Background.
Human metapneumovirus (hMPV) was isolated for the first time in 2001 from young children with acute respiratory tract infection.
Materials and methods.
Review of published data on the clinical impact of hMPV and our own experience with hMPV during three winter seasons. We present four cases of severe hMPV childhood infections.
Results.
Human metapneumovirus accounts for approximately 10 % of respiratory tract infections that are not related to previously known etiologic agents. The virus seems to be distributed worldwide and to have a seasonal distribution. During a short epidemic, 60 % of our isolates from children with respiratory infection tested positive for hMPV. Serologic studies have shown that by the age of five, virtually all children have been exposed to the virus and reinfections appear to be common. Human metapneumovirus may cause mild respiratory tract infection. Small children, elderly and immunocompromised individuals are, however, at risk of severe disease and hospitalization. Although the clinical manifestations of hMPV resemble those of respiratory syncytial virus, we have observed that hMPV more often causes severe pneumonia in hospitalized children.
Interpretation.
Human metapneumovirus is an important cause of acute respiratory tract infection in children. The virus may cause severe disease in patients at risk. We recommend identification and isolation of hospitalized hMPV-infected patients.
Ved hjelp av moderne genteknologiske metoder identifiserte nederlandske forskere i 2001 et nytt virus isolert i nasopharynxsekret fra barn med luftveisinfeksjon, humant metapneumovirus (1). Genetiske studier viste at det var et paramyxovirus, og man klassifiserte det som det første humane virus i slekten metapneumovirus (1). Viruset likner kjente luftveispatogener som respiratorisk syncytialt virus (RSV) og parainfluensavirus (1). Den karakteristiske epidemiske forekomst, resultater fra enkelte dyreforsøk (1) og det faktum at viruset oftest ikke kan isoleres fra friske barn (1) – (3), taler også for at det er en kausal sammenheng mellom viruseksposisjon og sykdomsutvikling. Siden 2001 har man funnet humant metapneumovirus i nasopharynxsekret i Australia (4), Canada (5), USA (3, 6, 7), Hongkong (2), Japan (8) og flere europeiske land (9) – (11), slik at det er grunn til å tro at viruset finnes i hele verden.
Sesongvariasjon
Humant metapneumovirus ser ut til å være et epidemisk virus med størst forekomst om vinteren. Forekomsten varierer sannsynligvis betydelig fra år til år på ulike steder (6, 7, 12). Vinteren 2002 – 03 påviste vi humant metapneumovirus i nasopharynxsekret hos 50 (21 %) og respiratorisk syncytialt virus hos 36 (15 %) av barn innlagt med luftveisinfeksjon på Avdeling for barn og ungdom, St. Olavs Hospital (11). Under en kort epidemi fra den 15. november 2002 til den 15. januar 2003 utgjorde humant metapneumovirus nesten 60 % av isolatene (fig 1), og alle tilfeller av respiratorisk syncytialt virus ble påvist etter epidemien med humant metapneumovirus. Vi har fortsatt å teste rutinemessig for viruset, og fra mai 2003 til november 2004 påviste vi kun ett tilfelle. Fra november 2004 har vi sett et økende antall infeksjoner. 35 barn har testet positivt i løpet av tre måneder. Liknende utbrudd er rapportert fra andre deler av landet (13).
Forekomst og risikogrupper
Barn
van den Hoogen og medarbeidere fant at 400 tilfeldig utvalgte friske barn alle testet negativt for humant metapneumovirus og antyder at asymptomatisk bærertilstand hos barn ikke er vanlig (1). De samme forfattere påviste også antistoffer mot viruset hos 25 % av barn yngre enn ett år og hos alle over fem år (1). Dette tyder på at humant metapneumovirus kan være et vanlig forekommende virus som rammer mange barn tidlig. Den første rapporten indikerte at viruset var årsak til om lag 10 % av nedre luftveisinfeksjoner hos barn der man tidligere ikke har kunnet påvise et agens. I en populasjonsbasert studie fra primærhelsetjenesten fant man humant metapneumovirus hos 12 % av barn med nedre luftveisinfeksjon og hos 15 % av dem med øvre luftveisinfeksjon. Bare 2 % av barna infisert med humant metapneumovirus ble hospitalisert (3). Blant hospitaliserte barn med luftveisinfeksjon er forekomsten 4 – 7 % (6, 7, 14). Forekomsten blant spedbarn innlagt med luftveisinfeksjon er rapportert å være opptil 25 % (10). I vår studie var median alder på barn innlagt med humant metapneumovirus-infeksjon 12 måneder. Barn under to år som hospitaliseres for humant metapneumovirus synes oftest å være friske fra tidligere, mens barn over fem år hyppigere har tilgrunnliggende sykdom (12). Egne og andres observasjoner tyder på at over halvparten av barn innlagt med humant metapneumovirusinfeksjon kan ha kronisk sykdom som astma, cystisk fibrose, kongenitt hjertefeil, immunsvikt eller nevrologisk sykdom (7, 11). Vi fant en viss overhyppighet av prematurt fødte barn (12 %), mens andre har funnet at opptil halvparten var født prematurt (6, 7).
Voksne
Påfallende mange unge voksne synes å ha mild eller subklinisk humant metapneumovirus-infeksjon, sannsynligvis fordi de gjennom kontakt med barn hyppig eksponeres for viruset og dermed bygger opp en viss immunitet. Falsey fulgte 195 unge voksne i to vintersesonger med hjemmebesøk og testet med serologi og polymerasekjedereaksjon (PCR) (12). Ved luftveissymptomer var forekomsten av viruset 6,6 %, mens så mange som 9,5 % fikk påvist subklinisk infeksjon ved serologisk testing. De samme forfatterne fant at prevalensen av humant metapneumovirus-infeksjon hos en gruppe eldre var 1,7 %, hos hjerte- og lungesyke 2,9 % og hos sykehjemspasienter 5,4 %. Eldre og kronisk syke synes utsatt for alvorlig humant metapneumovirus-infeksjon som krever hospitalisering. Falsey fant viruset hos 6,5 % av 309 eldre og syke innlagt med respirasjonssymptomer, en forekomst i samme størrelsesorden som hos innlagte barn.
Kliniske manifestasjoner
Viruset synes å være assosiert med et bredt spektrum av kliniske manifestasjoner, fra milde øvre luftveisinfeksjoner til alvorlig luftveissykdom som krever hospitalisering og intensivbehandling. Luftveissymptomer er dominerende, men det er også rapportert om tilfeller med diaré, oppkast, utslett og konjunktivitt (2, 9, 10, 11, 15, 16). I vår studie fra 2002 – 03 hadde de fleste (86 %) høy feber, med en median maksimal temperatur på 39,6 °C. 28 % fikk surstofftilskudd ved innleggelsen (SaO2 < 90 %), 6 % (tre barn) fikk intensivbehandling og mekanisk ventilasjonsstøtte. Gjennomsnittlig liggetid var tre dager (spredning 1 – 24 dager) og alle overlevde. I alt 82 % hadde nedre luftveisinfeksjon, de fleste i form av radiologisk verifisert pneumoni (58 %). Barn med pneumoni utviklet høy maksimal C-reaktivt protein (CRP)-verdi (median 106 mg/l). Vi kan ikke sikkert fastslå hvorvidt disse pasientene hadde en bakteriell infeksjon i tillegg. Under den pågående epidemien har vi på nytt sett påfallende mange barn med pneumoni. Pasient 1 illustrerer pneumoni ved humant metapneumovirus-infeksjon sammen med sannsynlig bakteriell luftveisinfeksjon.
Voksne med humant metapneumovirus-infeksjon har vanligvis mild forkjølelse og influensasymptomer (12). Det er rapportert to tilfeller av letal humant metapneumovirus-infeksjon. En 17 måneder gammel jente med akutt lymfoblastisk leukemi døde etter å ha gjennomgått infeksjon med to ulike stammer med ti måneders mellomrom (17). En 33 år gammel beinmargstransplantert pasient døde etter at en øvre luftveisinfeksjon utviklet seg til respirasjonssvikt (18).
Akutt hvesing
Luftveisvirus er den viktigste årsak til akutt hvesing (bronkiolitt og astma) hos barn (4, 19). Bronkiolitt er oftest forårsaket av respiratorisk syncytialt virus, og astmaforverring utløses hyppigst av rhinovirus. Flere studier antyder en mulig sammenheng mellom humant metapneumovirus-infeksjon og akutt hvesing (2, 11, 16), men hvor stor betydning humant metapneumovirus har i denne sammenheng, er det for tidlig å si med sikkerhet. En finsk studie blant barn innlagt med akutt hvesing påviste hyppigere respiratorisk syncytialt virus (27 %), rhinovirus (25 %) og enterovirus (25 %) enn humant metapneumovirus (4 %) (19). Blant spedbarn fant man humant metapneumovirus hos 11 %, noe som tyder på at viruset kan være en hyppigere årsak til hvesing hos de yngste. Rawlings og medarbeidere fulgte småbarn med astma gjennom to år, men fant ingen sammenheng mellom humant metapneumovirus og astmaforverring (4). Vår erfaring er at viruset ikke bare fører til kortvarige obstruktive episoder hos små barn, men også alvorlig astmaforverring hos større barn (pasient 2).
Sammenlikning med respiratorisk syncytialt virus
De kliniske manifestasjoner ved respiratorisk syncytialt virus og humant metapneumovirus synes å være relativt like både hos barn og voksne (3, 6, 7, 14, 20). Flere har antydet at humant metapneumovirus-infeksjon er noe mildere enn respiratorisk syncytialt virus, og dette kan underbygges av at hospitaliseringsraten var høyere for respiratorisk syncytialt virus enn for humant metapneumovirus i en nylig publisert italiensk studie (20). Den samme studien fant imidlertid at familiene til pasienter med humant metapneumovirus hadde flere legebesøk og flere fraværsdager enn familiene til barn med respiratorisk syncytialt virus og influensavirus. Vi fant at humant metapneumovirus hyppigere enn respiratorisk syncytialt virus var assosiert med pneumoni (fig 2), høy feber og høye CRP-verdier. Barn med humant metapneumovirus-infeksjon hadde en høyere gjennomsnittlig alder og en større aldersspredning enn RS-virusinfiserte (fig 3), og dette passer med andres observasjoner (6, 7, 11, 20). Det er mulig de noe ulike sykdomsbilder kan forklares av disse aldersforskjellene. Klinisk kan det være vanskelig å skille de to virusene, spesielt hos de minste. Pasient 3 illustrerer et spedbarn med humant metapneumovirus-infeksjon som utviklet en alvorlig akutt bronkiolitt som ved en klassisk RS-virusinfeksjon.
Koinfeksjon
Som del av en stor britisk studie undersøkte man 30 barn som ble respiratorbehandlet for alvorlig RS-virusinfeksjon og fant humant metapneumovirus i bronkialskyllevæsken hos 70 % av dem (21). Dette tyder på at humant metapneumovirus kan øke risikoen for alvorlig RS-virusinfeksjon. Pasient 4 er et eksempel på dette. I en senere amerikansk studie fant man imidlertid ingen tilfeller av humant metapneumovirus hos 23 barn med alvorlig RS-virusinfeksjon (22). Ti barn i vår studie fikk påvist et annet luftveisvirus sammen med humant metapneumovirus. Cytomegalovirus (CMV) og humant metapneumovirus ble påvist hos seks som alle hadde pneumoni. Cytomegalovirus kan ha en immundempende virkning (23, 24), og det kan derfor tenkes at dette virus øker risikoen for alvorlig humant metapneumovirus-infeksjon.
Isolasjonsrutiner
Norske sykehus har tester og isolasjonsrutiner ved RS-virusinfeksjon. Klinisk kan humant metapneumovirus være vanskelig å skille fra respiratorisk syncytialt virus (22). Humant metapneumovirus overføres som andre luftveisvirus sannsynligvis ved luftveissmitte, og gjennomgått infeksjon synes ikke å gi persisterende immunitet (1, 8). Det finnes minst to ulike serotyper som noen ganger sirkulerer samtidig og som tilsynelatende ikke gir kryssimmunitet (17, 25). Man kan derfor risikere smittespredning ved å plassere pasienter med humant metapneumovirus-infeksjon sammen. Nosokomial smitte er beskrevet (15) og viruset kan forårsake alvorlig infeksjon og dødelig sykdom hos immunsupprimerte (17, 18). Disse forhold taler for at man i sykehus bør identifisere og isolere pasienter med humant metapneumovirus.
Kasuistikker
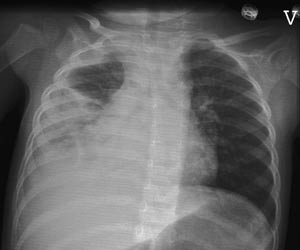
Pasient 1. En 21 måneder gammel tidligere frisk jente. Hun var forkjølet en uke før hun fikk akutt forverring med temperatur over 40 °C, stønnende respirasjon og generelt utslett og ble innlagt med mistanke om sepsis. Røntgen thorax viste et lite infiltrat basalt i venstre lunge og CRP var 100 mg/l. Hun ble utskrevet neste dag med pågående penicillinbehandling. Hun ble innlagt igjen fem dager senere etter at hun på nytt fikk høy feber. Røntgen thorax viste nå pleuravæske og infiltrat i høyre lunge (fig 4). CRP var 92 mg/l. Det ble tatt nasopharynxaspirat som var positiv for humant metapneumovirus, mens hun testet negativt for andre luftveisvirus. Antigenpåvisning og serologi for Bordetella pertussis, Chlamydia pneumoniae og Mycoplasma pneumoniae var negative. Hun hadde rikelig oppvekst av betahemolytiske streptokokker gruppe A og Streptococcus pneumoniae i halsprøve tatt ved første innleggelse. Blodkulturer var negative. Hun ble behandlet med cefotaksim intravenøst og ble utskrevet etter fem dager med amoxicillin. Først ved kontroll tre uker senere var pleuravæsken borte og jenta helt frisk.
Pasient 2. En sju år gammel jente med asthma bronchiale som ble innlagt med økende obstruktivitet etter en forkjølelse. Ved innleggelsen var oksygenmetningen 87 % og temperaturen 39,2 °C. Røntgen thorax viste uttalte bilaterale hilusnære infiltrater med atelektatisk preg og en stor atelektatisk fortetning i høyre lungetopp (fig 5). CRP var 13 mg/l. Det ble påvist humant metapneumovirus i nasopharynxaspirat. Hun testet negativt for andre luftveisvirus. På tross av hyppige inhalasjoner (adrenalin, salbutamol og budesonid) og metylprednisolon intravenøst, tilkom forverret hypoksi og økende infiltrater. Initial intravenøs penicillinbehandling ble skiftet til intravenøs erytromycin etter noen dager. Serologi for Mycoplasma pneumoniae var imidlertid negativ. Hun fikk oksygentilskudd i sju dager og var innlagt i 11 dager. Hun har ikke hatt akutt astmaforverring senere.
Pasient 3. En 13 uker gammel gutt født etter 29 ukers svangerskap. Etter tre dager med tungpust og dårlig matinntak ble han innlagt i lokalsykehuset. To dager senere ble han overflyttet til St. Olavs Hospital grunnet lange apnéperioder med cyanose. Han var medtatt og hadde cyanoseanfall med oksygenmetning på 60 % ved innleggelse. Røntgen thorax viste buskete perihilære tegninger. CRP og leukocyttall var innenfor normalområdet. Kapillær pCO₂ var 9,9 kPa. Nasopharynxaspirat var positiv for humant metapneumovirus. Tester for andre luftveisvirus var negative. Han fikk behandling med kontinuerlig positivt luftveistrykk (CPAP) i to døgn og var frisk ved utskrivningen til hjemmet etter fem dager.
Pasient 4. En fire år gammel gutt med arthrogryposis congenita og lungehypoplasi som inntil et år tidligere hadde vært trakeostomert grunnet trakeomalasi. Han hadde vært i full aktivitet og uten surstofftilskudd før han ble forkjølet. Etter noen dagers slapphet og hoste ble han innlagt i lokalsykehuset med økende pustebesvær, diaré og konjunktivitt. Røntgen viste perihilære fortetninger, og CRP var 86 mg/l. Han ble behandlet med intensivt inhalasjonsregime, aminofyllin intravenøst, systemiske steroider og antibiotika i form av cefaleksin. Etter seks døgn hadde han alvorlig respirasjonssvikt og ble overflyttet til St. Olavs Hospital, hvor han ble respiratorbehandlet i 12 dager. Det var ingen oppvekst av bakterier fra trakealaspirat. Nasopharynxaspirat var positiv for humant metapneumovirus, negativ for andre luftveisvirus. En høy RS-virustiter på 512 var forenlig med aktuell infeksjon. Han var i fin bedring ved overflytting til lokalsykehuset etter 24 dager.
Manuskriptet ble godkjent 4.5. 2005.
Oppgitte interessekonflikter: Ingen
Hovedbudskap
Humant metapneumovirus opptrer epidemisk i vinterhalvåret
Alvorlig humant metapneumovirus-infeksjon rammer oftest små barn og kronisk syke
Humant metapneumovirus-infiserte pasienter i sykehus bør identifiseres og isoleres
- 1.
van den Hoogen BG, De Jong JC, Groen J et al. A newly discovered human metapneumovirus isolated from young children with respiratory tract disease. Nat Med 2001; 7: 719 – 24.
- 2.
Peiris JS, Tang WH, Chan KH et al. Children with respiratory disease associated with metapneumovirus in Hong Kong. Emerg Infect Dis 2003; 9: 628 – 33.
- 3.
Williams J, Harris P, Tollefson S et al. Human metapneumovirus and lower respiratory tract disease in otherwise healthy infants and children. N Eng J Med 2004; 350: 443 – 50.
- 4.
Rawlinson WD, Waliuzzaman Z, Carter IW et al. Astma exacerbations in children associated with rhinovirus but not human metapneumovirus. J Infect Dis 2003; 187: 1314 – 8.
- 5.
Viazov S, Ratjen F, Scheidhauer R et al. High prevalence of human metapneumovirus infection in young children and genetic heterogeneity of the viral isolates. J Clin Microbiol 2003; 41: 3043 – 5.
- 6.
Mullins JA, Erdman DD, Weinberg GA et al. Human metapneumovirus infection among children hospitalized with acute respiratory illness. Emerg Infect Dis 2004; 10: 700 – 5.
- 7.
McAdam AJ, Hasenbein ME, Feldman HA et al. Human metapneumovirus in children tested at a tertiary-care hospital. J Infect Dis 2004; 190: 20 – 5.
- 8.
Ebihara T, Endo R, Kikuta H et al. Human metapneumovirus in Japanese children. J Clin Microbiol 2004; 42: 126 – 32.
- 9.
Boivin G, De Serres G, Cote S et al. Human metapneumovirus infections in hospitalized children. Emerg Infect Dis 2003; 9: 634 – 40.
- 10.
Maggi F, Pifferi M, Vatteroni M et al. Human metapneumovirus associated with respiratory tract infections in a 3-year study of nasal swabs from infants in Italy. J Clin Microbiol 2003; 41: 2987 – 91.
- 11.
Døllner H, Risnes K, Radtke A et al. Outbreak of metapneumovirus infection in Norwegian children. Ped Infect Dis J 2004; 23: 436 – 40.
- 12.
Falsey AR, Erdman D, Anderson LJ et al. Human metapneumovirus in young and elderly adults. J Infect Dis 2003; 187: 785 – 90.
- 13.
MSIS-rapport nr. 51/2004. Oslo: Statens institutt for folkehelse, 2004.
- 14.
van den Hoogen B, Doornum G, Fockens J et al. Prevalence and clinical symptoms of human metapneumovirus infection in hospitalized patients. J Infect Dis 2003; 188: 1571 – 6.
- 15.
Esper F, Boucher D, Weibel C et al. Human metapneumovirus infection in the United States: Clinical manifestations associated with a newly emerging respiratory infection in children. Pediatrics 2003; 111: 1407 – 10.
- 16.
Jartti T, Lehtinen P, Vuorinen T et al. Respiratory picornaviruses and respiratory syncytial virus as causative agents of acute expiratory wheezing in children. Emerg Infect Dis 2004; 6: 1095 – 101.
- 17.
Pelletier G, Dery P, Abed Y. Respiratory tract reinfection by the new human metapneumovirus in an immunocompromised child. Emerg infect Dis 2002; 8: 976 – 8.
- 18.
Cane PA, van den Hoogen BG, Chakrabarti S et al. Human metapneumovirus in a hematopoietic stem cell recipient with fatal lower respiratory tract disease. Bone Marrow Transplant 2003; 31: 309 – 10.
- 19.
Jartti T, van den Hoogen B, Garofalo R et al. Metapneumovirus and acute wheezing in children. Lancet 2002; 360: 1393 – 4.
- 20.
Bosis S, Esposito S, Niesters H et al. Impact of Human metapneumovirus in childhood: Comparison with respiratory syncytial virus and influenza viruses. J Med Virol 2005; 75: 101 – 4.
- 21.
Greensill, Namara P, Dove W et al. Human metapneumovirus in severe respiratory syncytial virus bronchiolitis. Emerg Infect Dis 2003; 9: 372 – 4.
- 22.
Lazar I, Weibel C, Dziura J et al. Human metapneumovirus and severity of respiratory syncytial virus disease. Emerg Infect Dis 2004; 7: 1318 – 20.
- 23.
Mocarski AS Jr. Immunomodulation by cytomegaloviruses: manipulative strategies beyond evasion. Trends Microbiol 2002; 10: 332 – 9.
- 24.
Pass RF, Hutto C. Group day care and cytomegaloviral infections of mothers and children. Rev Infect Dis 1986; 8: 599 – 605.
- 25.
EbiharaT, Endo R, Ishiguro N et al. Early reinfection with human metapneumovirus in an infant. J Clin Microbiol 2004; 42: 5944 – 6.