Hovedbudskap
Typisk for diagnosen spontan intrakranial hypotensjon er:
Hodepine og andre nevrologiske symptomer med posturalt preg
Lavt åpningstrykk ved spinalpunksjon
Diffus meningeal gadoliniumkontrastoppladning ved cerebral MR
Behandlingseffekt av sengeleie og epidural blodlapp
Ved spontan intrakranial hypotensjon er det av og til:
Mulig å identifisere lekkasjepunktet med isotopcisternografi, MR og/eller CT -myelografi
Fare for residiv eller kompliserende subdurale hematomer
Underliggende bindevevssykdom hos pasienten
Det klassiske klinisk-røntgenologiske bildet ved spontan intrakranial hypotensjon er hodepine som lindres ved flatt leie, åpningstrykk under 6 cm H₂O ved spinalpunksjon og diffus meningeal gadoliniumkontrastoppladning ved cerebral MR. I en rekke artikler er det imidlertid vist at tilstanden har et bredt klinisk og bildemessig spektrum (1) – (6). Vi presenterer sykehistorien til seks pasienter innlagt ved vår avdeling siden 2000, og går gjennom ny litteratur om klinisk spekter, diagnostiske muligheter og behandling av spontan intrakranial hypotensjon.
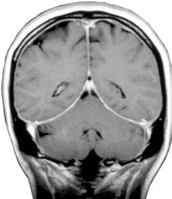
Pasient 1. Tidligere frisk 41 år gammel kvinne som fikk akutte smerter i nakke, hode og interskapulært mens hun syklet. Etter hvert fikk hun blikkfokuseringsvansker og diplopi. Ved innleggelse, 14 dager etter symptomdebut, hadde hun høyresidig abducensparese. Nevrologisk status var ellers normal. På direkte spørsmål angav hun smertefrihet om natten. MR med angiografi av intracerebrale kar viste ikke patologiske forhold, men det ble bemerket økt signal svarende til dura på de protonvektede bildene. Ved spinalpunksjon var det nødvendig å aspirere for å få ut væske. Diagnosen spontan intrakranial hypotensjon ble stilt på bakgrunn av klinisk bilde og null i spinalvæsketrykk. Cerebral MR med gadoliniumkontrast bekreftet diagnosen (fig 1). Det var også typiske funn ved MR av medulla, men det var ikke mulig å finne noe sikkert lekkasjepunkt (fig 2).
Etter 15 dager med strengt sengeleie og epidural blodlapp lagt i torakalt nivå var hun bedre og kunne utskrives, men ved poliklinisk kontroll etter to måneder angav hun fortsatt postural hodepine. Åpningstrykket ved spinalpunksjon var da 2 cm H₂O og lekkasjepunktene kunne identifiseres ved hjelp av CT-myelografi (fig 3). Behandling med tre blodlapper i cervikalt nivå og samtidig strengt sengeleie i ti dager gav symptomfrihet.
Pasient 2. 53 år gammel kvinne som ble innlagt etter to ukers sykehistorie med pulserende smerter på venstre side av halsen, pulssynkron øresus og ortostatisk hodepine lokalisert til venstre tinning. Ved spinalpunksjon var det patologisk lavt trykk, 4 cm H₂O. Hun ble behandlet med sengeleie og lumbal blodlapp uten effekt. Ved repunksjon etter en uke var det nødvendig å aspirere for å få ut spinalvæske, og det var lett pleocytose. Cerebral MR viste patologisk kontrastopptak svarende til meningene. Isotopcisternografi viste funn forenlig med duralekkasje, men lekkasjested kunne ikke lokaliseres. Pga. pulssynkrone smerter i nakken ble hun utredet med tanke på carotisdisseksjon. Dopplerundersøkelse av precerebrale kar og MR-angiografi gav ingen avklaring, og hun ble henvist til konvensjonell angiografi ved Rikshospitalet. Undersøkelsen viste forandringer i begge carotisarteriene, forenlig med fibromuskulær dysplasi og gjennomgått disseksjon. Langvarig sengeleie gav til slutt noe symptomlindring.
Vår konklusjon var at hun gjennomgikk både spontan intrakranial hypotensjon og carotisdisseksjon (pasienten var kun enig i den siste diagnosen).
Pasient 3 – 6 presenteres i tabell 1.
Tabell 1
Karakteristika ved pasient 3 – 6
| Pasient |
Kjønn/alder (år) |
Traume |
Symptomer |
Funn ved spinalpunksjon |
MR-funn |
Behandling/forløp |
| 3 |
Kvinne/48 |
Kjørte på et tre sju uker før innleggelse |
Postural hodepine og svimmelhet i sju uker |
Ved innleggelse: Trykk: 5 cm H₂O Leukocytter: Norm Spinalprotein: Norm Ved reinnleggelse tre uker etter utskrivning: Trykk: 7 cm H₂O |
Økt kontrastopptak i meningene |
Moderat effekt av 18 dagers sengeleie. Reinnlagt etter tre uker pga. vedvarende plager. Ble da behandlet med lumbal blodlapp og oppnådde noe bedring og normalisering av trykk. Pga. atypiske nevrologiske plager er hun nylig operert for cervikal instabilitet i Tyskland |
| 4 |
Kvinne/52 |
Brekninger ved gastroskopi et døgn før innleggelse |
Postural hodepine, dobbeltsyn, tåkesyn, lysskyhet, øresus, svimmelhet |
Ved innleggelse: Trykk: 0 cm H₂O Etter ni dager: Trykk: 5 cm H₂O Leukocytter: 5/mm³ Spinalprotein: 585 mg/l |
Ikke tatt MR |
Sengeleie i ni dager og lumbal blodlapp dag 3 og dag 25, uten effekt. Bedre etter to døgn med epidural saltvannsinfusjon. Sikkert residiv tre måneder senere etter tungt løft. Ble da bra av strengt sengeleie |
| 5 |
Kvinne/34 |
Konvulsiv synkope en måned før innleggelse |
Hodepine, lyssky, smerter og stivhet i rygg/nakke |
Trykk: 2 cm H₂O Leukocytter: 102/mm³ Spinalprotein: Norm |
Ikke tatt MR |
Symptomfri etter ni dagers sengeleie |
| 6 |
Mann/53 |
Ingen kjente traumer |
Postural hodepine i en måned |
Trykk: 10 cm H₂O Leukocytter: 32/mm³ Spinalprotein: 870 mg/l |
Økt kontrastopptak i meningene og bilaterale små subdurale hygromer |
Lumbal blodlapp og sengeleie i en uke gav bedring |
Diskusjon
Den vanligste kliniske manifestasjonen ved spontan intrakranial hypotensjon er postural hodepine, eventuelt med ledsagende kvalme, oppkast, hjernenervepareser (oftest abducensparese), synsforstyrrelser, tinnitus og nakkestivhet (1) – (6). Man antar at tap av cerebrospinalvæske medfører nedfall av hjernen og sekundært strekk på smertesensitive intrakraniale og meningeale strukturer, av og til også på hjernenerver (5). Abducensnerven har en lang og komplisert ferd intrakranialt og er derfor spesielt utsatt (3). Kasuistikkene våre illustrerer ulike sykdomsbilder.
Normalt spinalvæsketrykk utelukker ikke diagnosen spontan intrakranial hypotensjon (5) – (7). Mange tror at tap av spinalvæske er den egentlige årsaken til syndromet og at hypotensjonen bare er et resultat av hypovolemien (7, 8). Cerebrospinalvæskehypovolemisyndrom er derfor foreslått som nytt navn på tilstanden. Fem av våre seks pasienter hadde spinalvæsketrykk på under 6 cm H₂O. Hos en pasient med normalt trykk ble diagnosen stilt på grunnlag av symptomer og MR-funn. Spinalvæsken kan være normal eller det kan være lett til moderat lymfocyttær pleocytose og/eller økt mengde spinalprotein (3) – (6). Vi fant høyt celletall hos fire av våre pasienter og lett økt mengde spinalprotein hos tre.
Typisk funn ved cerebral MR er diffus meningeal fortykkelse med gadoliniumkontrastopptak (5) – (9). Man tror dette skyldes dural vasodilatasjon og større konsentrasjon av kontrastmateriale i dural mikrovaskulatur og i interstitiell væske. Basis for denne antakelsen er den såkalte Monroe-Kellie-doktrinen, som sier at redusert spinalvæskevolum fører til kompensatorisk vasodilatasjon i hjerne og meninger (5, 8). Andre typiske MR-funn er tegn til nedfall av hjernen, forstørret hypofyse pga. hyperemi, subdural væskeansamling og forstørrede venesinuser (5, 8, 9). Spinal MR kan vise epidural væskeansamling med signal som spinalvæske, spinale hygromer, dilatasjon av cervikale epidurale vener og sammenfalt duralsekk (10) – (12).
Radioisotopcisternografi viser typisk manglende aktivitet over de cerebrale konveksiteter og tidlig aktivitet i urinveier, og kan av og til også avdekke lekkasjenivå (5, 6). Det hevdes at lekkasjepunktet nesten uten unntak sitter spinalt og oftest i cervikotorakalovergangen eller torakalt (5). I praksis kan det være vanskelig å identifisere et eksakt lekkasjepunkt. CT-myelografi har vist seg å ha størst sensitivitet (4, 12, 13), men det anbefales at man grovsorterer med ikke-invasive undersøkelser som spinal MR, isotopcisternografi eller MR-myelografi før man gjør multiple CT-skanninger på antatt sannsynlig nivå (12).
Cerebral MR med gadoliniumkontrast ble gjort hos fire av våre pasienter, og kunne bekrefte diagnosen hos alle disse. Hos en pasient ble det gjort isotopcisternografi. Funnene var typiske for spontan intrakranial hypotensjon, men lekkasjenivå kunne ikke angis. Hos en annen pasient viste spinal MR epidural væskeansamling i øvre cervikalcolumna, men ikke noe sikkert lekkasjepunkt. CT-myelografi påviste lekkasjepunktene hos denne pasienten.
Sengeleie og behandling med epidural blodlapp er veldokumenterte behandlingsmåter ved spontan intrakranial hypotensjon og fører ofte til målet (6). Suksessraten ved blodlappbehandling varierer fra 30 % til 80 % (6, 9). Undersøkelser med merkede erytrocytter viser at epiduralt tilført blod sprer seg over 7 – 14 spinale segmenter (14), men sannsynligvis er behandlingsresultatet best når blodlappen kan legges i nær relasjon til lekkasjepunktet. Epidural saltvannsinfusjon kan være effektivt i noen tilfeller (15, 16). Kaffein og teofyllin har også vist effekt (6), men kun kortvarig. Effekten av hydrering og steroider er kun anekdotisk og dårlig dokumentert. Når konservativ behandling ikke fører til målet, kan kirurgi være aktuelt. Man kan ligere divertikler eller pakke epiduralrommet i aktuelt nivå med muskel, fibrinlim etc. (6, 17). Det er rapportert noen få tilfeller av selvbegrensende intracerebral hypertensjon etter behandling med blodlapp eller kirurgi (6, 18). Alle våre pasienter ble behandlet med strengt sengeleie. Fem ble i tillegg behandlet med autolog epidural blodlapp, en pasient to ganger og en fire ganger. Fem av sju behandlinger med tilfeldig plassert blodlapp hadde usikker eller manglende effekt. Hos en pasient kunne blodlappene legges mer målrettet, fordi lekkasjepunktet var kjent. Denne pasienten ble symptomfri etter tre blodlapper lagt med få dagers mellomrom. En pasient fikk epidural saltvannsinfusjon med god effekt.
Spontan intrakranial hypotensjon skyldes trolig en kombinasjon av et bagatellmessig forutgående traume og underliggende svakhet i spinale meninger (6). Abnormaliteter som assosieres med spontan lekkasje av spinalvæske er meningeale divertikler, rifter i durale rotlommer og perinevrale cyster (2). Det er påvist at opptil 20 % av pasientene med spontan intrakranial hypotensjon har en underliggende (oftest udiagnostisert) bindevevssykdom, men sikkert Marfans syndrom finnes sannsynligvis kun hos et mindretall av disse (2, 19, 20). Fire av våre pasienter kunne rapportere om traume eller kraftig fysisk aktivitet i forbindelse med symptomdebut. En pasient hadde både carotisdisseksjon og spontan intrakranial hypotensjon. Begge tilstandene er assosiert med arvelige bindevevssykdommer, og det er neppe tilfeldig at de opptrådte hos samme pasient (19).
Alle våre pasienter ble betydelig bedre etter behandling. Det bekrefter sykdommens relativt benigne karakter. Protraherte sykdomsforløp forekommer imidlertid, og subduralt hematom er en fryktet, men sjelden komplikasjon (21). En pasient fikk sikkert residiv. Residivfaren ved spontan intrakranial hypotensjon er lite omtalt i litteraturen, men er neppe neglisjerbar (22).
Oppgitte interessekonflikter: Ingen
- 1.
Diaz JH. Epidemiology and outcome of postural headache management in spontaneous intracranial hypotension. Reg Anesth Pain Med 2001; 26: 582 – 7.
- 2.
Walker DG. Refractory headache due to spontaneous intracranial hypotension from a CSF leak at C1 – 2. J Clin Neurosci 2003; 10: 482 – 5.
- 3.
Warner GTA. Spontaneous intracranial hypotension causing a partial third cranial nerve palsy: a novel observation. Cephalalgia 2002; 22: 822 – 3.
- 4.
Lay CM. Low cerebrospinal fluid pressure headache. Curr Treat Options Neurol 2002; 4: 357 – 63.
- 5.
Mokri B. Spontaneous intracranial hypotension. Curr Neurol Neurosci Rep 2001; 1: 109 – 17.
- 6.
Mokri B. Headaches caused by decreased intracranial pressure: diagnosis and management. Curr Opin Neurol 2003; 16: 319 – 26.
- 7.
Mokri B. Spontaneous cerebrospinal fluid leaks: from intracranial hypotension to cerebrospinal fluid hypovolemia-evolution of consept. Mayo Clin Proc 1999; 74: 1113 – 23.
- 8.
Miyazawa K, Shiga Y, Hasegawa T, Endoh M, Okita N, Higano S et al. CSF hypovolemia vs intracranial hypotension in «spontaneous intracranial hypotension syndrome». Neurology 2003; 60: 941 – 7.
- 9.
O’Carrol CP, Brant-Zawadzki M. The syndrome of spontaneous intracranial hypotension. Cephalalgia 1999; 19: 80 – 7.
- 10.
Chen CJ, Lee TH, Hsu HL, Tseng YC, Wong YC, Wang LJ. Spinal MR findings in spontaneous intracranial hypotension. Neuroradiology 2002; 44: 996 – 1003.
- 11.
Yousry I, Förderreuther S, Moriggl B, Holtmannspötter M, Naidich TP, Straube A et al. Cervical MR imaging in postural headache: MR signs and patophysiological implications. Am J Neuroradiol 2001; 22: 1239 – 50.
- 12.
Chiapparini L, Farina L, D’Incerti L, Erbetta A, Pareyson D, Carriero MR et al. Spinal radiological findings in nine patients with spontaneous intracranial hypotension. Neuroradiology 2002; 44: 143 – 50.
- 13.
Schievink WI, Meyer FB, Atkinson JL, Mokri B. Spontaneous spinal cerebrospinal fluid leaks and intracranial hypotension. J Neurosurg 1996; 84: 598 – 605.
- 14.
Szeinfeld M, Ihmeidan IH, Moser MM, Machado R, Klose KJ, Serafini AN. Epidural blood patch: evaluation of the volume and spread of blood injected into the epidural space. Anesthesiology 1986; 64: 820 – 2.
- 15.
Binder DK, Dillon WP, Fishman RA, Schmidt MH. Intrathecal saline infusion in the treatment of obtundation associated with spontaneous intracranial hypotension: technical case report. Neurosurgery 2002; 51: 830 – 6.
- 16.
Gibson BE, Wedel DJ, Faust RJ, Petersen RC. Continuous epidural saline infusion for the treatment of low CSF pressure headache. Anesthesiology 1988; 68: 789 – 91.
- 17.
Schievink WI, Morreale VM, Atkinson JL, Meyer FB, Piepgras DG, Ebersold MJ. Surgical treatment of spontaneous spinal fluid leaks. J Neurosurg 1998; 88: 243 – 6.
- 18.
Mokri B. Intracranial hypertension after treatment of spontaneous cerebrospinal fluid leaks. Mayo Clin Proc 2002; 77: 1241 – 6.
- 19.
Mokri B, Maher CO, Sencakova D. Spontaneous CSF leaks: underlying disorder of connective tissue. Neurology 2002; 58: 814 – 6.
- 20.
Schrijver I, Schievink WI, Godfrey M, Meyer FB, Francke U. Spontaneous spinal cerebrospinal fluid leaks and minor skeletal features of Marfan syndrome: a microfibrillopathy. J Neurosurg 2002; 96: 483 – 9.
- 21.
de Noronha RJ, Sharrack B, Hadjivassiliou M, Romanowski CA. Subdural haematoma: a potentially serious consequence of spontaneous intracranial hypotension. J Neurosurg Psychiatry 2003; 74: 752 – 5.
- 22.
Sato Y, Honda Y, Maruoka H, Fujimatsu Y, Oizumi K. Recurrence of spontaneous intracranial hypotension with subdural hematomas. Cephalalgia 1997; 17: 42 – 5.