Background.
Application of fine needle cytology (FNC) is important in the preoperative assessment of thyroid lesions. The method is rapid, minimally invasive and cost effective. The aim of this study was to evaluate the role of fine needle cytology at The Norwegian Radium Hospital in the management of thyroid nodules.
Material and methods.
Data on FNC and comparable histology results were retrieved from the pathology database during the 5-year-period 1998 through 2003. 1770 FNC samples and corresponding histology results from 443 lesions were compared. Reviews of cytological slides were done in 39 discrepant cases and quality assessment parameters calculated.
Results.
High complete sensitivity (77.5 %) and specificity (90.1 %) were found. The false positive rate was 1.2 % and the false negative rate 23.7 %. Inadequate FNCs were particularly seen in submitted specimens. A review of the discrepant cases showed that the main cause of false negative samples was sampling error. Micropapillary carcinoma was the predominant tumour type with false negative FNC. Eleven malignancies were diagnosed in repeat FNC specimens.
Interpretation.
FNC is a highly reliable test to assess whether a thyroid nodule is benign or malignant. Diagnostic pitfalls are mainly due to inability to procure the diagnostic material.
Pasienter med primært thyreoideakarsinom har ofte en solitærknute. Palpable knuter i thyreoidea er et vanlig klinisk symptom, med en prevalens på 4 – 7 % i vestlige land. I mindre enn 5 % av tilfellene skyldes dette ondartet kreft (1, 2). I Norge diagnostiseres ca. 200 nye tilfeller av kreft i thyreoideakjertelen hvert år, de fleste hos kvinner. Insidensen er omtrent to og fem per 100 000 for henholdsvis menn og kvinner (3). Lobektomi er det vanligste inngrep ved benigne lesjoner, mens total tyreoidektomi anbefales ved thyreoideakarsinom. De færreste pasienter med knutestruma trenger kirurgisk behandling. Tilgjengelige diagnostiske tester må derfor kvalitetssikres for best mulig å identifisere dem som trenger videre utredning og behandling. Oppslag i Dagens Medisin viser at dette kan være et problem (4) – (6).
Cytologisk finnålspunksjon fra suspekte knuter i thyreoideakjertelen er en enkel og velegnet diagnostisk test med høy sensitivitet og spesifisitet (1, 2, 7, 8). Den predikative verdien av finnålscytologi er større enn for tradisjonelle tester som serumanalyse og isotopscintigrafi (1). Punksjonscytologi har imidlertid visse begrensninger, spesielt ved utredning av hyperplastisk strumaknute, follikulært adenom, follikulært karsinom og follikulær variant av papillært karsinom (9) – (15). Ved disse tilstandene er histologisk undersøkelse nødvendig.
Hensikten med studien var å undersøke om sensitivitet og spesifisitet for finnålscytologi ved Radiumhospitalet tilfredsstiller allment aksepterte kvalitetskrav. Vi ønsket også å vurdere nytten av gjentatt punksjonscytologisk prøvetaking.
Materiale og metode
Ved Radiumhospitalet deltar cytologene ved prøvetakingen, og den skjer helst under ultralydveiledning (16). Prøver av lett tilgjengelige palpable lesjoner blir tatt palpasjonsveiledet når ultralydundersøkelse ikke er mulig. En av seksjonens cytologer deltar også en dag i uken ved prøvetaking ved Bærum sykehus og ved sykehusene på Elverum og Hamar. Seksjon for cytologi besvarer også tilsendte prøver, eksterne og interne. De fleste eksterne prøver kommer fra sykehus i Helse Sør og i Helse Øst. Ved søking i den elektroniske patologijournalen Doculive fant vi frem alle punksjonscytologiske prøver fra thyreoidea som ble utført i perioden 1.10. 1998 til 1.5. 2003, i alt 1 770 prøver (tab 1). Fra 443 av lesjonene var det også utført histologisk undersøkelse av vevsprøver (tab 2). Relevante histologidata ble også kodet i databasen. Ved mistanke om malignt lymfom etter finnålscytologisk undersøkelse ble det på materiale fra tre lesjoner gjort immunfenotyping med væskestrømscytometri med antistoffpanel som inkluderte immunglobulin lette kjeder kappa og lambda, CD19 og BerEP4 (17).
Tabell 1
Gruppering av 1 770 cytologiske prøver fra glandula thyreoidea
| Kategori |
Antall (%) N = 1 770 |
| Uegnet prøve |
327 (18,5) |
| Normale funn |
1 279 (72,3) |
| Suspekt |
112 (6,3) |
| Malign |
52 (2,9) |
Tabell 2
Sammenheng mellom finnålscytologisk prøve og histologisk undersøkelse av 443 lesjoner
| Finnålscytologi |
||||||
| Histologi |
Uegnet |
Benign |
Suspekt |
Malign |
Sum |
|
| Benign |
62 |
264 |
29 |
0 |
355 |
|
| Suspekt |
0 |
0 |
1 |
1 |
2 |
|
| Malign |
6 |
19 |
23 |
38 |
86 |
|
| Sum |
68 |
283 |
53 |
39 |
443 |
|
Gruppering av cytologidiagnoser
Vi bruker anbefalingene fra den Internett-baserte amerikanske Thyroid disease manager, der man kategoriserer de cytologiske finnålsaspiratene som benigne, suspekte, maligne eller uegnede (1). Er cytologidiagnosen suspekt eller malign, anbefaler vi histologisk undersøkelse av lesjonen. Histologisvarene ble gruppert i samsvar med cytologigrupperingen.
Statistikk
De utvalgte data i Doculive-databasen ble importert til statistikkprogrammet SPSS-PC. Absolutt sensitivitet er antall svulster diagnostisert som maligne uttrykt som prosentandel av totalt antall maligne svulster. Komplett sensitivitet er antall lesjoner som cytologisk er maligne eller suspekte uttrykt som prosent av totalt antall maligne svulster diagnostisert histologisk. Spesifisitet er fraksjonen korrekt diagnostiserte benigne lesjoner uttrykt som prosent av alle benigne lesjoner. Dataanalysen ble utført på 443 lesjoner som også var undersøkt histologisk.
Resultater
Tabell 1 viser at 72,3 % av de 1 770 undersøkte cytologiske prøvene var benigne, 2,9 % var maligne (fig 1). De fleste prøvene var innsendt. 38,6 % var tatt av cytolog. Mens de innsendte hovedsakelig var tatt palpasjonsveiledet, var de fleste egne prøver tatt ultralydveiledet. Andelen uegnede prøver var 24,1 % for tilsendte prøver og 9,5 % for egne prøver. 4,1 % av egne prøver og 2,2 % av tilsendte prøver var maligne.
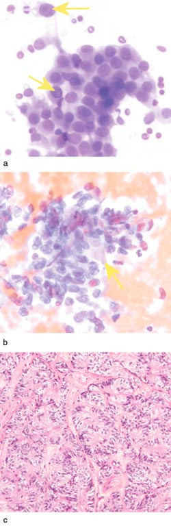
Som vist i tabell 2 var 443 lesjoner (25 %) også undersøkt histologisk. Da cytologisk suspekte lesjoner ble gruppert sammen med de maligne, var det samsvar mellom cytologisk og histologisk diagnose for 92 % (345 av 375 diagnostiserbare lesjoner ved begge metoder). Seks av 68 uegnede punksjonscytologiske prøver var fra histologisk verifisert karsinom. Ytterligere 19 lesjoner var cytologisk falskt negative. Som vist i tabell 3 var finnålspunksjonen fra 18 papillære thyreoideakarsinomer enten uegnet eller benign. Bare én cytologisk prøve var falskt positiv. Histologisk var dette et trabekulært adenom med sklerose (fig 2). Absolutt og komplett sensitivitet var henholdsvis 49 % og 77,5 %, og spesifisiteten var 90,1 %. Andel falskt negative cytologiske prøver var 23,7 %, og som sagt var én prøve falskt positiv (1,2 %).
Tabell 3
25 histologisk verifiserte karsinomer med uegnet eller benign cytologisk prøve
| Finnålscytologi |
||
| Histologi |
Uegnet |
Benign |
| Papillært karsinom |
5 |
13 |
| Follikulært karsinom |
1 |
1 |
| Anaplastisk karsinom |
0 |
5 |
I 43 lesjoner var det uoverensstemmelse mellom cytologisk og histologisk diagnose, og prøvene fra 37 lesjoner ble ettergransket (seks ble ikke funnet i arkivet). Revisjonen viste at den hyppigste årsak (68 %) til falskt negativ cytologisk prøve var at finnålspunksjonen manglet tumorceller, og seks av finnålsprøvene var fra små svulster av type mikropapillært thyreoideakarsinom. Tre av de falskt negative prøvesvarene skyldtes tolkingsfeil, to prepareringsfeil.
Tre lesjoner ble også undersøkt med væskestrømscytometri, og monoklonal B-cellepopulasjon, forenlig med malignt lymfom, ble påvist i en lesjon. Ytterligere fire maligne lymfomer ble diagnostisert histologisk. Hele 72 % av de 96 maligne eller suspekte finnålsprøvene ble diagnostisert ved første prøvetaking, ytterligere 22 % ble diagnostisert ved andre. Det ble ikke registrert vesentlige komplikasjoner som følge av prøvetakingen.
Diskusjon
Cytologisk finnålspunksjon er en enkel og kostnadseffektiv metode med høy sensitivitet og spesifisitet ved utredning av benigne og maligne svulster i thyreoideakjertelen (1, 2). De fleste anbefaler ultralydveiledning. Når cytolog er til stede under prøvetakingen, er det også mulig å hurtiggranske materialet med henblikk på prøvens representativitet og egnethet slik at man, mens undersøkelsen pågår, kan ta nye prøver ved uegnet materiale og ved behov for tilleggsundersøkelser (16) – (18). For å unngå blodtilblanding, som er et praktisk problem ved thyreoideadiagnostikk, foretrekker vi tynne nåler, helst 25 gg eller 27 gg uten aspirator (19). Denne prosedyren er minimalt traumatisk og uten risiko for alvorlige komplikasjoner.
I samsvar med anbefalingene til Hossein Gharib grupperte vi diagnosene i kategoriene benign, suspekt, malign eller uegnet (1). Thyreoideapunksjoner er ofte cellefattige, det er ingen klare kriterier for mengden epitelceller en diagnostiserbar prøve skal inneholde. Det mest brukte minimumskriterium er minst seks grupper av bevarte epitelceller, hver bestående av 10 – 15 celler (1), noe vi har prøvd å følge. Det er ikke uvanlig at mellom 10 % og 20 % av finnålspunksjonene fra thyreoideakjertelen er uegnet for diagnostikk (15). Andelen uegnede var vesentlig høyere i tilsendte prøver, som hovedsakelig var tatt palpasjonsveiledet (24,1 %), enn i egne prøver, som var tatt ultralydveiledet (9,5 %), noe vi også har erfart ved mammadiagnostikk (20).
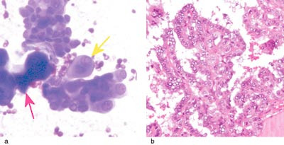
I seks av lesjonene med cytologisk uegnet prøve viste senere biopsi karsinom (tab 2). Papillært thyreoideakarsinom var den hyppigste krefttypen (fig 1), og bare for ett follikulært karsinom var finnålsprøven ubrukelig.
Dette står i kontrast til Yang og medarbeideres erfaring om at spesielt follikulære neoplasmer var assosiert med blodrike utstryk som ikke er diagnostiserbare (9). Vår erfaring er at follikulære lesjoner ofte kategoriseres som suspekte. Chow og medarbeidere gjorde ny finnålscytologisk prøve hos 60 pasienter med tidligere uegnet prøve og fant karsinomceller hos ti (15). En uegnet prøve bør derfor ikke oppfattes som benign, og det er bred enighet om at finnålsprøven helst bør gjentas (1, 2).
Falskt benign finnålscytologisk prøve er et velkjent problem (2, 21). I vårt materiale var 22 % av prøvene falskt negative, mens andelen i de fleste rapporter er mindre enn 10 %, avhengig av antall pasienter som blir operert og størrelsen på lesjonene (1).
Andelen er spesielt knyttet til prøvetakers erfaring og hvilke kriterier for egnet prøve man har. Dette gjenspeiles også i antall uegnede prøver. I de fleste undersøkelser får under 10 % av pasientene med cytologisk bestemt godartet svulst kirurgisk behandling. Derfor må andelen falskt negative tolkes med forsiktighet.
I vårt materiale var det ingen vesentlig forskjell mellom egne og innsendte prøver, og ettergranskingen viste at mangelfull prøvetaking var den viktigste årsaken (69 %) til falskt negativ prøve, mens feiltolking bare ble påvist i tre tilfeller.
Det er vanskelig å få representativt materiale fra små og ikke-palpable lesjoner. Derfor er det ikke uventet at finnålspunksjon fra seks mikropapillære karsinomer ikke inneholdt diagnostisk materiale. Flere ekspertgrupper har kommet med forslag for å redusere andelen falskt negative prøver, og man anbefaler at cytologiske finnålspunksjoner skal utføres av leger som har fått spesiell opplæring både i thyreoideadiagnostikk og i bruk av finnålspunksjon (1, 22).
Punksjonen skal helst tas fra forskjellige deler av lesjonen, fortrinnsvis fra perifere områder. Det er viktig at man får ut et tilstrekkelig antall epitelceller. Om man ved gjentatt prøvetaking ikke får med nok materiale, bør punksjonen gjøres under ultralydveiledning.
Lesjoner som er større enn 4 cm, bør eksideres. Cyster kan skleroseres (23), men anbefales også eksidert om de residiverer. Det samme gjelder lesjoner som enten klinisk, radiologisk eller cytologisk er suspekte.
Den ene falskt positive prøven var histologisk et trabekulært adenom med fibrose (fig 2), en sjelden tumor med uklar histogenese (24, 25). På grunn av funn av papillære cellegrupper hvor epitelcellene hadde inklusjonslegemer i kjernen samt kjernefurer, noe som er karakteristisk for papillært thyreoideakarsinom, ble prøven diagnostisert som malign. Denne svulsten viser hvor viktig det er med spesialkompetanse i thyreoideadiagnostikk.
Vår erfaring viser at cytologisk finnålspunksjon har høy komplett sensitivitet og spesifisitet ved utredning av lesjoner i thyreoidea. Den høye andelen ikke-vurderbare prøver i tilsendt materiale viser at metoden krever leger med spesiell erfaring i prøvetaking og at ultralydveiledning bør tilstrebes. Derfor er multidisiplinært samarbeid mellom spesialister innen fagområdene kirurgi, radiologi, endokrinologi og patologi nødvendig. Det er viktig at kriteriene for representativ prøve er entydige og at en uegnet prøve ikke betraktes som negativ.
Oppgitte interessekonflikter: Ingen
- 1.
Thyroid disease manager: fine-needle aspiration biopsy of the thyroid gland. www.thyroidmanager.org/functiontests/fnabiopsy-text.htm (2002).
- 2.
Sherman SI. Thyroid carcinoma. Lancet 2003; 361: 501 – 11.
- 3.
Kreftregisteret. www.kreftregisteret.no (2003).
- 4.
Godal TA. Opererte 390 – 32 hadde kreft. Dagens Medisin 20.11.2003.
- 5.
Godal TA. Dette er venstrehåndsarbeid. Dagens Medisin 4.11.2003.
- 6.
Eltvik L, Olsbø F, Blom P. Cancer thyreoidea ved Akershus universitetssykehus. Dagens Medisin 18.12.2003.
- 7.
Ravetto C, Colombo L, Dottorini ME. Usefullness of fine-needle aspiration in the diagnosis of thyroid carcinoma; a retrospective study in 37,895 patients. Cancer 2000; 90: 357 – 63.
- 8.
El Hag IA, Kollur SM, Chiedozi LC. The role of FNA in the initial management of thyroid lesions: 7-year experience in a district hospital. Cytopathology 2003; 14: 126 – 30.
- 9.
Yang GCH, Liebeskind D, Messina AV. Should cytopathologists stop reporting follicular neoplasms on fine-needle aspiration of the thyroid? Diagnosis and histologic follow-up of 147 cases. Cancer Cytopathol 2003; 99: 69 – 74.
- 10.
Hamburger JI. Extensive personal experience. Diagnosis of thyroid nodules by fine needle biopsy: use and abuse. J Clin Endocrinol Metabol 1994; 79: 335 – 9.
- 11.
Segev DL, Clark DP, Zeiger MA et al. Beyond the suspicious thyroid fine needle aspirate. A review. Acta Cytol 2003; 47: 709 – 22.
- 12.
Carpi A, Nicolini A, Casara D et al. Nonpalpable thyroid carcinoma: clinical controversies on preoperativ selection. Am J Clin Oncol 2003; 26: 232 – 5.
- 13.
Bahar G, Braslavsky D, Shpitzer T et al. The cytological and clinical value of the thyroid «follicular lesion». Am J Otolaryngol 2003; 24: 217 – 20.
- 14.
Castro MR, Gharib H. Thyroid fine-needle aspiration biopsy: progress, practise, and pitfalls. Endocr Pract 2003; 9: 128 – 36.
- 15.
Chow LS, Gharib H, Goellner JR et al. Nondiagnostic thyroid fine-needle aspiration cytology: management dilemmas. Thyroid 2001; 11: 1147 – 51.
- 16.
Berner A, Bjerkehagen B, Risberg B. Punksjonscytologi Tidsskr Nor Lægeforen 2000; 120: 239 – 42.
- 17.
Davidson B, Risberg B, Berner A et al. Evaluation of lymphoid cell populations in cytology specimens using flow cytometry and polymerase chain reaction. Diagn Mol Pathol 1999; 8: 183 – 8.
- 18.
Papotti M, Volante M, Saggiorato E et al. Role of galectin-3 immunodetection in the cytological diagnosis of thyroid cystic papillary carcinoma. Eur J Endocrinol 2002; 147: 515 – 21.
- 19.
Zajdela A, Zillhardt P, Voilemot N. Cytological diagnosis by fine needle sampling without aspiration. Cancer 1987; 59: 1201 – 5.
- 20.
Berner A, Sigstad E, Reed W et al. Cytologisk finnålsaspirasjon eller grovnålsbiopsi ved diagnostikk av tumor mammae? Tidsskr Nor Lægeforen 2003; 12: 1677 – 9.
- 21.
Alexander EK, Heering JP, Benson CB et al. Assessment of nondiagnostic ultrasound-guided fine needle aspiration of thyroid nodules. J Clin Endocrinol Metab 2002; 87: 4924 – 7.
- 22.
British Thyroid Association. www.british-thyroid-association.org/guidelines.htm (2001).
- 23.
Bennedbaek FN, Hegedus L. Treatment of recurrent thyroid cysts with ethanol: a randomized double-blind controlled trial. J Clin Endocrinol Metab 2003; 88: 5773 – 7.
- 24.
Papotti M, Volante M, Giuliano A et al. RET/PTC activation in hyalinizing trabecular tumors of the thyroid. Am J Surg Pathol 2000; 24: 1615 – 21.
- 25.
Livolsi VA. Hyalinizing trabecular tumor of the thyroid: adenoma, carcinoma, or neoplasm of uncertain malignant potential. Am J Surg Pathol 2000; 24: 1683 – 4.