Computertomografi ved lungekreft – teknikk og kvalitet

    ()

    sporsmal_grey_rgb
    Abstract
    Bakgrunn.

    Bakgrunn.

    Det er holdepunkter for at flere norske pasienter med lungekreft kan tilbys operasjon. Kreftregisteret har innkalt computertomografi (CT)-bilder og journaler fra pasienter som ikke ble tilbudt operasjon, og hvor begrunnelsen for inoperabilitet var uklar. Variasjoner i undersøkelsesteknikk og kvalitet av innsendte CT-bilder ble vurdert.

    Materiale og metode.

    Materiale og metode.

    CT thorax-bilder av 42 pasienter (9 kvinner) fra 32 sykehus eller institutter ble gjennomgått av tre radiologer med henblikk på undersøkelsesteknikk og kvalitet.

    Resultater.

    Resultater.

    27 undersøkelser (63 %) var av teknisk god kvalitet, mens 15 (37 %) var utilfredsstillende, oftest på grunn av bevegelsesartefakter som skyldtes lang eksponeringstid, eller på grunn av utilfredsstillende kontrastfylling av mediastinale kar. Andel godkjente undersøkelser var større dersom spiral-CT var benyttet (22 av 25 undersøkelser, 88 %) enn dersom konvensjonell, aksial skanning var benyttet (5 av 17 undersøkelser, 29 %). 40 undersøkelser var utført med intravenøs kontrastinfusjon, mens to var utført uten. Kontrastfyllingen i mediastinale kar var utilstrekkelig hos sju pasienter.

    Fortolkning.

    Fortolkning.

    En stor andel av undersøkelsene ble ansett ikke å ha god nok kvalitet for vurdering av lungekreft med henblikk på operasjon.

    Abstract

    Background.

    There are indications that more patients with lung cancer should be offered surgical treatment. The percentage of surgically treated patients varies from one region of Norway to the other. The Cancer Registry of Norway has received CT examinations from lung cancer patients who were not operated. Differences in examination technique and quality were evaluated.

    Material and methods.

    Thoracic CT examinations from 42 patients (9 women) from 32 institutions were evaluated by three radiologists with regard to technique and quality.

    Results.

    Twenty-seven examinations (63 %) were considered acceptable for evaluation of operability, while 15 (37 %) were not. The proportion of adequately performed examinations was higher with helical CT (22 out of 25 examinations, 88 %) than with conventional, axial scanning (5 out of 17 examinations, 29 %). There were substantial variations in scanning technique (area, collimation, contrast medium, algorithms, and photographic documentation). The majority (n = 40) of investigations were performed with intravenous contrast medium, two without. Contrast medium enhancement and vascular visualisation was judged as insufficient in seven examinations.

    Interpretation.

    Many examinations were of suboptimal quality, inadequate for pre-operative tumour staging. Several different examination techniques were documented.

    Artikkel

    Pasienter med lungekreft har meget dårlig prognose. Færre enn 12 % er i live fem år etter at diagnosen ble stilt (1). Praktisk talt alle pasienter som helbredes, er operert. I Norge opereres i dag trolig for få pasienter, totalt ca. 17 %. Samtidig er det holdepunkter for at flere burde tilbys operasjon med moderne thoraxkirurgi og for at seleksjon av pasienter for slik behandling varierer fra region til region (2). Korrekt stadieinndeling basert på TNM-klassifikasjon er avgjørende for valg av behandling, spesielt for vurdering av operabilitet (3). Stadieinndeling av lungekreft gjøres på grunnlag av kliniske og bildediagnostiske undersøkelser (4, 5).

    Av radiologiske undersøkelser er computertomografi (CT) av thorax den viktigste. Norsk radiologisk forening har utgitt prosedyreanbefalinger for denne og andre undersøkelser, nå også i nettbasert versjon (6).

    Ved Rikshospitalet vurderes daglig CT-bilder tilsendt fra ulike deler av landet. Vårt inntrykk er at teknikk og kvalitet av undersøkelsene kan variere betydelig. Kreftregisteret har innkalt CT-bilder og journaler fra pasienter som ikke ble operert, men hvor begrunnelsen for avslag ikke kom klart frem av journalopplysningene. Vi ønsket å benytte dette materialet til å vurdere variasjoner i undersøkelsesteknikk og kvalitet av innsendte CT-bilder.

    Materiale og metode

    Materiale og metode

    Kreftregisteret har gjennomgått data fra mellom 3 000 og 4 000 pasienter med lungekreft fra 1995 til 2000 (2). Under det fortløpende arbeidet ble CT-undersøkelser fra pasienter hvor det ifølge internasjonale retningslinjer ikke var tilstrekkelig dokumentasjon for avslått operasjon, valgt ut til videre oppfølging (4). I alt ble 45 undersøkelser innkalt, mens 42 ble mottatt. Kun CT-undersøkelsen som hadde gitt grunnlag for stadieinndeling, ble vurdert.

    CT-undersøkelser fra 42 pasienter (ni kvinner) med median alder 65 år (spredning 49 – 78 år) ble inkludert. Disse var utført ved 32 ulike institusjoner, hvorav 29 sykehus og tre private røntgeninstitutt. Samtlige undersøkelser, unntatt én utført i 1993, var fra tidsrommet 12.1.1995 til 10.1.2000. Diagnosen lungekreft var basert på morfologi, meldt fra landets patologiavdelinger og opplysninger innsendt fra kliniske avdelinger.

    Samtlige undersøkelser ble gransket på utskriftsbilder av tre radiologer. Skanneteknikk; spiral eller trinnvis bevegelse, snittykkelse, pitch, rekonstruksjonsintervall og dekningsområde ble registrert. Bruk av kontrastmiddel og kvalitet av infusjonen ble registrert visuelt ut fra oppladning i vev og mediastinale kar. Eventuelle bevegelsesartefakter ble notert. I utskriftsbilder ble bruk av lunge- og mediastinumvindu vurdert i tillegg til algoritme (kantforsterkning) i utskrift av lungevindu.

    På grunnlag av publiserte anbefalinger ble hver undersøkelse vurdert som godkjent eller ikke for stadiebestemmelse av tilstanden (tab 1). En måned etter første evaluering ble samtlige undersøkelser gjennomgått på ny uten kjennskap til første gangs vurderingsresultat. Dersom første og annen gangs vurdering av kvalitet ikke stemte overens (n = 5), ble annen gangs vurdering lagt til grunn for den videre analysen. Samsvar mellom første og annen gangs observasjoner ble uttrykt med kappaverdier.

    Tabell 1

    Anbefalinger fra Norsk radiologisk forening for spiral-CT av thorax ved lungekreft (6)

    Dekningsområde

    Fra lungeapeks til og med diafragma

    Holde pusten

    Full inspirasjon, helst under hele serien

    Snittykkelse¹

    10 mm eller mindre

    Bordbevegelse

    10 mm per rotasjon

    Pitch

    1

    Kontrastmiddel

    Ikke-ionisk kontrastmiddel, 300 mg jod/ml, 70 – 150 ml alt etter problemstilling

    Injeksjonshastighet

    2 – 3 ml per sek

    Start for eksponering

    25 sek etter injeksjonsstart, det vil si etter at 50 ml av kontrasten er injisert

    Bildedokumentasjon

    Lunge (skarp algoritme) og mediastinumvindu (myk eller middels algoritme)

    Lungevindu²

    Nivå -700 til -500 Hounsfield-enheter, vindu 1 000 til 1 500 Hounsfield- enheter

    Mediastinumvindu²

    Nivå: 30 til 40 Hounsfield-enheter, vindu 250 til 500 Hounsfield-enheter

    Bilder per film

    12

    [i]

    [i] ¹ Dersom det benyttes konvensjonell aksial skanner, anbefales bilder kant i kant f.eks. 8 eller 10 mm snitt med henholdsvis 8 eller 10 mm avstand

    ² Anbefalte lunge- og mediastinumvindu varierer fra maskin til maskin

    Resultater

    Resultater

    Skanneteknikk

    Skanneteknikk

    Spiral-CT-undersøkelse var utført i 25 (60 %) og konvensjonell, aksial skanning i 17 (40 %) tilfeller. Snittykkelse varierte fra 4 til 12,5 mm, men de fleste (n = 21) benyttet 10 mm. Ved spiralskanning varierte pitch fra 1 til 2. En protokoll med 5 mm snitt i hilusregionene, men 10 mm i øvrige deler av lungene, var benyttet i fire tilfeller. En siste variant var 5 mm snitt med 10 mm avstand, utført i en konvensjonell, aksial skanner. Denne undersøkelsen dekket bare 50 % av lungevolumet. Rekonstruksjonsintervallet var identisk med snittykkelsen i samtlige undersøkelser, unntatt i fem tilfeller der intervallet var redusert noe i forhold til snittykkelsen. I 38 undersøkelser (90 %) var det full dekning av lungene, men i fire var kun tumor dekket av serien.

    Kontrastmiddel intravenøst

    Kontrastmiddel intravenøst

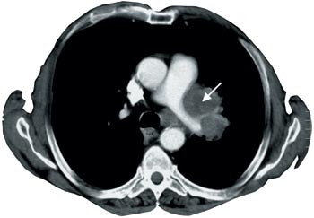
    40 undersøkelser (95 %) var utført med intravenøs kontrastinfusjon, mens to var utført uten. Alvorlig kontrastmiddelallergi ca. 20 år tidligere, var oppgitt som årsak hos en av disse. Tre undersøkelser var utført med serier både før og etter kontrastinfusjon. Kontrastfylling i mediastinale kar ble vurdert å være suboptimal hos sju (18 %), men tilfredsstillende hos de resterende 33 (82 %) (fig 1).

    Bildedokumentasjon

    Bildedokumentasjon

    Ved alle undersøkelser forelå bilder tatt med gråtonevindu for både mediastinum og lunge. Det var stor variasjon med hensyn til utskriftsverdier. For eksempel varierte medianverdi for nivå i mediastinumvindu fra 0 til 78 Hounsfield-enheter (medianverdi 30) og vindusvidde fra 218 til 660 Hounsfield- enheter (medianverdi 350).

    Antall bilder per utskriftsfilm varierte fra 12 til 20. Kantforsterkningsalgoritme i lungevindu var benyttet i 25 og manglet i 16 undersøkelser. I én undersøkelse var det usikkert om dette var benyttet eller ikke.

    Undersøkelseskvalitet

    Undersøkelseskvalitet

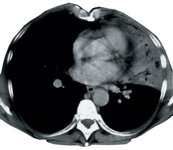
    Kun 27 (63 %) av undersøkelsene hadde godkjent kvalitet. Dårlig kontrastfylling i karene i mediastinum eller mye bevegelsesartefakter på grunn av langsomt opptak var vanlige årsaker til ikke-godkjent kvalitet (fig 2). Verken de fire undersøkelsene der bare tumor var dekket av serien, eller de to utført helt uten intravenøst kontrastmiddel, ble godkjent. Kvaliteten på undersøkelsen ble likevel vurdert tilstrekkelig god for den aktuelle problemstillingen i tre av sju tilfeller der det på tross av infusjon ikke var optimal fylling av kontrast i mediastinale kar. Andel godkjente undersøkelser var større der spiral-CT var benyttet (22 av 25 undersøkelser, 88 %), sammenliknet med konvensjonell, aksial skanning (fem av 17 undersøkelser, 29 %). Av godkjente undersøkelser var en fra privat røntgeninstitutt, 11 fra lokal- og 15 fra sentral- eller regionsykehus. Av ikke-godkjente undersøkelser (n = 15) var to fra private røntgeninstitutt, 10 fra lokal- og tre fra sentral- eller regionsykehus.

    Observatørsamsvar

    Observatørsamsvar

    Samsvar mellom to uavhengige observasjoner var 88 % med hensyn til kvalitet, kappa = 0,74 (god).

    Diskusjon

    Diskusjon

    Kirurgi er stort sett den eneste behandlingsform som kan helbrede lungekreft. Median overlevelse for ikke-opererte pasienter er knapt seks måneder (7). Stadieinndeling av lungekreft etter TNM-klassifikasjon er avgjørende for valg av behandling, spesielt for spørsmålet om operabilitet og prognose (3). I prinsippet er pasienter med sykdom i stadium 1 og 2 teknisk operable.

    CT er den viktigste bildeteknikken for å evaluere pasienter med lungekreft. Preoperativt er det ønskelig å vurdere om det er tumorinfiltrasjon i mediastinum, kar eller brystvegg og om det foreligger forstørrede lymfeknuter i mediastinum. CT gir betydelig mer informasjon enn konvensjonell røntgen, selv om vurdering av operabilitet ikke alltid samsvarer med operative funn (5). Undersøkelsen gir grunnlag for stadieinndeling og for vurdering av operabilitet. Da dette har store konsekvenser for pasienten, bør undersøkelsen utføres med høyest mulig kvalitet. I denne studien vurderte vi bare om teknisk kvalitet av CT-undersøkelser fra de 32 institusjonene var tilfredsstillende, men tok ikke stilling til om pasienten for øvrig var tilfredsstillende utredet.

    En stor del av undersøkelsene i vår studie innfridde ikke kvalitetskravene i forhold til de anbefalinger som er gitt for denne undersøkelsen (6, 8, 9). Andel godkjente undersøkelser var klart lavere når konvensjonelle, aksiale skannere var benyttet enn når undersøkelsene var utført i mer moderne spiralskannere. Spiral (helikal)-CT ble introdusert allerede i 1990, og det er en rekke fordeler med denne type undersøkelse (10) – (12). Kort skannetid gjør det mulig for pasienten å holde pusten gjennom hele opptaket. Dermed blir bevegelsesartefakter redusert til et minimum. Mange institusjoner hadde ikke anskaffet spiral-CT i den aktuelle perioden, i gjennomsnitt åtte år etter at de første spiralskannerne ble introdusert.

    God kontrastfylde er viktig for å påvise anatomiske strukturer og skjelne normalt fra patologisk vev. Kontrastmiddel kan være nødvendig for å separere vaskulære strukturer fra lymfeknuter, spesielt i hilusregionene (5). Undersøkelsestiden i en konvensjonell skanner er lang, og kontrastfyllingen i mediastinale kar kan derfor bli suboptimal. Dette skyldes som regel lang eksponeringstid for hvert snitt og forsinkelse ved bordforflytning. Denne forsinkelsen forekommer ikke ved spiralskanning, da bordforflytning og eksponering foregår samtidig.

    En parallell til gårsdagens situasjon er den pågående overgang til multidetektor- (flersnitts-) spiral-CT. CT-teknologien forbedres meget raskt. Multidetektor-CT ble introdusert i 1998. Slike maskiner kan eksponere flere ganger raskere enn konvensjonelle spiral-CT-maskiner, og undersøkelseskvaliteten kan forbedres betydelig (13). Noen sykehus i Norge har tatt i bruk den nye teknologien, men de fleste steder utredes fortsatt lungekreftpasienter med eldre type maskiner, noe som kan få betydning for behandlingen.

    Kommentarer  ( 0 )

    Anbefalte artikler