Background.
Cerebral cavernous malformations exist in sporadic and familial forms. They have considerable genetic and clinical heterogeneity. Better understanding of these disorders may improve management.
Material and methods.
This review is based on personal experience and recent literature.
Results.
Cerebral cavernous malformations are venous malformations that can be detected with gradient echo MRI of the brain. Approximately 0.5 % of the general population have the sporadic form with a single or a few cerebral cavernous malformations which mostly are asymptomatic. Those with the familial form usually have several cavernous malformations caused by an autosomal dominant condition. So far, 3 loci have been identified: CCM1 on chromosome 7q, CCM2 on chromosome 7p, and CCM3 on chromosome 3q, occurring in, respectively, approximately 40 %, 20 % and 40 % of the families. CCM1 is caused by a mutation in the KRIT1 gene and CCM2 is caused by a mutation in the MGC4607 gene, while the gene for CCM3 is not yet identified. Mean age at onset is 20 - 40, but onset can occur at all ages. The most frequent symptoms are seizures, cerebral haemorrhage, chronic headache and focal neurological deficits. Many carriers are, however, asymptomatic.
Interpretation.
Sporadic cerebral cavernous malformation is often asymptomatic, while the familial form shows phenotypic and genetic heterogeneity. The symptoms are depending on the location of the malformations as well as whether haemorrhage does occur.
Cerebrale kavernøse malformasjoner er vaskulære forandringer med abnormt forstørrede kapillærer i sentralnervesystemet (1) - (3). Lesjonene kan være lokalisert i hele sentralnervesystemet, men er oftest lokalisert i hemisfærene. Malformasjonene kan endre størrelse, og det kan komme flere til over tid. De intervenerer vanligvis ikke med hjerneparenkymet (4). Dette er en oversikt over de vesentligste kliniske og genetiske aspekter ved cerebrale kavernøse malformasjoner.
Forekomst
Cerebrale kavernøse malformasjoner forekommer både sporadisk og familiært. De utgjør cirka 15 % av alle vaskulære malformasjoner i sentralnervesystemet (4). Den sporadiske formen forekommer hos 5 av befolkningen, mens den familiære formen er relativt sjelden, bortsett fra hos noen spansk-amerikanere (1, 4). Mange tilfeller blir ikke diagnostisert, enten på grunn av varierende klinisk uttrykksform eller fordi personene er asymptomatiske bærere av genet (5, 6).
Klinikk og diagnostikk
De sporadiske tilfellene er oftest asymptomatiske og påvises da tilfeldig ved autopsi. De familiære tilfellene debuterer vanligvis hos personer i 20 - 40 års alder, men symptomer kan oppstå på alle alderstrinn. De hyppigste symptomer og funn er epileptiske anfall (43 %), cerebrale blødninger (28 %), kronisk hodepine (23 %) og fokale nevrologiske utfall (15 %) (4) - (7). Cirka 20 % av de familiære tilfellene er påvist hos asymptomatiske genbærere (5). Figur 1 viser en norsk familie med cerebrale kavernøse malformasjoner. Symptomene varierer intra- og interfamiliært betinget av malformasjonenes lokalisasjon samt om det oppstår blødning fra en eller flere av dem.
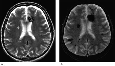
Malformasjonene har svært redusert perfusjon slik at de som regel ikke ses ved angiografiske undersøkelser. MR-skanning med gradientekko T2*-sekvens av hjerne og medulla er den bildediagnostiske metode med best sensitivitet (4, 6). Likevel får 2 - 3 % med den familiære formen ikke påvist noen forandringer ved MR- undersøkelse. 13 % av dem med familiær form har en enkelt cerebral kavernøs malformasjon (6). Figur 2 viser MR-skanning av hjernen hos person med cerebrale kavernøse malformasjoner.
Genetikk
Den familiære formen for cerebrale kavernøse malformasjoner er autosomalt dominant arvelig med nedsatt penetrans og varierende ekspressivitet. Det finnes tre forskjellige genetiske former; cerebral kavernøs malformasjon 1, cerebral kavernøs malformasjon 2 og cerebral kavernøs malformasjon 3 (5, 8) - (10). Alle identifiserte familier hittil har en av de tre genetiske formene (5).
Cerebral kavernøs malformasjon 1 skyldes mutasjon i KRIT1 (Krev-1 interaction trapped 1)-genet på kromosom 7q (11). Hittil er det identifisert 74 forskjellige mutasjoner som alle fører til prematur stoppkodon (6). En av disse mutasjonene (Q455X) er særlig hyppig hos noen spansk-amerikanere i det sørvestlige USA. Disse spansk-amerikanere er immigrert fra Mexico, noe som tyder på at de har en felles mutasjon (founder effect) (4, 12). KRIT1 er et protein med fire ankyrindomener og et C-terminalt FERM-domene (13). KRIT1-proteinet har in vitro-interaksjon med Rap1A (som er en GTPase) og ICAP1α (integrin cytoplasmic domain-associated protein), et protein med et fosfotyrosinbindende (PTB) domene, som modulerer β1-integrin signaltransduksjon (14) - (17). KRIT1 blir uttrykt i kapillærenes og arteriolenes endotelceller i ulike organer, men uttrykkes ikke i fenestrerte kapillærer i milt, nyrer og lever (18). KRIT1 uttrykkes tidlig i angiogenesen og antas å ha en rolle i danning og utvikling av blodkar (19). Man vet ikke hva som er årsaken til de kavernøse malformasjonene, som stort sett kun finnes i sentralnervesystemet, men man kan jo spekulere på om endotelcellene her er spesielt følsomme for mutasjonene i KRIT1 på grunn av de spesielle forhold i blod-hjerne-barrieren.
Cerebral kavernøs malformasjon 2 er forårsaket av mutasjon i MGC4607 (malcavernin)-genet på kromosom 7p (5, 20, 21). Hittil er det identifisert 18 forskjellige mutasjoner i 19 familier. Mutasjonene antas enten å føre til et trunkert protein eller MGC4607 haploinsuffisiens (20, 21). MGC4607 blir særlig uttrykt i skjelettmuskulatur, hjerte, lever og hjerne, mens det stort sett ikke uttrykkes i lunge og tykktarm (20). Malcavernin har et fosfotyrosinbindende (PTB) domene, og kan dermed ha interaksjon med KRIT1 og β1-integrin cytoplasmatiske del. Integrin signaltransduksjon er viktig for celle-til-celle- og celle-til-ekstracellulær matriks-kommunikasjon, som modulerer migrasjon av celler og cellemorfologi (20).
Cerebral kavernøs malformasjon 3 er lokalisert på kromosom 3q25.2-27, men genet er ennå ikke identifisert (5). Årsaken til at det har vært vanskelig å identifisere genene for cerebrale kavernøse malformasjoner er redusert penetrans og varierende ekspressivitet. Penetransen av cerebral kavernøs malformasjon 3 antas å være i størrelsesorden 63 %. Dette er noe lavere enn penetransen for henholdsvis cerebral kavernøs malformasjon 1 og 2 (5, 6, 20, 21). Cerebral kavernøs malformasjon 1, 2 og 3 forekommer hos henholdsvis 40 %, 20 % og 40 % av familiene med sykdommen (5, 21). Ved identifikasjon av KRIT1 og malcavernin synes det å være en biokjemisk forklaring på patogenesen ved de cerebrale kavernøse malformasjonene. Begge synes å være involvert i reguleringen av β1-integrin signaltransduksjon. Det er sannsynlig at cerebral kavernøs malformasjon 3-genet også er av betydning for denne komplekse reguleringen.
Behandling
Behandlingen er enten symptomatisk eller operativ. Symptomatisk behandling er aktuelt ved epilepsi og hodepine. Kirurgisk behandling av malformasjonene må vurderes individuelt. Som hovedregel bør operasjon vurderes ved vanskelig regulerbar epilepsi, akutte alvorlige nevrologiske utfall eller progredierende nevrologiske utfall. Det kan være aktuelt å operere enkelte pasienter selv ved første gangs blødning. Totalekstirpasjon ved operativ behandling er målet, men dette er helt avhengig av hvor lesjonen(e) sitter (22). Hos asymptomatiske eller lite plagede pasienter kan regelmessig oppfølging være viktig for fortløpende vurdering med tanke på ovennevnte behandling.
Konklusjon
Cerebrale kavernøse malformasjoner finnes i en sporadisk form og i en familiær autosomalt dominant form med redusert penetrans. Det er viktig å ta opp god familieanamnese da dette kan lette diagnostikken og forklare kroniske plager hos familiemedlemmer. MR caput med gradientekko T2*-sekvens er den mest sensitive undersøkelsen. Ved funn av multiple lesjoner er sykdommen oftest familiær. Det er funnet tre genetisk ulike former av denne sykdommen, hvor to av tre gener er identifisert. Behandlingen er individuell og er rettet mot symptomer og funn. I enkelte tilfeller kan operativ behandling være nødvendig.
Vi takker Rolf Brevig og IT-radiograf Jon Jensen Radiologisk avdeling, Akershus universitetssykehus for hjelp med MR-bilder.
Oppgitte interessekonflikter: Ingen
Cerebrale kavernøse malformasjoner er abnormt forstørrede kapillærer som kan affisere hele sentralnervesystemet
Malformasjonene forekommer i en sporadisk form eller i en familiær form
Den familiære formen finnes i tre genetisk ulike former, og de er autosomalt dominant arvelige. De viser stor inter- og intrafamiliær variasjon med tanke på klinisk bilde og funn
- 1.
Otten P, Pizzolato GP, Rilliet B et al. 131 cases of cavernous angioma (cavernomas) of the CNS, discovered by retrospective analysis of 24,535 autopsies. Neurochirurgie 1989; 35: 82 - 3.
- 2.
Del Curling O, Kelly DL, Elster AD et al. An analysis of the natural history of cavernous agiomas. J Neurosurg 1991; 75: 702 - 8.
- 3.
Robinson JR, Awad IA, Little JR. Natural history of the cavernous angiomas. J Neurosurg 1991; 75: 709 - 14.
- 4.
Rigamonti D, Hadley MN, Drayer BP et al. Cerebral cavernous malformations. Incidence and familial occurrence. N Engl J Med 1988; 319: 343 - 7.
- 5.
Craig HD, Günel M, Cepeda O et al. Multilocus linkage identifies two new loci for a mendelian form of stroke, cerebral cavernous malformation, at 7p15 -13 and 3q25.2-27. Hum Mol Genet 1998; 7: 1851 - 8.
- 6.
Denier C, Labauge P, Brunereau L et al. Clinical features of cerebral cavernous malformations patients with Krit 1 mutations. Ann Neurol 2004; 55: 213 - 20.
- 7.
Siegel AM, Bertalanffy H, Dichgans JJ et al. Familiäre Kavernome des Zentralnervensystems. Eine klinische und genetische Studie an 15 deutsche Familien. Nervenarzt 2005; 76: 175 - 80.
- 8.
Dubovsky J, Zabramski JM, Kurth J et al. A gene responsible for cavernous malformations of the brain maps to chromosome 7q. Hum Mol Genet 1995; 4: 453 - 8.
- 9.
Gunel M, Awad IA, Anson J et al. Mapping of a gene causing cerebral cavernous malformation to 7q11.2-q21. Proc Natl Acad Sci 1995; 92: 6620 - 4.
- 10.
Marchuk DA, Gallione CJ, Morrison LA et al. A locus for cerebral cavernous malformations maps to chromosome 7q in two families. Genomics 1995; 28: 311 - 4.
- 11.
Sahoo T, Johnson EW, Thomas JW et al. Mutations in the gene encoding KRIT1, a Krev-1/rap1a binding protein, cause cerebral cavernous malformations (CCM1). Hum Mol Genet 1999; 8: 2325 - 33.
- 12.
Laurans MS, DiLuna ML, Shin D et al. Mutational analysis of 206 families with cavernous malformations. J Neurosurg 2003; 99: 38 - 43.
- 13.
Serebriiskii I, Estojak J, Sonoda G et al. Association of Krev-1/rap 1a with Krit1, a novel ankyrin repeat-containing protein encoded by a gene mapping to 7q21-22. Oncogene 1997; 15: 1043 - 9.
- 14.
Zhang J, Clatterbuck RE, Rigamonti D et al. Interaction between krit1 and icap1a infers perturbation of integrin b1-mediated angiogenesis in the pathogenesis of cerebral cavernous malformation. Hum Mol Genet 2001; 10: 2953 - 60.
- 15.
Zawistowski JS, Serebriiskii IG, Lee MF et al. KRIT1 association with the integrin-binding protein ICAP-1: a new direction in the elucidation of cerebral cavernous malformations (CCM1) pathogenesis. Hum Mol Genet 2002; 11: 389 - 96.
- 16.
Zhang XA, Hemler ME. Interaction of the integrin b1 cytoplasmic domain with ICAP-1 protein. J Biol Chem 1999; 274: 11 - 9.
- 17.
Chang DD, Wong C, Smith H et al. ICAP-1, a novel b1 integrin cytoplasmic domain-associated protein, binds to a conserved and functionally important NPXY sequence motif of beta1 integrin. J Cell Biol 1997; 138: 1149 - 57.
- 18.
Guzeloglu-Kayisli O, Kayisli UA, Amankulor NM et al. Krev1 interaction trapped-1/cerebral cavernous malformation-1 protein expression during early angiogenesis. J Neurosurg Spine 2004; 100: 481 - 7.
- 19.
Guzeloglu-Kayisli O, Amankulor NM, Voorhees J et al. KRIT1/cerebral cavernous malformation 1 protein localizes to vascular endothelium, astrocytes, and pyramidal cells of the adult human cerebral cortex. Neurosurgery 2004; 54: 943 - 9.
- 20.
Liquori CL, Berg MJ, Siegel AM et al. Mutations in a gene encoding a novel protein containing a phosphotyrosine-binding domain cause type 2 cerebral cavernous malformations. Am J Hum Genet 2003; 73: 1459 - 64.
- 21.
Denier C, Goutagny S, Labauge P et al. Mutations within the MGC4607 gene cause cerebral cavernous malformations. Am J Hum Genet 2004; 74: 326 - 37.
- 22.
Amin-Hanjani S, Ogilvy C, Ojemann R et al. Risks of surgical management for cavernous malformations of the nervous system. Neurosurgery 1998; 42: 1220 - 7.