvinne på 90 år hadde fått implantert en tokammer pacemaker åtte år tidligere pga. sinoatrielt blokk. Åtte måneder før det aktuelle var hun kortvarig innlagt for et mistenkt anginaanfall med negative hjertemarkører. Ved innleggelse var hennes faste medikasjon digitoksin 50 µgram x 1 og acetylsalisylsyre 160 mg x 1. Hun bodde alene i egen enebolig på to plan, var selvhjulpen i alle dagliglivets gjøremål (ADL), oppegående uten ganghjelpemidler inne og ute, deltok aktivt i gårdsdrift og mottok ingen offentlig hjelp.

    Dagen før innleggelse var hun i vanlig form. Innkomstdagen våknet hun ca. kl 9 om morgenen med smerter midt i nakken uten utstråling («som om hun hadde ligget forkjært»). Hun sto imidlertid opp og stelte seg som vanlig. Etter ca. en time forverret nakkesmertene seg i løpet av ett minutt og strålte ut i begge skuldrene (heretter kalt symptomstart). Etter ytterligere 2 – 3 minutter merket hun gradvis og raskt innsettende kraftsvikt og nummenhet i høyre arm og bein og seg ned på gulvet, ute av stand til å reise seg.

    Hun ble innlagt ved Nevrologisk avdeling 2,5 timer etter symptomstart. Hun klaget over sterke nakkesmerter som strålte ut i hele høyre arm og dovenhet i høyre sides ekstremiteter. Blodtrykk var 200/105, puls 100 og øretemperatur 35 °C. Hun var klar og orientert med normal tale. Mottakende lege fant nakkestivhet og trykkømhet over processus spinosus C7. Auskultasjon av halskar ble ikke gjort. Det var normale hjernenervefunn, spesielt var det ingen facialisparese eller dysartri. Det var slapp parese i høyre arm og bein, mens sensibilitet for stikk og berøring ble vurdert som normal. Dype senereflekser var nedsatt til utslukket på høyre side, men normale på venstre side. Plantarrefleksene var indifferente bilateralt.

    Tentativ diagnose fra mottakende lege var hjerneslag. Med tanke på stivhet og smerter i nakken holdt man muligheten åpen for subaraknoidalblødning med sekundært hjerneinfarkt, eventuelt arteriedisseksjon på halsen med emboli til venstre hemisfære. En venstresidig hjerneblødning med gjennombrudd til subaraknoidalrommet og medfølgende meningisme kunne også forklare symptomene. Nakkesmertene kunne eventuelt være myotendinittiske. CT-undersøkelse av hodet ble gjort fire timer etter symptomstart og viste normale funn. Duplekssonografi av karotidene og innkomstblodprøver var normale. Etter hjerneslagregimet ble pasienten lagt til observasjon av NIHSS (National Institutes of Health Stroke Scale)-skår, puls og blodtrykk hver time.

    På grunn av uavklart diagnose og symptomforverring ble pasienten undersøkt av lege på ny ca. åtte timer etter symptomstart. Hun hadde da økende nakkesmerter med utstråling til begge skuldrene, og det var observert rykninger i venstre bein. Høyre side føltes fortsatt doven og svak, og hun hadde begynt å føle seg «vissen» også i venstre arm. Man fant høyresidig hemiparese med kraftgrad 2/5. Det var bilateralt nedsatt sensibilitet nedenfor nivå C3, mest uttalt på høyre side. Leddsansen var redusert på høyre stortå og utslukket på venstre. Dype senereflekser på armene var sidelikt svake til utslukkede. På høyre side var det ikke patella- og akillesrefleks, mens det var subklonisk akillesrefleks på venstre side. Plantarrefleksen var invertert bilateralt. Det var sterkt redusert analsfinktertonus og ingen voluntær anal knipekraft. Pasienten hadde urinretensjon og ble tappet for 450 ml urin.

    Pasientens symptomer og funn pekte klart i retning av en cervikal myelopati. Av årsaker til akutt myelopati hos denne pasienten holdt man spontan blødning som mest sannsynlig. Abscess kunne også være mulig, eventuelt patologisk brudd pga. neoplasi eller osteoporose.

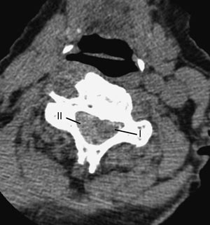
    Lumbal spinalpunksjon ga blank spinalvæske med normal dråpetakt og normale verdier for celler, protein og glukose. Pasienten kunne ikke undersøkes med MR grunnet pacemaker. CT av cervikalcolumna viste ingen skjelettskade, men ga heller ingen forklaring på myelopati. Røntgenmyelografi med intratekal kontrast via lumbalt innstikk viste spinalt blokk i nivå C6 (fig 1). Etterfølgende CT avdekket en romoppfyllende prosess bak og til høyre for ryggmargen i samme nivå, som presset ryggmargen mot venstre (fig 2). Ved sagittal (fig 3) og koronal rekonstruksjon så man utstrekningen av prosessen opp til overgangen C2/C3.

    Pasienten ble øyeblikkelig overført til Nevrokirurgisk avdeling. Ca. 14 timer etter symptomstart ble hun operert i generell anestesi med laminektomi på C3-C7. Man fant og fjernet et langstrakt høyresidig spinalt epiduralhematom som ga betydelig kompresjon av duralsekken, uten pågående blødning. Morgenen etter operasjonen var paresen i høyre arm og bein mindre uttalt, med kraftgrad 3/5 i kne og albu. Hun hadde kraftsvikt i venstre arm med kraftgrad 4/5. Under primærrehabiliteringen gikk paresen i venstre arm helt tilbake. Hun fikk også bedret funksjon i høyre side og kunne ved utskrivningen fra sykehus gå med støtte fra en person. 11 måneder etter operasjonen er hun hjemmeboende, går uten støtte og er selvhjulpen i ADL. Hun har noe redusert håndkraft på høyre side, men kan gjøre håndarbeid som før. Hun har vedvarende inkontinensproblemer.

    Diskusjon

    Diskusjon

    Intraspinal blødning uten relasjon til inngrep eller traume er en sjelden, men velkjent tilstand. Slike blødninger kan gi alvorlige symptomer fra nervesystemet, og ubehandlet kan de medføre alvorlig funksjonshemning for pasienten. Både epidurale, subdurale og subaraknoidale blødninger i spinalkanalen er beskrevet.

    Epidurale og subdurale blødninger forekommer hyppigst bak ryggmargen i cervikotorakal- eller torakolumbalavsnittene. Symptomene vil som oftest være akutt innsettende smerter lokalisert til ryggsøylen (coup de poignard), med eller uten radikulær utstråling. Etter et intervall på minutter til timer der pasienten kan være smertefri, tilkommer økende sensorimotoriske utfall nedenfor blødningsnivået. Symptomene skyldes først og fremst mekanisk trykk fra hematomet på nerverøtter og/eller ryggmarg. Det vanligste utfallsmønsteret ved intraspinal blødning vil være komplett eller inkomplett tverrsnittslesjon med tetra- eller paraparese, sensorisk tverrsnittsgrense og eventuelt forstyrrelser av blære- og tarmfunksjon (1). De viktigste differensialdiagnosene vil da være spinal abscess eller neoplasi, skiveprolaps, tverrsnittsmyelitt og dissekerende aortaaneurisme (2).

    Subaraknoidale blødninger kan finnes i hele spinalkanalens forløp. I tillegg til å gi lokale kompresjonssymptomer, kan blodet følge subaraknoidalrommet intrakranialt og gi et klinisk bilde tilsvarende cerebral subaraknoidalblødning med hodepine, nakkestivhet, påvirket bevissthet og kramper.

    Den tentative diagnosen ved innkomst var hjerneslag, basert på de halvsidige utfallene. Det viktigste tegnet som skiller denne tilstanden fra hjerneslag er de karakteristiske akutte smertene langs ryggsøylen. Ved nakkesmerter med hemiparese er carotis- eller vertebralisdisseksjon med emboli til hjernen også en viktig differensialdiagnose. Man vil da oftest ha nakke- og halssmerter kontralateralt til hemiparesen og ikke ipsilateralt som her. Ved akutt intraspinalt hematom er symmetriske utfall vanligst, men også halvsidige kliniske bilder er beskrevet (2). En strengt halvsidig påvirkning av medulla gir Brown-Sequards syndrom. Man finner da hemiparese nedenfor det aktuelle nivået sammen med dissosierte sensibilitetsutfall, det vil si reduksjon eller fravær av vibrasjonssans, leddsans og lett berøringssans på samme side som paresen og av smertesans på motsatt side av paresen. De dissosierte utfallene og fraværet av hjernenerveutfall skiller en slik tilstand fra hjerneslag. Hjernenerveutfall kan imidlertid mangle også ved hjerneslag. Spinal blødning med hemiparese og hjernenerveutfall er dessuten beskrevet, der et høyt cervikalt intraspinalt hematom strakte seg intrakranialt og trykket mot hjernestammen (3). Hos vår pasient var det ikke notert noen sensibilitetsutfall ved innkomst, og vi vet ikke om hun i forløpet hadde dissosierte sensibilitetsutfall. Asymmetrien i senerefleksene kan skyldes ulik grad av trykkpåvirkning på de nedadstigende motoriske banene på høyre og venstre side. En kraftig påvirkning vil gi spinalt sjokk med hyporefleksi, mens en lettere påvirkning kan gi økte reflekser.

    Spontan intraspinal blødning er idiopatisk i 40 – 50 % av tilfellene (4). De viktigste påviselige årsakene er antikoagulasjon og vaskulære malformasjoner. Valsalvaliknende manøver, hosting, coitus etc. kan skje forut for blødningsstart, og blir av enkelte regnet som utløsende faktorer (5). Øvrige kjente årsaker er blødertilstander og neoplasier. Sammenheng med kokainbruk, dissekerende aortaaneurisme og vaskulitt er også rapportert (1). Acetylsalisylsyre som eneste kjente disponerende faktor er kun beskrevet i et fåtall tilfeller (6).

    Det diskuteres i litteraturen om slike blødninger er venøse eller arterielle. De klaffeløse intraspinale epidurale venene tillater at ekstra blod presses inn ved trykkøkninger i abdomen, noe som kunne forårsake ruptur i et på forhånd svekket punkt i veneveggen. Imidlertid er trykkgradienten mellom de epidurale venene og det epidurale perivenøse rom liten. En spontant oppstått venøs blødning vil vanskelig kunne vokse seg stor nok til å gi noen betydelig kompresjon av medulla. Dette taler for at blødninger med kliniske utfall snarere er arterielle (5).

    MR er førstevalgsundersøkelsen ved mistanke om akutt spinal ekspansiv prosess, fordi man får en detaljert fremstilling av strukturene i ryggmargskanalen. Hvis mulig, bør pasienter med mistenkt akutt intraspinal prosess overflyttes raskt til sykehus med MR. Konvensjonell røntgen eller CT av cervikalcolumna bør gjøres for å avdekke eventuell skjelettpatologi som årsak til myelopati, men som hos vår pasient fremstiller ikke CT alene intraspinale oppfyllinger. CT-myelografi er et godt alternativ når MR er kontraindisert eller utilgjengelig. Påvist spinalt blokk muliggjør en fokusert CT-undersøkelse i det aktuelle nivået. Hvis man under myelografien tipper pasienten tilstrekkelig ned med hodet, vil kontrast kunne lekke forbi blokkpunktet, omgi ryggmargen og gjøre det lettere å avgrense den fra annet vev. Slik fikk man i dette tilfellet avdekket den ekspansive prosessens øvre avgrensning uten å måtte supplere med kontrast satt suboksipitalt.

    Ryggmargen er meget følsom for mekanisk trykk, særlig ved akutt påvirkning. Hvis diagnosen stilles utenfor sykehus med nevrokirurg, bør den regionale nevrokirurgiske avdeling kontaktes med tanke på overflytting av pasienten. Rask operativ behandling er av betydning for det funksjonelle resultatet (1, 7). I en metaanalyse av over 600 publiserte enkeltkasus var det i hele gruppen ca. 40 % som fikk fullstendig tilbakegang av utfallene etter operasjon, mens 65 % fikk komplett remisjon i gruppen som ble operert innen 12 timer (1). Det er også publisert flere tilfeller av spontan remisjon ved intraspinal blødning (4). Man kan tillate seg konservativ behandling ved lettere kliniske funn og tegn til spontan bedring, men pasienten bør da overvåkes nøye og opereres ved tegn til forverring.

    Konklusjon

    Konklusjon

    Denne kasuistikken illustrerer viktigheten av grundig klinisk nevrologisk undersøkelse ved nevrologiske problemstillinger og nødvendigheten av nøye observasjon og gjentatt nevrologisk undersøkelse ved uavklart diagnose, endringer i kliniske funn og atypiske utfall. Ved akutt innsettende hemiparese uten hjernenerveutfall er spinal blødning en aktuell differensialdiagnose, spesielt ved smertefulle tilstander og utfall fra blære og tarm. MR er førstevalg som radiologisk utredning, med CT-myelografi som et godt alternativ ved kontraindikasjoner mot MR, eller der MR ikke er tilgjengelig.

    Når diagnosen er etablert, må nevrokirurg kontaktes umiddelbart. Rask kirurgisk intervensjon med evakuering av hematom er indisert, med mindre de kliniske funnene er i spontan bedring og utfallene er lette. Vår pasient fikk et svært godt klinisk resultat på tross av sin høye alder, takket være rask etablering av diagnosen og effektiv kirurgisk behandling.

    Oppgitte interessekonflikter: Ingen

    Kommentarer  ( 0 )
    PDF
    Skriv ut

    Anbefalte artikler