Bipolar hodeskade med global amnesi

    ()

    sporsmal_grey_rgb
    Abstract

    Høsten 2000 la Polarinstituttets forskningsfartøyet Lance fra kai i Tromsø og satte kursen mot Antarktis for den norske Antarktis-ekspedisjonen 2000 – 2001. Båten nådde Dronning Maud Land i januar 2001 og ankret opp ved Fimbulisen på 72º sør. Her pådrog en av mannskapet seg en alvorlig hodeskade. En måned senere pådrog han seg en ny alvorlig hodeskade i Tromsø, på nesten 70º nord. Han hadde amnesi for reisen til Antarktis og hjemreisen til Norge. Vi anser dette som det første kjente tilfellet av bipolar hodeskade med global amnesi. I denne artikkelen beskriver vi forløpet etter skaden og betrakter redningsaksjonen i et historisk perspektiv. Til slutt diskuterer vi risikomomenter knyttet til det å pådra seg to hodeskader etter hverandre.

    Artikkel

    Skadelidte var 21 år og arbeidet som mannskap på Lance (fig 1). 25.1.2001 lånte han en snøscooter for å kjøre tur sammen med to andre. Han mistet kontrollen over kjøretøyet, ble kastet av og pådrog seg hodeskade. Ekspedisjonslegen Tore Dahlberg, som var stasjonert på den norske basen Troll 30 mil unna, var tilfeldigvis på besøk på Lance. Han ble tilkalt og ankom skadestedet etter 45 minutter. Den skadede var da cyanotisk og bevisstløs med Glasgow Coma Scale (GCS)-skåre 3. Den høyre pupillen var utvidet og uten lysreaksjon. Legen etablerte frie luftveier og respirasjonen normaliserte seg. Pasienten ble transportert til Lance, der det ble iverksatt mer avansert førstehjelp med etablering av intravenøse tilganger, oksygentilførsel og overvåking av puls, blodtrykk og GCS-skåre. Tilstanden var ustabil med vekslende pupillreaksjoner og GCS-skåre som varierte mellom 6 og 8.

    Basesjef Jon Guldahl på Troll koordinerte en redningsaksjon. Personell og fly fra seks nasjoner transporterte skadelidte en distanse på 4 348 km over hele Sydpolkontinentet og 4 000 km videre til Christchurch på New Zealand (fig 2). Pasienten ble hentet ved Lance av et sørafrikansk Super Puma-helikopter og fløyet til den sørafrikanske Sanae-basen. Derfra ble han transportert videre av en tysk Twin Otter til den amerikanske Scott-Amundsen-stasjonen på Sydpolen via stopp på tyskernes Neumayer-stasjon og engelskmennenes Halley-stasjon. Fra Sydpolen ble han så transportert med et amerikansk Hercules-fly via McMurdo-basen til Christchurch.

    Tore Dahlberg fulgte pasienten til Sanae og videre til Neumayer. På Sanae ble pasienten stabilisert, og man gjorde røntgenundersøkelser av skallen, thorax og cervikalcolumna uten at det ble påvist bruddskader. Fra Neumayer ble han fulgt videre av tyske og amerikanske leger. Tilstanden var under hele transporten ustabil, han hadde varierende bevissthetsnivå, vekslende pupillreaksjoner og svingende blodtrykk.

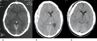
    Ved ankomst til Christchurch Hospital 36 timer etter skaden hadde tilstanden bedret seg noe. Pasienten kunne vekkes, men var urolig og desorientert, med GCS-skåre 12. Pupillene var symmetriske, og det ble ikke funnet fokalnevrologiske utfall. Bilateralt Battles’ tegn gav sterk mistanke om brudd i skallebasis. Han måtte sederes og intuberes før det var mulig å gjøre CT, som viste nedsatt tetthet over begge frontallapper forenlig med væskeansamling i subaraknoidalrommet (fig 3a). Det var ingen tegn til annen intrakranial skade eller skallebrudd.

    Han ble behandlet i intensivavdelingen i to døgn før han kunne ekstuberes og overflyttes til nevrokirurgisk avdeling. I løpet av fire uker kom han seg gradvis, slik at han ved slutten av oppholdet på Christchurch Hospital var oppegående og i hovedsak selvhjulpen, men det forelå betydelig svekking av de kognitive funksjonene, særlig korttidshukommelsen. Man antok at han hadde pådratt seg en diffus aksonal skade, men det ble ikke utført MR for å bekrefte diagnosen.

    Fakta
    • General Umberto Nobile havarerte med luftskipet Italia nordøst for Svalbard 25. mai 1928. Redningsaksjonen involverte 1 500 personer fra sju land

    • Roald Amundsen forlot Tromsø 18. juni for å lete etter Nobile. Han omkom da flybåten Latham sannsynligvis havarerte

    • En deltaker i den norske Antarktis-ekspedisjonen 2000 – 2001 pådrog seg en alvorlig hodeskade på 72º sør. Han ble resuscitert av lege på skadestedet og transportert med fly og helikopter 8 348 km til Christchurch Hospital på New Zealand i løpet av 36 timer

    Hodeskade i Arktis

    Hodeskade i Arktis

    Pasienten ble hentet av lege og sykepleier fra henholdsvis Nevrokirurgisk avdeling og Intensivavdelingen ved Universitetssykehuset Nord-Norge 27.2. 2001, vel en måned etter skaden, og ledsaget på en 27 timers reise med rutefly tilbake til Tromsø. Vi planla MR-undersøkelse og nevropsykologisk utredning.

    Pasientens mor kom på besøk, og 2. mars gikk han en kort tur ut sammen med henne. Han skled på glattisen utenfor sykehuset, falt og slo seg i hodet en gang til. Ambulanse ble tilkalt og han ble kjørt til Akuttmottaket. Ved undersøkelsen var han bevisstløs, med GCS-skåre 6. Høyre pupill var utvidet og uten lysreaksjon. CT viste et stort akutt subduralt hematom på høyre side (fig 3b og c). Pasienten ble umiddelbart operert med kraniotomi og evakuering av hematomet. Han ble raskt bedre, slik at tilstanden etter tre dager var uendret sammenliknet med før den siste hodeskaden, bortsett fra temporal hemianopsi på venstre side.

    Etter et sykehusopphold på til sammen ni dager ved universitetssykehuset ble han overflyttet til Kirkenes sykehus og videre til Munkvoll Rehabiliteringssenter i Trondheim. Nevropsykologisk undersøkelse viste ingen tegn til generell kognitiv svikt, men det forelå global amnesi: Han kunne verken huske reisen til Antarktis, sykehusoppholdet på New Zealand eller reisen rundt kloden tilbake til Norge. Ved endelig utskrivning fra Munkvoll i november 2001 hadde tilstanden bedret seg betydelig. Han er likevel sykmeldt fra sitt yrke som sjømann på grunn av svekket sidesyn og lærevansker.

    Polare redningsaksjoner i 1928 og 2001

    Polare redningsaksjoner i 1928 og 2001

    Kasuistikken viser at man under gunstige forhold kan redde alvorlig skadede fra de mest avsidesliggende steder i verden ved hjelp av avansert medisinsk førstehjelp, moderne luftfart og moderne kommunikasjon. Sydpolkontinentet er fire ganger så stort som Europa. Resusciteringen og evakueringen av den skadede lot seg gjennomføre takket være tilfeldig nærvær av lege på skadestedet, gode værforhold, velorganisert redningsledelse og velvillig innsats fra alle involverte parter.

    Situasjonen var annerledes da general Umberto Nobile og et mannskap på 15 havarerte med luftskipet Italia nordøst for Svalbard 25.5. 1928 (1). Nobile og åtte andre ble kastet ut av luftskipet og overlevde. En radio ble også reddet slik at man kunne sende ut nødsignaler. Dette utløste en stor redningsaksjon der om lag 1 500 personer fra sju forskjellige land var involvert. Aksjonen var dårlig koordinert og bar preg av konkurranse om å komme først frem istedenfor samarbeid. Nobile ble reddet av den svenske piloten Einar Lundborg 23.6. 1928 og resten av de overlevende av den russiske isbryteren Krassin 12.7. 1928, sju uker etter havariet.

    Roald Amundsen forlot Tromsø 18.6. 1928 med flybåten Latham for å søke etter Nobile (fig 4). Nylig rapporterte observasjoner fra lokalbefolkningen tyder på at Latham styrtet i sjøen vest for Sommarøya i Troms (4). Det vurderes nå å gjennomføre nye søk etter vraket.

    Dagens redningstjeneste i Nord-Norge og på Svalbard sikrer rask transport av skadede, til tross for store avstander. Vi har nylig publisert en undersøkelse som viser at pasienter med alvorlige hodeskader når frem til universitetssykehuset gjennomsnittlig åtte timer etter skaden (3). Undersøkelsen viser samtidig at det ofte er mulig å transportere pasienten fra skadestedet til universitetssykehuset på 3 – 4 timer. Forsinkelse i beslutningsprosessen kan være en viktigere faktor enn lange avstander når transporten tar lang tid (3).

    Økt risiko ved to hodeskader

    Økt risiko ved to hodeskader

    Sykehistorien illustrerer også at det foreligger en økt risiko for komplikasjoner når man pådrar seg to hodeskader etter hverandre. Det klassiske, men omdiskuterte «second impact syndromet», har vært beskrevet som død forårsaket av hjerneødem som kan oppstå når en pasient pådrar seg en ny hodeskade før symptomene etter den første skaden har gitt seg (5, 6). Hos vår pasient utløste den andre skaden et akutt subduralt hematom, ikke hjerneødem. Vi tror at den økte væskeansamlingen som ble påvist i subaraknoidalrommet etter den første skaden, satte brovenene på strekk og disponerte for blødning fra disse. Forløpet viser også at pasienter med akutt subduralt hematom, som vanligvis antas å ha dårlig prognose, kan overleve uten men hvis det utføres kraniotomi kort tid etter skaden (7).

    Ramme 1

    Tromsø – senter for polarforskning

    For 75 år siden forsvant Roald Amundsen og hans mannskap på flybåten Latham etter at de hadde tatt av fra Tromsø (1, 2). Amundsen deltok i en stor redningsaksjon fordi Umberto Nobile hadde havarert med luftskipet Italia nordøst for Svalbard. Tromsø var utgangspunkt for mange polarekspedisjoner på slutten av 1800-tallet og begynnelsen av 1900-tallet. Etter etableringen av universitetet i 1972 og flyttingen av Norsk Polarinstitutt i 1997 har byen utviklet seg til landets viktigste senter for polarforskning. Universitetssykehuset Nord-Norge koordinerer en avansert redningstjeneste som betjener områdene rundt Svalbard og i Barentshavet (2, 3).

    Pasienten har samtykket i publisering av denne artikkelen.

    Kommentarer  ( 0 )

    Anbefalte artikler