Background.
Tumour angiogenesis and lymphangiogenesis are important new areas of cancer research. In this paper we highlight the central aspects of these processes and describe new therapies directed at the tumour vasculature. We also present some of our own data.
Material and methods.
Data from key papers in international journals on tumour angiogenesis and lymphangiogenesis are cited and discussed.
Results.
Research on tumour angiogenesis and lymphangiogenesis has increased dramatically over the last 30 years. Today, this knowledge is being used to predict the aggressiveness of malignant tumours and to design compounds which can halt the angiogenesis process and affect tumour growth.
Interpretation.
Insight into how angiogenesis and lymphangiogenesis are regulated in malignant neoplasms is important to the understanding of tumour biology. Currently, numerous clinical trials are conducted with angiogenesis inhibitors; the first completed trials indicate that tumour growth may be retarded in some cancer entities.
Amerikaneren Judah Folkman vakte interessen for tumorangiogenese med en banebrytende artikkel i 1971 (1, 2). Her fremsatte han hypotesen at solide svulster trenger innvekst av blodkar fra omgivelsene for å vokse utover 1 – 2 mm. I årene etter har forskningen på tumorangiogenese økt betydelig, og i dag pågår klinisk-onkologiske studier med flere titall ulike angiogenesehemmere, medikamenter som hemmer karnydanning (3).
Angiogenese og lymfangiogenese er definert som utvekst av blodkar og lymfekar fra tilstedeværende kar. Tumorangiogenese er innvekst av blodkar i kreftsvulster, også kalt neovaskularisering (fig 1).
Tumorangiogenese
Morfologisk ser man de første tegn til angiogenese idet dysplastisk vev utvikler seg til carcinoma in situ (4). Karnydanning igangsettes pga. hypoksi, acidose eller hypoglykemi i svulstvevet (5), fordi svulsten vokser utover diffusjonsavstanden for oksygen og næring på 100 – 300 cellelag (6). Transkripsjonsfaktoren hypoksiinduserbar faktor 1-alfa (HIF1-alfa) ser ut til å være cellenes oksygen- og metabolismesensor i denne prosessen, den induserer produksjon av ulike endoteliale vekstfaktorer (7). Tumorangiogenese moduleres videre av mutasjoner som aktiverer protoonkogener til onkogener (bl.a. ras) eller inaktiverer tumorsuppressorgener (bl.a. TP53), som igjen kontrollerer endoteliale vekstfaktorer (2, 8).
Regulatorer av tumorangiogenese
Kreftceller, stromaceller og inflammatoriske celler i svulsten skiller ut vekstfaktorer som via endotelreseptorer stimulerer til karnydanning (5, 9). Tumorangiogenese igangsettes når det foreligger en ubalanse mellom faktorer som stimulerer og faktorer som hemmer endotelcellene, og hvor vekstfremmende faktorer dominerer. Det finnes en lang rekke endoteliale vekstfaktorer (tab 1), og vaskulær endotelial vekstfaktor (VEGF) og basisk fibroblast vekstfaktor (bFGF) er blant de viktigste (2). Tyrosinkinasereseptorene for vekstfaktorene VEGF og angiopoietin er sentrale i koordineringen av karnydanning (4).
Tabell 1
Liste over sentrale endogene stimulatorer og hemmere av angiogenese (engelsk oversettelse og forkortelse i parentes)
| Proangiogene substanser |
Antiangiogene substanser |
| Angiogenin |
Angiopoietin-2, VEGF ikke til stede |
| Angiopoietin-1 |
Angiostatin |
| Angiopoietin-2, VEGF til stede |
Antitrombin-3 |
| Basisk fibroblastvekstfaktor (basic fibroblast growth factor; bFGF) |
Canstatin |
| Cyklooksygenase-2 |
Endostatin |
| Epidermal vekstfaktor (epidermal growth factor; EGF) |
Interferon alfa/beta |
| Erytropoietin |
Interleukin 12 |
| Hepatocyttvekstfaktor (hepatocyt growth factor; HGF) |
Platefaktor 4 |
| HER-2/neu |
Trombospondin-1 |
| Interleukin 6 og 8 |
Tumstatin |
| Placental vekstfaktor (placental growth factor; PlGF) |
Vaskulær endotelial vekstinhibitor (vascular endothelial growth inhibitor) |
| Platederivert vekstfaktor (platelet-derived growth factor; PDGF) |
Vevsinhibitor av metalloproteinase-1/-2 (tissue inhibitors of metalloproteinase-1/-2) |
| Vaskulær endotelial vekstfaktor (vascular endothelial growth factor; VEGF) |
2-metoksyøstradiol |
Det finnes en lang rekke angiogenesehemmende faktorer (tab 1) som produseres både i normalt vev og i maligne svulster og som deltar i reguleringen av karnydanning (2). Angiostatin og endostatin er blant de mest potente endotelhemmende faktorer som er funnet så langt, og man har oppnådd fullstendig stans i tumorvekst ved kontinuerlig tilførsel av disse to stoffene i dyreforsøk (1, 10). Endostatin binder seg til integrin alfa₅beta₁ på endotelcellemembranen og nedregulerer transkripsjonen av sentrale endoteliale vekstfaktorgener (11, 12). Angiostatin blokkerer ATP-syntase på endoteloverflaten, og dermed initieres apoptose pga. fallende intracellulær pH (10).
Karakteristika ved blodkar i maligne svulster
En malign svulst har blodkar som avviker fra det man ser i normalvev (5). Blodkarene er kaotisk organisert, med vekslende kardiameter, arteriovenøs shunting og økt interkapillær avstand (fig 2). Videre er det en ufullstendig oppbygging av karveggen, med delvis mangel på basalmembran, glatt muskulatur og innervasjon, og dette medvirker til blødninger i tumorvevet, økt kapillær lekkasje og økt interstitielt trykk i svulstene. Dette har viktige konsekvenser, da tilførselen av oksygen, næring og terapeutika til tumorcellene blir hemmet (13).
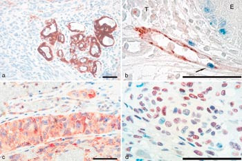
Nye blodkar dannes enten ved knoppskyting fra kar i omliggende normalvev eller ved oppsplitting av tilstedeværende kar i flere mindre (5). Dessuten kan sirkulerende endoteliale stamceller muligens bidra ved karnydanning i kreftsvulster (5). Det har vært antydet at vaskulære kanaler uten endotelbekledning kan forekomme ved enkelte kreftformer, men det er usikkert om dette er funksjonelle blodførende strukturer (5). Nylig er det påvist enda en form for angiogenese, der glomeruliliknende nøster av endotelceller (fig 3a) avsnøres fra et «moderkar» og utvikler seg til flere funksjonelle mikrokar (14).
Til en viss grad kan maligne celler unngå å danne egen blodforsyning ved å snylte på blodkar i normalvevet (5). Tumorcellene legger seg da rundt blodkarene og vokser langsmed disse innover i normalvevet. Denne prosessen synes å være spesielt viktig ved vekst av kreftsvulster i hjerne og lunge (15, 16).
Markører for angiogenese
Den mest brukte metoden for å beregne en tumors angiogene kapasitet er å telle antall blodkar per mm² i histologiske snitt. Dette angis som mikrovaskulær tetthet (1). Snittene farges immunhistokjemisk med endotelspesifikke markører som anti-von Willebrands faktor eller anti-CD31. En negativ prognostisk verdi av økende kartetthet er blitt rapportert ved flere kreftformer, men den kliniske nytteverdien av dette er usikker (4).
Videre har ekspresjon av endoteliale vekstfaktorer som VEGF og bFGF i tumor (fig 3c, d) prognostisk og prediktiv verdi (4, 9). Vi har dessuten funnet en negativ prognostisk verdi av glomeruloide karnøster i svulstvevet (fig 3a) ved flere store tumorgrupper (14). Man har også antydet at antall sirkulerende endotelceller i blodbanen kan brukes som en surrogatmarkør for tumorangiogenese (3, 17). Disse metodene har liten klinisk anvendelse i dag, men vil trolig få en plass i diagnostikk, pasientseleksjon og terapivalg når antiangiogen terapi kommer i vanlig bruk.
Lymfangiogenese
Forskning på lymfangiogenese har fått stor oppmerksomhet den siste tiden, pga. oppdagelsen av den lymfekarspesifikke VEGF-reseptor-3. VEGF-C og -D er subtyper av vekstfaktoren VEGF og ligander for denne reseptoren, og de induserer lymfangiogenese eksperimentelt (6). Økt ekspresjon av VEGF-C og -D gir økt frekvens av lymfeknutemetastaser i dyreforsøk (6), men kliniske studier som er gjort så langt, har ikke vist at aktiv lymfangiogenese er viktig for tumorvekst. Tvert imot synes et økende antall lymfekar i og rundt svulstene (fig 3b) å være korrelert med økt overlevelse (18, 19). En mulig forklaring på dette kan være at lymfatisk metastasering beror på kreftcellenes evne til å intravasere, og aktiv lymfangiogenese trenger ikke være en nødvendig forutsetning for dette (18).
Antiangiogen behandling
Dårlig blodstrøm i tumorkar medfører dårligere effekt av onkologisk behandling, enten fordi cytostatika ikke når frem til tumorcellene eller pga. hypoksi i svulstvevet ved strålebehandling (13). Disse problemene unngår man for en stor del når det er endotelcellene som er behandlingsmålet. Samtidig har endotelcellene i maligne svulster høyere proliferasjonsrate enn i de fleste typer normalvev (20), og dermed blir antiangiogen behandling relativt tumorselektiv.
Angiogenesehemmende substanser
På hjemmesidene til det amerikanske National Cancer Institute er det til enhver tid oppdaterte opplysninger om pågående kliniske studier med angiogenesehemmere (21). De medikamentene som nå er under utprøvning kan grovt sett inndeles i fem grupper, etter hvordan de virker:
Medikamenter som hemmer endotelcellens evne til å bryte ned ekstracellulær matriks (dalteparin m.fl.)
Medikamenter som inhiberer endotelcellen direkte (thalidomid m.fl.)
Medikamenter som inaktiverer endoteliale vekstfaktorer (anti-VEGF m.fl.)
Medikamenter som blokkerer funksjonen til integrinmolekyler på endoteloverflaten (EMD 121974 m.fl.)
Andre virkningsmekanismer (celecoxib m.fl.).
Det er for øyeblikket flere titall ulike angiogenesehemmende medikamenter under klinisk utprøvning (3). Resultatene fra fase 3-studier som er avsluttet hittil, er langt på vei negative (22). Verken VEGF-blokkerende stoffer eller matriksmetalloproteinasehemmere har vist betydningsfull effekt som monoterapi i avsluttede studier ved metastaserende brystkreft, lungekreft, tykktarmskreft, malignt melanom eller Kaposis sarkom (6, 22) – (24). VEGF-hemmeren bevacizumab forsinket tumorprogredieringen ved metastatisk nyrekreft med 2 – 3 måneder i én fase 2-studie (25).
Kliniske studier antyder at kombinasjonsbehandling med kjemoterapi vil kunne øke behandlingseffekten av angiogenesehemmerne. Især synes kombinasjonen av VEGF-hemmeren bevacizumab og 5-fluorouracil/leucovorin/irinotecan lovende ved metastaserende tykktarmskreft, hvor median overlevelse økte fra 15 til 20 måneder ved tillegg av bevacizumab (26). Denne medikamentkombinasjonen ble nylig godkjent i USA som førstelinjebehandling ved metastatisk kolorektalcancer.
Antiangiogene effekter kan også være en «bivirkning» av andre former for kreftbehandling (20). Hypertermi og cytostatika som vinblastin og cyklofosfamid har angiogenesehemmende og karødeleggende effekter i eksperimentelle svulstmodeller (2, 27). Vi har funnet at kombinasjonen av lokal hypertermi og små doser av cellegiften combretastatin A-4 kan brukes for å oppnå uttalt karskade og tumorrespons i dyresvulster, selv om hver av behandlingsformene som monoterapi gav liten effekt (28). Det er vist at kontinuerlig tilførsel av cellegift i lave doser kan bremse karnydanning og vekst i dyresvulster, til tross for ervervet resistens i tumorcellene mot samme cellegift gitt i høye doser (1). Dette tyder for det første på at endotelcellene ikke har samme evne til å utvikle kjemoresistens som tumorcellene, og for det andre at langt mindre doser cytostatika er nødvendig for å påvirke endotelcellepopulasjonen i tumor.
Videre kan behandlingseffekten som oppnås ved kastrasjon skyldes hemming av angiogenese og ødeleggelse av blodkarene i hormonavhengige svulster (20). Det antydes også at cyklooksygenase-2-hemmere, bisfosfonater og hemmere av epidermal vekstfaktorreseptor, som anti-erbB2/neu (Herceptin) og gefitinib (Iressa), har angiogenesehemmende effekter i kreftsvulster (17, 29, 30).
Design av kliniske studier
Vanlige endepunkter som partiell respons og komplett respons vil sannsynligvis ikke kunne brukes som effektmål for angiogenesehemmende medikamenter, da behandlingen teoretisk skal stanse tumorvekst uten volumreduksjon (3). Man må derfor bruke endepunkter som stabil sykdom i tillegg til surrogatmarkører som urin- og plasmamålinger av endoteliale vekstfaktorer i fase 2-studiene (3, 31). Senere kan større fase 3-studier frembringe mer robuste endepunkter som progredieringsfri overlevelse og totaloverlevelse.
Tradisjonelt prøves nye medikamenter først ut på kreftpasienter som har store tumormasser. Store svulster har allerede etablert et omfattende karnettverk, mens angiogenesehemmere motvirker utvikling av nye blodkar (4). Små svulster og mikrometastaser er i ferd med å rekruttere sin blodforsyning og vil trolig være mer følsomme for slik terapi. Adjuvant behandling synes derfor mer logisk for denne nye medikamentgruppen.
Ved dosering av angiogenesehemmere skiller de seg igjen fra tradisjonell kreftbehandling, idet maksimal tolerabel dose ikke nødvendigvis gir det beste resultatet (31). Det er viktig å finne den optimale dosen av angiogenesehemmeren, der den biologiske aktiviteten av endoteliale vekstfaktorer i svulsten er blokkert (32). Denne dosen kan variere fra pasient til pasient og er vanskelig å estimere med dagens teknikker (1).
Bivirkninger og interaksjoner
Et annet viktig aspekt ved angiogenesehemmende behandling er at den sannsynligvis må bli livslang, ettersom kreftsykdommen stanses uten å fjernes helt. Bivirkninger av behandlingen må derfor ikke være for uttalte. Det har vært knyttet bekymring til hvordan antiangiogene stoffer vil påvirke sårtilheling etter skader og operasjoner, men så langt er det ikke holdepunkter for å tro at vevsreparasjonen påvirkes av slik behandling (4, 6).
De vanligste rapporterte bivirkningene har vært ulike smertetilstander – muskel- og skjelettsmerter ved bruk av metalloproteinasehemmere, og hodepine, magesmerter og tromboflebitter ved bruk av VEGF-hemmeren SU5416 (4, 6). Det er også rapportert tilfeller av blødning fra svulstvevet etter behandling med anti-VEGF-preparater (31), og tilfeller av hyperkoagulabilitet og hjerneslag ved bruk av kjemoterapi sammen med SU5416 (6). Angiogenesehemmere kan også ha potensielt skadelige virkninger på karnydanning i fosterlivet, og de teratogene effektene av thalidomid kan muligens tilskrives en slik interaksjon (33).
Man har vært bekymret for hvordan angiogenesehemmerne ville influere på annen onkologisk terapi. Teoretisk kan slike substanser gi økt hypoksi og redusert blodforsyning til svulstene, ettersom behandlingen hemmer karnydanning. Overraskende nok har man sett at antiangiogen behandling tvert imot bedrer effekten av både strålebehandling og kjemoterapi eksperimentelt (17, 34), og man mener at dette skyldes en normalisering av karsengen i tumor etter eksposisjon for angiogenesehemmere (17).
Angiogenesehemmere og hematologiske kreftformer
Aktiv angiogenese er også påvist i beinmargen hos pasienter med leukemi og myelomatose (17, 35). Eksperimentelle data og pasientdata antyder at angiogenesehemmere kan ha en plass innen hematologisk onkologi (17, 33, 36). Dette er tidligere utførlig omtalt i Tidsskriftet (35).
Resistensutvikling
Den genetiske instabiliteten og mangfoldet av mutasjoner i maligne celler er viktige årsaker til utvikling av kjemoresistens (8). I motsetning til de neoplastiske cellene i en malign tumor har man antatt at endotelcellene har en normal og stabil genotype (1). Angiogenesehemmere stopper likevel ikke veksten av alle kreftsvulster, selv om de har aktiv karnydanning i seg (22, 37).
Man antar f.eks. at blokkering av én endotelial vekstfaktor kan føre til oppregulering av en annen slik at behandlingen svikter. Kombinasjoner av angiogenesehemmere med ulike angrepspunkter på tumorendotel prøves derfor ut (4, 32). Videre er det påvist økt vekst av tumorceller rundt preformerte blodkar dersom karnydanning blokkeres av antistoff mot VEGF i glioblastomsvulster (32), dvs. tumorcellene snylter næring fra blodkar i normalvevet rundt. Angiogenesehemmende behandling kan også svikte fordi cellepopulasjoner som tåler hypoksi selekteres frem, og disse cellene kan i større grad vokse uten blodkar rundt seg (32).
Konklusjon
Angiogenese og lymfangiogenese er viktige biologiske trekk ved maligne svulster. Den prognostiske verdien av karnydanning i svulster er vist klinisk ved mange ulike kreftformer. Angiogeneseforskningen har også åpnet opp for nye og lovende terapimuligheter innen onkologien.
Oppgitte interessekonflikter:
Hans Petter Eikesdal har mottatt reisetilskudd fra AstraZeneca, Roche, MSD, Amgen, Pfizer og Eli Lilly. Olav Dahl har mottatt reisestøtte, honorar eller forskningsmidler fra AstraZeneca, Roche, Sanofi Syntelabo og Aventis.
Oppgitte interessekonflikter: Se til slutt i artikkelen
Hovedbudskap
Angiogenese og lymfangiogenese er viktige biologiske trekk ved maligne svulster
Kartettheten i svulster har prognostisk verdi ved mange kreftformer
Det pågår for tiden en rekke fase 3-studier med angiogenesehemmende medikamenter
- 1.
Folkman J, Browder T, Palmblad J. Angiogenesis research: guidelines for translation to clinical application. Thromb Haemost 2001; 86: 23 – 33.
- 2.
Kerbel RS. Tumor angiogenesis: past, present and the near future. Carcinogenesis 2000; 21: 505 – 15.
- 3.
Davis DW, McConkey DJ, Abbruzzese JL et al. Surrogate markers in antiangiogenesis clinical trials. Br J Cancer 2003; 89: 8 – 14.
- 4.
Sledge GW jr., Miller KD. Angiogenesis and antiangiogenic therapy. Curr Probl Cancer 2002; 26: 1 – 60.
- 5.
Carmeliet P, Jain RK. Angiogenesis in cancer and other diseases. Nature 2000; 407: 249 – 57.
- 6.
Manley PW, Martiny-Baron G, Schlaeppi JM et al. Therapies directed at vascular endothelial growth factor. Expert Opin Investig Drugs 2002; 11: 1715 – 36.
- 7.
Carmeliet P. Mechanisms of angiogenesis and arteriogenesis. Nat Med 2000; 6: 389 – 95.
- 8.
Hanahan D, Weinberg RA. The hallmarks of cancer. Cell 2000; 100: 57 – 70.
- 9.
Straume O, Akslen LA. Importance of vascular phenotype by basic fibroblast growth factor, and influence of the angiogenic factors basic fibroblast growth factor/fibroblast growth factor receptor-1 and ephrin-A1/EphA2 on melanoma progression. Am J Pathol 2002; 160: 1009 – 19.
- 10.
Wahl ML, Moser TL, Pizzo SV. Angiostatin and anti-angiogenic therapy in human disease. Recent Prog Horm Res 2004; 59: 73 – 104.
- 11.
Sudhakar A, Sugimoto H, Yang C et al. Human tumstatin and human endostatin exhibit distinct antiangiogenic activities mediated by alpha v beta 3 and alpha 5 beta 1 integrins. Proc Natl Acad Sci USA 2003; 100: 4766 – 71.
- 12.
Abdollahi A, Lipson KE, Sckell A et al. Combined therapy with direct and indirect angiogenesis inhibition results in enhanced antiangiogenic and antitumor effects. Cancer Res 2003; 63: 8890 – 8.
- 13.
Vaupel PW. The influence of tumor blood flow and microenvironmental factors on the efficacy of radiation, drugs and localized hyperthermia. Klin Padiatr 1997; 209: 243 – 9.
- 14.
Straume O, Chappuis PO, Salvesen HB et al. Prognostic importance of glomeruloid microvascular proliferation indicates an aggressive angiogenic phenotype in human cancers. Cancer Res 2002; 62: 6808 – 11.
- 15.
Kusters B, Leenders WP, Wesseling P et al. Vascular endothelial growth factor-A(165) induces progression of melanoma brain metastases without induction of sprouting angiogenesis. Cancer Res 2002; 62: 341 – 5.
- 16.
Offersen BV, Pfeiffer P, Hamilton-Dutoit S et al. Patterns of angiogenesis in nonsmall-cell lung carcinoma. Cancer 2001; 91: 1500 – 9.
- 17.
Kerbel R, Folkman J. Clinical translation of angiogenesis inhibitors. Nat Rev Cancer 2002; 2: 727 – 39.
- 18.
Straume O, Jackson DG, Akslen LA. Independent prognostic impact of lymphatic vessel density and presence of low-grade lymphangiogenesis in cutaneous melanoma. Clin Cancer Res 2003; 9: 250 – 6.
- 19.
Birner P, Schindl M, Obermair A et al. Lymphatic microvessel density as a novel prognostic factor in early-stage invasive cervical cancer. Int J Cancer 2001; 95: 29 – 33.
- 20.
Kerbel RS, Viloria-Petit A, Klement G et al. «Accidental» anti-angiogenic drugs. Anti-oncogene directed signal transduction inhibitors and conventional chemotherapeutic agents as examples. Eur J Cancer 2000; 36: 1248 – 57.
- 21.
National Cancer Institute. Angiogenesis inhibitors in clinical trials. http://www.cancer.gov/clinicaltrials/developments/anti-angio-table (15.4.2004).
- 22.
Garber K. Angiogenesis inhibitors suffer new setback. Nat Biotechnol 2002; 20: 1067 – 8.
- 23.
Kuenen BC, Tabernero J, Baselga J et al. Efficacy and toxicity of the angiogenesis inhibitor SU5416 as a single agent in patients with advanced renal cell carcinoma, melanoma, and soft tissue sarcoma. Clin Cancer Res 2003; 9: 1648 – 55.
- 24.
Wolf K, Mazo I, Leung H et al. Compensation mechanism in tumor cell migration: mesenchymal-amoeboid transition after blocking of pericellular proteolysis. J Cell Biol 2003; 160: 267 – 77.
- 25.
Yang JC, Haworth L, Sherry RM et al. A randomized trial of bevacizumab, an antivascular endothelial growth factor antibody, for metastatic renal cancer. N Engl J Med 2003; 349: 427 – 34.
- 26.
McCarthy M. Antiangiogenesis drug promising for metastatic colorectal cancer. Lancet 2003; 361: 1959.
- 27.
Eikesdal HP, Bjerkvig R, Dahl O. Vinblastine and hyperthermia target the neovasculature in BT4An rat gliomas: therapeutic implications of the vascular phenotype. Int J Radiat Oncol Biol Phys 2001; 51: 535 – 44.
- 28.
Eikesdal HP, Bjerkvig R, Mella O et al. Combretastatin A-4 and hyperthermia; a potent combination for the treatment of solid tumors. Radiother Oncol 2001; 60: 147 – 54.
- 29.
Vincenzi B, Santini D, Rocci L et al. Bisphosphonates: new antiangiogenic molecules in cancer treatment? Ann Oncol 2003; 14: 806 – 7.
- 30.
Thun MJ, Henley SJ, Patrono C. Nonsteroidal anti-inflammatory drugs as anticancer agents: mechanistic, pharmacologic, and clinical issues. J Natl Cancer Inst 2002; 94: 252 – 66.
- 31.
Glade-Bender J, Kandel JJ, Yamashiro DJ. VEGF blocking therapy in the treatment of cancer. Expert Opin Biol Ther 2003; 3: 263 – 76.
- 32.
Miller KD, Sweeney CJ, Sledge GW jr. The Snark is a Boojum: the continuing problem of drug resistance in the antiangiogenic era. Ann Oncol 2003; 14: 20 – 8.
- 33.
Kumar S, Witzig TE, Rajkumar SV. Thalidomide as an anti-cancer agent. J Cell Mol Med 2002; 6: 160 – 74.
- 34.
Rofstad EK, Henriksen K, Galappathi K et al. Antiangiogenic treatment with thrombospondin-1 enhances primary tumor radiation response and prevents growth of dormant pulmonary micrometastases after curative radiation therapy in human melanoma xenografts. Cancer Res 2003; 63: 4055 – 61.
- 35.
Iversen PO. Angiogenese og maligne blodsykdommer Tidsskr Nor Lægeforen 2003; 123: 3198 – 200.
- 36.
Iversen PO, Drevon CA, Reseland JE. Prevention of leptin binding to its receptor suppresses rat leukemic cell growth by inhibiting angiogenesis. Blood 2002; 100: 4123 – 8.
- 37.
Eikesdal HP, Bjorkhaug ST, Dahl O. Hyperthermia exhibits antivascular activity in the s.c. BT4An rat glioma: lack of interaction with the angiogenesis inhibitor batimastat. Int J Hyperthermia 2002; 18: 141 – 52.