Tularemi er en sjelden zoonose som forårsakes av den gramnegative bakterien Francisella tularensis. Sykdommen forekommer årvisst i Norge. Den er tidligere hyppigst beskrevet i de nordlige og midtre fylker (1), men er i økende grad blitt rapportert på Østlandet og Sørlandet (2, 3). Vanligste form er ulceroglandulær tularemi. En klinisk variant av sykdommen kan manifestere seg med sår hals, feber, hodepine og cervikal lymfadenitt (4). Dette er relativt vanlige symptomer i en normalbefolkning, derfor kan det på klinisk grunnlag være vanskelig å identifisere tularemi som en definert årsak. Korrekt diagnose er avgjørende for et godt behandlingsresultat.
Sykdommen ser ut til å forekomme endemisk med års mellomrom, og lite er kjent om hvor bakterien oppholder seg mellom utbruddene. En underart av bakterien er høyvirulent og har derfor vært aktuell i debatten om biologisk krigføring. Vi beskriver her to pasienter hvor tumor colli og feber var de fremtredende symptomer.
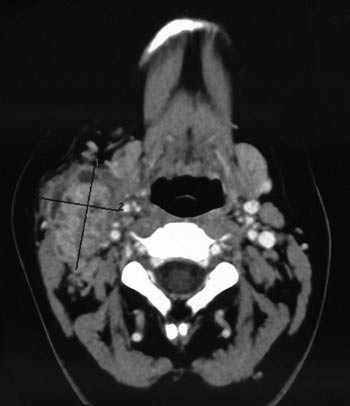
Pasient 1. En 20-årig kvinne ble henvist til spesialist etter fem uker med influensaliknende symptomer og progredierende voksende tumor på høyre side av halsen, etter hvert med involvering av overliggende hud. Hun var blitt penicillinbehandlet for antatt halsinfeksjon, uten nevneverdig effekt. Monospot og streptest var negative, og CRP var maksimalt 77 mg/l. Det var normale forhold i munnhule, oro- og hypopharynx, og ingen cystevæske ved punksjonscytologi. Hun ble henvist med spørsmål om abscess. Ultralydundersøkelse viste en 4 cm stor tumor med en sentral lavekkogen oppklaring samt multiple forstørrede lymfeknuter i tilslutning til lesjonen. CT-undersøkelse av halsen (fig 1) viste en stor multicystisk ekspansjon på 4,5 cm med uskarp avgrensning medialt for m. sternocleidoideus. Malignitet kunne ikke utelukkes. Hun ble behandlet med aminopenicillin og metronidazol intravenøst – uten effekt. Det var ikke antistoffer mot HIV-1 eller HIV-2, Mycoplasma pneumoniae, Yersinia enterocolitica O3, Toxoplasma gondii eller Bartonella henselae. Blodprøver ved innkomst viste leukocytter 12,2 · 10⁹/l og CRP 43 mg/l, øvrige prøver var normale. Hun ble operert med drenasje av en lobulert abscess. Undersøkelse for tuberkulose med PCR, direkte mikroskopi og dyrking var negativ. Histologisk undersøkelse viste kronisk betennelse og nekrose. PCR-undersøkelse for F tularensis utført på biopsimaterialet var positiv. Ved serologisk analyse var det funn forenlig med en aktuell F tularensis-infeksjon (agglutinasjonstiter 1 024 samt høye IgM- og IgG-titre ved enzymimmunoassay (EIA)). Hun fikk ciprofloksacin 500 mg to ganger daglig i ti dager og ble raskt symptomfri.
Pasient 2. En 23 år gammel tidligere frisk kvinne ble i august 2002 henvist etter tre ukers sykehistorie med høy feber, magesmerter, halssmerter og voksende tumor colli. Ultralydundersøkelse viste en 4 cm stor tumor submandibulært høyre side samt multiple forstørrede lymfekjertler langsmed m. sternocleidomastoideus på samme side. Ved innkomst var CRP 193 mg/l og granulocytter 86 %, øvrige prøver var normale. Hun hadde ikke antistoffer mot cytomegalovirus, T gondii, B henselae, Y enterocolitica eller F tularensis. Punksjonscytologisk undersøkelse gav ingen malignitetsmistanke, og F tularensis-PCR var negativ. På klinisk mistanke om tularemi ble det fjerde døgn iverksatt behandling med ciprofloksacin, og hun ble raskt symptomfri. Ny serologisk undersøkelse etter tre uker viste serokonversjon for F tularensis (agglutinasjonstiter 64 og svært høye IgM- og IgG-titre i EIA). Flere familiemedlemmer hadde liknende symptomer, og en privat drikkevannskilde som ble benyttet av to husstander var mistenkt smittekilde. F tularensis-PCR var positiv i vannprøver fra drikkekilden. Totalt 11 personer fikk påvist smitte og ble adekvat behandlet.
Diskusjon
Vi har beskrevet to tilfeller av tularemi der tumor colli var et fremtredende symptom. Det var forsinket diagnose i begge tilfellene.
Forekomst i Norge
Det er etter at Meldingssystem for smittsomme sykdommer (MSIS) ble etablert og frem til 2002 registrert totalt 153 tilfeller av tularemi i Norge (personlig meddelelse K. Nygård, Folkehelseinstituttet). Utbruddet i Midtre Gauldal sommeren 2002 (5) er det hittil største, mens spredte tilfeller er registrert siden 1976. Klinisk bilde og smitteveier har vært rapportert i liten grad. Bare ved 42 (27 %) av de 153 meldte tilfellene i den angitte perioden er kliniske funn beskrevet, hvorav det i 16 er anført «typisk sykdomsbilde» uten nærmere angivelse. I 28 tilfeller (18 %) er det anført antatt smittemåte. Disse fordeles på næringsmiddelinntak (17 tilfeller), via insekt/dyr (ti tilfeller) og yrkesrelatert (ett tilfelle).
Det er en påfallende forskjell i insidens og mulig smittemåte mellom Sverige og Norge (6). Det ser ut til å forekomme relativt store utbrudd med vektorsmitte hvert decennium i Sverige, da med flere hundre innrapporterte tilfeller (7). I Norge ser det ut som smitte via kontaminert vann eller kontakt med smitteførende dyr er det dominerende, men rapporteringen her i landet har hittil vært mangelfull.
Kliniske former
Man antar at de ulike kliniske varianter av tularemi delvis gjenspeiler smitteveien til bakterien (8). I litteraturen regner man med seks klassiske varianter av sykdommen: ulceroglandulær, glandulær, okuloglandulær, orofaryngeal, pneumonisk og enteral/tyfoid tularemi (9). De ulike glandulære formene ses gjerne etter direkte kontakt med et smitteførende dyr. Den orofaryngeale varianten med stomatitt og suppurativ tonsillitt antas å komme etter inntak av infisert mat eller drikkevann, likeså den enterale formen. Den pneumoniske varianten, som kan ha et disseminert sykdomsbilde, kan komme primært via inhalasjon av bakterien eller sekundært via hematogen spredning. Tyfoid tularemi er en betegnelse som reserveres for septiske tilfeller der ingen åpenbar smittevei er etablert (9). Enkelte hevder at det kan være lettere å dele inn sykdomsbildet i én lokalisert og én disseminert form, hvorav den enterale og pneumoniske varianten tilhører den siste kategorien. Lokaliserte former kan likevel sekundært gi disseminert sykdom, hvilket understreker bakteriens virulens (1).
Differensialdiagnostikk
Det er vanskelig å trekke sikre slutninger om kliniske manifestasjoner fra tilfeller innrapportert til MSIS. Tumor colli, halsbetennelse og tonsillitt utgjør 16 av totalt 42 tilfeller, men man kan anta at det også under kategoriene «ulceroglandulær», «lymfadenitt», «abscess» og «typisk bilde» kan skjule seg funn fra øre-nese-hals-området.
Den klassiske inndelingen av tumor colli er: inflammatoriske lesjoner, neoplasmer, medfødte lidelser (10). Dette sykdomspanoramaet er for omfattende for denne artikkelen, her omtales kun visse tilstander som kan tenkes å ha relasjon til det aktuelle tema.
Hos barn og ungdom vil vanlige øvre luftveisinfeksjoner ledsages av cervikal lymfadenitt. Sjeldnere ses dypere infeksjoner som spres langsmed de cervikale fascier, med uttalt sykdomsfølelse og høy feber. Abscessdanning i lymfeknuter på collum ses hyppig hos barn, og dette krever drenasje. Hos denne pasientgruppen kan man også påvise atypiske mykobakterier i biopsimaterialet. Andre årsaker til granulomatøs betennelse må overveies, eksempelvis tuberkulose (10). Asymmetri i svelget med peritonsillær hevelse eller parafaryngeal infeksjon vil kunne oppstå i forløpet av en tonsillitt eller faryngitt. Mononukleose vil kunne gi forstørrede lymfeknuter bilateralt på halsen i tillegg til tonsillittsymptomer. Hurtigtest for heterofile antistoffer kan imidlertid være positiv ved tularemi (11). Sialoadenitter kan gi lokal hevelse og i tillegg absessdanning. Andre infeksiøse agenser som cytomegalovirus, yersinia, toksoplasmose, HIV, B henselae og anaerobe bakterier fra munnhule er sjelden årsak (4,11).
Det er nærliggende å tenke på maligne lymfomer, som ofte vil være uømme ved palpasjon, selv om pasienten gjerne kan være febril. Bilateral glandelsvulst kan ses hos pasienter med akutt leukemi, men de har ofte generell glandelsvulst i tillegg. Hos individer over 40 år må man hovedsakelig utelukke sekundære metastaser, vanligst utgående fra plateepitelkarsinomer i hode-hals-området. Benigne neoplasier som paragangliomer og blandingstumorer i de store spyttkjertlene vil vanligvis ikke være ledsaget av feber eller inflammasjonstegn og er langsomtvoksende (10).
Av medfødte lidelser som dermoidcyster samt laterale og mediale halscyster vil man forvente differensialdiagnostiske likhetspunkter med tularemi der man har sekundærinfeksjon eller involvering av overliggende hud.
I alle tilfeller vil anamnesen kunne gi mistanke om infeksiøs etiologi, og da spesielt om de smittede har hatt kontakt med mulig infiserte dyr, er blitt utsatt for vektorsmitte eller har drukket av usikre vannkilder.
Pasientene
Hos pasient 1 var det initialt mistanke om en reaktiv lymfadenitt sekundært til en øvre luftveisinfeksjon. Manglende effekt av betalaktamantibiotika og etter hvert involvering av overliggende hud ledet mistanken mot granulomatøs betennelse, mens CT-bildene ikke kunne utelukke en malign tumor med uskarp avgrensning mot omkringliggende vev. Det er nærliggende å oppfatte det som en orofaryngeal/glandulær variant av tularemi. Pasient 2 er eksempel på en mer overlappende symptomatologi. Anamnestisk kan hun ha hatt en orofaryngeal tularemi, etter hvert med et glandulært preg. I likhet med andre som ble smittet i det samme utbruddet hadde hun i tillegg magesmerter, diaré og høy feber, som ved enteral tularemi. Det er verdt å legge merke til at hos den første pasienten ble diagnosen stilt først etter operasjon og direkte prøvetaking av lesjonen, mens den andre ble behandlet korrekt på klinisk mistanke.
Bakteriologi og påvisningsmetodikk
Tularemi er en bakteriell zoonose og rammer primært hare og smågnagere som lemen. Den finnes også hos mygg og flått, som fungerer som vektorer (5, 6). Man regner med fire underarter av bakterien. De er til dels geografisk atskilt og har ulik virulens, men innehar de samme antigene responser (12). F tularensis subsp. tularensis (tidligere benevnt type A) er hovedsakelig begrenset til Nord-Amerika. Dette er den mest virulente, med en dødelighet på 5 – 30 % ubehandlet (9, 11). Denne har vært aktuell kandidat som mulig agens ved biologisk krigføring. F tularensis subsp. holarctica (palearctica) (tidligere benevnt type B) er den vanlige formen i Europa og Asia. Denne og F tularensis subsp. mediasiatica, som kun ses i Sentral-Asia, er av intermediær virulens, og de regnes ikke som letale (9, 12). F tularensis subsp. novicida har hittil kun gitt sykdom hos immunkompromitterte individer (11).
Det er mulig å dyrke F tularensis, men i majoriteten av tilfellene er diagnosen stilt uten positiv dyrking. Serologisk undersøkelse er et viktig diagnostisk hjelpemiddel. Tradisjonelt har agglutinasjonsmetodikk vært mest aktuelt, mens etter hvert er EIA-teknikk med bestemmelse av spesifikke IgM- og IgG-antistoffer blitt et viktig supplement (13). Det er viktig å vite at den serologiske respons ved tularemi kommer sent, slik som hos pasient 2, som var seronegativ etter tre uker med kliniske symptomer, men seropositiv etter seks. Det er også beskrevet PCR for påvisning av F tularensis (14). Pasient 2 illustrerer betydningen av representativt materiale. Vi antar at PCR-negativ punksjonscytologi i dette tilfellet skyldes ikke-representativt materiale.
Konklusjon
Tularemi bør vurderes der sykdomsbildet er uklart og preget av feber og tumor colli, spesielt hvis det har vært liten respons på betalaktamantibiotika. Selv om den skandinaviske varianten ikke er letal, innebærer den betydelig sykelighet, og anamnestisk mistanke bør følges opp. Orofaryngeal smitte kan mistenkes dersom pasienten har drukket kontaminert vann. Tidligere var diagnostikken basert på kliniske funn og serologisk testing, mens det nå finnes tilgjengelig PCR-teknikk for påvisning av genmateriale fra F tularensis både fra vevsprøver og miljøprøver. Man bør tilstrebe nøyaktighet i klinisk beskrivelse og prøvetaking samt innrapportere antatte smitteveier.
Oppgitte interessekonflikter: Ingen
Hovedbudskap
Tularemi er en zoonose som kan gi opphav til differensialdiagnostiske overveielser ved tumor colli
Antallet rapporterte tilfeller av tularemi i Norge er påfallende mye lavere enn i Sverige
Diagnosen stilles oftest serologisk, men antistoffresponsen kommer sent, etter 3 – 6 uker
PCR-teknikk for påvisning i vevs- og miljøprøver kan bidra til raskere diagnose og er tilgjengelig ved St. Olavs Hospital
- 1.
Scheel O, Sandvik T, Hoel T, Aasen S. Tularemi i Norge. Tidsskr Nor Lægeforen 1992; 112: 635 – 7.
- 2.
Hagen IJ. Flere tilfeller av tularemi i Nordre Ringsaker. MSIS-rapport 2003; 31: 37.
- 3.
Brantsæter AB, Hoel T, Kristianslund TI et al. Tularemi etter flåttbitt i Vestfold. Tidsskr Nor Lægeforen 1998; 118: 1191 – 3.
- 4.
Arikan OK, Koç C, Bozdogan Ö. Tularemia presenting as tonsillopharyngitis and cervical lymphadenitis: a case report and review of the literature. Eur Arch Otorhinolaryngol 2003; 260: 298 – 300.
- 5.
Fossum HR, Vigerust Aa, Moxness MH et al. Vannbårent utbrudd av tularemi i Midtre Gauldal. MSIS-rapport 2002; 30: 37.
- 6.
Nygård K, Brantsæter AB. Tularemi (harepest). MSIS-rapport 2003; 31: 32.
- 7.
Eliasson H, Lindbäck J, Nuorti JP et al. The 2000 tularemia outbreak: a case-control study of risk factors in disease-endemic and emergent areas, Sweden. Emerg Infect Dis 2002; 8: 956 – 60.
- 8.
Nordahl SHG, Hoel T, Scheel O et al. Tularemia: a differential diagnosis in oto-rhino-laryngology. J Laryngol Otol 1993; 107: 127 – 9.
- 9.
Tärnvik A, Berglund L. Tularemia. Eur Respir J; 21: 361 – 73.
- 10.
Cummings CW, Fredrickson JM, Krause CJ et al, red. Otolaryngology head & neck surgery: pediatric volume. 3. utg. Chicago: Mosby, 1998: 257.
- 11.
Blanco JR, Guiterrez C, Zabalza M et al. Clinical microbiological case: sore throat and painful bilateral lymphnodes. Clin Microbiol Infect 2001; 7: 654 – 6.
- 12.
Broekhuijsen M. Genome-wide DNA microarray analysis of Francisella tularensis strains demonstrates extensive genetic conservation within the species but identifies regions that are unique to the highly virulent F. tularensis subsp. tularensis. J Clin Microbiol 2003; 41: 2924 – 31.
- 13.
Bevanger L, Mæland JA, Næss AI. Agglutinins and antibodies to Francisella tularensis outer membrane antigens in the early diagnosis of disease during an outbreak of tularemia. J Clin Microbiol 1988; 26: 433 – 42.
- 14.
Sjöstedt A, Eriksson U, Berglund L et al. Detection of Francisella tularensis in ulcers of patients with tularemia by PCR. J Clin Microbiol 1997; 35: 1045 – 8.