Dermatitis herpetiformis

    ()

    sporsmal_grey_rgb
    Abstract

    Dermatitis herpetiformis er kjennetegnet av sterk svie, brenning og kløe og et polymorft utslett, i typiske tilfeller vesikler eller bullae, med predileksjon for albuer, knær og nates. Granulære IgA-nedslag i dermale papiller ved immunfluorescens av hudbiopsi er diagnostisk. Tilstanden er assosiert med cøliaki og de samme HLA-typer som cøliaki. Nesten alle pasienter med dermatitis herpetiformis har betennelsesforandringer i tynntarmsslimhinnen, og glutenfri diett vil hos de fleste pasienter gi symptomfrihet.

    IgA-antistoffer mot vevstransglutaminase kan være av betydning ved subklinisk tarmsykdom hos pasienter med dermatitis herpetiformis på samme måte som ved cøliaki, og epidermal transglutaminase, et beslektet enzym, kan være autoantigenet ved dermatitis herpetiformis.

    Abstract

    Dermatitis herpetiformis is characterised by an intensely itchy, chronic, papulovesicular eruption, usually on elbows, knees and buttocks. The diagnosis is based on granular IgA deposits in the dermal papillae in a perilesional skin biopsy analysed by immunofluorescence microscopy. Most patients have subclinical celiac disease; a gluten-free diet is effective in most cases.

    IgA antibodies against tissue transglutaminase (TG2) may be involved in the pathogenesis of celiac disease with or without dermatitis herpetiformis, and an epidermal transglutaminase (TG3) may be the autoantigen in dermatitis herpetiformis. This article provides a short review intended for the general practitioner of the pathogenesis, diagnosis and treatment of dermatitis herpetiformis.

    Artikkel

    Symptomer og sykelige forandringer i huden kan være uttrykk for patologiske prosesser i andre organer, og enkelte hudsykdommer er assosiert med indremedisinske sykdommer. Dermatitis herpetiformis ble beskrevet første gang i 1884 av den amerikanske dermatologen Louis Duhring (1845 – 1913). Han gav den et navn knyttet til dens morfologiske uttrykk: dermal inflammasjon og vesikuløse lesjoner (herpesliknende) (1). Antakelig hadde noen av hans pasienter andre tilstander enn det vi i dag ville diagnostisere som dermatitis herpetiformis, for eksempel bulløs pemfigoid og lineær IgA-dermatose. Gjennombrudd i forståelsen av sykdommen var oppdagelsen av sulfapyridins og dapsons frapperende effekt og påvisningen av nøytrofile mikroabscesser (ved histologi) og granulære IgA-nedslag (ved immunfluorescens) i dermale papiller. Først i 1960-årene ble man oppmerksom på sykdommens sammenheng med glutenenteropati (cøliaki) (2).

    Basert på nyere oversiktsartikler og originalartikler gis en kort oversikt over patogenese, diagnostikk og behandling av dermatitis herpetiformis.

    Epidemiologi og prognose

    Epidemiologi og prognose

    Forekomsten av dermatitis herpetiformis i Norge er ukjent, mens studier i Sverige og Finland har vist en prevalens på henholdsvis 39 og 66 per 100 000 innbyggere (3, 4). Studier i andre nord-europeiske land har vist lavere prevalenstall (1). Variasjon i geografisk distribusjon kan skyldes ulike diagnostiske kriterier eller genetiske og miljømessige forhold. Egne erfaringer og erfaringer blant norske gastroenterologer (K. Lundin, personlig meddelelse) kan tyde på at sykdommen har synkende insidens i Norge, men dette er ikke bekreftet i epidemiologiske studier.

    Dermatitis herpetiformis er noe vanligere blant menn enn blant kvinner (motsatt cøliaki) (3, 4). Debutalder varierer sterkt, men sykdommen bryter oftest ut i 30-årsalderen. Sykdommen er kronisk og livslang, men behandlingen, som først og fremst består i glutenfri diett, vil i de fleste tilfeller føre til at pasienten ikke har vedvarende plager.

    Det er påvist økt risiko for non-Hodgkins lymfom hos menn med dermatitis herpetiformis (5, 6), men den absolutte risikoen for å utvikle malign sykdom er meget liten. Det er ikke påvist økt mortalitet i pasientgrupper med dermatitis herpetiformis (6).

    Klinisk presentasjon og diagnose

    Klinisk presentasjon og diagnose

    Sykdommen starter gradvis eller relativt raskt med en sterkt kløende, sviende og stikkende fornemmelse i huden, særlig over albuer, knær og nates, og et polymorft utslett med små, grupperte papler eller vesikler, eventuelt bullae (som lett eroderer), kruster, papler og varierende grad av erytem (fig 1) (7). Kloring fører til ekskoriasjonsmerker og eventuelt eksematisering.

    Det kliniske uttrykk kan variere sterkt fra pasient til pasient. Morfologisk kan tilstanden likne bulløse sykdommer, bl.a. bulløs pemfigoid og lineær IgA-dermatose, og eksem. Bildet kan også være uspesifikt med diskrete objektive forandringer og helt uten vesikler eller bullae makroskopisk. I sin beskrivelse av kløen vil pasienten gjerne benytte ord som «stikkende» og «brennende», uten helt å finne det rette ordet. Det er viktig å få frem om pasienten har observert «en liten, vannfylt blemme» i huden før utslettet klores opp.

    Diagnosen er fastslått ved påvisning av granulære IgA-nedslag i dermale papiller ved immunfluorescensundersøkelse av hudbiopsi (fig 2). Biopsien, gjerne en stansebiopsi, bør tas fra klinisk ikke-affisert hud like ved aktive lesjoner, fordi biopsier herfra vil vise nedslag oftere enn biopsi fra aktive lesjoner. Normal hud fra friske personer og pasienter med cøliaki inneholder ikke IgA-nedslag. Ved granulære IgA-nedslag langs store deler av den dermoepidermale grense kan tilstanden være vanskelig å skille fra lineær IgA-dermatose.

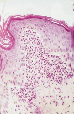
    De typiske histopatologiske funn ses best ved ferske, prevesikuløse lesjoner: akkumulering av nøytrofile granulocytter og enkelte eosinofile, som danner papillære mikroabscesser i dermis (fig 3). Slike funn ses også ved lineær IgA-dermatose. Eventuelle bullae er lokalisert subepidermalt og kan likne dem ved bulløs pemfigoid.

    Bare noen få pasienter med dermatitis herpetiformis har symptomer på cøliaki, men de aller fleste vil ved nærmere undersøkelse (gastroskopi og tynntarmsbiopsi) ha betennelsesforandringer i tynntarmsslimhinnen som ved cøliaki (i motsetning til pasienter med lineær IgA-dermatose og bulløs pemfigoid).

    Subklinisk tarmsykdom

    Subklinisk tarmsykdom

    Forekomsten av tynntarmsforandringer ved dermatitis herpetiformis ble først rapportert i 1966 (2). Noen få år senere ble det fastslått at dette skyldtes glutenintoleranse, og at tilstanden var identisk med tarmsykdommen cøliaki (4). Selv om få pasienter med dermatitis herpetiformis har symptomer på tarmsykdom eller tegn på malabsorpsjon, vil de aller fleste barn og voksne med tilstanden ha forandringer i tynntarmen ved gastroskopi. Forandringene kan variere fra totteatrofi (hos om lag 75 %) til mindre uttalte morfologiske forandringer og økt antall intraepiteliale lymfocytter (hos om lag 25 %) (4). Dermatitis herpetiformis er assosiert med de samme HLA-typer som cøliaki, særlig HLA-DR3-DQ2, som kodes av gener i et genkompleks på kromosom 6, bl.a. allelene DQA1*0501 og DQB1*02 (8).

    Patogenesen ved cøliaki uten dermatitis herpetiformis ser ut til å være identisk med patogenesen ved subkliniske tarmforandringer ved dermatitis herpetiformis og er beskrevet i to oversiktsartikler i dette nummer av Tidsskriftet (9, 10). Enzymet vevstransglutaminase kan være involvert ved selektivt å modifisere gliadinpeptider, slik at disse bindes til HLA-DQ2-molekyler, hvorpå dette antigenet gjenkjennes av CD4-positive lymfocytter (11), men dette er omdiskutert. En annen transglutaminase er mistenkt å ha en sentral patogenetisk rolle for hudsymptomer og utslett ved dermatitis herpetiformis (12).

    Patogenese

    Patogenese

    Granulære IgA-nedslag i dermale papiller er altså karakteristisk for dermatitis herpetiformis, men det er uklart hva autoantigenet i denne reaksjonen er (1, 4). Det er hittil ikke påvist sirkulerende IgA-antistoffer mot noen dermale komponenter i sera fra pasienter med dermatitis herpetiformis (i motsetning til ved lineær IgA-dermatose). Noen studier tyder på at IgA-autoantistoffet ikke stammer fra tarm, til tross for at glutenfri diett fører til symptomfrihet hos de aller fleste pasienter med dermatitis herpetiformis. Det er vist at IgA-nedslagene blir borte med glutenfri diett og kommer tilbake ved inntak av kost som inneholder gluten. Gjeldende hypotese har derfor lenge vært at sirkulerende immunkomplekser med IgA-antistoffer og glutenrelatert antigen fra tarmen blir deponert i huden som følge av en mulig kryssreaksjon med et dermalt antigen. Sirkulerende immunkomplekser er påvist hos pasienter med dermatitis herpetiformis og i økte mengder ved inntak av glutenholdig kost, men slike immunkomplekser er også til stede hos cøliakipasienter uten dermatitis herpetiformis (1, 4).

    Påvisning av IgA- og IgG-autoantistoffer mot vevstransglutaminase (såkalte endomysiumantistoffer eller TG2-antistoffer) har en meget høy sykdomsspesifisitet for cøliaki (10) – (12). Det er mulig at autoimmunitet mot vevstransglutaminase spiller en rolle for utvikling av cøliaki og glutenenteropati ved dermatitis herpetiformis. Det er foreslått at IgA-antistoffer mot vevstransglutaminase blir deponert i huden pga. kryssreaksjon med dermale transglutaminaser (1, 4). Nye studier, som foreløpig ikke er verifisert, tyder på at en epidermal transglutaminase (TGase 3), forskjellig fra vevstransglutaminase (Tgase 2), er det dominerende antigen i huden ved dermatitis herpetiformis (12).

    Blemmedanningen ved dermatitis herpetiformis starter med danning av nøytrofile mikroabscesser på toppen av de dermale papillspissene (1). Disse mikroabscessene omdannes raskt til ødem og mikrovesikler, som så konfluerer til vesikler og subepidermale bullae. Studier tyder på at nøytrofile lymfocytter migrerer til øvre del av dermis for å binde seg til IgA i de dermale papiller og der frigjør enzymer som fører til vevsskade (4). Årsaken til at dette særlig skjer på albuer, knær og nates er ukjent.

    Behandling

    Behandling

    Dermatitis herpetiformis skal behandles med glutenfri diett (1, 4). Det kan ta måneder før effekten av diett inntrer, så i mange tilfeller vil det være aktuelt å supplere behandlingen med dapson (diaminodifenylsulfon). Før immunfluorescens var tilgjengelig for rutinediagnostikk ble den umiddelbare effekten av dapson på symptomene ved dermatitis herpetiformis brukt som et diagnostikum for sykdommen (1). Utslettet vil vanligvis gå tilbake i løpet av 2 – 3 dager ved slik behandling. Dapson gis i dose 50 – 100 mg daglig, men noen få pasienter trenger høyere dose. Midlet kan ha hematologiske bivirkninger, bl.a. methemoglobulinemi, sjeldnere agranulocytose. Pasienter med glukose-6-fosfat-dehydrogenasemangel kan utvikle alvorlig hemolyse, og hos disse pasientene er dapson kontraindisert.

    Glutenfri diett gir bortfall av hudsymptomer og utslett og normalisering av forandringene i tynntarmsslimhinnen hos et flertall av pasientene, forutsatt at dietten overholdes strengt. Hvis dapson velges som initial tilleggsbehandling, bør man forsøke dosereduksjon og helst seponering etter noen måneder. Dapson kan senere benyttes i korte perioder hvis pasienten ikke klarer eller ikke ønsker å følge en glutenfri diett (1, 4). Symptomfrihet kan også forekomme uten glutenfri diett eller medikasjon (13).

    Avslutning

    Avslutning

    Dermatitis herpetiformis kan være en svært frustrerende sykdom for pasienten. Symptomene kan til å begynne med være ukarakteristiske og kan forveksles med bl.a. ulike former for eksem. Dette kan føre til forsinket diagnostikk og behandling. Som ved cøliaki finnes det eksempler på at pasienter med dermatitis herpetiformis er blitt gående svært lenge uten at tilstanden erkjennes, selv etter mange legebesøk. Leger må derfor ha sykdommen i tankene ved uklare utslett, særlig ved ledsagende svie og kløe.

    Vi takker Knut Lundin og Ludvig Sollid for verdifulle kommentarer til manuskriptet, Ole J. Mellbye for lån av figur 2 og Ole Petter F. Clausen for lån av figur 3.

    Interessekonflikter: Ingen

    Kommentarer  ( 0 )

    Anbefalte artikler