Background and methods.
Brain metastases are far more common than primary central nervous system tumours. Based on our own clinical experiences and relevant literature published over the last decade (Medline), we present an overview of diagnosis and treatment.
Results.
Brain metastases are caused by haematogenous spread from extracranial tumours, most frequently from cancers in the lung, breast, melanoma, renal carcinomas and colorectal carcinomas. Three out of four patients present with multiple brain metastases. Cerebral MR is the most sensitive investigation. The most important prognostic factors for survival are Karnofsky score, age < 65, well controlled primary cancer and absence of systemic cancer disease.
Interpretation.
Some patients are offered neurosurgical treatment (surgery or gamma knife), depending on their clinical status, the number and location of brain metastases, and the histology and degree of systemic involvement of the primary tumour. The gamma knife is the treatment of choice with multiple and solitary tumours smaller than 3 cm that lie deep within the brain or within eloquent areas, whereas surgery is the treatment of choice with solitary metastases larger than 3 – 3.5 cm that are surgically accessible and cause significant mass effects. Solitary lesions without significant mass effect can be treated with either technique, as their documented efficacies are similar. However, the gamma knife is often preferred since this method is rapid, less invasive, has low morbidity and shortens the hospital stay.
20 – 40 % av alle kreftpasienter utvikler hjernemetastaser. Insidensen er økende. Det kan skyldes økende forekomst av kreftformer som gir slike metastaser og at bedre lokalbehandling av primærtumor generelt har ført til forlenget overlevelse, samt bedret radiologisk diagnostikk. Vi presenteres en oversikt basert på relevant Medline-søk og egne erfaringer.
Hjernemetastaser skyldes hematogen spredning. De fleste har utgangspunkt i lunge, bryst, hud (melanom) og nyre samt kolorektaltractus (1). I omkring 80 % av tilfellene diagnostiseres hjernemetastaser hos pasienter med allerede kjent kreftsykdom. Hos de resterende er primærtumors utgangspunkt ukjent, men av disse vil omkring 50 % ha metastaser fra lungecancer.
Metastasene opptrer i grensen mellom grå og hvit substans hvor blodkarene innsnevres, samt i grensene mellom de større hjernearteriers forsyningsområder. Den topografiske lokalisasjon av metastasene svarer til hjernens regionale blodgjennomstrømning. Følgelig er omkring 85 % supratentorielle, mens resten opptrer i lillehjernen og hjernestammen (2).
Hos 9 % av kreftpasientene er sentralnervesystemet eneste sted hvor spredning påvises, hos resten er det metastaser andre steder i kroppen.
Tre av fire pasienter med spredning til hjernen har multiple intrakraniale lesjoner. Dette forekommer hyppigst ved ikke-småcellet lungekarsinom, brystkreft og malignt melanom (3).
Symptomer
Pasientenes symptomer og tegn har i hovedsak tre årsaker:
Økt intrakranialt trykk, enten på grunn av masseeffekt fra tumor, masseeffekt fra ødem i hjernevevet omkring tumor (det perifokale ødem) eller obstruktiv hydrocephalus. Symptomene er bl.a. hodepine (40 – 50 %), kvalme, oppkast, tretthet og slapphet. Hodepinen er ofte verst om morgenen og øker gradvis i intensitet over tid. Kliniske tegn kan være stasepapiller (15 – 20 %) og/eller fokalnevrologiske utfall (opptil 40 %), særlig fra øyets bevegelsesnerver.
Irritasjon av omkringliggende hjernevev. Dette gir epileptiske anfall hos 15 – 20 % av pasientene, og ses enda hyppigere ved melanommetastaser.
Direkte skade av hjernevev på grunn av direkte innvekst eller press fra omkringliggende ødem. Dette gir fokalnevrologiske utfall som hemiparese, dysfasi, sensoriske utfall eller ataksi, alt etter hvilke deler av hjernen som er affisert. Ved affeksjon av frontallappene kan man se psykiske endringer, slik som ukritisk atferd, redusert hukommelse, emosjonell inkontinens, hurtige humørsvingninger og konfusjon. Cerebellare metastaser gir ofte ustøhet, kraftig svimmelhet og oppkast.
Pasientene utvikler ovennevnte symptomer og tegn over uker og måneder. Imidlertid kan enkelte svulster, og da særlig melanomer, debutere akutt etter en blødning i tumor (5 – 10 %).
Diagnostikk
Radiologi
Cerebral MR er gullstandarden. Dette er den mest sensitive undersøkelsen for påvisning av små metastaser og i differensialdiagnostikk overfor andre cerebrale prosesser.
Cerebral CT med kontrast påviser multiple metastaser hos omkring 50 %, mens MR med kontrast avdekker multiplisitet hos omkring 75 % (3).
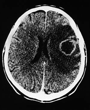
Metastasene er typisk runde i formen, har tilsynelatende god avgrensning til omkringliggende hjernevev, kan ha sentral nekrose og er ofte omgitt av et betydelig ødem. Svulstene har ofte ringoppladning etter kontrast (fig 1).
Histologi
Endelig diagnose krever histologisk undersøkelse. Vevsprøve kan skaffes via åpen reseksjon av svulstsvevet eller ved hjelp av stereotaktisk teknikk.
Differensialdiagnoser
Viktigst er abscess. Det er viktig å huske på at hjerneabscess også kan forekomme hos pasienter med normal temperatur, normalt antall leukocytter i blod og normal CRP. Andre aktuelle differensialdiagnoser er primær hjernesvulst (gliom), lymfom i sentralnervesystemet, demyeliniserende lidelser (multippel sklerose), hjerneinfarkt og intracerebral blødning.
Prognostiske faktorer
Basert på tre store multisenterstudier, utgått fra den amerikanske Radiation Therapy Oncology Group, ble 1 200 pasienter med hjernemetastaser analysert (4). Fire faktorer var avgjørende for prognosen:
God funksjonsstatus (Karnofsky-skåre ≥ 70). Det er kortere overlevelse etter behandling for pasienter med Karnofsky-skåre < 70, dvs. ikke-selvhjulpne.
Blant pasienter med Karnofsky-skåre ≥ 70 var velkontrollert primær kreftsykdom viktigste prognostiske faktor (4). 80 % av pasientene som blir operert og strålebehandlet for solitær hjernemetastase, dør av grunnlidelsen, ikke av hjernemetastase. Følgelig er det svært viktig med preoperativ vurdering av klinisk stadium. Pasienter som etter en slik gjennomgang har en forventet levetid utover 3 – 4 måneder og utsikter til brukbar livskvalitet, kan vurderes for behandling.
Alder. Personer under 65 år hadde signifikant lengre overlevelse (4).
Fravær av eller velkontrollert systemisk kreftsykdom, dvs. ingen andre metastaser enn til hjernen, har betydning (4).
Basert på disse faktorene kan pasienter inndeles i tre prognostiske klasser. I klasse 1, dvs. Karnofsky-skåre ≥ 70, alder < 65 år, kontrollert primærcancer og fravær av eller velkontrollert systemisk cancersykdom, var median overlevelse 7,1 måneder, mens den i klasse 3, dvs. alle med Karnofsky-skåre < 70, var 2,3 måneder. Klasse 2 består av alle som ikke er i klasse 1 eller klasse 3, her var median overlevelse 4,2 måneder (4).
I andre studier er det avdekket prognostiske faktorer som:
Effekt av glukokortikoid (5). Nevrologiske utfall kan skyldes perifokalt ødem og i mindre grad direkte tumorinnvekst. Klinisk kan dette vurderes ved å gi en høydose glukokortikoid-kur. Pasienter med betydelig forbedring i Karnofsky-skåre er bedre egnet for behandling enn dem som ikke har slik effekt.
Langt intervall mellom påvisning av primær kreftsykdom og opptreden av hjernemetastase (5).
Færre enn tre hjernemetastaser (5, 6). Pasienter med flere metastaser vil ha en dårligere kontrollert grunnsykdom og derfor større risiko for enda flere metastaser i løpet av kort tid.
Behandling
Formålet med behandlingen er å bedre livskvaliteten og forlenge overlevelsen. Behandlingsmessig har man fem modaliteter: kirurgi, gammakniv («strålekniv»), fullhjernebestråling (radioterapi), kjemoterapi og glukokortikoidbehandling.
Ubehandlet er den mediane overlevelse for pasienter med hjernemetastaser ca. én måned, den er 1 – 2 måneder med glukokortikoidbehandling, 4 – 6 måneder med radioterapi og 9 – 12 måneder med kirurgi pluss radioterapi (5) og med gammaknivbehandling (7).
Solitær metastase
Kirurgi. Kirurgisk reseksjon av hjernemetastaser kan være viktig for å bevare eller forbedre nevrologisk funksjon, redusere trykksymptomer, få endelig histologisk diagnose og forlenge overlevelsen (8, 9). Metastasens lokalisasjon er av vesentlig betydning, idet dette er avgjørende for kirurgisk tilgjengelighet. Ved MR-undersøkelsen vurderes om svulsten er dyp eller overflatisk og hvorvidt den ligger i eller utenfor funksjonelt viktige områder.
I en studie med 48 pasienter fant Patchell og medarbeidere (8) at median overlevelse var mer enn to ganger så lang hos pasienter behandlet med kirurgi pluss radioterapi sammenliknet med kirurgi alene (40 uker versus 15 uker), frekvensen av lokalt residiv ble halvert (20 % versus 52 %) og pasientene var lenger selvhjulpne (38 uker versus åtte uker).
Vecht og medarbeidere (9) randomiserte 63 pasienter med solitære hjernemetastaser og fant at median overlevelse var nesten fordoblet i gruppen kirurgi pluss radioterapi i forhold til gruppen med kirurgi alene (10 md. versus 6 md.).
Mintz og medarbeidere (10) fant imidlertid ingen forskjell i median overlevelse i en randomisert multisenterstudie med 84 pasienter (6 md.). Studien er blitt kritisert på grunn av lav styrke, idet mange med meget lav Karnofsky-skåre og aktiv systemisk sykdom ble inkludert.
Gammakniv. De ioniserende strålene i en gammakniv kommer fra Co60-kilder som er ordnet slik at strålene fra hver av de 201 kildene møtes i sentrum av en halvkule («fokus»). Således gir hver enkelt av de 201 strålene minimal normalvevsskade, energien blir konsentrert i fokus (metastasen) og induserer radionekrose (11). Ved svulstvolumer på under 3 – 3,5 cm i diameter kan man oppnå et meget skarpt dosefall mot omgivende hjernevev.
En fordel med gammakniven fremfor kirurgi er at man kan behandle lesjoner som ligger dypt eller i funksjonelt viktige områder i hjernen. Teknikken er også minimalt invasiv, idet man kun benytter en stereotaktisk ramme festet til pasientens hodeskalle. Behandlingen gis som én dose, og pasienten kan som regel reise hjem neste dag (11).
En rekke retrospektive undersøkelser av gammaknivbehandling har vist at median overlevelse varierer fra seks til 15 måneder (12). Dette er generelt lenger enn man ville forvente ved radioterapi alene og sammenliknbart med resultatene etter kirurgi (13).
Tumortyper som er relativt ufølsomme for vanlig fraksjonert strålebehandling, f.eks. malignt melanom og nyrekreft, viser samme respons på gammaknivbehandling som andre krefttyper (7, 14, 15).
Ettersom man ikke oppnår en rask reduksjon i metastasens volumeffekt, vil gammaknivbehandling være mindre egnet hos pasienter hvor hovedsymptomene skyldes forhøyet intrakranialt trykk eller nevrologiske utfall som følge av tumorvolum.
Der det er tvil om den histologiske diagnosen, må pasientene ha et kirurgisk inngrep for å få tatt biopsi før gammaknivbehandling. Det er kjent at 5 – 10 % av pasientene med kjent kreftsykdom og én lesjon i hjernen vil ha enten en abscess eller en primærsvulst i sentralnervesystemet snarere enn en metastase (8, 16).
Gammakniv versus kirurgi. Det finnes ingen prospektive, randomiserte studier der man har sammenliknet kirurgisk behandling og gammaknivbehandling av solitære metastaser. Det finnes fire retrospektive studier, men i disse har man dessverre kommet til motsatte konklusjoner og de har dermed ikke bidratt til endelig avklaring (12, 14, 17, 18).
Fullhjernebestråling. I en prospektiv studie med 95 pasienter med solitær metastase og begrenset systemisk sykdom fant Patchell og medarbeidere (19) en ikke-signifikant forskjell i overlevelse, men signifikant færre lokale residiver (10 % versus 46 %), færre nye hjernemetastaser (14 % versus 37 %) og færre dødsfall som følge av hjernemetastaser (14 % versus 44 %) i gruppen som ble behandlet med kirurgi pluss radioterapi. Man har i to retrospektive studier også funnet tendens til forlenget overlevelse etter postoperativ radioterapi (20, 21).
Fullhjernebestråling som eneste behandling tilbys gjerne pasienter med lav Karnofsky-skåre eller forventet overlevelse på under tre måneder. Fullhjernebestråling i form av 3 Gy per dag i to uker, totalt 30 Gy, øker median overlevelse til 3 – 6 måneder (22). Effekten er avhengig av histologiske funn. Småcellet lungekarsinom er meget strålefølsomt. Andre lungecancere og brystcancer er moderat strålefølsomme, mens melanomer og nyrekarsinomer er stråleresistente.
Multiple metastaser
I flere retrospektive undersøkelser har man funnet at median overlevelse faller med stigende antall hjernemetastaser. Det er imidlertid ikke påvist signifikant forskjell i median overlevelse for pasienter med én eller to hjernemetastaser (6, 23).
Kirurgi. Multiple metastaser er blitt ansett som en absolutt kontraindikasjon mot kirurgi. Imidlertid presenterte Bindal og medarbeidere i 1993 en retrospektiv analyse av 56 pasienter med multiple hjernemetastaser som ble operert (24). De som fikk fjernet alle sine lesjoner, hadde signifikant lengre overlevelse (median 14 md.) enn gruppen hvor minst én lesjon ikke ble fjernet (median 6 md.). Man fant ingen forskjell mellom pasientgruppene som ble radikaloperert, enten de hadde solitære eller multiple metastaser.
Gammakniv. Hos pasienter med multiple metastaser vil ofte bare enkelte lesjoner være tilgjengelige for kirurgi. Ettersom man ved multiplisitet kun har signifikant overlevelsesgevinst dersom man behandler alle metastasene (24), vil gammaknivbehandling ofte være førstevalget. Behandlingen er rask og skånsom, og utføres i én seanse (11).
Gammakniv versus kirurgi. Det finnes ingen prospektive, randomiserte studier der man har sammenliknet kirurgisk behandling og gammaknivbehandling av multiple hjernemetastaser. Det finnes heller ingen retrospektive studier som belyser spørsmålet.
Fullhjernebestråling. Fullhjernebestråling benyttes rutinemessig etter kirurgi for multiple metastaser. Det er imidlertid usikkert om et tillegg av fullhjernebestråling bedrer overlevelsen etter gammaknivbehandling (25).
Radioterapi alene vil ofte bli tilbudt pasienter som har aktiv systemisk sykdom og utbredt hjernemetastatisk sykdom hvor kirurgi eller gammaknivbehandling ikke er indisert (26).
Residiv
Kirurgi. I retrospektive studier har man funnet samme mediane overlevelse etter reoperasjon av hjernemetastaser som ved primæroperasjon, under forutsetning av at pasientenes kliniske situasjon for øvrig er uendret (27) – (29).
Gammakniv. Hos utvalgte pasienter vil man vurdere å tilby gammaknivbehandling ved residiv (30, 31).
Fullhjernebestråling. I retrospektive studier er det beskrevet en respons på 42 – 75 % ved gjentatt radioterapi, med median overlevelse på 3,5 – 5 måneder (32, 33). Følgelig er den mediane overlevelse ikke vesentlig forskjellig fra den etter førstegangsradioterapi. Imidlertid øker risikoen for strålekomplikasjoner betydelig ved ny bestråling.
Kjemoterapi
Med tre viktige unntak er hjernemetastaser lite følsomme for systemisk behandling, da de fleste cytostatika kun i liten grad passerer blod-hjerne-barrieren. Imidlertid antas hjernemetastaser fra brystkreft, småcellet lungekarsinom og germinalcellesvulster å ha samme følsomhet som ekstrakraniale metastaser (34). Det er derfor svært viktig med histologisk verifisering av diagnosen, idet kjemoterapi (ev. etterfulgt av fullhjernebestråling) og ikke kirurgi/gammakniv ofte vil være førstevalget for de to sistnevnte pasientgrupper.
Glukokortikoider
Glukokortikoider kan ha en meget god palliativ effekt (35). Standardbehandling er deksametason 4 mg fire ganger daglig som start, for deretter å trappe raskt ned til minste effektive dose for å minimalisere bivirkningene. Symptomatisk effekt ses typisk i løpet av 1 – 2 døgn, og maksimal effekt oppnås i løpet av en uke.
Før man starter med glukokortikoidbehandling, bør differensialdiagnosene abscess og lymfom utelukkes. Ved hjerneabscesser kan sykdomsforløpet akselereres dramatisk selv om pasienten initialt får symptomatisk bedring. Ved lymfom ses typisk en markant symptomlindring, men selv en kortvarig glukokortikoidbehandling kan medføre at B-lymfocyttene forsvinner radiologisk, slik at svulsten ikke lenger kan påvises på CT eller MR og man mister muligheten til åpen eller stereotaktisk biopsi for histologisk verifikasjon.
Antiepileptika
Pasienter som har hatt kramper, skal behandles med antiepileptika. Det er imidlertid ikke dokumentert nytte hos pasienter med hjernemetastaser som ikke har hatt kramper (22).
Konklusjon
Hjernemetastase er den vanligste form for hjernesvulst hos voksne. På grunn av forbedret kreftbehandling generelt øker antallet pasienter som utvikler metastaser i hjernen.
Enkelte tilbys nevrokirurgisk behandling (kirurgi eller gammakniv) – det er avhengig av klinisk status og antall og lokalisasjon av metastasene samt primærtumors histologi. Viktigste prognostiske faktorer er Karnofsky-skåre, alder < 65 år, velkontrollert primærcancer og fravær av systemisk kreftsykdom (4).
Prospektive, randomiserte studier der man sammenlikner kirurgisk behandling og gammaknivbehandling mangler. Vi mener derfor at disse metodene er komplementære ved solitære metastaser.
Gammakniv vil være førstevalget ved behandling av multiple og solitære svulster med diameter på under 3 cm som ligger dypt og/eller i følsomme områder (11), mens kirurgi vil være førstevalget ved solitære metastaser større enn 3 – 3,5 cm som er kirurgisk tilgjengelige og som gir betydelig masseeffekt (36). Ved solitære metastaser uten betydelig masseeffekt anses gammaknivbehandling og kirurgi som likeverdige behandlingstilbud i forhold til dokumentert behandlingseffekt, men gammakniv vil gjerne bli foretrukket fordi behandlingen er skånsom og rask, har lav morbiditet og medfører kort sykehusopphold (37).
Oppgitte interessekonflikter:
Geirmund Unsgård har styreverv og aksjer i selskapet Mison, som produserer nevronavigasjonssystemet SonoWand. De andre forfatterne har ingen interessekonflikter.
Oppgitte interessekonflikter: Se til slutt i artikkelen
Hovedbudskap
Hjernemetastaser er langt hyppigere enn primære svulster i sentralnervesystemet
Overlevelse er relatert til høy Karnofsky-skåre, alder < 65 år, velkontrollert primærcancer og fravær av systemisk cancersykdom
Gammakniv er førstevalget ved multiple og solitære svulster på under 3 cm som ligger dypt og/eller i følsomme områder
Kirurgi er førstevalget ved solitære metastaser større enn 3 – 3,5 cm som er kirurgisk tilgjengelige og som gir betydelig masseeffekt
- 1.
Lantos PL, Louis DN, Rosenblum MK et. Tumours of the nervous system. I: Graham DI, Lantos PL, red. Greenfield´s neuropathology. 7 utg. London: Arnold, 2002: 971 – 4.
- 2.
Delattre JY, Krol G, Thaler HT et al. Distribution of brain metastases. Arch Neurol 1988; 45: 741 – 4.
- 3.
Schellinger PD, Meinck HM, Thron A. Diagnostic accuracy of MRI compared to CT in patients with brain metastases. J Neurooncol 1999; 44: 275 – 81.
- 4.
Gaspar L, Scott C, Rotman M et al. Recursive patriation analysis (RPA) of prognostic factors in the three Radiation Therapy Oncology Group (RTOG) brain metastases trials. Int J Radiat Oncol Biol Phys 1997; 37: 745 – 51.
- 5.
Lagerwaard FJ, Levendag PC, Nowak PJ et al. Identification of prognostic factors in patients with brain metastases: a review of 1292 patients. Int J Radiat Oncol Biol Phys 1999; 43: 795 – 803.
- 6.
Joseph J, Adler JR, Cox RS et al. Linear accelerator-based stereotaxic radiosurgery for brain metastases: the influence of number of lesions on survival. J Clin Oncol 1996; 14: 1085 – 92.
- 7.
Brown PD, Brown CA, Pollock BEet al. Stereotactic radiosurgery for patients with «radioresistant» brain metastases. Neurosurgery 2002; 51: 656 – 65.
- 8.
Patchell RA, Tibbs PA, Walsh JW et al. A randomized trial of surgery in the treatment of single metastases to the brain. N Engl J Med 1990; 322: 494 – 500.
- 9.
Vecht CJ, Haaxma-Reiche H, Noordijk EM et al. Treatment of single brain metastasis: radiotherapy alone or combined with neurosurgery? Ann Neurol 1993; 33: 583 – 90.
- 10.
Mintz AH, Kestle J, Rathbone MP et al. A randomized trial to assess the efficacy of surgery in addition to radiotherapy in patients with a single cerebral metastasis. Cancer 1996; 78: 1470 – 6.
- 11.
Baardsen R, Larsen JL, Wester K et al. Hjernemetastaser behandlet med stereotaktisk gammabestråling – seks års erfaring med bruk av «gammakniven» ved Haukeland Sykehus. Tidsskr Nor Lægeforen 1997; 117: 1591 – 5.
- 12.
O’Neill BP, Iturria NJ, Link MJ et al. A comparison of surgical resection and stereotactic radiosurgery in the treatment of solitary brain metastases. Int J Radiat Oncol Biol Phys 2003; 55: 1169 – 76.
- 13.
Gerosa M, Nicolato A, Foroni R et al. Gamma knife radiosurgery for brain metastases: a primary therapeutic option. J Neurosurg 2002; 97 (suppl 5): 515 – 24.
- 14.
Auchter RM, Lamond JP, Alexander E et al. A multiinstitutional outcome and prognostic factor analysis of radiosurgery for resectable single brain metastasis. Int J Radiat Oncol Biol Phys 1996; 35: 27 – 35.
- 15.
Mori Y, Kondziolka D, Flickinger JC et al. Stereotactic radiosurgery for cerebral metastatic melanoma: factors affecting local disease control and survival. Int J Radiat Oncol Biol Phys 1998; 42: 581 – 9.
- 16.
Sawaya R, Bindal RK. Metastatic brain tumors. I: Kaye AH, Laws ERJ, red. Brain tumors: an encyclopedic approach. Edinburgh: Churchill Livingstone, 1995: 923 – 46.
- 17.
Muacevic A, Kreth FW, Horstmann GA et al. Surgery and radiotherapy compared with gamma knife radiosurgery in the treatment of solitary cerebral metastases of small diameter. J Neurosurg 1999; 91: 35 – 43.
- 18.
Bindal AK, Bindal RK, Hess KR et al. Surgery versus radiosurgery in the treatment of brain metastasis. J Neurosurg 1996; 84: 748 – 54.
- 19.
Patchell RA, Tibbs PA, Regine WF et al. Postoperative radiotherapy in the treatment of single metastases to the brain: a randomized trial. JAMA 1998; 280: 1485 – 9.
- 20.
DeAngelis LM, Mandell LR, Thaler HT et al. The role of postoperative radiotherapy after resection of single brain metastases. Neurosurgery 1989; 24: 798 – 805.
- 21.
Smalley SR, Laws ER jr., O’Fallon JR et al. Resection for solitary brain metastasis. Role of adjuvant radiation and prognostic variables in 229 patients. J Neurosurg 1992; 77: 531 – 40.
- 22.
Soffietti R, Ruda R, Mutani R. Management of brain metastases. J Neurol 2002; 249: 1357 – 69.
- 23.
Weltman E, Salvajoli JV, Brandt RA et al. Radiosurgery for brain metastases: a score index for predicting prognosis. Int J Radiat Oncol Biol Phys 2000; 46: 1155 – 61.
- 24.
Bindal RK, Sawaya R, Leavens ME et al. Surgical treatment of multiple brain metastases. J Neurosurg 1993; 79: 210 – 6.
- 25.
Hasegawa T, Kondziolka D, Flickinger JC et al. Brain metastases treated with radiosurgery alone: an alternative to whole brain radiotherapy? Neurosurgery 2003; 52: 1318 – 26.
- 26.
Sundström JT, Minn H, Lertola KK et al. Prognosis of patients treated for intracranial metstases with whole-brain irradiation. Ann Med 1998; 30: 296 – 9.
- 27.
Sundaresan N, Sachdev VP, DiGiacinto GV et al. Reoperation for brain metastases. J Clin Oncol 1988; 6: 1625 – 9.
- 28.
Bindal RK, Sawaya R, Leavens ME et al. Reoperation for recurrent metastatic brain tumors. J Neurosurg 1995; 83: 600 – 4.
- 29.
Arbit E, Wronski M, Burt M et al. The treatment of patients with recurrent brain metastases. A retrospective analysis of 109 patients with nonsmall cell lung cancer. Cancer 1995; 76: 765 – 73.
- 30.
Shaw E, Scott C, Souhami L et al. Single dose radiosurgical treatment of recurrent previously irradiated primary brain tumors and brain metastases: final report of RTOG protocol 90 – 05. Int J Radiat Oncol Biol Phys 2000; 47: 291 – 8.
- 31.
Bhatnagar A, Heron DE, Kondziolka D et al. Analysis of repeat stereotactic radiosurgery for progressive primary and metastatic CNS tumors. Int J Radiat Oncol Biol Phys 2002; 53: 527 – 32.
- 32.
Cooper JS, Steinfeld AD, Lerch IA. Cerebral metastases: value of reirradiation in selected patients. Radiology 1990; 174: 883 – 5.
- 33.
Wong WW, Schild SE, Sawyer TE et al. Analysis of outcome in patients reirradiated for brain metastases. Int J Radiat Oncol Biol Phys 1996; 34: 585 – 90.
- 34.
Kristensen CA, Kristjansen PE, Hansen HH. Systemic chemotherapy of brain metastases from small-cell lung cancer: a review. J Clin Oncol 1992; 10: 1498 – 502.
- 35.
Vecht CJ, Hovestadt A, Verbiest HB et al. Dose-effect relationship of dexamethasone on Karnofsky performance in metastatic brain tumors: a randomized study of doses 4, 8, and 16 mg per day. Neurology 1994; 44: 675 – 80.
- 36.
Schoggl A, Kitz K, Reddy M et al. Defining the role of stereotactic radiosurgery versus microsurgery in the treatment of single brain metastases. Acta Neurochir 2000; 142: 621 – 6.
- 37.
Rutigliano MJ, Lunsford LD, Kondziolka D et al. The cost effectiveness of stereotactic radiosurgery versus surgical resection in the treatment of solitary metastatic brain tumors. Neurosurgery 1995; 37: 445 – 53.