()

    sporsmal_grey_rgb
    Abstract

    Diabetiske fotsår skyldes to senkomplikasjoner av diabetes: nevropati og arteriosklerose. Rask og adekvat behandling av disse ofte krevende sårene er viktig for å forhindre amputasjon. Ideelt sett bør diabetiske fotsår behandles av et tverrfaglig diabetisk fotteam. Behandlingen sikter mot avlastning, behandling av infeksjoner, gjenoppretting av sirkulasjonen og lokalt sårstell. Enkle undersøkelser kan danne grunnlag for vurdering av risiko for utvikling av diabetiske fotsår. Profylakse og riktig håndtering av slike risikopasienter kan bidra til å redusere antallet amputasjoner hos diabetikere.

    Abstract

    Diabetic foot ulcers result from two specific complications: neuropathy and arteriosclerosis. Prompt and appropriate treatment of these often complicated wounds can help reduce complications that may lead to amputation.

    The most effective way to prevent these complications is to refer patients to interdisciplinary diabetic foot teams. The most important aspects of treatment are off-loading, treatment of infections, establishment of sufficient circulation, and local wound therapy.

    A specific examination is the basis for risk assessment. Prophylaxis and appropriate management of patients at risk of developing foot ulcers would contribute to reduce the number of amputations among diabetic patients.

    Artikkel

    Diabetiske fotsår er et altfor lite påaktet område innen diabetesomsorgen og bør få langt mer oppmerksomhet blant helsepersonell. Når diabetiske fotkomplikasjoner inntreffer, er det dessverre fortsatt alt for ofte overlatt til tilfeldighetene om en pasient beholder funksjonsdyktig ekstremitet eller ikke.

    I denne artikkelen beskriver vi epidemiologi, patofysiologi, utredning og behandling av diabetiske fotsår basert på tilgjengelig relevant litteratur.

    Epidemiologi

    Epidemiologi

    Omtrent 85 % av alle amputasjoner hos diabetikere skyldes et diabetisk fotsår (1). Prevalensen av diabetiske fotsår i Skandinavia varierer i ulike studier mellom 3 % og 8 % (1, 2). De siste 10 – 20 årene har det i de fleste land ikke vært nedgang i antall diabetiske amputasjoner (3, 4). I Skandinavia registreres det ca. 10 – 11 diabetiske amputasjoner per 100 000 innbyggere, det vil si ca. 400 – 500 amputasjoner totalt per år i Norge hos pasienter med diabetes mellitus (5, 6).

    En svensk studie har vist at behandlingen av et diabetisk fotsår koster 154 000 norske kroner (7). En amputasjon på lårnivå kan koste 3 – 4 ganger så mye.

    Patofysiologi

    Patofysiologi

    Diabetiske fotsår er nevropatiske trykksår. Risikofaktorer for diabetiske fotsår er tidligere sår og amputasjoner (8, 9), tilstedeværelse av hyperkeratoser (10), leddeformiteter (11), problemer med synet (12) og kjønn (mann) (13). Graden av perifer arteriosklerose er den viktigste faktoren som bestemmer om et diabetisk fotsår skal gro.

    Forekomsten av diabetiske fotsår er fortsatt høy, og et mål satt opp i 1990 (St.Vincent-deklarasjonen) om å redusere antall amputasjoner til 50 % i løpet av en femårsperiode er ikke oppnådd (14). Til en viss grad skyldes dette manglende forståelse hos helsepersonell for patomekanismene bak utviklingen av diabetiske fotulcerasjoner.

    Nevropati

    Nevropati

    Perifer diabetisk nevropati rammer det sensoriske, motoriske og autonome nervesystemet. Ved sensorisk nevropati mister pasientene sensibilitetens beskyttende funksjon, for eksempel overfor mindre traumer. Motorisk nevropati gir feilstillinger i føttene og forandret gangmønster. Forhøyet trykk i fotsålen resulterer i fortykket hud (kallus) og iskemiske nekroser i huden og utstansede fotsår (fig 1). På grunn av nevropatien er disse sårene ofte smertefrie. Pasienten registrerer ikke skaden og vil fortsette å belaste foten. Slik vil såret neppe tilhele. Ca. 70 % av alle diabetesfotsår har sitt utgangspunkt i en kombinasjon av sensorisk og motorisk nevropati (e-fig 2) (15).

    Påvirkes det autonome nervesystemet, oppstår forstyrrelser i arterienes autoregulasjonsmekanismer og arteriovenøs shunting. Ødemet som da oppstår gir redusert oksygenering av vevet. En slik fot mister mye varme, og huden blir uttørket og sprukken. Hudens barrierefunksjon mot mikroorganismer faller bort. I tillegg mister huden mye av sin elastisitet.

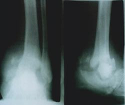
    Arteriovenøs shunting fremmer også utviklingen av osteopeni i fotskjelettet. Dette kan gi spontanfrakturer og sammenbrudd av ledd og knokler, slik at foten blir deformert (16). En slik fot kalles Charcot-fot (e-fig 3). En typisk feilstilling er den såkalte vuggemeien etter kollaps i mellomfoten. Her øker trykket særlig over os naviculare, slik at det er nesten umulig å holde foten fri for sår.

    Perifer arteriosklerose

    Perifer arteriosklerose

    Pasienter med diabetes mellitus har forhøyet risiko for utvikling av perifer arteriosklerose. Den diabetiske makroangiopatien angriper ofte leggarteriene. Derfor er palpapel puls i arteria poplitea, men manglende pulsasjoner i ankel- og fotarteriene, et klassisk funn. Det finnes også mikroangiopatiske forandringer som fortykket basalmembran, skjøre karvegger, mikrotromber og vasomotoriske feilfunksjoner utløst av den autonome nevropatien (17). Claudicatio intermittens er sjeldent hos diabetikere. Mediasklerosen er typisk for diabetikere. Arteriene blir stive på grunn av forkalkninger i tunica media. Dette kan gi falsk forhøyet perifer blodtrykk.

    Andre patofysiologiske faktorer

    Andre patofysiologiske faktorer

    Ulcerasjoner i føttene er oftest multifaktorielt betinget. Blandingen av karsykdom og nevropati finnes i 15 % av alle tilfeller. Andre faktorer er vevsatrofi i fotsålen, nedsatt infeksjonsresistens på grunn av forstyrret proteinsyntese og granulocyttfunksjon samt redusert leddbevegelighet (18) – (20). Dårlig metabolsk kontroll fremmer utvikling av senkomplikasjoner som nevropati og angiopati (21).

    Utredning

    Utredning

    Korrekt sårdiagnose er grunnlag for risikovurdering, behandling og prognose. Man skal aldri behandle et sår uten at man har stilt etiologisk diagnose.

    Nevrologisk undersøkelse

    Nevrologisk undersøkelse

    En enkel og pålitelig undersøkelse er sensibilitetstesting med 10-g Semmes-Weinstein-monofilament (fig 4). Metoden har høy sensitivitet og spesifitet og anses derfor velegnet ved vurdering av risiko (22). Monofilamentet er overlegent 128-Hertz-stemmegaffelen, som har flere mulige feilkilder. Refleksstatus i underekstremitet hører også med i den nevrologiske utredningen.

    Sirkulasjonsutredning

    Sirkulasjonsutredning

    Palpasjon av ekstremitetsarteriene og måling av ankel-arm-indeks med dopplerteknikk inngår i sirkulasjonsutredningen. Ankel-arm-indeksen ligger normalt mellom 0,9 og 1,1. En indeks på < 0,5 tyder på kritisk iskemi. Indeks > 1,2 indikerer mediasklerose. Typiske karforandringer vises også på røntgenbilder. Alternative metoder for å utrede sirkulasjonen i periferien er tåtrykksmåling eller måling av transkutan oksygentensjon (tcpO2). Pasienter med okklusiv karsykdom har signifikant redusert oksygentensjon, og verdien gir derfor også opplysninger om sårprognosen. Dupleksskanning kan påvise stenoser i arteriene. Angiografien er gullstandard for diagnostisering av karforandringer og planlegging av karrekonstruksjon.

    Feilstillinger

    Feilstillinger

    Hammertær, klotær, hallux valgus, hulfot og nedsatt leddbevegelighet disponerer for trykkskader og sår.

    Hud

    Hud

    Føttene undersøkes for kallositeter som tegn på økt trykk. Mørke prikker under disse representerer subkutane blødninger. Huden er ofte tørr på grunn av autonom nevropati. Soppinfeksjoner er hyppige og kan gi bakterielle sekundærinfeksjoner.

    Sårvurdering

    Sårvurdering

    Som nevnt er det avgjørende at det stilles en etiologisk diagnose (e-tab 1). Når såret vurderes, noterer man seg sårets lokalisering, størrelse og dybde, utseende av sårbunnen, tilstedeværelse av nekroser, tegn til infeksjon, underminering av sårkantene, væskemengde og utseende samt forholdene i huden omkring såret. Det er viktig at såret sonderes. Kontakt med bein er ensbetydende med osteomyelitt, som dessverre altfor ofte overses med alvorlige konsekvenser for pasientene.

    Tabell 1

    Kliniske funn ved diabetesfotsår. I om lag 15 % av tilfellene foreligger blandingssår

    Nevropatisk sår

    Iskemisk sår

    Palpable pulsasjoner i fotarteriene

    Manglende pulsasjon i fotarteriene

    Ingen smerter

    Hvilesmerter

    Foten er varm og tørr

    Foten er kald og blek

    Sår lokalisert i trykkbelastede områder

    Sår lokalisert akralt eller langs fotrand

    Hyperkeratoser rundt såret

    Få granulasjoner i såret

    Man må vurdere i hvilken fase av sårhelingen såret befinner seg i (inflammasjonsfase, granulasjonsfase, modningsfase). Det har betydning for valget av lokalbehandlingen (tab 2).

    Tabell 2

    Valg av bandasje avhengig av fasen såret befinner seg i

    Inflammasjonsfase

    Granulasjonsfase

    Modningsfase

    Polyuretanskum

    Polyuretanskum

    Tynn polyuretanskum

    Alginat

    Alginat

    Filmbandasje

    Hydrofiber

    Hydrofiber

    Hydrogel (ved lite til moderat væsking)

    Matriksmetalloproteaseinhibitor

    Supraabsorberende bandasjer (ved uttalt væsking)

    Sølvbandasje

    Matriksmetalloproteaseinhibitor

    Bandasjer som inneholder sølv

    Lukthemmende bandasjer

    Hyppig bandasjebytte, avhengig av sekresjon fra såret, men minst hvert tredje døgn

    Utvidede intervaller mellom hvert bandasjebytte, men minst hvert tredje døgn

    Så lenge såret ikke er fullt epitelisert, kan bytte skje hvert tredje døgn. Hvis såret er helt epitelisert, kan bytte skje opptil hvert sjuende døgn

    Risikovurdering og håndtering av risikopasienter

    Risikovurdering og håndtering av risikopasienter

    Alle diabetikere bør få undersøkt føttene sine minst en gang i året. Undersøkelsen omfatter screening for risikofaktorene nevropati, arteriosklerose og deformiteter. Resultatet av denne undersøkelsen danner grunnlaget for risikovurdering som beskrevet i modifikasjonen av The Tayside Foot Risk Assessment Protocol (23) (fig 5).

    Ideelt sett bør et diabetiske fotteam ta seg av høyrisikopasienter og fotsårpasienter. Medlemmer av et diabetesfotteam kan være endokrinolog/indremedisiner, karkirurg/kirurg/ortoped, diabetessykepleier, ortopediingeniør og fotterapeut. Ved behov må nevrolog, infeksjonsmedisiner og dermatolog tilkalles. Det har vist seg at man klarer å redusere antall sår og amputasjoner når diabetikere behandles av interdisiplinære lag som tar seg av både preventive tiltak og behandling (24). Det finnes flere diabetiske fotteam i Norge. Alle sykehus som tar seg av diabetespasienter burde ha et slikt tilbud. Henvisning til et fotteam bør skje raskest mulig etter identifisering av høy risiko eller et sår. I en engelsk studie tok det i gjennomsnitt 15 dager fra sårdebut til første konsultasjon hos spesialisten (25). Forfatterne mente dette ikke bare skyldes at pasienten reagerte for sent, men også manglende tilbud og dårlig kommunikasjon mellom de forskjellige nivåer i helsevesenet. Erfaringer viser at dette stort sett tilsvarer situasjonen i Norge.

    Pasienter med kritisk iskemi og dyp infeksjon skal henvises som øyeblikkelig hjelp til enten nærmeste kirurgisk avdeling eller diabetisk fotteam.

    Behandling

    Behandling

    For at sår skal kunne heles, kreves det først og fremst behandling av de tilgrunnliggende faktorer. Avlastning, infeksjonskontroll, metabolsk kontroll og et velfungerende samarbeid mellom pasienten og helsepersonell er viktige forutsetninger. Oppfylles ikke disse betingelsene, er enhver diskusjon om hvilken bandasje man skal bruke, eller om sårbehandlingen skal være fuktig eller tørr, meningsløs.

    Avlastning

    Avlastning

    Et diabetisk nevropatisk fotsår krever avlastning. Avlastningen må være fullstendig og konsekvent. Krykker eller rullestol kan bare anses som en nødløsning. De fleste pasientene er eldre og klarer seg sjelden på krykker. Fullstendig immobilisering i rullestolen vil øke faren for andre komplikasjoner, slik som trombose, emboli, muskelatrofi eller decubitus.

    Halvsko kan være en mulighet for pasienter med sår distalt i fotsålen. Imidlertid forårsaker disse en så stor beinlengdeforskjell at de kan være vanskelige å bruke over tid. Prefabrikkerte ortoser med luftkamre eller ortoser som lages av ortopediingeniøren med et hulrom over såret til lokal avlastning, er bedre alternativer. Ulempen er at pasienten etter eget ønske kan ta disse av. Et godt alternativ er derfor avlastningsgips (total contact cast). Dette er en gipsstøvel laget av myk plastgips med en luke over såret. Når pasienten belaster med gipsen på, sørger økt trykk i området rundt såret for raskere resorpsjon av ødemet. Indikasjonen er overflatiske trykksår hos pasienter med god arteriell sirkulasjon. Gipsen skal kun unntaksvis brukes hos pasienter med en iskemisk komponent. Luken i gipsen tillater også regelmessig sårstell. Mobilisering av pasienten med avlastningsgips er også god ødembehandling. Gipsen må skiftes regelmessig, til å begynne med en gang i uken. Behandlingen er ressurskrevende og fordrer god kunnskap innen gipsing. Trykksår på grunn av for stram eller feillagt gips forekommer. Motsatt fot må også beskyttes med for eksempel en tykk sokk som tres utenpå gipsen, slik at den ikke skraper opp huden og gir sår (husk at pasienten har nevropati). Hvis brukt riktig og i kombinasjon med god lokalbehandling, anses gipsen som gullstandard i behandlingen av unilaterale plantare ulcerasjoner (26).

    Infeksjon

    Infeksjon

    Infeksjoner er den vanligste årsaken til amputasjonene hos diabetikere (27). Diabetiske sår er utsatt for infeksjoner på grunn av forstyrrelser i granulocyttfunksjonen. Høyt blodglukosenivå og dårlig perfusjon gjør vevet disponert for nekrotiserende infeksjoner. Stafylokokker, betahemolytiske streptokokker, enterobacter, bacteroides fragilis, peptokokker og peptostreptokokker er bakteriene som oftest dyrkes fra sårene (28), men diagnosen infeksjon skal bygge på kliniske funn.

    Kontakt med bein når diabetesfotsår inspiseres med sonde eller annet egnet instrument taler med stor sannsynlighet for osteomyelitt (28). Vanlig røntgen påviser ikke tidlige forandringer, men kan være nyttig for å dokumentere forløpet. MR-undersøkelse kan diagnostisere akutt og kronisk osteomyelitt (29). Skillet mellom akutt og kronisk osteomyelitt settes ved fire uker. Dyrkning fra sårene gjøres for bakteriologisk diagnose. De beste prøvene for bakteriologisk undersøkelse er biopsier tatt fra sårbunnen. «Sårpensler» bør unngås.

    Generelt har man en lavere terskel til å starte opp antibiotikaterapi hos pasienter med diabetes. Behandlingen bør styres etter en nøktern vurdering av prøvesvaret. Ved dype infeksjoner og generelle infeksjonstegn bør man gi parenteral antibiotikabehandling. Hvis man må gi antibiotika før det mikrobiologiske svaret foreligger, anbefales enten et antistafylokokkmiddel eller en kombinasjon av ciprofloksacin og metronidazol eller klindamycin (30). Det anbefales å konsultere en infeksjonsmedisiner.

    I tillegg til langvarig antibiotikabehandling må også kirurgisk debridement og eventuell reseksjon av infisert bein vurderes. Slike tiltak er obligatorisk ved kronisk osteomyelitt.

    Gjenoppretting av sirkulasjonen

    Gjenoppretting av sirkulasjonen

    Pasienter med tegn på redusert arteriell sirkulasjon skal henvises til karkirurg. Kritiske tegn er ankel-arm-indeks < 0,5, absolutt systolisk trykk i en fot- eller ankelarterie < 50 mm Hg, tåtrykk < 30 mm Hg og redusert oksygentensjon. Revaskularisering kan gjøres ved angioplastikk og bypassoperasjoner. Bypassoperasjoner kan være teknisk krevende fordi mottakerkarene ofte ligger nokså perifert. Operasjonsresultatene (patency rates) er derfor ikke like gode som ved proksimal bypasskirurgi. Et viktig prinsipp er å behandle infeksjonen først og deretter gjenopprette sirkulasjonen, for på den måten å forskyve nivået ved en eventuell amputasjon så langt distalt som mulig.

    Opplæring og motivasjon

    Opplæring og motivasjon

    Å lære opp og motivere pasienter er oppgaver som bør tas av alle som er involvert i behandling av diabetikere.

    Pasientene trenger informasjon om konsekvensene av nevropati og arteriosklerose og om vanlig fotstell. Diabetikere med fotsår må kjenne til tegnene som tyder på forverring, og de må vite hvor de skal henvende seg.

    Lokalbehandling

    Lokalbehandling

    Moderne sårbehandling bygger på infeksjonskontroll, regelmessig fjerning av nekrotisk vev og kontrollert væsking fra såret.

    Regelmessig fjerning av nekroser og kallositeter rundt såret anbefales på det sterkeste. Dette gjøres helst kirurgisk. Fistler eksideres slik at det blir en større åpning som muliggjør kontroll over sårbunnen. Ved siden av den kirurgiske metoden kan man også benytte enzymer, larver og høytrykksspyling for å redusere den nekrotiske belastningen. Dette gir en bedre kontroll med infeksjonen. Hydrogeler skaper et fuktig tilhelingsmiljø som fremmer autolytiske mekanismer, men må brukes med varsomhet hos diabetikere. Bandasjer som inneholder sølv, eller jod i kombinasjon med stivelse, har antibakteriell effekt. Det er ikke indikasjon for bruk av antibiotika lokalt.

    Bandasjen på et diabetisk fotsår skal kunne forhindre sekundære infeksjoner. Den skal også kunne takle den til dels rikelige væskingen fra sårene. Produkter som oppfyller disse kravene, er polyuretanskumbandasjer, alginater og hydrofiberprodukter. Det finnes få randomiserte og kontrollerte studier om produktvalget, og studiene har mange metodiske svakheter. Det eksisterer imidlertid teoretiske kriterier for valg av bandasje, men disse kriteriene er ikke nærmere evaluert (33). Vår anbefaling er å velge bandasje etter sårhelingsfasen (tabell 2). Væskingen avtar mens såret heler fra inflammasjons- og granulasjonsfasen til modningsfasen. Polyuretanskumbandasjen er veldokumentert og finnes i flere varianter tilpasset graden av sårsiv.

    Vekstfaktorer, hudanaloger og andre avanserte metoder er forbeholdt sår som ikke tilheler ved god standardbehandling. Disse bør i Norge forbeholdes sentre som har utprøvende protokoller for de aktuelle metoder.

    Andre sjeldent brukte lokalbehandlingsformer i Norge er vakuumassistert lukning (vacuum assisted closure) og hyperbar oksygenterapi. Det er ikke gjort større randomiserte og kontrollerte studier med disse behandlingsalternativene, men mye tyder på at utvalgte pasienter kan ha effekt særlig av hyperbar oksygenbehandling (34).

    Profylakse

    Profylakse

    Primærprofylakse sikter mot optimal diabetesbehandling. Bedre blodglukosekontroll og behandling av dyslipidemi og hypertoni vil, som vist i UKPDS-studien, redusere forekomsten av mikrovaskulære komplikasjoner (31), og er, sammen med risikovurdering, en viktig del av primærprofylaksen.

    En strukturert opplæring er av stor betydning for å forebygge sår. Diabetikere skal motiveres for å gjøre nødvendige tiltak, slik som daglig inspeksjon av føttene og skoene, regelmessig fotvask (ikke ved sår), ikke å gå barfot eller barbeint i skoene samt bruk av fuktighetskrem ved tørr hud.

    Hyperkeratoser skal fortrinnsvis behandles av fotterapeut. Dette gjelder også neglestell hos diabetikere med moderat og høy risiko for utvikling av fotskader. Å ha fotterapeut med i det diabetiske fotteamet bør være en selvfølge. Alle pasienter med tidligere fotsår forblir høyrisikopasienter. Sekundærprofylaksen innebærer å utstyre diabetikere med tidligere sår eller amputasjoner med spesialsåler, spesialfottøy og andre ortopediske hjelpemidler for å forhindre residivsår. Det er viktig at denne pasientgruppen følges regelmessig opp av diabetesfotteamet.

    Oppgitte interessekonflikter:

    Førsteforfatter har mottatt forskningsstipend, foredragshonorar og reisestøtte fra Smith & Nephew.

    Oppgitte interessekonflikter: Se til slutt i artikkelen

    Kommentarer  ( 0 )

    Anbefalte artikler