Behandling av T-prolymfocyttleukemi med monoklonalt anti-CD52-antistoff (alemtuzumab)
Introduction.
T-cell prolymphocytic leukaemia (T-PLL) is a rare post-thymic T-cell malignancy with an aggressive clinical course. It has generally been resistant to alkylating chemotherapy, but some effect has been observed with the purine analog 2-deoxycoformicin with documented partial or complete response rates in up to 45 % of patients. Treatment with monoclonal antibodies against CD 52 has been shown to be highly effective in T-PLL with response rates of up to 76 %. This may allow for further consolidating treatment with high-dose chemotherapy with autologous stem cell support or allogeneic stem cell transplantation.
Materials and methods.
Five patients treated at Rikshospitalet University Hospital are evaluated and the literature on T-PLL is reviewed.
Results and interpretation.
Four of our patients were treated with alemtuzumab. Three showed complete or partial response. One patient underwent allogeneic stem cell transplantation with an HLA-identical sibling, but died on day 21 as a result of transplantation complications. The treatment is generally well tolerated; the principal management problem is immunosuppression, as shown in one patient who developed a varicella-zoster meningoencephalomyelitis as a consequence of not receiving antiviral prophylaxis. The main infusion-related adverse effects are fever and chills.
Kronisk lymfatisk leukemi er den formen for leukemi som forekommer hyppigst i den vestlige verden. Det dreier seg vanligvis om leukemier med B-cellefenotype. Leukemier med modne T-lymfocytter forekommer derimot sjelden. Primære T-celleleukemier omfatter LGL-leukemi (large granular lymphocyte), adult T-lymfocyttleukemi (ATLL), Sézarys syndrom og T-prolymfocyttleukemi.
T-prolymfocyttleukemi ble først beskrevet i begynnelsen av 1970-årene av Galton og medarbeidere som en variant av kronisk lymfatisk leukemi, men senere arbeider gjør det naturlig å oppfatte T-prolymfocyttleukemi som en egen sykdomsentitet (1).Dette kommer klart til uttrykk i den nye WHO-klassifikasjonen av hematologiske maligniteter (2). T-prolymfocyttleukemi er en sjelden sykdom, men det er av stor betydning å kunne stille korrekt diagnose fordi både prognose og behandling er svært forskjellig fra B-celletype kronisk lymfatisk leukemi.
Materiale og metode
Pasienter
Fra 1995 til 2001 har vi behandlet fem pasienter med T-prolymfocyttleukemi ved Seksjon for blodsykdommer, Medisinsk avdeling, Rikshospitalet (tab 1).
Tabell 1
Karakteristika og respons hos fem pasienter med T-prolymfocyttleukemi behandlet ved seksjon for blodsykdommer, Rikshospitalet
| Pasient |
Alder (år)/ kjønn |
Kliniske funn |
LPK (· 10⁹/l) |
Fenotype |
Tidligere behandling |
Campath-1H total dose (mg) |
Overlevelse (md.) |
Dødsårsak |
| 1 |
34/M |
Hudlesjoner, splenomegali, miltruptur, hepatomegali |
190,3 |
CD3+; CD4+; CD8+ |
COP¹, DCF² |
283 |
11 |
Intracerebral blødning |
| 2 |
57/M |
Splenomegali, asteni |
224 |
CD3+; CD4+; CD8+ |
DCF² |
466 |
9 |
Soppsepsis, multiorgansvikt etter beinmargstransplantasjon |
| 3 |
59/M |
Hudlesjoner, splenomegali |
76,4 |
CD3+; CD4–; CD8+ |
Prednisolon, klorambucil, DCF² |
0 |
13 |
Progredierende sykdom |
| 4 |
44/M |
Asteni, hudblødninger |
450 |
CD3+; CD4+; CD8+ |
Kjemoterapi i hht. a) AML-³ og b) ALL⁴-protokoll før DCF² |
a) 883 b) 300 |
32 |
Progredierende sykdom |
| 5 |
32/M |
Ventrikkelretensjon, paralytisk ileus, B-symptomer |
35 |
CD3+; CD4+; CD8+ |
– |
1 169 |
8 |
Progredierende sykdom |
| [i] | ||||||||
[i] ¹ Cyklofosfamid, vinkristin, prednison
² Deoksykoformisin (pentostatin)
³ Akutt myelogen leukemi
⁴ Akutt lymfatisk leukemi
Kliniske manifestasjoner
Matutes og medarbeidere har beskrevet et stort pasientmateriale med 78 tilfeller (3). Sykdommen rammer først og fremst eldre pasienter (median alder ved diagnose 69 år) og menn hyppigere enn kvinner (ratio 1,33). Lymfeknutesvulst er som oftest moderat uttalt, mens splenomegali og uttalt leukocytose (> 100 · 10⁹/l) er karakteristisk. Splenomegali og slik uttalt leukocytose er ikke så vanlig ved adult T-lymfocyttleukemi, Sézarys syndrom og LGL-leukemi. Som ved andre former for T-celleneoplasier er hudaffeksjon vanlig (fig 1), men ved T-prolymfocyttleukemi forekommer ikke epidermotropisme (dvs. epidermal affeksjon uten særlig dermisinfiltrasjon). Pleural effusjon, ascites og affeksjon av sentralnervesystemet er uvanlig i tidlig fase av sykdommen, men forekommer hyppigere senere i sykdomsforløpet. Anemi og trombocytopeni er til stede i 36 – 51 % av tilfellene, og er forårsaket av beinmargssvikt sekundært til lymfocyttinfiltrasjon og/eller hypersplenisme. Våre pasienter er forholdsvis unge (tab 1), men hadde ellers kliniske karakteristika helt i tråd med Matutes’ beskrivelse.
Lymfocyttmorfologi
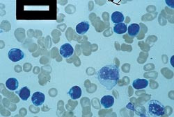
De neoplastiske cellene ved T-prolymfocyttleukemi er prolymfocytter og er karakterisert ved at kjernen har kondensert kromatin med som oftest en tydelig nukleol. Kjernemembranen har ofte innbuktninger eller folder. Cytoplasma er kraftig basofilt uten vakuoler og granula. Ofte ses cytoplasmatiske utposninger eller blærer (fig 2). Etter den nye WHO-klassifikasjonen omfatter T-prolymfocyttleukemi også en småcellet variant som finnes hos ca. 20 % av pasientene. Kjernen i cellene har da kondensert kromatin med en nukleol som er liten og bare ses i et fåtall av cellene ved lysmikroskopi eller bare kan påvises ved elektronmikroskopi. Det har pågått en diskusjon om den småcellede varianten skulle betraktes som T-prolymfocyttleukemi eller kronisk lymfatisk leukemi av T-celletype (4, 5). Klinisk og terapeutisk skiller den småcellede varianten seg ikke fra ordinær T-prolymfocyttleukemi. Hos fire av våre pasienter hadde leukemicellene typisk prolymfocyttmorfologi (fig 2), mens en pasient hadde småcellevarianten.
Immunfenotyping
Immunfenotyping ved hjelp av væskestrømscytometri er særlig velegnet i diagnostikken av T-prolymfocyttleukemi. Leukemicellene har karakteristisk en moden posttymisk (TdT–, CD1a–, CD3+, TcR+) T-cellefenotype. T-hjelpecellefenotype (CD3+CD4+CD8–) er vanligst (65 %), mens T-suppressorcellefenotype (CD3+CD4–CD8+) og dobbeltpositive celler (CD3+CD4+CD8+) ses hos et mindre antall pasienter; henholdsvis 21 % og 14 %. Ekspresjon av CD7 ses hos nesten samtlige (3).
Det er ingen holdepunkter for at immunfenotypen er knyttet til morfologi eller har betydning for behandling eller prognose. Tre av våre pasienter hadde CD4+CD8+-dobbeltpositiv leukemi, to pasienter hadde CD4–CD8+-leukemi.
Cytogenetikk
Cytogenetiske undersøkelser har påvist en rekke karyotypeabnormaliteter ved T-prolymfocyttleukemi (3). Det vanligste bruddpunktet involverer kromosom 14 med inversjon (14) (q11;q32) som det hyppigste funnet (76 %). 14q11-forstyrrelser er sett ved en rekke T-celleneoplasier, og involverer T-cellereseptorgenene alfa og gamma, som er lokalisert i dette området (3).
De samme forandringer som ses ved T-prolymfocyttleukemi på kromosom 14 forekommer også i T-cellekloner fra pasienter med ataxia teleangiectasia. Disse pasientene har en økt risiko for å utvikle leukemier, spesielt T-prolymfocyttleukemi (6).
Det er ikke observert noen sammenheng mellom cytogenetikk og behandlingsrespons. Av våre fem pasienter hadde to en normal karyotype. Hos to pasienter var det ikke mulig å etablere noen karyotype ved konvensjonell cytogenetisk undersøkelse av celler i metafase fordi cellene ikke delte seg i korttidskulturene. Hos en pasient ble det ikke utført cytogenetisk undersøkelse.
Differensialdiagnoser
T-prolymfocyttleukemi skilles fra B-prolymfocyttleukemi ved hjelp av immunfenotype og typiske kliniske manifestasjoner som hudlesjoner, som vanligvis ikke forekommer ved B-prolymfocyttleukemi. De viktigste differensialdiagnosene er først og fremst andre posttymiske T-celleleukemier og unntaksvis mer umodne lymfoblastleukemier. Ved akutt lymfatisk leukemi av T-celletype er de neoplastiske cellene lymfoblaster og terminal deoksynukleotidyl transferase (TdT) kan vanligvis påvises i cytoplasma, mens TdT ikke kan påvises ved T-prolymfocyttleukemi. Dessuten er akutt lymfatisk leukemi av T-celletype en sykdom som først og fremst ses hos barn eller unge voksne. Når det gjelder de modne, posttymiske T-celleleukemiene er de viktigste differensialdiagnosene LGL-leukemi, Sézarys syndrom og adult T-lymfocyttleukemi. Også her vil kliniske manifestasjoner, cytologisk undersøkelse og immunfenotyping i de fleste tilfeller gjøre det mulig å skille dem fra hverandre. Ved LGL-leukemi er de sirkulerende leukemicellene granulære lymfocytter, og ved adult T-lymfocyttleukemi viser de et pleomorft bilde. HTLV-I-serologi vil dessuten være til hjelp for å utelukke adult T-lymfocyttleukemi. De sirkulerende tumorcellene ved Sézarys syndrom har vanligvis cerebriforme kjerner, og leukocytosen er sjelden svært uttalt.
Behandling og prognose
T-prolymfocyttleukemi er en aggressiv sykdom, med en median overlevelse på 7,5 måneder. Sykdommen er som regel resistent overfor alkylerende kjemoterapi (1). Dette illustreres av pasient 1, pasient 3 og pasient 4, som alle primært ble behandlet med alkylerende kjemoterapi, uten effekt. En tredel av pasientene kan respondere på kurer med cyklofosfamid, doksorubicin, vinkristin og prednison (CHOP), men responsen er partiell og kortvarig. Mercieca og medarbeidere har rapportert 45 % respons (komplett og partiell) etter behandling med purinanalogen 2-deoksykoformisin (pentostatin) (7). Pentostatin gis som intravenøs korttidsinfusjon, 4 mg/m² kroppsoverflate hver 2. uke (initialt kan man gjerne benytte ukentlige infusjoner). Maksimal effekt er alltid oppnådd innen ti infusjoner (D. Catovsky, personlig meddelelse). Behandling med monoklonalt antistoff mot CD52, alemtuzumab, har vist seg å være svært effektivt ved T-prolymfocyttleukemi, med respons hos ca. 75 % (8). Fire av våre pasienter ble behandlet med pentostatin. Hos pasient 2 og pasient 4 ble det oppnådd god partiell respons og de ble deretter behandlet med alemtuzumab. Pasient 1 hadde stabil sykdom under behandling med pentostatin og ble deretter behandlet med alemtuzumab. Pasient 3 døde like etter igangsettelse av pentostatinbehandlingen, og behandlingseffekten kunne derfor ikke evalueres hos denne pasienten. Pasient 1 døde etter 11 infusjoner med alemtuzumab, uten at behandlingseffekten kunne evalueres. Pasient 2 og pasient 4 ble brakt i komplett hematologisk remisjon med alemtuzumab. Hos pasient 2 ble det utført en allogen beinmargstransplantasjon med HLA-identisk bror som donor. Han døde som følge av transplantasjonskomplikasjoner på dag 21. Vi hadde også planlagt å utføre allogen beinmargstransplantasjon med HLA-identisk familiegiver hos pasient 4 etter at han var brakt i komplett hematologisk remisjon med alemtuzumab. Dette måtte avblåses på grunn av varicella zoster-meningoencefalomyelitt som oppstod i tilslutning til behandling med alemtuzumab. Han fikk senere residiv og ble brakt i partiell remisjon etter ny behandling med alemtuzumab. Pasient 5 nådde også en god partiell remisjon etter behandling med alemtuzumab, og det var planlagt allogen beinmargstransplantasjon med ubeslektet giver. Imidlertid måtte dette avlyses på grunn av rask sykdomsprogrediering.
Alemtuzumab (MabCampath)
Alemtuzumab er et humanisert anti-CD52-IgG₁-antistoff rettet mot overflatestrukturen CD52. CD52 er et glykosylfosfatidylinositolforankret glykoprotein som finnes på > 95 % av normale og neoplastiske lymfocytter, monocytter og makrofager. Forsøk har tidligere vist at IgG₁ er spesielt effektivt når det gjelder å aktivere komplement hos mennesker og å rekruttere naturlige drepeceller. Hematopoetiske stamceller uttrykker CD52 kun i svært liten grad (9).
Uttrykk av CD52 har liten diagnostisk verdi, men desto større nytte som målstruktur for monoklonale antistoffer, spesielt ved lymfoproliferative sykdommer og i særlig grad T-celleneoplasier (10).
Alemtuzumab utløser ved binding til CD52 en komplementmediert cytolyse, og er dessuten aktiv i antistoffavhengig cellulær cytotoksisitet med reduksjon/eliminasjon av CD52-positive celler fra blod, beinmarg og andre affiserte organer.
Kliniske forsøk med medikamentet har gitt gode og til dels langvarige remisjoner (11) – (14). Medikamentet har vært brukt med effekt på lavgradig maligne non-Hodgkins lymfomer og ved residivert eller fludarabinresistent kronisk lymfatisk leukemi med gode resultater (11) – (13). Ved T-prolymfocyttleukemi har man hittil observert de beste resultatene, med responsrater opp mot 76 %, (8). Medikamentet gis som intravenøs infusjon over to timer. Pasientene bør få premedikasjon med paracetamol og antihistamin for å redusere infusjonsrelaterte bivirkninger. Etter initiale doser på 3 mg og 10 mg økes dosen til 30 mg, som gis tre ganger ukentlig.
De vanligste bivirkningene av alemtuzumab er frysninger, feber og utslett i forbindelse med infusjonen. Den hyppigste hematologiske bivirkninger er langvarig lymfopeni, som er registrert hos opptil 28 % av pasientene. Dette fører til en betydelig økt risiko for opportunistiske infeksjoner som Pneumocystis carinii-pneumoni og reaktivering av viridae i herpesfamilien som herpes zoster, herpes simplex og cytomegalovirus. Pasienter som behandles med alemtuzumab bør derfor ha profylaktisk behandling med cotrimoxazol og aciklovir eller valaciklovir. Pasient 4 fikk ingen slik profylakse, og han utviklet dessverre en varicella zoster-meningoencefalomyelitt med akutt retinal nekrose. Våre pasienter fikk behandlingen som intravenøs infusjon. Det er rapportert at subkutan administrasjon kan gi tilsvarende effekt og tolereres bedre (13).
Behandling med alemtuzumab tolereres godt og, behandlingen er effektiv ved T-prolymfocyttleukemi. Remisjon ses hos tre av fire pasienter, og de fleste remisjonene er komplette, men av begrenset varighet (8). Behandlingen er således ikke kurativ, og det er behov for konsoliderende behandling. Høydosebehandling med autolog stamcellestøtte eller allogen stamcelletransplantasjon fremstår som de mest nærliggende alternativene med mulig kurativt potensial. Residivfri overlevelse med tre års oppfølging er beskrevet etter allogen stamcelletransplantasjon (14). Fordi median alder ved diagnosetidspunktet er 69 år, vil de fleste pasientene med T-prolymfocyttleukemi verken være aktuelle for høydosebehandling med autolog stamcellestøtte eller allogen stamcelletransplantasjon. Hvordan remisjonene best skal konsolideres hos disse pasientene, er helt uavklart.
Konklusjon
Behandling av T-prolymfocyttleukemi med alemtuzumab representerer et lovende alternativ til tidligere behandling hvor deoksykoformisin har vært førstevalg. Hos tre av våre pasienter oppnådde vi tilfredsstillende remisjoner. Behandlingen ble godt tolerert. Feber og frostanfall i forbindelse med de første infusjonene var de vanligste bivirkningene. Langvarig lymfopeni var også opphav til en alvorlig viral meningoencefalomyelitt hos en pasient som ikke fikk antiviral profylakse.
Behandling med alemtuzumab er ikke kurativ ved T-prolymfocyttleukemi, og konsoliderende behandling etter at det er oppnådd komplett remisjon ved hjelp av alemtuzumab utprøves. Her fremstår høydosebehandling med autolog stamcellestøtte og allogen stamcelletransplantasjon som de mest nærliggende alternativene, men slik behandling vil dessverre bare være aktuell for et mindretall av disse pasientene.
Oppgitte interessekonflikter: Ingen
- 1.
Galton DA, Goldman JM, Wiltshaw E, Catovsky D, Henry K, Goldenberg GJ. Prolymphocytic leukemia. Br J Haematol 1974; 27: 7 – 23.
- 2.
Harris NL, Jaffe ES, Diebold J, Flandrin G, Muller-Hermelink HK, Vardiman J et al. The World Health organization classification of neoplasms of the haematopoietic and lymphoid tissues: report of the clinical advisory committee meeting – Airlie House, Virginia, November 1997. Hematology J 2000; 1: 53 – 66.
- 3.
Matutes E, Brito-Babapulle V, Swansbury J, Ellis J, Morilla R, Dearden C, Sempere A et al. Clinical and laboratory features of 78 cases of T-prolymphocytic leukemia. Blood 1991; 78: 3269 – 74.
- 4.
Matutes E, Catovski D. Similarities between T-cell chronic lymphocytic leukemia and the small cell variant of T-prolymphocytic leukemia. Blood 1992; 87: 3520 – 1.
- 5.
Foon KA, Gale RP. Is there a T-cell form of chronic lymphocytic leukemia? Leukemia 1992; 6: 867 – 8.
- 6.
Taylor AM, Oxford JM, Metcalfe JA. Spontaneous cytogenetic abnormalities in lymfocytes from thirteen patients with ataxia teleangiectasia. Int J Cancer 1981; 27: 311 – 9.
- 7.
Mercieca J, Matutes E, Dearden C, MacLennan K, Catovsky D. The role of Pentostatin in the treatment of T-cell malignancies: analysis of response rate in 145 patients according to disease subtype. J Clin Oncol 1994; 12: 2588 – 93.
- 8.
Dearden CE, Matutes E, Cazin B, Tjønnfjord G, Parreira A, Nomadedeu B et al. High remission rate in T-cell prolymphocytic leukemia with CAMPATH 1-H. Blood 2001; 98: 1721 – 6.
- 9.
Olweus J, Lund-Johansen F, Terstappen L. Expression of cell surface markers during differentiation of CD34+, CD38–/lo fetal and adult bone marrow cells. Immunomethods 1994; 5: 179 – 88.
- 10.
Ginaldi L, De Martinis M, Matutes E, Farahat N, Morilla R, Dyer M et al. Levels of expression of CD 52 in normal and leukemic B and T cells: Correlation with in vivo responses to Campath 1-H. Leuk Res 1998; 22: 185 – 91.
- 11.
Osterborg A, Fassas AS, Anagnostopoulos A, Dyer M, Catovsky D, Mellstedt H. Humanised CD52 monoclonal antibody CAMPATH-1H as first line treatment in chronic lymphocytic leukemia. Br J Haematol 1996; 93: 151 – 3.
- 12.
Lundin J, Osterborg A, Brittinger G, Crowther D, Dombret H, Engert A et al. CAMPATH-1H monoclonal antibody in therapy for previously treated non-Hodgkin lymphomas: a phase II multicenter study. European Study Group of CAMPATH-1H treatment in low-grade non-Hodgkin lymphoma. J Clin Oncol 1998; 16: 3257 – 63.
- 13.
Bowen AL, Zomas A, Emmet E, Matutes E, Dyer MJ, Catovsky D. Sucutaneous CAMPATH-1H in fludarabine-resistant/relapsed chronic lymphocytic leukemia. Br J Haematol 1997; 96: 617 – 9.
- 14.
Collins RH, Pineiro LA, Agura ED, Fay JW. Treatment of T prolymphocytic leukemia with allogeneic bone marrow transplantation. Bone Marrow Transplant 1998; 21: 627 – 8.