Akutte gastrointestinale blødninger skyldes oftest sår, svulster eller karanomalier i oesophagus, ventrikkel, duodenum eller colon. Som regel finner man blødningskilden ved øvre eller nedre endoskopi. Dersom man ikke finner en rimelig forklaring på blødningen etter disse undersøkelsene, bør man vurdere mindre hyppige årsaker, som aneurismer på splankniske arterier. Slike aneurismer forekommer sjelden, og rapporteres i litteraturen som kasuistikker og i mindre serier. Årsaken er aterosklerose (30 %), traume (25 %), inflammasjon (11 %), og dessuten infeksiøse embolier, mediadysplasi og arteritt. Miltarterieaneurisme er det tredje vanligste aneurismet i abdomen, etter aorta- og iliacaaneurisme (1).
Aneurisme på miltarterien er oftest asymptomatisk, men kan gi smerter av varierende grad. Ved ruptur får pasienten akutte magesmerter, gjerne lokalisert i venstre øvre kvadrant, med eventuell utstråling til venstre side av ryggen (2). Aneurismet kan rumpere med blødning i retroperitoneum eller intraperitonealt til bursa omentalis eller til fri peritonealhule. Ved erosjon av pancreas kan aneurismet rumpere inn i ductus pancreaticus og dermed forårsake gastrointestinal blødning via papilla Vateri. Denne tilstanden er i litteraturen beskrevet som hemosuccus pancreaticus (3).
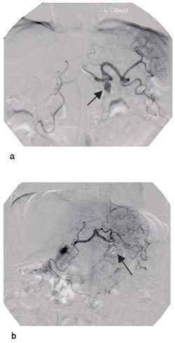
En 69 år gammel kvinne som hadde røykt i 50 år ble innlagt på grunn av transfusjonstrengende hematemese. To uker tidligere hadde hun en episode med magesmerter, og hadde siden hatt melena. De siste 15 årene hadde hun hatt residiverende magesmerter. Hun hadde tidligere vært behandlet for divertikulitt, og var appendektomert for 50 år siden. Hun hadde dessuten fått påvist refluksøsofagitt og brukte fast omeprazol 20 mg daglig. Sju måneder tidligere hadde hun vært innlagt på grunn av akutte brystsmerter, uten at det ble påvist noen årsak til symptomene. Omtrent like lenge hadde hun hatt redusert appetitt. Ved innkomst var buken bløt og uøm. Det ble først utført øvre endoskopi med påvisning av blod i duodenum, men uten at man fikk påvist blødningskilden. Pasientens hemoglobinverdi falt ytterligere, men hun var sirkulatorisk stabil. CT uten kontrast viste tre større forkalkninger i pancreasregionen samt noen mindre. Etter intravenøs kontrast så man fire tilnærmet like store strukturer som på abdominal CT liknet forkalkninger (fig 1a). Da snittene ble gransket med beinvindu, var det tydelig at den fjerde «forkalkningen» ikke representerte kalk, men en vaskulær struktur som ble fylt med intravenøs kontrast med samme tetthet som abdominale arterier (fig 1b). Lokalisasjon og størrelse var forenlig med et aneurisme utgående fra miltarterien. Det ble så utført ny øvre endoskopi, denne gang med samme skop som benyttes ved endoskopisk retrograd kolangiopankreatikografi. Papilla Vateri ble observert i flere minutter, og det tømte seg friskt blod fra papillen flere ganger (fig 2). Det ble så utført selektiv angiografi av miltarterien, og et aneurisme på miltarterien med diameter 20 mm ble fremstilt (fig 3a). Aneurismet ble deretter embolisert med mikrokateterteknikk. Et kateter ble ført inn i selve aneurismesekken som deretter ble fylt med i alt 20 metallspiraler med en samlet lengde på 340 mm. Den siste spiralen raget ut av aneurismesekken og inn i miltarterien (fig 3b). Etter dette ble det ingen nye fall i hemoglobinverdien. Pasienten er i ettertid undersøkt med dupleks ultralyd, og ingen andre aneurismer er funnet. 12 måneder etter behandlingen var pasienten symptomfri.
Diskusjon
Diagnosen miltarterieaneurisme kan være vanskelig å stille. Ultralyd er en usikker undersøkelse ved denne tilstanden (4). Røntgen oversikt abdomen kan eventuelt vise forkalkninger ved pancreas. Disse kan enten være lokalisert i pancreasvevet eller representere forkalkede miltarterieaneurismer. CT uten intravenøs kontrast kan vise forkalkningen i aneurismet, mens CT med intravenøs kontrast kan vise selve aneurismet. De nyeste ultraraske CT-maskinene med spiralteknikk og multisnitt-CT representerer vesentlige forbedringer sammenliknet med tidligere CT-apparatur når det gjelder denne formen for diagnostikk. Med slik teknikk er det mulig å fremstille kar – eventuelt med tredimensjonal rekonstruksjon – både i tidlig arteriefase, sen arteriefase og venøs fase i tilslutning til en og samme intravenøse kontrastinjeksjon. CT med moderne teknikk gjør det mulig å påvise miltarterieaneurismer med en nøyaktighet som sannsynligvis er nesten like stor som ved selektiv abdominal angiografi. Angiografi er likevel regnet som gullstandard.
Ved øvre endoskopi må papilla Vateri visualiseres lenge nok til at man kan se om det tømmer seg blod.
Inflammasjon i pancreas er en kjent medvirkende årsak til miltarterieaneurisme (5). Pasienten hadde de siste 15 år hatt residiverende magesmerter. Det foreligger ikke serum-amylaseverdier eller bildediagnostikk i løpet av denne perioden som indikerer at pasienten har hatt pankreatitt. Episoden med akutte brystsmerter sju måneder før det aktuelle kan tenkes å ha vært relatert til aneurismet. Smertelokalisasjon til thorax er beskrevet (6). Imidlertid hadde pasienten kjent refluksøsofagitt, som også kan gi brystsmerter.
Risiko for ruptur er angitt til 2 – 10 % (1, 5, 7, 8). Behandlingen av et rumpert miltarterieaneurisme er enten endovaskulær med embolisering av aneurismet, eller operativ med reseksjon av aneurismet og arteriell rekonstruksjon, eventuelt bare ligatur eller reseksjon av aneurismet med eller uten samtidig splenektomi. Laparoskopisk ligatur er foretatt ved enkelte sentre (9). Endovaskulær behandling er førstevalget, men kan være teknisk vanskelig (10).
Ved påvisning av miltarterieaneurisme bør det undersøkes om pasienten har andre perifere aneurismer. 36 % av pasientene angis å ha aneurisme i aorta, a. iliaca eller a. poplitea (5).
Oppgitte interessekonflikter: Ingen
Se kommentar side 1246
- 1.
Spittel JA, Fairbairn JF, Kincaid OW, ReMine WH. Aneurysms of the splenic artery. JAMA 1961; 175: 452 – 6.
- 2.
Røkke O, Søndenaa K, Amundsen SR, Bjerke LT, Jensen D. Successful management of eleven splanchnic artery aneurysms. Eur J Surg 1997; 163: 411 – 7.
- 3.
Lie M, Ertresvag K, Skjennald A. Rupture of a splenic artery aneurysm into the pancreatic duct. Case report. Acta Chir Scand 1990; 156: 411 – 3.
- 4.
Kolmannskog F, Jakobsen JA, Schrumpf E, Bergan A. Duplex Doppler sonography and angiography in the evaluation for liver transplantation. Acta Radiol 1994; 35: 1 – 5.
- 5.
Busuttil RW, Brin BJ. The diagnosis and management of visceral artery aneurysms. Surgery 1980; 88: 619 – 24.
- 6.
Røkke O, Søndenaa K, Amundsen S, Bjerke-Larssen T, Jensen D. The diagnosis and management of splanchnic artery aneurysms. Scand J Gastroenterol 1996; 31: 737 – 43.
- 7.
Stanley JC, Fry WJ. Pathogenesis and clinical significance of splenic artery aneurysms. Surgery 1974; 76: 898 – 909.
- 8.
Stanley JC, Thompson NW, Fry WJ. Splanchnic artery aneurysms. Arch Surg 1970; 101: 689 – 97.
- 9.
Hashizume M, Ohta M, Ueno K, Okadome K, Sugimachi K. Laparoscopic ligation of splenic artery aneurysm. Surgery 1993; 113: 352 – 4.
- 10.
Salam TA, Lumsden AB, Martin LG, Smith RB. Nonoperative management of visceral aneurysms and pseudoaneurysms. Am J Surg 1992; 164: 215 – 9.