Myokarditt kan involvere myocytter, interstitiet, vaskulære elementer og perikard. Klassifikasjonen har vært omdiskutert, og tilstanden kan skyldes en rekke forskjellige agenser som i det enkelte tilfelle ofte ikke lar seg identifisere. Infeksiøs myokarditt kan skade myokard gjennom tre forskjellige mekanismer – ved direkte invasjon av en mikroorganisme, gjennom produksjon av toksin eller ved en immunologisk mediert skade av muskulaturen (1).
En spesiell og sjelden form er idiopatisk kjempecellemyokarditt, som er karakterisert av uttalte betennelsesforandringer i myokard, med kjempeceller, lymfocytter, av og til eosinofile celler samt nekrose av myocytter. Tilstanden ble først beskrevet av Saltykow (2). Frem til 1987 var alle publiserte tilfeller basert på autopsi, og pasientene levde i meget kort tid etter symptomdebut. Etter at diagnosen kan baseres på perkutan endomyokardbiopsi og man kan gi immunsuppressiv behandling, er prognosen noe bedret (3). Da sykdommen sannsynligvis opptrer hyppigere enn beskrevet og forskjellige behandlingsalternativer kan være aktuelle, presenterer vi her Rikshospitalets materiale og to representative kasuistikker. Aktuell terapi diskuteres.
Metode og pasientmateriale
Undersøkelsen er delvis retrospektiv og delvis prospektiv. Pasientmaterialet er hentet fra Hjertemedisinsk avdeling og Avdeling for patologi, hvor diagnosen kjempecellemyokarditt er histologisk verifisert fra 1989. Materialet består av to kvinner og ni menn, med median alder 46 år (13 – 62 år) (tab 1).
Tabell 1
Karakteristika for elleve pasienter med kjempecellemyokarditt. Sykdomslengde er tid fra symptomer til innleggelse i sykehus
| Pasient, kjønn, alder (år) |
Komorbiditet |
Sykdomslengde (uker) |
Debutsymptom |
Arytmi under forløp |
| 1 Mann, 61 |
1 |
Brystsmerter |
AV-blokk III |
|
| 2 Kvinne, 52 |
52 |
Hjertesvikt |
AV-blokk III |
|
| 3 Mann, 13 |
Tyreoiditt |
1 |
Synkope |
AV-blokk III |
| 4 Mann, 33 |
Ulcerøs kolitt |
2 |
Hjertesvikt |
Ventrikkeltakykardi |
| 5 Mann, 36 |
Ulcerøs kolitt |
1 |
Hjertesvikt |
Ventrikkeltakykardi |
| 6 Mann, 18 |
Astma |
2 |
Palpitasjon |
Ventrikkeltakykardi |
| 7 Mann, 62 |
8 |
Hjertesvikt |
Ventrikkeltakykardi |
|
| 8 Mann, 46 |
Ulcerøs kolitt |
2 |
Brystsmerter |
Ventrikkeltakykardi, ventrikkelflimmer |
| 9 Mann, 64 |
12 |
Hjertesvikt |
Atrieflutter |
|
| 10 Mann, 60 |
12 |
Hjertesvikt |
Atrieflimmer, ventrikkeltakykardi |
|
| 11 Kvinne, 61 |
Borreliose |
12 |
Hjertesvikt |
Atrieflimmer, ventrikkeltakykardi |
Resultater
Fire pasienter (36 %) hadde allerede fått påvist autoimmun sykdom. Sykdomsvarigheten før innleggelse i sykehus var gjennomsnittlig ni uker. Hyppigste debutsymptom var raskt tiltakende hjertesvikt, men flere hadde også meget alvorlig arytmi. I forløpet hadde sju pasienter (64 %) ventrikulær takykardi og tre hadde symptomgivende AV-blokk grad III. Seks pasienter fikk diagnosen primært stilt ved endomyokardial biopsi, fem hadde i utredningsbiopsiene uspesifikke forandringer med kronisk betennelse uten kjempeceller. Diagnosen ble senere stilt histologisk enten i det eksplanterte hjerte eller i oppfølgingsbiopsier fra transplantatet.
Alle fikk konvensjonell behandling for hjertesvikt og arytmi, fem fikk i tillegg immunsuppressiv behandling (tab 2). To pasienter ble behandlet med implanterbar defibrillator, fire med aortaballongpumpe, hvorav tre i tillegg trengte behandling med ekstrakorporal membranoksygenering. Åtte ble hjertetransplantert (73 %). To av de fem immunsuppressivt behandlede er døde, mens to er behandlet med godt resultat (bl.a. pasient 1). Den femte er under vurdering for hjertetransplantasjon. Gjennomsnittlig tid fra diagnose til transplantasjon eller død var seks måneder.
Tabell 2
Behandling av 11 pasienter med kjempecellemyokarditt
| Pasient, kjønn, alder (år) |
Immunsuppressiv behandling |
ICD |
Hjertetransplantasjon |
Tid til hjertetransplantasjon fra symptom debut (md.) |
Intensivbehandling |
Post operativt residiv (md.) |
Observasjonstid etter hjertetransplantasjon (md.) |
| 1 Mann, 61 |
X |
2 |
40 |
||||
| 2 Kvinne, 52 |
X |
18 |
Pacemaker |
84 død |
|||
| 3 Mann, 13 |
X |
Ekstrakorporal memebranoksygenering, Intraaortal ballongpumpe, Pacemaker |
13² død |
||||
| 4 Mann, 33 |
X¹ |
X¹ |
X |
1 |
4 |
7,5 død |
|
| 5 Mann, 36 |
X |
3 |
Ekstrakorporal memebranoksygenering, Intraaortal ballongpumpe |
0,5 død |
|||
| 6 Mann, 18 |
X |
X |
Ekstrakorporal memebranoksygenering, Intraaortal ballongpumpe |
11² |
|||
| 7 Mann, 62 |
X³ |
X |
24 |
Intraaortal ballongpumpe |
2 |
16 |
|
| 8 Mann, 46 |
X |
1 |
96 død |
||||
| 9 Mann, 64 |
X |
9 |
72 |
172 |
|||
| 10 Mann, 60 |
X |
1 |
16 |
||||
| 11 Kvinne, 61 |
X |
Hjertetransplantasjon venteliste |
1 |
||||
| [i] | |||||||
[i] ¹ Immunsuppressiv behandling og ICD-behandling ble gitt etter residiv av kjempecellemyokarditt i transplantat (pasient 2)
² Observasjonstid etter diagnose
³ Immunsuppressiv behandling gitt etter påvist residiv i transplantat
To transplanterte pasienter har fått sikkert residiv av kjempecellemyokarditt i transplantatet. En av disse utviklet uttalt hjertesvikt og ventrikulær arytmi og ble åtte måneder etter transplantasjonen vurdert for retransplantasjon, men døde før dette kunne utføres (pasient 2). Den andre fikk påvist kjempecellemyokarditt i transplantatet to måneder etter transplantasjonen, fikk økt immunsuppresjonsbehandling og er symptomfri ett år etter transplantasjonen. En pasient ble retransplantert på grunn av hjertesvikt seks år etter det første inngrepet, men det kunne ikke påvises residiv av kjempecellemyokarditt i eksplantatet.
I alt er fem pasienter døde, tre direkte relatert til sykdommen, kort tid etter at diagnosen ble stilt, og to av kreft henholdsvis sju og åtte år etter transplantasjon. Dette gir en totalmortalitet på 45 %. Av de transplanterte lever fem av åtte. Observasjonstiden er til dels kort, men fire pasienter har så langt levd i fem år etter transplantasjon.
Pasient 1. 18 år gammel mann med tidligere moderat astma. Han ble innlagt etter en uke med hjertebank, fulgt av uttalt hjertesvikt. Ved innleggelsen var blodtrykket 85/60 mm Hg, hjerterytmen uregelmessig med en frekvens på mellom 120 og 240 slag/min. EKG viste multifokale ventrikulære ekstrasystoler og lange løp med ventrikkeltakykardi. Ekkokardiografi viste dårlig funksjon i venstre ventrikkel, med ejeksjonsfraksjon 20 %, ingen patologiske forhold i hjerteklaffene. Koronarkarene var angiografisk normale. Blodprøver viste lett forøkte myokardskademarkører og leverfunksjonsutfall som ved høyresidig hjertesvikt.
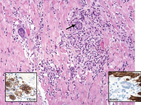
Det ble startet behandling med intravenøst amiodaron. Da pasienten forble hypotensiv og stadig ble dårligere, ble han lagt i respirator, fikk aortaballongpumpe og etter hvert behandling med ekstrakorporal membranoksygenering. Det ble utført perkutan endomyokardbiopsi fra høyre ventrikkel, og samtlige fem biter viste forandringer typisk for kjempecellemyokarditt (fig 1). I tillegg til hjertesviktbehandling ble det startet med immunsuppressiv behandling i form av ciklosporin, prednisolon og anti-T-lymfocyttglobulin (OKT3). Gradvis stabiliserte hjerterytmen seg. Samtidig var det bedring av pumpefunksjonen, slik at de understøttende pumper kunne fjernes etter ca. en uke. Det ble implantert defibrillator som profylakse mot fatal arytmi. Ved utskrivning fortsatte man med immunsuppresjonsbehandling i form av ciklosporin og prednisolon.
Etter 11 måneder var pasienten velfungerende både mentalt og fysisk, og han har senere fullført videregående skole på normert tid. Ekkokardiografi viste normalt stor venstre ventrikkel med lett redusert systolisk funksjon, mens maksimalt oksygenopptak viser redusert arbeidkapasitet korrelert til alder. Defibrillatoren hadde ikke registert arytmi.
Pasient 2. 34 år gammel mann med medikamentelt behandlet ulcerøs kolitt i 13 år. Han ble innlagt akutt etter tre dagers sykehistorie med brystsmerter og dyspné. Klinisk forelå det alvorlig hjertesvikt og EKG-forandringer, forenlig med iskemi, men angiografi viste normale koronarkar. Etter to døgn ble det nødvendig med respiratorbehandling, og han fikk intraktabel ventrikulær arytmi, hvoretter han på vital indikasjon ble transplantert etter to uker. Histologisk undersøkelse av det eksplanterte hjertet viste uttalt fibrose, men ingen sikker kjempecellemyokarditt.
18 uker etter transplantasjonen angav han økende dyspné og hjertebank, verifisert som ventrikulær arytmi. Ved flere påfølgende endomyokardbiopsier ble det påvist lymfoide infiltrater med flerkjernede kjempeceller, forenlig med kjempecellemyokarditt. Ekkokardiografisk ble det påvist sviktende transplantatfunksjon, med dilatert venstre ventrikkel og fallende ejeksjonsfraksjon. Etter fire uker fikk han gammaglobulinbehandling (1 g intravenøst) daglig i fem dager. Etter langvarige anfall med ventrikkeltakykardi som ikke lot seg kupere av medikamenter, fikk han implantert defibrillator seks måneder etter transplantasjonen. På grunn av økende hjertesvikt ble han vurdert for retransplantasjon, men døde i multiorgansvikt ca. åtte måneder etter transplantasjonen. Autopsi viste kjempecellemyokarditt i transplantatet.
Diskusjon
Kjempecellemyokarditt er differensialdiagnose hos relativt unge pasienter med subakutt utvikling av hjertesvikt, spesielt hvor arytmi er en del av sykdomsbildet og etiologisk diagnose ikke kan stilles ved vanlige kardiologiske diagnostiske metoder. Internasjonalt sett er vårt materiale relativt stort, da det kun er beskrevet ca. 100 pasienter med sykdommen, hvorav 63 i et samlemateriale fra 49 sentre (sju av pasientene er fra Rikshospitalet) (4).
Kjennetegn ved kjempecellemyokarditt er relativt ung debutalder og jevn kjønnsfordeling. Vårt materiale er i samsvar med dette. Etiologien er ukjent. Det er ikke dokumentert noen klar sammenheng med rase, kjønn eller alder, men det er flere indisier på at det er en autoimmun sykdom som involverer CD4-positive T-lymfocytter (5) – (7).
Patologisk anatomi
Makroskopisk ses i aktiv fase konfluerende områder med nekrose som affiserer både høyre og venstre ventrikkel. Mikroskopisk ses i det akutte stadium nekrose av myocytter med infiltrasjon av lymfocytter, makrofager, flerkjernede kjempeceller av langerhanstype og oftest eosinofile granulocytter. Kjempecellene er immunfenotypisk makrofager (fig 1), i hvert fall i tidlige faser av sykdommen (7). Senere, på reparasjonsstadiet, kan kjempeceller av myogen opprinnelse ses, disse har annen immunfenotype. Fulminante tilfeller viser utbredte lesjoner, mens i tilfeller med mer indolent forløp kan det være fokale lesjoner og store områder med helt uaffisert muskulatur. I senere stadium er det færre kjempeceller og begynnende fibrose. I tilhelet fase see fokal fibrose, ofte uten betennelse.
Differensialdiagnosen morfologisk overfor sarkoidose kan i enkelte tilfeller være vanskelig (8). Ved sarkoidose er det velformede granulomer, ofte konfluerende fibrose med minimal nekrose av myocytter. Ofte affiseres interstitielt vev, også karførende bindevevsdrag i epikardialt fett. Eosinofile granulocytter er sjelden til stede. Epiteloidcellegranulomer av sarkoid type skal ikke ses ved idiopatisk kjempecellemyokarditt.
En annen sjelden differensialdiagnose er granuløs myokarditt, hvor årsaken kan være infeksjon, særlig med mykobakterier eller sopp, hypersensitivitet eller fremmedlegeme.
Det er vist en viss komorbiditet med andre autoimmune sykdommer, slik også vårt materiale viser, først og fremst inflammatoriske tarmsykdommer (9, 10). Sykdommen har av enkelte revmatologer vært beskrevet som den mest fatale av alle autoimmune lidelser (11).
Det raske forløpet skiller seg fra den mer vanlige lymfocyttære formen av myokarditt, som har et langt mer benignt forløp (4), og sykdommen er også forskjellig fra kardial sarkoidose når det gjelder overlevelse etter transplantasjon (8). Symptomene presenterer seg oftest som raskt progredierende hjertesvikt, og over halvparten av pasientene får refraktær ventrikulær arytmi. Debut med brystsmerter og EKG-forandringer som ved akutt myokardinfarkt er også rapportert.
Diagnostisk strategi
Ved alvorlig hjertesvikt, hvor klinisk undersøkelse, laboratorieprøver, ekkokardiografi, koronar angiografi og ev. også MR-undersøkelse ikke gir noen etiologisk diagnose, er endomyokardbiopsi en aktuell og ønsket metode for diagnostikk.
Etter 1987 er diagnosen kjempecellemyokarditt ofte blitt stilt ved perkutan endomyokardbiopsi i forbindelse med utredning for hjertesvikt, slik det også ble gjort hos over halvparten av våre pasienter. Det er angitt at endomyokardbiopsi har ca. 85 % sensitivitet for diagnosen kjempecellemyokarditt sammenliknet med autopsi, biopsi av eksplantert hjerte eller åpen hjertebiopsi (12), mens endomyokardbiopsi ved den mer vanlige lymfocyttære myokarditt kun har ca. 35 % sensitivitet. Grunnen til dette er at omfanget av sykdommen ved lymfocyttær myokarditt er mindre og sannsynligheten for å få representativt materiale derfor er redusert. At diagnostisk sensitivitet ved biopsi er forskjellig, kan også forklares i vårt materiale ved at flere pasienter ikke ble biopsert i en fulminant fase eller ved at man ikke fikk representativt materiale ved biopsi. Myokarditten er ofte fokal, det bør derfor tas minst fem biter ved biopsering. Vi mener at det er god indikasjon for å ta endomyokardbiopsi som rutine ved utredning av alvorlige tilfeller av hjertesvikt, spesielt ved rask progrediering. Myokardbiopsi er imidlertid relativt lite brukt i utredningen av hjertesvikt. Dette kan være en årsak til at ikke kjempecellemyokarditt registreres hyppigere.
Behandling
Symptomatisk behandling av hjertesvikt og arytmi utføres etter vanlige retningslinjer (13). Likevel er prognosen meget dårlig, median overlevelse er bare tre måneder (4). Mer rasjonell medikamentell behandling med immunsuppressive medikamenter er på utprøvningsstadiet. Det anbefales en kombinasjonsbehandling av kortikosteroider og ciklosporin, eventuelt kombinert med azatioprin eller muromonab-CD3. Median overlevelse med immunsuppressiv behandling er ca. 12 måneder (4, 12, 14). Behandling med steroider alene har ikke hatt effekt på overlevelsen, men det foreligger heller ikke publiserte data på randomisert behandling med andre immunsuppressive medikamenter som immunglobuliner, cyklofosfamid, tacrolimus, mykofenolat eller antitymocyttglobulin. I vårt materiale var det kun fem av 11 som fikk immunsuppressiv behandling med OKT3, steroider og ciklosporin, en etter hjertetransplantasjon. Dette kan forklares ut fra flere omstendigheter. Noen pasienter fikk diagnosen før det forelå rapporter om immunsupprimerende medikamentell behandling, mens hos enkelte ble diagnosen først stilt i det eksplanterte hjertet. Hos en pasient ble kjempeceller først påvist i transplantatet, mens det eksplanterte native hjertet ved histologisk undersøkelse viste fibrose. Dette kan gi mistanke om en utbrent kjempecellemyokarditt i pasientens native hjerte.
Det mangler så langt data på langtidsoppfølging med tanke på medikamentell immunsuppressiv behandling, men det pågår en prospektiv, randomisert studie som vil kunne gi svar på dette i løpet av noen år (The Giant Cell Myocarditis Treatment Trial) (15).
Det er viktig at den medikamentelle hjertesvikt- og arytmibehandling suppleres, når det er nødvendig, med de tilgjengelige metoder for bro til transplantasjon hos pasienter uten kontraindikasjoner. Defibrillator kan implateres som profylakse mot død av arytmi, og ved terminal hjertesvikt kan behandling med så vel respirator som intraaortal ballongpumpe og ekstrakorporal membranoksygenering eller mer sofistikerte metoder for mekanisk ventrikkelstøtte være aktuelt (16) – (19). Hvorvidt også sirkulatorisk støtte over lang tid kan muliggjøre restitusjon av tilstanden under immunsuppresjon, er uavklart. Hjertetransplantasjon utføres med akseptabel morbiditet og mortalitet som primærbehandling for kjempecellemyokarditt. I et behandlingsforsøk var 5-årsposttransplantasjonsoverlevelsen for 39 pasienter med kjempecellemyokarditt 71 %, på linje med dem som var transplantert på grunn av kardiomyopati. Vi har transplantert åtte av 11 pasienter, som uttrykk for seleksjon basert på god effekt av mindre radikal behandling, grad av hjertesvikt og påviste kontraindikasjoner til inngrepet.
Av de 39 transplanterte pasientene i Cooper og medarbeideres materiale (4) hadde 25 % histologisk residiv av sykdommen i transplantatet. Vi har tilsvarende erfaringer. Risiko for residiv av kjempecellemyokarditt i transplantatet har vært en fryktet komplikasjon som kan utgjøre en kontraindikasjon for transplantasjon (20). På den annen side tyder rapporter på at et residiv her har et mildere forløp enn i det native hjertet. Det har sannsynligvis to årsaker: Rutinemessig immunsuppressiv medikasjon kan tenkes å forebygge et fulminant forløp, og hyppige endomyokardbiopsier i oppfølgingen av den hjertetransplanterte muliggjør diagnose og behandling av residiv tidlig. Transplantasjon er derfor antatt å være akseptabel og effektiv terapi med tanke på den ellers dårlige prognosen. Det bør imidlertid utvises forsiktighet ved rutinemessig nedtrapping av immunsuppresjonsbehandling etter transplantasjon, da dette kan disponere for residiv i transplantatet.
Konklusjon
Kjempecellemyokarditt er en aktuell differensialdiagnose ved raskt økende hjertesvikt hos tidligere relativt friske unge voksne der konvensjonell behandling ikke virker, spesielt hvis det er ledsagende ventrikulære arytmier. Diagnosen stilles ved endomyokardbiopsi. Hjertesviktbehandlingen må suppleres med immunsuppresjon, men utredning for hjertetransplantasjon bør vurderes tidlig. Intensivbehandling må, hvis nødvendig, benyttes som bro til transplantasjon. Muligheten for residiv av sykdommen i transplantatet må diskuteres med pasienten på forhånd. Oppfølgingen av hjertetransplanterte med kjempecellemyokarditt bør sannsynligvis skille seg noe fra rutineprotokollen for dem som er transplantert av annen årsak.
Oppgitte interessekonflikter:
Odd Geiran har mottatt reisestipend fra Novartis. De andre forfatterne har ingen interessekonflikter.
Oppgitte interessekonflikter: Se til slutt i artikkelen
Hovedbudskap
Kjempecellemyokarditt er en sjelden og alvorlig form for hjertemuskelbetennelse
Diagnosen må vurderes ved alvorlig hjertesvikt ledsaget av arytmier
Diagnosen stilles ved endomyokardbiopsi. Behandlingen er immunsuppresjon, ev. hjertetransplantasjon
- 1.
Dec GW. Introduction to clinical myocarditis. I: Cooper LT jr., red. Myocarditis from bench to bedside. Totowa: Humana Press, 2003: 257 – 81.
- 2.
Saltykow S. Uber diffuse myocarditis. Virchows Arch Pathol Anat Berl 1905; 182: 1 – 39.
- 3.
Menghini VV, Savcenko V, Olson LJ et al. Combined immunosuppression for the treatment of idiopathic giant cell myocarditis. Mayo Clin Proc 1999; 74: 1221 – 6.
- 4.
Cooper LT jr., Berry GJ, Shabetai R. Idiopathic giant-cell myocarditis – natural history and treatment. Multicenter Giant Cell Myocarditis Study Group Investigators. N Engl J Med 1997; 336: 1860 – 6.
- 5.
Kodama M, Oda H, Okabe M et al. Early and long-term mortality of the clinical subtypes of myocarditis. Jpn Circ J 2001; 65: 961 – 4.
- 6.
Levy NT, Olson LJ, Weyand C et al. Histologic and cytokine response to immunosuppression in giant-cell myocarditis. Ann Intern Med 1998; 128: 648 – 50.
- 7.
Litovsky SH, Burke AP, Virmani R. Giant cell myocarditis: an entity distinct from sarcoidosis characterized by multiphasic myocyte destruction by cytotoxic T cells and histiocytic giant cells. Mod Pathol 1996; 9: 1126 – 34.
- 8.
Okura Y, Dec GW, Hare JM et al. A clinical and histopathologic comparison of cardiac sarcoidosis and idiopathic giant cell myocarditis. J Am Coll Cardiol 2003; 41: 322 – 9.
- 9.
Ariza A, Lopez MD, Mate JL et al. Giant cell myocarditis: monocytic immunophenotype of giant cells in a case associated with ulcerative colitis. Hum Pathol 1995; 26: 121 – 3.
- 10.
Nash CL, Panaccione R, Sutherland LR et al. Giant cell myocarditis, in a patient with Crohn’s disease, treated with etanercept – a tumour necrosis factor-alpha antagonist. Can J Gastroenterol 2001; 15: 607 – 11.
- 11.
Rosenstein ED, Zucker MJ, Kramer N. Giant cell myocarditis: most fatal of autoimmune diseases. Semin Arthritis Rheum 2000; 30: 1 – 16.
- 12.
Shields RC, Tazelaar HD, Berry GJ et al. The role of right ventricular endomyocardial biopsy for idiopathic giant cell myocarditis. J Card Fail 2002; 8: 74 – 8.
- 13.
Hunt SA, Baker DW, Chin MH et al. ACC/AHA guidelines for the evaluation and management of chronic heart failure in the adult: executive summary. J Heart Lung Transplant 2002; 21: 189 – 203.
- 14.
Ren H, Poston RS jr., Hruban RH et al. Long survival with giant cell myocarditis. Mod Pathol 1993; 6: 402 – 7.
- 15.
Cooper LT, Okura Y. Idiopathic giant cell myocarditis. Curr Treat Options Cardiovasc Med 2001; 3: 463 – 7.
- 16.
Brilakis ES, Olson LJ, Berry GJ et al. Survival outcomes of patients with giant cell myocarditis bridged by ventricular assist devices. ASAIO J 2000; 46: 569 – 72.
- 17.
Marelli D, Kermani R, Bresson J et al. Support with the BVS 5000 assist device during treatment of acute giant-cell myocarditis. Tex Heart Inst J 2003; 30: 50 – 6.
- 18.
Rose EA, Gelijns AC, Moskowitz AJ et al. Long-term mechanical left ventricular assistance for end-stage heart failure. N Engl J Med 2001; 345: 1435 – 43.
- 19.
Stevenson LW, Rose EA. Left ventricular assist devices: bridges to transplantation, recovery, and destination for whom? Circulation 2003; 108: 3059 – 63.
- 20.
Scott RL, Ratliff NB, Starling RC et al. Recurrence of giant cell myocarditis in cardiac allograft. J Heart Lung Transplant 2001; 20: 375 – 80.