Background.
Skeletal tuberculosis is rare in Norway. The diagnosis could be difficult.
Material.
A Somalian mother and three daughters and a Somalian girl in the neighborhood developed skeletal tuberculosis 4 - 12 months after arrival in Norway.
Results and interpretation.
All had pain as their main complaint. Skeletal scintigraphy and MRI were decisive for demonstration of the infectious locus. Three patients had spondylitis, two of them with serious abscesses. Other localisations were the frontal bone, the humerus shaft, the femoral shaft, and the calcaneus. Despite no signs or symptoms of lung tuberculosis, culture of expectorate or bronchial lavage fluid yielded growth of Mycobacterium tuberculosis in four patients. This demonstrates the importance of bronchial material also in extrapulmonary tuberculosis.
Innvandring fra områder i Afrika med høy forekomst av tuberkulose har det siste tiåret ført til økende antall pasienter med tuberkulose i Norge (1). Lungetuberkulose ses hyppigst, men innvandrere fra Somalia har høy forekomst av ekstrapulmonal tuberkulose; lymfadenitt 56 % og bein/ledd-affeksjon 13 % (2). Skjelettuberkulose forekom iflg. MSIS hos 3 % av alle rapporterte tuberkulosetilfeller i 2001 - 02 (1). I det følgende omtaler vi fem somaliske kvinner med skjelettuberkulose behandlet ved Sykehuset Buskerud HF (SBHF).
Kasuistikker
Pasient 1 - 4. Mor, 41 år, og tre døtre, ni, 11 og 13 år, kom i november 2002 til Norge fra Somalia for familiegjenforening med mann/far som hadde bodd i Norge fra 1998. Pasient 5. Jente, 12 1/2 år, kom i september 2002 til Norge fra Somalia via Kenya for familiegjenforening med faren som hadde bodd i Norge fra 2000.
Ingen var i flyktningmottak, men reiste direkte til sine familier. Samtlige søkte lege pga. smerter og feberfølelse (tab 1). Alle hadde normalt perifert blodbilde, men verdiene for SR, CRP og IgG var moderat forhøyet hos fire av dem (tab 2). Ingen hadde tegn til lungetuberkulose, men infeksjon i lymfeknuter på halsen ble funnet hos en og hos to i mediastinum. Alle viste rask klinisk bedring med antituberkuløs behandling.
Pasient 1. Jente, 11 år gammel, ble innlagt etter utvikling av kul i pannen. CT caput viste et 2 cm stort osteolytisk område i pannebeinet svarende til hevelsen. Biopsi fra tumor i pannen viste granulomatøs, nekrotiserende betennelse. Det kom vekst av M tuberculosis både i biopsimaterialet og i bronkialskyllevæske (tab 3).
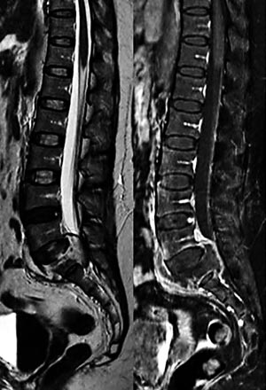
Pasient 2. Moren ble innlagt pga. smerter i begge hofteregioner med utstråling til tærne, og hun greide verken stå eller gå. MR av LS-columna viste abscess i virvelcorpus S1 med ekspansjon mot spinalkanalen (fig 1), og skjelettscintigrafi viste nedsatt aktivitet i samme område. Pga. lokalisasjonen ble det ikke gjort forsøk på punksjon, men det kom vekst av M tuberculosis i ekspektorat.
Pasient 3. Jente, 13 år gammel, ble innlagt pga. smerter i venstre skulder, slapphet, dårlig matlyst og feber i en ukes tid. Røntgen thorax viste mulig fortetning i venstre hilum. Skjelettscintigrafi viste aktivitetsoppladning i virvelcorpus L4 og L5. MR viste ødem i begge virvler, bilaterale psoasabscesser med lengde opptil 12 cm og prevertebral abscess (fig 2). Ved ultralydundersøkelse av halsen ble det påvist abscedering i flere lymfeknuter. Psoasabscessene ble drenert og M tuberculosis isolert fra pussprøver og bronkialskyllevæske (tab 3).
Pasient 4. Jente, ni år gammel, ble innlagt med smerter i nedre ribbbein på begge sider og mulig vekttap. Røntgen thorax viste oppfylling i øvre mediastinum. Skjelettscintigrafi viste i tillegg til generelt påfallende høyt skjelettopptak også fokalt økt aktivitet i flere områder i begge humerus- og femurdiafyser (fig 3). MR viste ødem i diafysene i begge humeri og i venstre femur. Det ble ikke tatt bronkialskylleprøve, men kun fastende ventrikkelaspirat som ikke gav vekst av M tuberculosis.
Pasient 5. Jente, 12 1/2 år gammel, ble innlagt med feber, slapphet, smerter og hevelse i begge ankler, og ensidig fluktuasjon over laterale malleol. Røntgen av begge ankler viste bløtdelshevelse, men ingen skjelettforandringer. Skjelettscintigrafi gav sterk mistanke om osteomyelitt i calcaneus på begge sider (fig 4), og MR viste betydelig beinmargsødem bilateralt, flere intraossøse abscesser og bløtdelsabscess på venstre side. M tuberculosis ble isolert både fra infeksjonsfocus og fra bronkialskyllevæske (tab 3).
Diskusjon
Det er de senere år publisert noen få norske kasuistikker med skjelettuberkulose (3, 4). Tuberkulose smitter ved inhalasjon av tuberkelbakterier, vanligvis fra en voksen person med lungekaverne (5). Ingen av våre pasienter kunne angi eksponering for smitteførende kontakter. Pasientene var sannsynligvis smittet i Somalia, idet tiden fra smittetidspunkt til diagnose gjennomsnittlig er 6 - 24 måneder (5, 6).Våre pasienter ankom Norge 4 - 12 måneder før sykehusinnleggelsen. Antall bakteriekolonier som oppnås ved dyrking av ekspektorat fra pasienter med lungetuberkulose angis å være flere tusen ganger høyere enn ved dyrking av beinvev (7). Det lave bakterieantallet i beinvev kan antakelig forklare den lange latensperioden ved skjelettuberkulose (5, 6).
DNA-fingertrykksanalyse (Folkehelseinstituttet) viste at isolatene fra pasient 1 - 3 var identiske, mens isolatet fra pasient 5 var forskjellig. M tuberculosis-isolater identisk med dem fra pasient 1 - 3 er tidligere påvist hos ni andre somaliske flyktninger (U. Dahle, Folkehelseinstituttet, personlig meddelelse).
Det var ikke symptomer eller funn av lungetuberkulose, og litteraturen angir lungefunn hos under halvparten av pasienter med skjelettuberkulose (5, 6).
Spredning til skjelettet skjer vanligvis via blodet i løpet av 6 - 8 uker etter smitte (5). Smerter er det hyppigste symptom både ved akutt pyogen og tuberkuløs osteomyelitt (5) - (7), som hos våre pasienter.
Skjelettuberkulose er hyppigst lokalisert i ryggvirvler (5) - (9), noe som ble bekreftet hos våre pasienter. De lange rørknokler er også ofte angrepet (5) - (7), og flere foci ble funnet i ekstremitetene hos pasientene 4 og 5. Tuberkulose i skallebein, som hos pasient 1, er svært sjeldent (ca. 1 %) (6).
Høy forekomst av ekstrapulmonal tuberkulose hos somaliske kvinner kan skyldes vitamin D-mangel (8). Pasient 5 hadde nedsatt vitamin D-nivå i blodet (under halvparten av nedre normalgrense), men blodprøve til slik analyse ble dessverre ikke sikret fra de andre.
Prøvetaking
Ved osteomyelitt er det ofte vanskelig å sikre adekvat prøvemateriale for bakteriologisk diagnostikk. Dette er imidlertid svært viktig pga. den langvarige behandlingen og muligheten for resistente mikrober (5) - (7). Prøvetaking byr på særlige utfordringer hvis hardt bein må forseres. Biopsi er fordelaktig fordi man da får raskere belegg for diagnosen ved påvisning av granulomatøs betennelse som hos pasient 1 (6, 7). Hos pasient 1, 3 og 5 vokste tuberkelbakterier i biopsi eller aspirat fra infeksjonsfocus (tab 3). Pasientene 1, 3 og 5 fikk kortvarig narkose for å sikre bronkialskyllevæske til dyrking. De hadde ikke hoste eller synlig ekspektorat, og ingen hadde lungefortetning. Man oppnådde ikke sekret ved suging i sentrale luftveier gjennom trakealtuben. Det ble derfor skylt med 5 - 10 ml isotont saltvann som straks ble suget tilbake, og i de tre prøvene som ble tatt, vokste M tuberculosis (tab 3). Fra pasient 2 (voksen) fikk man ekspektorat som gav vekst av M tuberculosis. Dette understreker nytten av prøvetaking fra luftveier ved mistanke om tuberkulose uansett manglende symptomer eller funn i lungene.
Ved bronkialskylling for diagnostikk anvendes vanligvis fiberbronkoskop, som hos voksne pasienter gav bedre resultater enn ventrikkelskyllevæske (10). I et barnemateriale (median alder to år) var imidlertid ventrikkelaspirat klart den beste metoden (11). Det er enklere å ta prøven gjennom trakealtube som beskrevet ovenfor, og forutsatt narkose, også enklere og med mindre ubehag for pasienten enn gjentatt ventrikkelskylling, som ellers anbefales som standardprosedyre for barn under 10 - 12 år hvor ekspektorat er vanskelig å oppnå (12, 13).
Tabell 1
Kliniske symptomer og funn
| Pasient |
Alder (år) |
Symptomer |
Kliniske funn |
Tuberkulosefocus |
| 1 |
11 |
Smerter i bryst og panne, feber, anoreksi |
Tumor i pannen |
Pannebein, mediastinum |
| 2 |
41 |
Smerter i hofter og bein |
Klarer ikke stå på beina pga. smerter |
Abscess i virvelcorpus S1 |
| 3 |
13 |
Smerter i venstre skulder, feber og slapphet |
Ingen |
Virvelcorpus L4 - 5, psoasabscesser, lymfeknuter på halsen, mediastinum? |
| 4 |
9 |
Smerter i ribbein, feber |
Lymfeknuter på halsen |
Multiple skjelettfoci (humerus, femur), mediastinum |
| 5 |
12,5 |
Smerter og hevelse i begge ankler, feber |
Bløtdelshevelse i ankler, lymfeknuter hals, aksille og lysken |
Bilateralt ødem i calcaneus, abscess i bløtvev og intraossøst i venstre ankel |
Tabell 2
Infeksjonsparametre
| Pasient |
Temperatur (°C) |
SR |
CRP |
IgG |
| 1 |
39,2 |
41 |
53 |
18,8 |
| 2 |
38,4 |
86 |
112 |
18,5 |
| 3 |
39,4 |
44 |
100 |
18,8 |
| 4 |
37,6 |
5 |
1 |
- |
| 5 |
38,3 |
41 |
39 |
21,3 |
Tabell 3
Mikrobiologisk diagnostikk med henblikk på M tuberculosis
| Pasient |
PCR av abscess-og/eller biopsimateriale |
Dyrking av abscess- og/eller biopsimateriale |
Dyrking av luftveismateriale - Bronkialskylleprøve (pasient 1, 3, 5) - Ekspektorat (pasient 2) - Ventrikkelaspirat (nedsvelget materiale fra luftveier) (pasient 4) |
| 1 |
Positiv |
Positiv |
Positiv |
| 2 |
Positiv |
||
| 3 |
Negativ |
Positiv |
Positiv |
| 4 |
Negativ |
||
| 5 |
Negativ |
Positiv |
Positiv |
Bildediagnostikk
Ved tuberkuløs osteomyelitt kan både kliniske og røntgenologiske funn mangle, og blodanalyser er oftest normale. Vanlig skjelettrøntgen kan vise tegn til beinresorpsjon og avkalkning, men periostfortykkelse og sklerose, slik vanlige pyogene bakterier forårsaker, ses ikke da M tuberculosis-bakteriene mangler proteolytiske enzymer (7). Skjelettscintigrafi og MR kan da sannsynliggjøre mistanken om osteomyelitt, som hos pasient 4.
Skjelettscintigrafi med technetium-metylendifosfonat viser vanligvis økt aktivitetsoppladning med høy sensitivitet ved pyogene betennelser i beinvev (5) - (7, 14). Ved tuberkuløs osteomyelitt kan imidlertid metoden av og til svikte (7). Differensialdiagnoser som traumatisk skade og skjelettumor må has in mente (14). Redusert aktivitetsoppladning forenlig med nedsatt sirkulasjon pga. abscess eller nekrose, som hos pasient 2, er lett å overse. Skjelettscintigrafi kan imidlertid i en enkelt undersøkelse fremstille hele skjelettet og dermed avsløre flere (ev. uventede) patologiske foci, som hos pasient 4 (fig 3) hvor prosessen var kommet kort og symptomer og funn var beskjedne.
Ved nevroradiologiske problemstillinger, som hos pasient 2, er MR den beste bildediagnostiske metoden (ig). MR med kontrast er gullstandard ved spondylodiskitt. Kontrasten gir god fremstilling av abscesser intraossøst, i skiverom, eller pre- og paravertebralt, som hos pasient 3 (fig 2). Ultralydundersøkelse kan være nyttig ved bløtvevshevelse. Det ble funnet tegn til abscessdanning i bløtvev hos pasient 1, 3 og 5.
Konklusjon
Tuberkulose må mistenkes ved alle typer uklare symptomer hos innvandrere som nylig er kommet til landet fra områder med høy forekomst av tuberkulose. Forekomst av skjelettsmerter nødvendiggjør spesialundersøkelser med skjelettscintigrafi og MR. Det er viktig å sikre mikrobiologisk prøvemateriale for påvisning av etiologisk agens og resistensundersøkelse. Ved ekstrapulmonal tuberkulose, der pulmonalt infeksjonsfocus ofte mangler, kan det likevel være nyttig å ta prøvemateriale også fra luftveiene. Hos barn der ekspektorat ofte ikke oppnås, og der det ikke er noen kontraindikasjon mot kortvarig narkose, kan bronkialskyllevæske være et godt alternativ.
Vi takker Karl Olaf Wathne og medarbeidere ved Barnesenteret, Ullevål universitetssykehus for gode råd og hjelp med pasient 3 for drenering av psoasabscesser. Takk til Anders Glomstein og medarbeidere ved Barneklinikken, og Lisa Walaas, Avdeling for patologi, Rikshospitalet for hjelp med biopsi fra pasient 1. Takk til Turid Mannsåker og Ulf Dahle ved Folkehelseinstituttet for identifikasjon, resistensbestemmelse og DNA-fingertrykksanalyse av alle isolatene.
Oppgitte interessekonflikter: Ingen
Tuberkulose er en mulig årsak til smerter og uklare symptomer hos innvandrere
Skjelettscintigrafi og MR er avgjørende for påvisning av infeksjonsfocus
I tillegg til aspirat fra infeksjonsfocus bør prøvemateriale fra luftveiene sikres til dyrking selv om pulmonalt focus ikke kan påvises
- 1.
Winje BA, Heldal E. Tuberkuløs sykdom meldt i Norge i 2002. MSIS-rapport 2003; 31: 23.
- 2.
Steen TW, Farah MG, Johnsen NL et al. Tuberkulose utenfor lungene blant somaliske innvandrere i Norge Tidsskr Nor Lægeforen 2003; 123: 818 - 21.
- 3.
Maagaard A, Øktedalen O. Psoas abscess diagnosed at a Northern University Hospital. Scand J Infect Dis 2003; 34: 848 - 51.
- 4.
Olbjørn C, Bjørnvold M, Wathne KO et al. Tuberkulose hos barn i Norge - diagnostiske utfordringer Tidsskr Nor Lægeforen 2000; 120: 1721 - 5.
- 5.
Schaaf HS, Gie RP, Beyers N. Tuberculosis in childhood. I: Davies PDO, red. Clinical tuberculosis. London: Arnold, 2003: 154 - 68.
- 6.
Kramer SB, Lee SHS, Abramson SB. Nonvertebral infections of the musculoskeletal system by Mycobacterium tuberculosis. I: Rom WN, Garay SM, red. Tuberculosis. Philadelphia: Lippincott Williams & Wilkins, 2004: 577 - 86.
- 7.
Leibert E, Haralambou G. Spinal tuberculosis. I: Rom WN, Garay SM, red. Tuberculosis. Philadelphia: Lippincott Williams & Wilkins, 2004: 565 - 76.
- 8.
Davies PD, Grange JM. Factors affecting susceptibility and resistance to tuberculosis. Thorax 2001; 56: 23 - 9.
- 9.
Dinc H, Ahmetoglu A, Baykal S et al. Image-guided percutaneous drainage of tuberculous iliopsoas and spondylodiskitic abscesses. Radiology 2002; 225: 353 - 8.
- 10.
Norrman E, Keistinen T, Uddenfeldt M et al. Bronchoalveolar lavage is better than gastric lavage in the diagnosis of pulmonary tuberculosis. Scand J Infect Dis 1988; 20: 77 - 80.
- 11.
Abadco DL, Steiner P. Gastric lavage is better than bronchoalveolar lavage for isolation of Mycobacterium tuberculosis in childhood pulmonary tuberculosis. Pediatr Infect Dis J 1992; 11: 735 - 8.
- 12.
Smittevern 7. Forebygging og kontroll av tuberkulose. En veileder. Oslo: Nasjonalt folkehelseinstitutt, 2002.
- 13.
Handeland M, Wathne KO. Barn og tuberkulose - diagnostikk, behandling og oppfølging Tidsskr Nor Lægeforen 2001; 121: 51 - 8.
- 14.
Rootwelt K. Nukleærmedisin. Oslo: Universitetsforlaget, 1995.