Pulmonal venookklusiv sykdom ved sklerodermi og CREST-syndrom

    ()

    sporsmal_grey_rgb
    Abstract

    Pulmonal venookklusiv sykdom med utvikling av fibrose i den postkapillære karsengen er en sjelden årsak til høye trykk i det lille kretsløp. Tilstanden er vanskelig å diagnostisere og behandlingen er kompleks.

    En 54 år gammel kvinne med sklerodermi, CREST-syndrom og økende dyspné siste par år presenteres. Behandling ble startet med diuretika, oksygen og antikoagulasjon, samt prostasyklin (epoprostenol) som kontinuerlig infusjon. Under opptitrering av epoprostenol opplevde pasienten kortvarig avtakende dyspné og bedret funksjonsevne, avløst av forverring med symptomer som før behandlingsstart. Ved forsøk på seponering av epoprostenol ble hun ytterligere dårlig og tolererte best en lav vedlikeholdsdose. Hun døde etter tre måneders behandling under klinisk bilde av progredierende høyresidig hjertesvikt.

    Kliniske tegn til pulmonal hypertensjon uten påvisning av venstresidig hjertesvikt kan gi mistanke om lidelsen, med relativt spesifikke funn ved høyoppløselighets-CT av lungene. Lungebiopsi er pga. pasientenes dårlige hemodynamikk oftest kontraindisert. Prognosen er dårlig, og lungetransplantasjon er eneste form for behandling som vesentlig bedrer pasientenes leveutsikter. Behandling med vasodilatatorer i ventetiden på transplantasjon må utføres med nøye overvåking pga. faren for pulmonalt ødem.

    Artikkel

    Pulmonal hypertensjon er en tilstand hvor middeltrykket i det lille kretsløp overstiger 25 mm Hg i hvile eller 30 mm Hg under arbeid, og kan ha flere årsaker. En sjelden form er venookklusiv sykdom, som særlig affiserer den postkapillære karsengen i lungene, med fibrotisk okklusjon av de små venene. Prognosen ved denne tilstanden er dårlig, med rask utvikling av høyresidig hjertesvikt, og få pasienter lever lenger enn ett år etter at diagnosen er stilt (1). Klinisk ytrer tilstanden seg som andre former for pulmonal hypertensjon med dyspné, tretthet og eventuelt brystsmerter. Utredning med ekkokardiografi og høyresidig hjertekateterisering vil ofte gi funn forenlig med pulmonal arteriell hypertensjon, hvor behandling med vasodilatatorer som kalsiumblokade eller prostasyklin har en sentral plass (2). Slik behandling har imidlertid vist seg å gi komplikasjoner med massivt pulmonalt ødem og død hos pasienter med venookklusiv sykdom (3). Med bakgrunn i disse diagnostiske og behandlingsmessige utfordringer beskriver vi en pasient med pulmonal venookklusiv sykdom som ble behandlet med epoprostenol.

    En 54 år gammel kvinne som i begynnelsen av 1990-årene fikk konstatert bindevevssykdom, etter hvert oppfattet som sklerodermi med CREST-syndrom (kalsinose, Raynaud-fenomener, oesophagusdysmotilitet, sklerodaktili og telangiektasier). I 1997 ble det påvist cancer cervicis uteri som ble behandlet med kirurgi og stråling. I 2002 ble hun henvist til Rikshospitalet pga. dyspné i NYHA (New York Heart Association) funksjonsklasse III – IV.

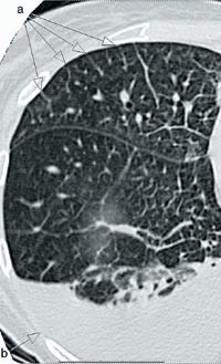
    Ved innkomst ble det registrert en parasternal systolisk bilyd og en aksentuert annen hjertetone over pulmonalstedet. Elektrokardiografisk forelå det inkomplett høyre grenblokk, høyre akse og høyre ventrikkel-hypertrofi. Ekkokardiografi bekreftet funnene av hypertrofi, sammen med dilatasjon og hypokinesi av høyre ventrikkel, mens venstre ventrikkel var velfungerende. Pulmonal angiografi viste proksimalt dilaterte kar, men ingen tegn til tromboembolisme. Ved høyresidig hjertekateterisering var trykk i høyre atrium og i innkilt posisjon i a. pulmonalis normale, mens middelarterietrykk i a. pulmonalis var 44 mm Hg, minuttvolum var 2,8 l/min, lungekarmotstand var 19,5 W og metning i blandet venøst blod var 66 % (med 2 l oksygen per nesekateter). Det tilkom ingen signifikant reduksjon i trykk ved forsøk på akutt vasodilatasjon med inhalasjon av 50 g iloprost. Funksjonsundersøkelse av lungene viste redusert diffusjonskapasitet for karbonmonoksid (30 % av forventet). Røntgen thorax viste noe prominente lungekar, diskrete infiltrater og noe høyresidig pleuravæske. Ved høyresolusjons-CT av lunger var fortykkede interlobærsepta mest iøynefallende (fig 1), med mediastinale lymfeknuter og områder med mattglassforandringer og diffuse sentrilobulære mikronoduli.

    Det ble startet behandling med kontinuerlig tilførsel av epoprostenol via et sentralt venekateter. Dosen ble titrert opp fra 2 ng/kg/min, med 2 ng/kg/min økning hver annen dag inntil 14 ng/kg/min. Etter en forbigående bedret funksjonsevne under opptrapping ble pasienten økende dyspneisk med bruk av denne dosen, og røntgen thorax viste økende stuvingsforandringer. Under dosereduksjon kom pasienten seg igjen og tålte godt en vedlikeholdsdose på 6 ng/kg/min. Under forsøk på seponering ble hun dårligere, og tilstanden forverret seg også ved oppjustering av dosen. På sitt beste var hun i stand til å gå 166 m ved seks minutters gangtest og kunne utskrives til hjemmet. Pga. klinisk mistanke om venookklusiv sykdom ble hun henvist til vurdering for lungetransplantasjon, uten at man rakk å fullføre denne. Pasienten ble reinnlagt med økende dyspné og døde kort tid etter av progredierende høyresidig hjertesvikt.

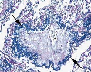
    Ved autopsi var høyre ventrikkel hypertrofisk med veggtykkelse på 7 mm og høyre atrium forstørret. Det var aterosklerotiske plakk proksimalt i begge lungearterier, med mindre trombotiske påleiringer perifert uten tegn til okklusjon. Mikroskopisk undersøkelse viste tydelig veggfortykkelse av små kar, og tynnveggede vener var vanskelig å identifisere. Ved elastinfarging fant vi betydelig intimafibrose, til dels med obliterasjon, i mange små lungevener (fig 2). Pleksiforme lesjoner som er typiske ved pulmonal arteriell hypertensjon, var ikke påvisbare.

    Diskusjon

    Diskusjon

    Venookklusiv sykdom er en sjelden form for pulmonal hypertensjon, med en insidens anslått til 6 % blant pasienter først antatt å ha den primære formen av sykdommen. Tilstanden ble beskrevet første gang i 1934 (4), og per 2000 er det omtalt bare om lag 150 tilfeller av sykdommen. Det er betydelig usikkerhet med henblikk på epidemiologi, årsaker, naturlig forløp og optimal behandling.

    Det er enighet om at de primære patologiske forandringene foreligger på den venøse siden i lungene, selv om mediahypertrofi i arterioler også forekommer. Mikroskopisk kan forandringene på venesiden lett overses ved at fortykkede vener oppfattes som små arterier. Bruk av elastinfarging vil avklare en slik usikkerhet ved å gjøre synlig at små vener mangler den indre elastiske membran. Det histologiske bildet med obliterering og okklusjon av mindre pulmonale vener oppfattes indusert av karskade. Ulike mekanismer for traume mot karveggen er foreslått, slik som infeksjon, genetisk disposisjon, eksposisjon av toksiske substanser, trombotiske forstyrrelser og autoimmun sykdom. Vår pasient var røntgenbestrålt mer enn fem år før det aktuelle som ledd i behandlingen av underlivskreft, og det er beskrevet assosiasjoner mellom bestråling og venookklusiv sykdom (5), riktignok ved lymfom og bestråling av lungefelt. En vel så sannsynlig sammenheng kan knyttes til pasientens sklerodermi og CREST-syndrom, idet venookklusiv sykdom har vært beskrevet ved ulike autoimmune sykdommer (6, 7). En mulig mekanisme er autoimmun destruksjon av pulmonale venyler, primært eller sekundært til en viral infeksjon, med påfølgende trombose og fibrose. Da biopsifunnene ikke er entydige med hensyn til inflammatoriske forandringer, er det naturlig å tenke seg flere årsaker/agenser som alle deler de histologiske særtrekk med obliterasjon og okklusjon av de små pulmonale vener.

    Forløp og kliniske funn ved pulmonal venookklusiv sykdom kan være vanskelig å skille fra andre former for pulmonal hypertensjon. Hvis det ut fra undersøkelser som høyresidig hjertekateterisering og ekkokardiografi ikke er holdepunkter for redusert venstre ventrikkel-funksjon, bør auskultasjon av lunger med påvisning av knatrelyder gi en pekepinn. Ved pulmonal arteriell hypertensjon vil det oftest ikke være fremmedlyder over lungene.

    Røntgen thorax vil kunne avsløre lettgradige interstitielle infiltrater eller pleuravæske av beskjeden grad. Typiske funn ved høyresolusjons-CT av lunger ved venookklusiv sykdom inkluderer mediastinal lymfadenopati, bilaterale sentrilobulære mikronoduli og fortykkede interlobære septa, med mattglassfortetninger og pleuraeffusjon (8). Sikker diagnose kan stilles ved åpen lungebiopsi, men frarådes oftest pga. pasientenes dårlige hemodynamiske status.

    Vår pasient illustrerer det terapeutiske dilemmaet man står overfor. Vasodilatasjonsbehandling med kalsiumblokkere eller prostasyklin (epoprostenol) har en sentral rolle ved pulmonal arteriell hypertensjon (3). Behandlingsprinsippet kan ikke uten videre overføres til pulmonal venookklusiv sykdom. Det er beskrevet tilfeller både av hemodynamisk forverring og av vellykket behandling (1, 3, 9).

    Både kalsiumblokkere og epoprostenol kan tenkes å dilatere arterioler uten at resistensen i pulmonalvenene endres, med økt transkapillært hydrostatisk trykk og pulmonalt ødem som følge. Vår pasient syntes å tolerere best en relativt lav vedlikeholdsdose av epoprostenol. Dette kan skyldes en doseavhengig vasodilatasjon på arterie og venesiden, med en større grad av selektiv arteriedilatasjon ved høyere doser.

    Forsøk på vasodilaterende behandling krever nøye overvåking, spesielt under innledende opptitrering av dosen. Lungetransplantasjon synes å være det eneste behandlingstilbud med rimelig dokumentasjon av livsforlengelse (10). Ventetiden på organer er imidlertid ofte lang. Sammen med antikoagulasjon, diuretika og ev. oksygenbehandling kan epoprostenol forsøksvis benyttes som en bro til slik behandling.

    Interessekonflikter: Ingen

    Kommentarer  ( 0 )

    Anbefalte artikler