Cøliaki – nye kliniske erkjennelser og diagnostiske hjelpemidler

    ()

    sporsmal_grey_rgb
    Abstract

    Cøliaki karakteriseres av overømfintlighet overfor gluten i hvete og liknende proteiner fra rug og bygg. Ved inntak av slike proteiner skjer det en skadelig immunreaksjon i tynntarmsslimhinnen. Dette kan føre til kronisk diaré- og avmagring, men symptomene kan være vage og peker ikke nødvendigvis i retning av tarmlidelse. Når muligheten for cøliaki først er erkjent, er diagnosen som oftest enkel å stille. Den er vanligvis basert på en kombinasjon av serologiske funn og tynntarmsbiopsi. I mange land er det nå tendens at man krever mindre slimhinneforandringer enn tidligere for å stille diagnosen. I denne artikkelen gis en oversikt over nyere kliniske erkjennelser og diagnostiske hjelpemidler ved cøliaki, basert på tilgjengelig forskningslitteratur og egen forskning.

    Abstract

    Coeliac disease is a disorder characterised by intolerance to wheat gluten and related proteins from rye and barley, ingestion of which leads to a harmful immune activation in the small intestinal mucosa. The symptoms are often vague and do not suggest an intestinal disorder. The diagnosis is often easy once the question is raised; it requires a combination of serological tests and small intestinal biopsies. Coeliac disease can also exist with a normal serology. The trend in many countries is to require less pronounced mucosal abnormalities than previously for the diagnosis.

    Artikkel

    Et klinisk bilde av cøliaki ble først beskrevet av Areteus fra Kappadokia i det annet århundre før Kristus. Det var Samuel Gee som i 1887 fikk æren for å ha beskrevet sykdommen – med debut i barneår, kronisk diaré og avmagring. I dag er dette et mer ekstremt tilfelle av cøliaki, og det er et problem at man ikke vurderer cøliaki ved de mer sammensatte og subtile manifestasjoner sykdommen kan ha. Det behandlingsmessige gjennombrudd ved cøliaki kom like etter den annen verdenskrig, da nederlenderne Dicke og van de Kamer foreslo glutenfri diett som varig behandling.

    Cøliaki er en ervervet sykdom med en vevsødeleggende immunrespons i tynntarmens slimhinne, rettet mot hvete gluten og liknende proteiner fra rug og bygg. Både arv og miljø er viktige for at sykdommen skal bryte ut. Sykdommen er mediert av T-celler som gjenkjenner gluten presentert av HLA-DQ2 eller -DQ8 (1).

    Cøliaki finnes først og fremst i den kaukasoide rase. På klinisk grunnlag fant man tidligere en prevalens på mellom 1 : 1 000 og 1 : 10 000. Ved hjelp av serologisk screening og tynntarmsbiopsi finner man nå prevalenser på mellom 1 : 70 og 1 : 200 – 300 (2, 3). I Norge fant Hovdenak og medarbeidere en prevalens blant blodgivere på 1 : 250 (4). Dette er minimumstall for totalbefolkningen. Cøliaki opptrer i alle aldre. I et engelsk pasientmateriale fikk 19 % diagnosen etter fylte 60 år. Mange av dem hadde vært i kontakt med lege i lang tid uten å få stilt diagnosen (5). Noen slike pasienter kan ha hatt en symptomgivende, men udiagnostisert cøliaki som barn, en klinisk fredelig fase i tidlig voksen alder før de igjen ble dårligere. I andre tilfeller oppstår slimhinneforandringene i voksen alder (6, 7).

    Vi vet lite om hvorfor enkelte begynner å reagere på gluten. I England utsatte man introduksjon av gluten i kosten i 1970-årene og fant færre små barn med cøliaki. Nedgangen var ikke reell, men debutalderen hadde steget (8). I Sverige ble gluten gitt i store doser fra seks måneders alder i 1980-årene. Dette gav en epidemi av cøliaki blant små barn (9). Brystmelk beskytter mot cøliaki (10).

    Gastrointestinale symptomer og «klassisk cøliaki»

    Gastrointestinale symptomer og «klassisk cøliaki»

    Cøliaki i sin klassiske form er alvorlig. Denne formen er preget av svær diaré og malabsorpsjon, men ses nå sjeldnere. Både barn og voksne har nå oftest mildere symptomer (2, 3). I en italiensk studie ble 17 000 skolebarn utredet (11). Man fant 74 nye tilfeller. Tegnene hos pasientene var bare delvis som ved klassisk cøliaki. Jernmangel, magesmerter og irritabilitet ble sett hos de fleste. Kronisk diaré var det sjuende hyppigste tegn.

    Liknende funn er gjort både hos barn og voksne. I en stor engelsk studie fra allmennpraksis fant man at en av 33 pasienter med jernmangel og tretthet hadde cøliaki (12). Dette var fire ganger så mange som man tidligere hadde diagnostisert uten spesiell oppmerksomhet på cøliaki. Tiden mellom symptomdebut og diagnosetidspunkt er ofte 10 – 20 år hos voksne. Sannsynligvis skyldes dette en kombinasjon av vage, ukarakteristiske funn hos pasientene og manglende årvåkenhet hos klinikerne. Man kan ha cøliaki uten gastrointestinale symptomer, og pasienten kan være overvektig.

    Ikke-gastrointestinale symptomer og assosierte lidelser

    Ikke-gastrointestinale symptomer og assosierte lidelser

    Mange diabetikere har cøliaki (ca. 4 %), det samme gjelder personer med osteoporose eller thyreoideasykdommer (2, 3). Det er viktig å undersøke med henblikk på cøliaki hos personer med slike assosierte lidelser. Ubehandlede cøliakere har lavere fertilitet og hyppigere spontaborter enn friske. Leddplager, polynevropati og til dels uttalt ataksi forekommer. Nære slektninger har økt risiko for å få cøliaki (ca. 10 % er affisert). Det er blitt hevdet cøliaki kan ha mer enn 200 presentasjonsformer (tab 1). Noen går derfor inn for å screene hele befolkninger for cøliaki (13). Den kliniske nytten av en slik screening er ikke klar, og de fleste anbefaler heller årvåkenhet for å fange opp de affiserte i klinisk praksis (14, 15).

    Tabell 1

    Symptomer og tilstander assosiert med cøliaki

    Typiske symptomer

    Atypiske symptomer

    Assosierte tilstander

    Kronisk diaré

    Kortvoksthet

    Type 1-diabetes

    Avmagring

    Gjentatte aborter og infertilitet

    Autoimmun tyreoiditt

    Utspilt buk

    Leversykdom (forhøyede transaminaseverdier)

    Autoimmun hepatitt

    Magesmerter

    Koagulasjondefekter

    Mikroskopisk kolitt (kollagen og lymfocytær)

    Jernmangel

    Irritabel tarm-bilde

    Sjögrens syndrom

    Folsyremangel

    Dermatitis herpetiformis

    IgA-nefropati

    Osteoporose

    Ataksi

    Downs syndrom

    Polynevropati

    Emaljedefekter

    Epilepsi

    Leddsmerter

    Migrene

    Hjertesvikt

    Terminal leversvikt

    Diagnostikk

    Diagnostikk

    Serologiske tester

    Serologiske tester

    Serologiske tester er viktig i cøliakidiagnostikk. Det analyseres på antistoffer mot hele gluten eller mot subkomponenten gliadin (antigliadin antistoffer, AGA) og antistoffer mot endomysium eller vevstransglutaminase (TG2). Det er mest aktuelt å analysere på IgA-antistoffer (tarmens eget immunglobulin). Cøliaki er vanlig hos individer med IgA-mangel, og spesielt hos slike er analyse av IgG-antistoffer nyttig (2, 3, 16).

    IgA mot gluten/gliadin er lite egnet til å stille en cøliakidiagnose. De fleste med aktiv cøliaki har forhøyede nivåer, mens verdier rundt og like over normalgrensen korrelerer dårlig med cøliaki. Dessverre brukes ofte positive verdier av IgA mot gluten/gliadin til å konkludere at vedkommende har intoleranse mot hvete. Det finnes ingen studier som støtter denne praksis, som det må advares mot. Måling av antigliadinantistoffer fases ut ved mange laboratorier.

    De fleste cøliakere har IgA-antistoffer mot en bindevevsbestanddel i glatt muskulatur kalt endomysium. Nylig ble det vist at disse antistoffene gjenkjenner enzymet TG2, som er uttrykt i mange av kroppens organer (17). Det er utviklet ELISA-metoder for påvisning av spesifikke IgA-antistoffer (18) – (20). I klinisk praksis gir disse gode målinger med rapportert spesifisitet på 95 % og mer og sensitivitet på 80 – 100 %.

    Noen personer har økt nivå av IgA mot TG2, men normale tynntarmsbiopsier. I mange tilfeller er slike personer på vei til å utvikle en klassisk cøliaki (7). Vi kaller dette gjerne «latent cøliaki».

    Man kan ha cøliaki, men med negativ endomysiumtest eller IgA-TG2 under grensen for det normale (18, 21). Dette fenomenet blir tydelig når man går fra selekterte pasientmaterialer til vanlig praksis. Serologibasert cøliakidiagnostikk kan gi en underestimering av antall syke med 20 % (22, 23). Det finnes ingen veldefinerte retningslinjer for hvordan man skal fange opp slike pasienter. Cøliakidiagnostikk bør derfor ikke utelukkende basere seg på serologiske undersøkelser. Negativt resultat må ikke hindre at tynntarmsbiopsi tas når mistanken om cøliaki er sterk.

    Absorpsjonsprøver

    Absorpsjonsprøver

    Malabsorpsjonsdiagnostikk med peroral sukkerbelastning med urinsamling har dårlig sensitivitet. Pusteprøve med 13C-D-Xylose (ikke-radioaktiv metode) er en langt bedre metode, og undersøkelsen kan gi en indikasjon på sykdom. Oftest er det hensiktsmessig å gå rett til gastroskopi med tynntarmsbiopsier.

    HLA-typing

    HLA-typing

    Så godt som alle cøliakere har en spesiell HLA-variant kalt HLA-DQ2, et lite mindretall har HLA-DQ8 (1). HLA-varianter bestemmes som kjent i blodprøve. HLA-DQ2 er til stede hos ca. en tredel av den norske befolkning. Positiv prediktiv verdi for HLA-DQ2 er derfor lav, og testen er uegnet for screeningformål. Vi har nytte av HLA-typing i vanskelige tilfeller eller i bedømmelse av familierisiko. Det er anslått at langt under 1 % av cøliakere verken har DQ2 eller DQ8, og testen kan benyttes til å avkrefte risikoen for cøliaki (16, 24).

    Tynntarmsbiopsier – ingen, en eller flere?

    Tynntarmsbiopsier – ingen, en eller flere?

    I de diagnostiske kriteriene formulert av barnelegeorganisasjonen ESPGAN i 1990 (25) står tynntarmsbiopsier sentralt:

    • Kliniske funn forenlig med cøliaki

    • Påvisning av «flat» tynntarmsslimhinne ved tynntarmsbiopsi

    • Gliadinantistoffer og/eller endomysiumtest kan være positiv eller negativ

    • God og rask effekt av glutenfri kost, antistoffer forsvinner, ny biopsi etter 1 – 2 år

    • Provokasjon hvis pasienten ved diagnosetidspunktet er under to år, i atypiske tilfeller og der det er tvil om diagnosen

    Det tidligere kravet til en provokasjonsperiode hos alle barn er forlatt. Behovet for tynntarmsbiopsier er diskutert. Vårt syn er at kun biopsier entydig kan belyse tynntarmsmorfologi og danne basis for oppfølging av pasienten videre. ESPGAN-kriteriene gjelder barn, men er også adekvate for voksne.

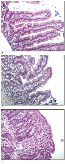
    Endoskopøren bør ta minst tre biopsier, helst med stor tang, godt nede i duodenum. Biopsiene bør strekkes ut og orienteres på en papirbit med epitelet opp før formalinfiksering. Dette kan gjøres uten mikroskop. Det er vanskelig å gjøre adekvat diagnostikk på små, dårlig orienterte biopsier (16, 26). Det er grunn til å ta biopsier på vid indikasjon i enhver endoskopisk utredning av mageplager, ikke bare ved diaré. Endoskopøren bør se etter tegn som fravær av folder, furer og mosaikkmønster av slimhinnen (fig 1) (27), selv om dette ikke er diagnostisk for cøliaki (28).

    Cøliakidiagnostikk er utfordrende for patologene. Mange pasienter har bare lette totteforandringer. Det er innført et relativt enkelt skåringssystem der tarmforandringene klassifiseres (tab 2) (29). Vår erfaring med et slikt system er meget positiv, systemet gir en standardisert rapport og tillater god evaluering av effekten av glutenfri diett. Patologene må rapportere avvikende funn selv om disse ikke er diagnostiske for cøliaki.

    Tabell 2

    Marshs klassifikasjon av tynntarmsbiopsier, modifisert av Oberhuber og medarbeidere (29)

    Marsh-klasse

    Histopatologi

    Marsh 0

    Normal

    Marsh 1

    Normal totte- og kryptstruktur, men økt antall lymfocytter (ofte T-celle-reseptor gamma/delta +) i epitelet

    Marsh 2

    Som 1 med krypthyperplasi

    Marsh 3a

    Som 2 med partiell totteatrofi

    Marsh 3b

    Som 2 med subtotal totteatrofi

    Marsh 3c

    Som 2 med total totteatrofi

    Marsh 4

    Atrofisk slimhinne (irreversibel)

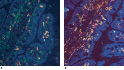
    Immunhistokjemisk undersøkelse er nyttig i tvilstilfeller. Noe kan gjøres på formalinfiksert vev, andre prosedyrer betinger spesiell prøvehåndtering. Man ser vanligvis etter andelen av T-celler i epitelet som uttrykker en såkalt gamma/delta-T-cellereseptor i forhold til andelen som uttrykker alfa/beta-T-cellereseptor. Hos ubehandlede cøliakere er både det totale antall T-celler og andelen av T-celler med gamma/delta-reseptor økt, også etter overgang til glutenfri kost (30, 31). I tillegg kan man undersøke på andelen lymfocytter med T-cellemarkøren CD3 av alle LCA/CD45-positive celler i epitelet (32).

    Integrert diagnostikk

    Integrert diagnostikk

    Det er viktig å stille en sikker diagnose før pasienten slutter å innta gluten, deretter er det vanskelig. Diagnostikk av cøliaki kan være enkelt, for eksempel hos pasienter med symptomer, positive serologiske funn og uttalt totteatrofi i biopsier. Det er vanskeligere når totteforandringene er beskjedne eller når pasienten har positive antistoffnivåer, men normal eller nesten normal slimhinne. I slike tilfeller kan det bli aktuelt å kombinere klinisk tilstand, antistoffsvar, HLA-typing, malabsorpsjonstester og nøye biopsivurdering (tab 3).

    Tabell 3

    Forskjellige sammensetninger av funn og kliniske anbefalinger, omarbeidet etter (16)

    Histologi

    Anti-TG2

    Cøliakidiagnose

    Immunhistokjemi

    HLA-typing (DQ2/8)

    Klinisk konsekvens

    Marsh 3a – 3c

    Positiv

    Opplagt

    Ikke behov

    Ikke behov

    Glutenfri diett og kontrollbiopsi for å vise effekt

    Marsh 3a – 3c

    Negativ

    Opplagt til sannsynlig

    Anbefales

    Negativ: Vurder andre grunnerPositiv: Cøliaki sannsynlig

    Glutenfri diett og kontrollbiopsi for å vise effekt

    Marsh 2 – 3a

    Positiv

    Sannsynlig

    Anbefales

    Negativ: Vurder andre grunnerPositiv: Cøliaki mulig

    Glutenfri diett og kontrollbiopsi for å vise effekt

    Marsh 1 – 2

    Positiv

    Sannsynlig

    Anbefales

    Anbefales

    Vurder glutenfri diett og kontrollbiopsi – ev. provokasjon med gluten

    Marsh 1 – 2

    Negativ

    Mulig

    Anbefales

    Anbefales

    Vurder glutenfri diett og kontrollbiopsi – ev. provokasjon med gluten

    Marsh 0 (normal)

    Positiv

    Mulig

    Anbefales

    Anbefales

    Følges opp, ev. provokasjon med gluten

    Signifikansen av lette totteforandringer er diskutert (16). Tynntarmshistologi som Marsh-grad 1 og 2 har bevarte totter og moderat betennelsesinfiltrat. Ut fra den klassiske definisjonen av cøliaki faller disse utenfor en cøliakidiagnose. Også pasienter med slik tynntarm blir imidlertid bedre med glutenfri kost, og plagene kan være de samme som ved uttalte totteforandringer (33, 34). Tendensen går derfor i retning av å diagnostisere også disse mildere formene som cøliaki. Provokasjon med større doser gluten (kjøpes i helsekostforretninger) kan gi en avklaring (35).

    Oppfølgende undersøkelser

    Oppfølgende undersøkelser

    Oppfølgende undersøkelser er nyttig for å sikre at pasienten forstår sykdommens natur og for å sikre at de holder dietten (36). Nasjonalt og internasjonalt er det ulike nivåer på oppfølgingen, alt fra tilfeldig hos allmennlege til regelmessig hos spesialist. Det finnes ikke studier som belyser den helseøkonomiske nytten av oppfølging.

    Både glutenantistoffer og endomysiumantistoffer forsvinner når pasienten går over til en glutenfri diett. IgA-TG2 kan brukes til å overvåke at pasienten holder dietten (18, 37), men biopsi er ganske sikkert det mest følsomme mål (38). Det har vært hevdet at biopsier etter f.eks. et år på glutenfri diett er unødvendig hvis diagnostikken var klar og den kliniske respons hos pasienten er overbevisende. Dette er ofte riktig, men pasientene kan ha problemer som gjør at man ønsker vurdering av tynntarmsslimhinnen. Vi tilbyr derfor oppfølgende tynntarmsbiopsi hos alle som får stilt diagnosen.

    Osteoporose er vanlig hos cøliakere. Voksne bør få målt beintettheten (39). Glutenfri diett bidrar til å gi bedret beintetthet. Osteopeni er vanlig hos pasienter som fikk cøliakidiagnose som barn, men som har gått tilbake til normal kost (40).

    Behandling

    Behandling

    Den glutenfrie dietten er effektiv og gir vanligvis komplett remisjon. Bedringen er ofte rask og dramatisk. Gjennomføringen av dietten kan være vanskelig, og mange pasienter er følsomme for små mengder gluten. Et problem er gluten brukt som tilsetningsstoff i halv- og helfabrikater.

    Et viktig tema er hvor mye glutendietten kan inneholde (3, 41). I mange land tillater man lave nivåer for gluten tilført som hvetestivelse. Det gir god smakelighet og bakeevne og ønskes og tolereres av mange cøliakere (42, 43). En slik diett er regelen i hele Vest-Europa. I flere andre land unngås også hvetestivelse. Tynntarmsslimhinnen er ikke mer normal hos dem som spiser en såkalt naturlig glutenfri diett enn hos dem som også inntar hvetestivelse (42, 44, 45). I praksis har vi noen ganger anbefalt slik naturlig glutenfri diett til cøliakere som reagerer på vanlig glutenfri diett.

    Opprinnelig ble hvete, rug, bygg og havre ekskludert fra den glutenfrie dietten, men havre tolereres av de fleste cøliakere (46) – (48). Havre tillates i Norge til voksne (siden 2000). I en klinisk undersøkelse med 19 pasienter tålte de fleste havre godt, men én utviklet totteatrofi og dermatitt av havre (egne upubliserte data). Noen cøliakere kan derfor være overfølsomme for havreproteiner. Et annet problem er at havreprodukter kan være forurenset med andre kornslag, slik at kontinuerlig kvalitetskontroll er nødvendig.

    Vi har betraktet den vanlige glutenfrie dietten som ernæringsmessig adekvat (49). Flere voksne behandlede cøliakere klager allikevel over tretthet, sprø negler og håravfall. En svensk studie tyder på dårlig vitaminstatus hos slike pasienter (50). Hvilke følger dette skal ha for våre anbefalinger, er usikkert.

    Livskvaliteten er dårlig hos ubehandlede cøliakere (51). Det samme er tilfellet hos mange som lever på en streng glutenfri diett, og da spesielt kvinner (52, 53). Mange har psykiske plager av alltid å måtte være påpasselig med dietten (53). Plagene minner ofte om irritabel tarm (54), og det kan hjelpe med fibertilskudd (Testa ispagula).

    Glutenintoleranse uten cøliaki

    Glutenintoleranse uten cøliaki

    Noen pasienter går dessverre over til et glutenfattig eller glutenfritt kosthold uten adekvat diagnostikk. Det kan da være aktuelt å øke gluteninntaket kortvarig (35). Noen mennesker mener at de ikke tåler hvete, men verken serologisk undersøkelse eller biopsi viser noe galt. Utredning kan eventuelt avdekke en matvareintoleranse av ikke-cøliakisk type (55, 56). Slike pasienter har neppe samme risiko for senkomplikasjoner som cøliakere, og en glutenfri diett blir i slike tilfeller styrt av vedkommendes symptomer. Utredning og vurdering av slike pasienter er vanskelig.

    Diettsvikt og senkomplikasjoner

    Diettsvikt og senkomplikasjoner

    Anbefaling om en streng diett er motivert ut fra ønsket om å unngå subjektive plager og fordi diettsvikt gir osteoporose og mangeltilstander. Cøliaki gir økt risiko for malign tarmsykdom, spesielt non-Hodgkins lymfom i tynntarmen. Dette er en sjelden tilstand. Selv om den relative risikoen er høy, er den absolutte risikoen for at en cøliakipasient skal utvikle lymfom, langt lavere enn tidligere antatt (57, 58). Behandlet cøliaki er en meget godartet tilstand uten signifikant dødelighet (59). Det er mulig at ubehandlet cøliaki gir økt risiko for autoimmune sykdommer (60). Hos barn som er i utvikling må det være opplagt at dietten skal følges. Flere pasienter har merket at det de før oppfattet som en normaltilstand, forbedret seg betydelig etter at de begynte med diett. Hos personer med få subjektive plager er det vanskeligere å motivere til streng glutenfri diett, men fordi komplikasjoner forbundet med diettsvikt kan utvikle seg over tid, er det riktig å anbefale alle med diagnosen cøliaki å holde den glutenfrie dietten.

    Refraktær cøliaki

    Refraktær cøliaki

    Hvis pasienten ikke blir bra, må man undersøke nøye om det skyldes diettsvikt (61). Kronisk diaré kan være forårsaket av assosierte tilstander, som mikroskopisk kolitt (62). Hos noen er det aktuelt å gå over til et helt glutenfritt kosthold. Noen cøliakere trenger flere år før de føler seg friske og slimhinnen er normalisert. Mangel på full histologisk normalisering gir ikke nødvendigvis grunn til bekymring (45, 63, 64). Hos en liten undergruppe representerer tilstanden virkelig behandlingsrefraktær cøliaki. Dette kan være en benign tilstand med en polyklonal immunrespons i tarmen, eller en mer malign variant som benevnes «kryptisk T-cellelymfom» (64, 65). Utredning bør utføres av gastroenterologer og patologer med spesiell interesse for tilstanden.

    Interessekonflikt

    Forfatterne mottar støtte til cøliakiforskning fra bl.a. stiftelsen Helse og Rehabilitering og Norges forskningsråd.

    Ludvig M. Sollid er co-chairman i forskningsrådet i stiftelsen Celiac Sprue Research Foundation.

    Interessekonflikter: Se til slutt i artikkelen

    Kommentarer  ( 0 )

    Anbefalte artikler