En 90 år gammel kvinne med akutt abdomen

    ()

    sporsmal_grey_rgb
    Abstract

    Bowel strangulation is defined as mechanical obstruction associated with compromised blood circulation of the bowel wall. Delayed diagnosis and treatment are the main causes of the high mortality.

    A 90-year-old woman was admitted to our hospital with acute abdominal pain. Plain abdominal x-ray studies were inconclusive. However, bowel strangulation was suggested by computer tomography and the diagnosis was confirmed under the laparotomy.

    In the case of bowel strangulation, abdominal CT is a fast, reliable and useful diagnostic tool when imaging is considered necessary before a laparotomy.

    Artikkel

    En 90 år gammel kvinne ble innlagt på kirurgisk avdeling med akutt abdomen. Hun var ellers frisk for alderen, bodde alene og klarte seg selv. Hun var tidligere konservativt behandlet for divertikulitt og operert for struma nodosa med venstresidig hemityreoidektomi. Ti år tidligere hadde hun fått diagnostisert asymptomatisk gallestein, og ett år tidligere hadde hun vært innlagt på medisinsk avdeling på grunn av kvalme og dehydrering uten at noen spesifikk diagnose var blitt satt. Hun hadde kroniske ryggsmerter og brukte antiflogistika ved behov. De aktuelle abdominalsmertene debuterte akutt dagen før innleggelsen, og var lokalisert periumbilikalt med utstråling bak i ryggen, ledsaget av kvalme og oppkast. Symptomene fortsatte i form av murrende smerter med takvise forverringer. Hun hadde hatt både flatus og avføring etter sykdomsdebuten.

    Ved klinisk undersøkelse virket pasienten dehydrert og avmagret. Abdomen var oppblåst, og det var vanskelig å vurdere muskulær defense på grunn av atrofisk bukmuskulatur. Hun var sterkt palpasjonsøm periumbilikalt, men ellers ikke øm over abdomen. Tarmlydene var livlige ved auskultasjon, men uten patologisk preg. Etter den initiale kliniske undersøkelsen ble det rekvirert røntgen oversikt abdomen som ikke viste tegn til fri luft, ileus eller gav mistanke om annen patologi. Orienterende blodprøver viste moderat leukocytose på 13,3 x 109 celler/l og normale verdier for hemoglobin, serumelektrolytter, kreatinin og CRP.

    Det var en viss diskrepans mellom de objektive funn og pasientens symptomer. På grunn av vedvarende smerter til tross for adekvat smertebehandling, ble laparotomi overveid, men vi vurderte den peroperative risikoen som høy. For å styrke operasjonsindikasjonen ble det derfor gjort en akutt computertomografisk undersøkelse (CT) av abdomen med intravenøs kontrast.

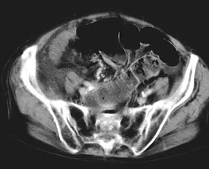
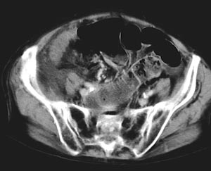
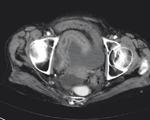
    I motsetning til røntgen oversikt abdomen viste abdominal CT multiple luftvæskespeil i tynntarmen. Tynntarmslyngene var til dels moderat utspilte med diameter på om lag 3 cm (fig 1). Bak cøkum kunne man følge en slynge som ble innsnevret i forløpet, som ved obstruksjon. I tynntarmens videre forløp så man veggfortykkelse, økt kontrastoppladning i mukosa og halotegn. Mesenteriet viste stuvning og påfallende konvergens med antydet rotasjon som en virvel (whirl-sign, (fig 2, fig 3).

    Funnet var forenlig med strangulasjonsileus, og indikasjonen for operativ behandling var nå åpenbar.

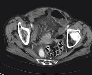
    Tre timer etter innleggelsen og 19 timer etter symptomdebut ble pasienten laparotomert. Man fant hemoragiske forandringer på tynntarmsserosa i en lengde på 50 cm av distale ileum ned mot ileocøkalovergangen. Oralt for disse forandringene var det en adheransestreng som forsårsaket strangulasjonen. Etter at strengen ble delt og tynntarmsmesenteriet brettet ut, fikk man god oversikt over de makroskopiske forandringene (fig 4). Det var ingen tegn til tarmnekrose. Man observerte det affiserte tynntarmssegmentet i 15 minutter. Tarmsegmentet virket da vitalt og velsirkulert, og tarmreseksjon ble ikke funnet nødvendig. Undersøkelse i abdomen for øvrig avdekket ingen annen patologi, bortsett fra små divertikler i sigmoideum. Det postoperative forløpet var ukomplisert. Pasienten ble utskrevet til sitt eget hjem 10. postoperative dag i god allmenntilstand.

    Diskusjon

    Diskusjon

    Tynntarmsobstruksjon (ileus) er en av de vanligste årsakene til akutt innleggelse i kirurgiske avdelinger, og angis å forårsake opp til 20 % av tilfellene av akutt abdomen (1). Strangulasjon er definert som mekanisk tarmobstruksjon assosiert med sirkulasjonsforstyrrelser i tarmveggen, og foreligger hos ca. 10 % av alle pasienter med tynntarmsobstruksjon (2). Tynntarmsobstruksjon med strangulasjon fører ubehandlet raskt til utvikling av livstruende komplikasjoner. Mortaliteten øker med sykehistoriens lengde og angis til 8 % ved operasjon innen 36 timer etter symptomdebut og 25 % ved operasjon senere enn 36 timer (3). Den rapporterte mortalitetsraten ved strangulasjon er med 20 – 37 % vesentlig høyere enn mortalitetsraten ved enkel obstruksjon, som angis å være 5 – 8 %. Forsinket diagnose og behandling er hovedårsakene til høy mortalitet (4, 5).

    Det kan imidlertid være vanskelig å stille en mer spesifikk diagnose enn «akutt abdomen» hvis den kun er basert på klinisk undersøkelse og anamnese. Spesielt hos eldre pasienter kan kliniske funn være uklare og anamnestiske opplysninger være få eller mangelfulle. Det kan følgelig være vanskelig å vurdere indikasjon for akutt laparotomi. Hos eldre pasienter er operative inngrep ofte forbundet med en høyere komplikasjonsrisiko på grunn av flere ledsagende sykdommer, og disse er ikke alltid diagnostisert eller optimalt behandlet. Indikasjonen for akutt laparotomi bør være godt fundert og må vurderes opp mot en økt risiko for peroperative komplikasjoner. I slike situasjoner vil en rask og målrettet bildediagnostikk være klinisk nyttig.

    Ved mistanke om ileus er det nokså vanlig å rekvirere røntgen oversikt abdomen. Undersøkelsen er lett tilgjengelig, rask og rimelig, men har begrenset diagnostisk verdi (1). Ultralydundersøkelse av abdomen er også lett tilgjengelig, er uten ioniserende stråling og gir lave kostnader per undersøkelse. Verdien av denne undersøkelsen ved akutt abdomen er svært undersøkeravhengig, og pasientrelaterte faktorer som adipositas og meteorisme kan gjøre den teknisk vanskelig (1). Røntgen tarmpassasje kan bidra til å diagnostisere og lokalisere ileus i tynntarmen, men undersøkelsen kan være vanskelig og risikabel hos pasienter med kvalme eller oppkast. Den lange undersøkelsestiden fører til forsinket diagnose og behandling og dermed til økt postoperativ morbiditet og mortalitet (5). Røntgen tarmpassasje har sannsynligvis ingen terapeutisk verdi ved mekanisk ileus, og den diagnostiske verdien er omstridt (6). Computertomografisk undersøkelse er pasientvennlig og informativ også hos adipøse pasienter eller pasienter med sterke abdominalsmerter. Undersøkelsen kan differensiere mellom ukomplisert ileus og strangulasjon, og kan gi opplysninger om lokalisasjon, stenoselengde og om mulige årsaker til obstruksjonen. Ved klinisk mistanke om akutt mekanisk ileus er abdominal CT-undersøkelse med intravenøs kontrast et verdifullt hjelpemiddel (1). Flere studier har rapportert en deteksjonsrate på 63 – 100 % for strangulasjonsileus (7) – (9). Undersøkelser med multidetektor-CT har enda høyere sensitivitet (10). Computertomografisk undersøkelse av abdomen medfører imidlertid den høyeste stråledosen av alle de her nevnte radiologiske undersøkelsene, noe som særlig må tas i betraktning ved valg av undersøkelsesmetode hos yngre pasienter.

    Konklusjon

    Konklusjon

    Preoperativ diagnostikk av strangulasjonsileus kan være en betydelig klinisk og radiologisk utfordring. Tidsfaktoren fra symptomdebut til definitiv behandling spiller en stor rolle for utfallet. Pasientene bør ikke utsettes for lang ventetid til endelig behandling iverksettes ved at unødvendige supplerende røntgenundersøkelser rekvireres. Hvis ytterligere bildediagnostikk anses nødvendig preoperativt etter at røntgen oversikt abdomen er utført, er CT abdomen med intravenøs kontrast å foretrekke fremfor ultralyd abdomen eller røntgen tarmpassasje med peroral kontrast. Forsinkende eller unødvendig bildediagnostikk bør unngås i de tilfellene der tilstanden ut fra en klinisk vurdering nødvendiggjør et eksplorativt inngrep uansett hva bildediagnostikken måtte vise (7).

    Oppgitte interessekonflikter: Ingen

    Se kommentar side 890

    Kommentarer  ( 0 )

    Anbefalte artikler