Background.
In order to avoid complications in temporal arteritis, early diagnosis and start of treatment is essential. In many cases, however, the symptoms and clinical signs are non-specific. Surgical biopsy has disadvantages, and false-negative results occur.
Material and methods.
The use of colour Doppler sonography in the diagnosis of temporal arteritis is described, based on a PubMed search and our clinical experience. Two case histories are included.
Results and interpretation.
In recent literature, colour Doppler sonography is described as a new, non-invasive diagnostic tool for temporal arteritis with reported high diagnostic accuracy. The periluminal halo is assumed to represent infiltration and oedema in the arterial wall. Sonography may become a valuable contribution in the diagnostic work-up of patients with non-specific symptoms, and in others patients for guiding the surgical biopsy to an optimal site. It might also be possible to avoid surgical biopsy in selected patients with typical sonographic findings.
Pasient 1. En 74 år gammel kvinne hadde 12 måneder før aktuelle innleggelse fått diagnosen polymyalgia rheumatica av sin fastlege på grunn av smerter og stivhet i skuldrer og hofter samt forhøyet SR på 78 mm. Hun fikk behandling med prednisolon 30 mg daglig, med langsom nedtrapping til 7,5 mg.
Pasienten ble innlagt ved Revmatismesykehuset grunnet redusert allmenntilstand, depresjon og bilateral tinninghodepine. Ved klinisk undersøkelse var det normal organ- og leddstatus, ingen palpabel puls i tinningarteriene og ingen lokalisert ømhet i tinningene. SR var 34 mm og CRP 45 mg/l. Det ble gjort forsøk på kirurgisk biopsi av tinningarterien, men arterien ble ikke funnet på noen av sidene.
To uker senere ble hun undersøkt med ultralyddoppler av tinningarterier (Siemens Elegra og liniært lydhode med frekvens 5 – 9 MHz). A. temporalis superficialis med forgreninger ble undersøkt bilateralt med B-mode, farge- og energidoppler. Det ble funnet en lavekkogen halo rundt arteriens lumen, mest markert på venstre side (fig 1). Etter hudmarkering av arteriens forløp med hjelp av ultralyd, ble det foretatt et nytt kirurgisk inngrep, og en tykkvegget arterie ble funnet. Histologisk undersøkelse indikerte arteritis temporalis. Prednisolondosen ble økt til 20 mg daglig, med gradvis nedtrapping til 10 mg. Hun hadde etter dette avtakende hodepine og bedring av allmenntilstanden. SR sank til 24 mm og CRP til 16 mg/l.
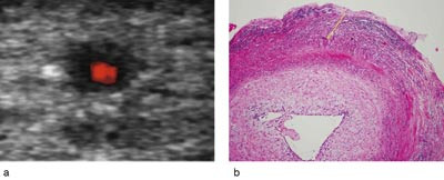
Pasient 2. En 66 år gammel kvinne hadde hypertensjon, men var ellers tidligere frisk. Etter en periode med luftveissymptomer fikk hun vedvarende tretthet, redusert allmenntilstand, vekttap og feber gjennom flere uker. Hun hadde også hatt smerter i tinningene og ansiktet (men dette ble ikke notert ved innleggelsen). Hun ble innlagt i medisinsk avdeling med mistanke om infeksjon. Ved innleggelsen var temperaturen 38,5 grader. Det ble notert god puls i tinningarteriene. SR var 107 mm, CRP 181 mg/l. Utredning kunne ikke avdekke infeksjonsfokus, og pasienten ble henvist til ultralyddoppler av tinningarteriene (med samme ultralydutstyr og teknikk som for pasient 1). Det ble bilateralt påvist en halo rundt arteriens lumen (fig 2a). Det ble så utført en kirurgisk biopsi av tinningarterien, og histologi viste granulomatøs betennelse med kjempeceller (fig 2b). Pasienten ble utskrevet med prednisolon 30 mg daglig med gradvis nedtrapping.
Arteritis temporalis hører til gruppen vaskulittsykdommer, og tilstanden affiserer store og mellomstore arterier (1, 2). Sykdommen er beslektet med polymyalgia rheumatica, og overlappende symptomer forekommer ofte (3) – (5). Arteritis temporalis er vanligst hos kvinner, og forekommer nesten bare i aldersgrupper over 50 år (2, 4) – (7). Et klassisk symptom er nyoppstått hodepine lokalisert til tinninger eller bakhode, ofte med rask debut (4). SR og CRP er vanligvis betydelig forhøyet. Ofte forekommer også muskelsmerter, tretthet, feber og kjeveclaudicatio (1, 4, 5, 8, 9). Ved klinisk undersøkelse kan man iblant finne lokalisert ømhet, fortykkelse eller opphevet puls i tinningarterier (4) – (6, 8). En truende komplikasjon er permanent synstap grunnet affeksjon av arterier i orbita (4, 5, 8). Tidlig diagnose og start av steroidbehandling er viktig.
Mange tilfeller av arteritis temporalis har imidlertid ikke det klassiske sykdomsbildet. Hodepine og ømhet over temporalarterier er ikke alltid til stede. Senkningsreaksjonen kan hos noen få pasienter være normal eller kun lett forhøyet (4, 6, 8). Hos andre dominerer et mer diffust sykdomsbilde med nedsatt allmenntilstand, tretthet, vekttap og feber. Disse pasientene gjennomgår ofte utredning med tanke på malignitet eller infeksjon (3) – (5).
Kirurgisk biopsi av tinningarterien har vært brukt i diagnostikken gjennom mange år. Imidlertid finnes problemer med denne invasive metoden. Seleksjon av pasienter til kirurgisk biopsi kan iblant være vanskelig. Mange pasienter uten sykdommen må gjennomgå et kirurgisk inngrep, og falskt negative biopsier forekommer ikke sjelden (5, 9, 10). Ultralyddoppler er i dag en etablert metode for undersøkelse av blodkar og blodstrøm. Utviklingen innen ultralydteknologien i de senere år har muliggjort høy bildeoppløselighet, særlig av små og overflatiske strukturer.
Tinningarterien (a. temporalis superficialis) ligger kun få millimeter under huden. Med høyfrekvent lydhode, farge- og energidoppler kan arteriens lumen lett identifiseres, selv om diameteren kun er ca. 0,5 mm. I de siste årene er ultralyddoppler blitt beskrevet som en ny, ikke-invasiv og skånsom metode for undersøkelse av tinningarterier (fig 3). Metoden er ikke tidligere omtalt i Tidsskriftet.
Vi gjorde et litteratursøk i PubMed med tanke på studier av ultralyddoppler i diagnostikken av arteritis temporalis.
Resultater
11 relevante studier ble selektert (11) – (21). Beskrevne diagnostiske kriterier i disse studiene var en lavekkogen (mørk) perifer brem rundt arteriens lumen (halo) med tykkelse 0,3 – 1,2 mm (11) samt stenose eller okklusjon av arterien.
Hos klinisk friske kontrollpersoner har man ikke kunnet påvise noen halo (11). Sammenliknet med histologi har man tolket haloen som uttrykk for infiltrasjon og ødem i karveggen (22). Sensitivitet i ti av disse studiene ble rapportert til 73 – 100 %, mens én studie med bruk av kun halo som kriterium hadde en begrenset sensitivitet på 40 % (16). I det største publiserte materialet med 751 pasienter hadde metoden en sensitivitet på 95 % i forhold til kirurgisk biopsi. Hvis man imidlertid sammenliknet med den endelige, kliniske diagnosen, var sensitiviteten for ultralyddoppler 88 %, mens den var 83 % for kirurgisk biopsi (17). I andre studier er det funnet en høy negativ prediktiv verdi, henholdsvis 96 % og 100 % (14, 15). En lav positiv prediktiv verdi på 50 % ble funnet i én studie, mens det i andre ble funnet verdier på over 95 % (20, 21).
Andre typer av vaskulitt i tinningarterien kan neppe skilles fra kjempecellearteritt bare på grunnlag av funn ved ultralyddoppler (1, 11). Etter start av steroidbehandling forsvinner haloen, i gjennomsnitt etter 16 dager (17).
Diskusjon
Symptomer og kliniske funn ved arteritis temporalis kan variere betydelig. Det foreligger ikke alltid åpenbar klinisk mistanke om tilstanden (4, 5, 8).
Kirurgisk temporalisbiopsi er et vanlig inngrep, og det er i mange materialer en høy forekomst av negative biopsier (5, 10). Ved patologisk avdeling, Sykehuset Innlandet Lillehammer, ble det i perioden 1999 – 2003 undersøkt temporalisbiopsier fra 138 pasienter. Av disse gav 37 (27 %) funn forenlige med arteritt, mens 101 var negative. Falskt negative biopsier forekommer, der pasienten klinisk har en arteritt, men biopsien er normal. Det er i flere studier rapportert at andelen falskt negative biopsier er i størrelsesorden 10 – 61 %, med et gjennomsnitt på 30 % (10). Sannsynligvis skyldes dette sykdommens segmentale natur, der områder med betennelse i arterien kan følges av segment uten sykdom (9, 10). Kirurgisk teknikk og lengden av arterien i preparatet har også betydning, og i mange tilfeller får patologen en kortere arterie enn ønskelig (9, 10). Hos noen pasienter er arterien vanskelig å finne, som hos vår pasient 1.
Ultralyddoppler kan ha flere fordeler i denne diagnostikken. Ultralydutstyr er i dag ofte lett tilgjengelig, ikke bare på radiologiske avdelinger. En økende interesse for bruk av ultralyd finnes hos mange spesialistgrupper, bl.a. hos revmatologer. Undersøkelsen er ikke-invasiv og mindre ressurskrevende enn kirurgisk biopsi. Dessuten er den smertefri og relativt rask. Hvis klinisk ønskelig, kan den utvides til undersøkelse av andre kar som kan affiseres ved arteritis temporalis, for eksempel a. occipitalis, a. facialis og andre større arterier. Ikke minst kan vaskulære forhold i orbita undersøkes. Der kan arteritt særlig affisere bakre ciliære arterier, men også a. centralis retinae (5, 23).
Ultralydutstyr med god bildeoppløselighet er en forutsetning. Som annen ultralyddiagnostikk er også denne undersøkeravhengig. Adekvat undersøkelsesteknikk og apparatinnstilling er nødvendig for å unngå feilkilder (for eksempel overstyring av dopplersignalet slik at en halo «forsvinner»). Undersøkelsen bør utføres før eller senest innen fem dager etter start av steroidbehandling (17).
Ultralyddoppler av tinningarterier kan tenkes å få en plass i flere kliniske situasjoner, for eksempel tidlig i utredningen av eldre pasienter med feber, allmennsymptomer og høy SR. Hos pasienter med klassisk klinisk bilde av arteritis temporalis, kan metoden muligens bidra til mer målrettet kirurgisk biopsi mot et affisert segment og dermed minske risikoen for falskt negativ biopsi (15). Ved typisk klinikk og positivt funn ved ultralyddoppler har flere forfattere foreslått at kirurgisk biopsi kan unngås (17, 21). Frem til det foreligger resultat av flere større studier, kan ultralyddoppler ikke generelt erstatte kirurgisk biopsi.
Oppgitte interessekonflikter: Ingen
Hovedbudskap
Arteritis temporalis kan føre til alvorlige komplikasjoner, og tidlig diagnose er viktig
Symptomene er ofte ukarakteristiske, og kirurgisk biopsi kan være falskt negativ
Ultralyddoppler av tinningarterier er en skånsom diagnostisk metode med god treffsikkerhet
- 1.
Haugeberg G. Vaskulitt i temporalarterien – ikke bare ved arteritis temporalis. Tidsskr Nor Lægeforen 1998; 118: 3598 – 9.
- 2.
Nordborg E, Nordborg C. Giant cell arteritis: epidemiological clues to its pathogenesis and an update on its treatment. Rheumatology 2003; 42: 413 – 21.
- 3.
Haga H-J, Magnus JH. Polymyalgia rheumatica og arteritis temporalis. Nyere synspunkter på diagnostikk, behandling, prognose og risiko for cancer. Tidsskr Nor Lægeforen 1994; 114: 2716 – 8.
- 4.
Myklebust G, Gran JT. A prospective study of 287 patients with polymyalgia rheumatica and temporal arteritis: clinical and laboratory manifestations at onset of disease and at the time of diagnosis. Br J Rheumatol 1996; 35: 1161 – 8.
- 5.
Swannell AJ. Polymyalgia rheumatica and temporal arteritis: diagnosis and management. BMJ 1997; 314: 1329 – 32.
- 6.
Hunder GG, Bloch DA, Michel BA et al. The American College of Rheumatology 1990 criteria for the classification of giant cell arteritis. Arthritis Rheum 1990; 33: 1122 – 8.
- 7.
Gran JT. Behandling og diagnostikk av polymyalgia rheumatica og arteritis temporalis Tidsskr Nor Lægeforen 2003; 123: 3387.
- 8.
Haga H-J, Johnsen V, Østensen M et al. Myalgi og høy senkning hos voksne Tidsskr Nor Lægeforen 2000; 120: 3405 – 8.
- 9.
Gisselbæk MR, Klausen S, Hansen TM. Kæmpecellearteritis, arteritis temporalis. Et kvalitetssikringsprojekt vedrørende journaloplysninger, biopsitagning og histologisk vurdering. Ugeskr Læger 1997; 159: 2872 – 5.
- 10.
Ashton-Key M, Gallagher PJ. Surgical pathology of cranial arteritis and polymyalgia rheumatica. Baillieres Clin Rheumatol 1991; 5: 387 – 404.
- 11.
Schmidt WA, Kraft HE, Vorpahl K et al. Color duplex ultrasonography in the diagnosis of temporal arteritis. N Engl J Med 1997; 337: 1336 – 42.
- 12.
Venz S, Hosten N, Nordwald K et al. Einsatz der hochauflösenden Farb-Doppler-Sonographie in der Diagnostik einer Arteritis temporalis. Rofo 1998; 169: 605 – 8.
- 13.
Stammler F, Ysermann M, Mohr W et al. Stellenwert der farbkodierten Duplexsonographie bei Patienten mit Polymyalgia rheumatica ohne klinische Zeichen einer Arteriitis temporalis. Dtsch Med Wochenschr 2000; 125: 1250 – 6.
- 14.
Nesher G, Shemesh D, Mates M et al. The predictive value of the halo sign in color Doppler ultrasonography of the temporal arteries for diagnosing giant cell arteritis. J Rheumatol 2002; 29: 1224 – 6.
- 15.
LeSar CJ, Meier GH, DeMasi RJ et al. The utility of color duplex ultrasonography in the diagnosis of temporal arteritis. J Vasc Surg 2002; 36: 1154 – 60.
- 16.
Salvarani C, Silingardi M, Ghirarduzzi A et al. Is duplex ultrasonography useful for the diagnosis of giant-cell arteritis? Ann Intern Med 2002; 137: 232 – 8.
- 17.
Schmidt WA, Möller DE, Gromnica-Ihle E. Farbduplexsonographie der Temporalarterien. Ophthalmologica 2003; 217: 164 – 5.
- 18.
Pfadenhauer K, Weber H. Duplex sonography of the temporal and occipital artery in the diagnosis of temporal arteritis. J Rheumatol 2003; 30: 2177 – 81.
- 19.
Murgatroyd H, Nimmo M, Evans A et al. The use of ultrasound as an aid in the diagnosis of giant cell arteritis: a pilot study comparing histological features with ultrasound findings. Eye 2003; 17: 415 – 9.
- 20.
Romero-Villegas A, Vila-Coll R, Poca-Dias V et al. The role of color duplex sonography in the diagnosis of giant cell arteritis. J Ultrasound Med 2004; 23: 1493 – 8.
- 21.
Reinhard M, Schmidt D, Hetzel A. Color-coded sonography in suspected temporal arteritis – experiences after 83 cases. Rheumatol Int 2004; 24: 340 – 6.
- 22.
Roters S, Szurman P, Engels BF et al. The suitability of the ultrasound biomicroscope for establishing texture in giant cell arteritis. Br J Ophthalmol 2001; 85: 946 – 8.
- 23.
Ho AC, Sergott RC, Regillo CD et al. Color doppler hemodynamics of giant cell arteritis. Arch Ophthalmol 1994; 112: 938 – 45.