En 33 år gammel kvinne var førstegangsgravid i 1997. Det ble ved ultralydundersøkelse påvist en uttalt hydrocephalus hos fosteret, og fødsel ble indusert i uke 36. Fosterlyden ble imidlertid borte og det ble dødfødsel. Obduksjon viste en cerebral blødning som årsak til hydrocephalus (barn 1).
Kvinnen ble gravid igjen i 1999. På bakgrunn av anamnesen med hjerneblødning i første svangerskap ble det foretatt trombocyttyping av mor, som viste seg å være HPA-1bb. Det ble deretter påvist antistoff mot trombocyttantigenet HPA-1a, hvilket kunne være årsaken til cerebral blødning og sekundær hydrocephalus hos det første barnet.
Neonatal alloimmun trombocytopeni er en sjelden, men potensielt alvorlig tilstand hos foster/nyfødt som kan oppstå hvis mor danner antistoff mot barnets trombocytter. Antistoff av IgG-klasse kan passere placenta og binde seg til fosterets trombocytter. Ved passasje gjennom milten blir de antistoffsensibiliserte trombocyttene raskt fjernet fra sirkulasjonen, med trombocytopeni til følge (1).
I likhet med erytrocyttene uttrykker blodplatene forskjellige antigener som kan være av stor klinisk betydning. På blodplatene har man identifisert seks bi-allele systemer hvor de to allelene benevnes med henholdsvis a og b. Av disse er HPA-1-systemet det viktigste i forbindelse med neonatal alloimmun trombocytopeni (2).
Neonatal alloimmun trombocytopeni forekommer i én av 1 000 – 2 000 graviditeter. Det vanligste er når mor har trombocytter av typen HPA-1bb og barnet har arvet et HPA-1a-allel fra far (2). Disse trombocyttypene forekommer i henholdsvis 2 % (HPA-1bb) og 98 % (HPA-1aa eller HPA-1ab) av befolkningen (3, 4).
En transplacentær overgang av trombocyttantigener fra foster til mor med immunisering og danning av anti-HPA-1a-antistoff forekommer hos ca.10 % av HPA-1bb-mødre (3) – (6). Alvorlig trombocytopeni (< 35 · 10⁹/l) påvises hos 20 – 40 % av barna der moren har dannet antistoff (7). En gruppe av disse barna (21 – 25 %) vil igjen kunne utvikle alvorlig hjerneblødning, oftest prenatalt (8, 9). Noen av barna har også petekkier allerede ved fødselen.
Det ble gjennom det andre svangerskapet foretatt gjentatte HPA-1a-antistoffundersøkelser, som viste et antistoffnivå på 37 500 AE (arbeidsenheter), der verdier > 100 AE i de aller fleste tilfellene (> 85 %) fører til trombocytopeni hos fosteret.
Kvinnen var til regelmessige ultralydkontroller med tanke på en mulig hjerneblødning hos fosteret. Det ble gjort elektiv sectio i uke 37, med forlikelige trombocytter av type HPA-1bb i beredskap.
Umiddelbart etter at barnet var født, ble det tatt prøve til trombocyttelling fra navlesnor og kapillærblod fra barnet (barn 2). I løpet av de første minuttene etter forløsningen og før trombocyttallet forelå, fikk barnet raskt økende antall petekkier over hele kroppen. Det ble umiddelbart lagt inn et navlevenekateter og gitt transfusjon med forlikelige trombocytter.
Prøvene tatt ved fødselen viste trombocyttall på henholdsvis 3 · 10⁹/l i navlesnorsblod og 5 · 10⁹/l i kapillærblod, hvilket bekrefter en alvorlig neonatal alloimmun trombocytopeni. Etter trombocyttransfusjonen ble det gitt infusjon med humant, normalt immunglobulin (Octagam) 500 mg/kg intravenøst for å blokkere antistoffeffekten på trombocyttene (10) (fig 1).
Barnet er nå fem år og har utviklet seg normalt, uten tegn på sekveler.
Kvinnen var på ny gravid i 2001. Hun ble nå fulgt nøye med nivåbestemmelse av trombocyttantistoff (fig 2) og ultralydkontroller av fosteret.
I uke 27 ble det påvist en intracerebral blødning som målte 1 x 1 cm basalt i venstre temporoparietalregion. Siden det var risiko for nye blødninger, ble det besluttet å forberede forløsning ved å gi steroider for lungemodning. Etter 48 timer ble det gjort elektiv sectio, med forlikelige trombocytter (HPA-1bb) i beredskap.
Ved fødselen var barnet (barn 3) aktivt, med egenrespirasjon. Trombocytter i navlesnorsblod og kapillærblod fra barnet viste begge verdier på 6 · 10⁹/l. Svarene forelå etter knapt ti minutter og det ble umiddelbart gitt trombocytter i navlevene, etterfulgt av Octagam 500 mg/kg over to timer (fig 1).
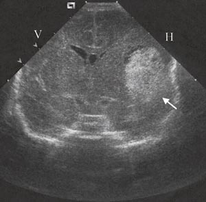
Ultralydundersøkelse av hodet etter fødsel bekreftet en blødning i temporoparietalregionen (fig 3).
Barnet er nå tre år gammelt og har vist en normal psykomotoriskisk utvikling, med normal hodeomkrets. Det foreligger således ingen holdepunkter for alvorlig nevrologisk sekvele.
Neonatal alloimmun trombocytopeni er en sjelden, men potensielt alvorlig tilstand. Særlig fryktet er cerebrale blødninger som kan oppstå intrauterint (3) – (7) eller i forbindelse med fødselen, spesielt hvis denne er «traumatisk» (tang, vakuum eller ved feilstillinger).
I slike situasjoner kan det være viktig å følge morens anti-HPA-1a-antistoffnivå gjennom svangerskapet og ha forlikelige trombocytter (HPA-1bb) i beredskap, enten fra blodgivere eller fra morens egne vaskede trombocytter (2).
Det er fremdeles uklart om mødre med HPA-1a-antistoff skal forløses med sectio eller vaginalt. En pågående studie fra Helse Nord, Sør og Øst vil kunne bringe viktig kunnskap om sammenhengen mellom mødrenes antistoff og den nyfødtes trombocytttall og kliniske tilstand.
Etter vår erfaring gir antistoffnivåer over 200 AE ofte alvorlig trombocytopeni hos barnet.
Hos den aktuelle pasienten kunne man ikke ha gjort noe for det første barnet fordi det ikke var kjent at mor hadde trombocyttypen HPA-1bb og anti-HPA-1 a-antistoff. I neste svangerskap ble det tatt forholdsregler med planlagt operativ forløsning tre uker før termin med forlikelig trombocyttkonsentrat i beredskap, noe som sannsynligvis forhindret alvorlige blødninger.
I tredje svangerskap ble det påvist en cerebral blødning i uke 27. Ut fra risiko for ytterligere blødning og forverring av den påviste cerebrale blødningen ble det besluttet å fremme lungemodning med steroider, som også stimulerer trombopoesen (11), og forløse mor for å kunne behandle barnet med forlikelige trombocytter av type HPA-1bb og Octagam (10).
Hos både barn 2 og barn 3 hadde denne behandlingen en meget god effekt (fig 1).
Diskusjon
Det har vært diskutert om man rutinemessig burde HPA-1a-type alle gravide for å identifisere risikograviditeter (2, 12, 13). Enkelte har imøtegått en generell screening, delvis ut fra egne observasjoner (14, 15).
På prosjektbasis har man siden 1995 ved Universitetssykehuset Nord-Norge rutinemessig gjort blodplatetyping av gravide for å identifisere risiko for neonatal alloimmun trombocytopeni. Dette prosjektet ble i 2001 utvidet til å omfatte Helseregion Sør og Øst.
Ved prosjektets avslutning, ved utgangen av 2004, regner vi med å ha inkludert vel 100 000 gravide. Dette vil representere den hittil største prospektive undersøkelse av neonatal alloimmun trombocytopeni og vil kunne gi et bedre beslutningsgrunnlag for om rutinemessig HPA-1bb-screening bør iverksettes på landsplan. Ikke minst vil resultatene kunne gi indikasjon på hvilke barn som bør fødes ved sectio og hvilke som kan gjennomgå en normal vaginal fødsel.
Vi har referert en familie der mor fikk påvist anti-HPA-1a etter første graviditet, som endte med dødfødsel. Vi mener at aktiv planlegging i forhold til forløsningstidspunkt og -metode har vært livreddende for de to neste barna.
Oppgitte interessekonflikter: Ingen
Se kommentar side 2246
- 1.
Blanchette VS, Chen L, deFriedberg ZS et al. Alloimmunisation to the PlA1 platelet antigen: results of a prospective study. Br J Haematol 1990; 74: 209 – 15.
- 2.
Husebekk A, Skogen B. Maternelle alloantistoffers betydning ved trombocytopeni hos nyfødte Tidsskr Nor Lægeforen 2001; 121: 3160 – 2.
- 3.
Williamson LM, Hackettt G, Rennie J et al. The natural history of fetomaternal alloimmunization to the platelet-specific antigen HPA-1a (PlA1, Zwa) as determined by antenatal screening. Blood 1998; 92: 2280 – 7.
- 4.
Jægtvig S, Husebekk A, Aune B et al. Neonatal alloimmune thrombocytopenia due to anti-HPA 1a antibodies; the level of maternal antibodies predicts the severety of thrombocytopenia in the newborn. Br J Obst Gynaecol 2000; 107: 691 – 4
- 5.
Davoren A, McParland P, Barnes CA et al. Neonatal alloimmune thrombocytopenia in the Irish population: a discrepancy between observed and expected cases. J Clin Pathol 2002; 55: 289 – 92.
- 6.
Spencer JA, Burrows RF. Feto-maternal alloimmune thrombocytopenia: a literature review and statistical analysis. Aust N Z J Obstet Gynaecol 2001; 41: 45 – 55.
- 7.
Mueller-Eckhardt C, Kiefel V, Grubert A et al. 348 cases of suspected neonatal alloimmune thrombocytopenia. Lancet 1989; 1: 363 – 6.
- 8.
Giovangrandi Y, Daffos F, Kaplan C et al. Very early intracranial haemorrhage in alloimmune fetal thrombocytopenia. Lancet 1990; 336: 310.
- 9.
Bonacossa IA, Jocelyn LJ. Alloimmune thrombo-cytopenia of the newborn: neurodevelopmental sequelae. Am J Perinat 1996; 13: 211 – 5.
- 10.
Mueller-Eckhardt C, Kiefel V, Grubert A. High dose IgG treatment for neonatal alloimmune thrombocytopenia. Blut 1989; 59: 145 – 6.
- 11.
Kaplan C, Murphy MF, Kroll H, Waters H. Feto-maternal alloimmune thrombocytopenia: antenatal therapy with IvIg and steroids – more questions than answers. Br J Haematol 1998; 100: 62 – 5.
- 12.
Husebekk A, Skogen B, Christiansen D et al. Neonatal alloimmun trombocytopeni. Diagnostikk og oppfølging i svangerskapet. Tidsskr Nor Lægeforen 1996; 116: 1219 – 22.
- 13.
Letsky EA, Greaves M. Guidelines on the investigation and management of thrombocytopenia in pregnancy and neonatal alloimmune thrombocytopenia. Br J Haematol 1996; 95: 21 – 6.
- 14.
Williamson LM. Screening program for foetomaternal alloimmune thrombocytopenia. Vox Sang 1998; 74 (suppl 2): 385 – 9.
- 15.
Markestad T, Reigstad H. Screening for alloimmun trombocytopeni Tidsskr Nor Lægeforen 2002; 122: 650.