Likvoré er en alvorlig tilstand fordi den innebærer risiko for bakteriell meningitt gjennom retrograd smitte fra nese, bihuler og øre. Likvoré viser seg vanligvis som rhinoré, men av og til også som otoré. Det er beskrevet okkulte fistler med lekkasje av cerebrospinalvæske som ikke behøver å gi symptomer på flere tiår. I noen tilfeller er en livstruende meningitt første indikasjon på at man må se etter en lekkasje av cerebrospinalvæske (1). Ikke påviste fistler kan dannes etter endoskopisk bihulekirurgi (2). Vi gir en oversikt over diagnostikk og behandling av likvoré basert på egen erfaring og en gjennomgang av utvalgt litteratur. Bruken av betasporprotein (beta-trace protein) som markør har modernisert diagnostikken.
Pasient 1. En 61 år gammel kvinne ble operert på grunn av kronisk sinusitt. Etter operasjonen rant det klar væske fra nesen og lekkasjen økte når hun bøyde seg fremover. Væsken inneholdt 42 mg/l betasporprotein, en verdi som er forenlig med likvoré. CT-undersøkelsen viste en beindefekt i sentrale lamina cribrosa. Det kunne ikke avgjøres om det forelå en ensidig eller en bilateral lekkasje. Hun ble operert endoskopisk med natriumfluoresceinfargeteknikk. Under operasjonen fant man lekkasje på begge sider av lamina cribrosa, og defektene ble dekket med frie transplantater av fascia lata (fig 1).
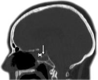
Pasient 2. En 58 år gammel kvinne ble operert for tredje gang med transseptal, transsfenoidal tilgang for residiv av kromofobt hypofyseadenom. Pasienten hadde økende synsfeltsutfall, og adenomet vokste infiltrerende i skallebasis med gjennomvekst til sinus sphenoidalis. Etter inngrepet oppstod rhinoré, og CT caput viste pneumatocephalus. To endoskopiske operasjoner med transnasal tilgang ble gjennomført for å lukke lekkasjen, men begge var mislykte. CT-bilde viste en stor beindefekt i den fremre veggen og i gulvet av sella turcica (fig 2). Nesesekretet inneholdt 8,2 mg/l betasporprotein. Tredje forsøk på å lukke lekkasjen ble gjennomført med natriumfluoresceinfarging (fig 3). Defektene ble dekket med autolog fascia lata. På grunn av hydrocephalus ble det lagt en ventrikuloperitoneal shunt. Den postoperative CT-undersøkelsen viste ikke intrakranial luft, og ved kontroll etter fem måneder hadde hun ikke tegn til likvoré.
Cerebrospinalvæskelekkasje kan være vanskelig å diagnostisere og behandle. Det finnes invasive og ikke-invasive diagnostiske metoder (3). Til de invasive hører CT-cisternografi, MR med intratekal gadolinium, farging med natriumfluorescein, liquorscintigrafi og digital subtraksjonscisternografi. De ikke-invasive metodene omfatter undersøkelse av væskeprøver for påvisning av liquormarkører, strømningssensitiv MR og kliniske undersøkelser. Undersøkelse av glukose i sekret er ikke lenger anbefalt (4). Dessverre finnes det ikke prospektive studier som viser prediksjonsverdiene av ulike undersøkelser for påvisning av likvoré, men beta ₂-transferrin ser ut til å være en pålitelig liquormarkør (5).
Betasporprotein
Siden 1960-årene har betasporproteinet vært kjent som et protein som er spesifikt for spinalvæsken (6). Senere fant man at betasporprotein og prostaglandin D-syntase er det samme proteinet (7). Det antas at betasporprotein spiller en sentral rolle i biokjemisk styring av søvn og våkenhet i den sentrale smertesansen (8, 9). Serum inneholder 0,3 mg/l betasporprotein, mens verdiene i cerebrospinalvæske angis til mellom 10 – 33 mg/l (tab 1) (10) – (16). Betasporprotein kan brukes i diagnostikk av likvoré. Forekomsten av betasporprotein måles i sekret fra nese eller øre kvantitativt ved hjelp av immunologisk lasernefelometri. Nødvendig prøvevolum er 5 µl. Analysetiden er ca. 20 minutter. En verdi på mer enn 6 mg/l er definert som forenlig med lekkasje av cerebrospinalvæske (15). I et materiale på 84 pasienter fant man at positiv prediktiv verdi av påvist betasporprotein i nese- eller øresekret var 1,0, mens negativ prediktiv verdi var 0,97 (17). Variasjonskoeffisient er mindre enn 4 % (16). Betasporprotein egner seg bedre enn beta₂-transferrin som markør i diagnostikken av likvoré.
Tabell 1
Kvantitative verdier av betasporprotein
| Forfatter |
Betasporprotein i serum (mg/l) |
Betasporprotein i CSF (mg/l) |
n |
| Link og Olsson 1972 (10) |
ikke angitt |
26 ± 6 |
59 |
| Felgenhauer et al. 1987 (11) |
ikke angitt |
33 ± 11 |
192 |
| Melegos et al. 1996 (12) |
0,2 ± 0,07 (n = 33) |
14,8 ± 6,9 |
12 |
| Huber 2000 (13) |
0,3 |
10 |
ikke angitt |
| Kleine et al. 2000 (14) |
0,26 |
14,68 |
blandet |
| Petereit et al. 2001 (15) |
0,5 (n = 34) |
11 ± 2 |
20 |
| Arrer et al. 2002 (16) |
0,59 ± 0,2 (n =116) |
19,6 ±5,8 |
19 |
Natriumfluorescein
Fargeteknikken med bruk av natriumfluorescein ble først beskrevet i 1960 og senere utviklet videre (18, 19). Natriumfluorescein er et fargestoff som er tillatt til intravenøs eller oral bruk, men det er ikke beregnet som diagnostisk hjelpemiddel for intratekal injeksjon. Fargestoffet fordeler seg i intraduralrommet i løpet av noen timer etter lumbal injeksjon og blir utskilt renalt i løpet av tre dager. En fordel med natriumfluorescein er at det både kan brukes til å påvise om det foreligger en cerebrospinalvæskelekkasje og til å finne lekkasjestedet ved endoskopisk eller mikrokirurgisk kirurgi. Som bivirkninger ses forbigående svakhet i underekstremitetene, nummenhet, grand mal-anfall, opistotonus og hjernenervepareser (20). I et materiale på 925 pasienter fant man grand mal-anfall hos tre pasienter. Alle tre fikk natriumfluorescein injisert suboksipitalt (21). Alvorlige og varige bivirkninger er ikke beskrevet i litteraturen ved lumbal injeksjon og riktig dosering. Pasientene bør informeres om kjente bivirkninger og om mulige behandlingsalternativer. Ved bruk av natriumfluorescein legges en lumbaldrenasje dagen før inngrepet. 0,5 ml av en 10 % steril natriumfluoresceinløsning fortynnet med 10 ml autolog cerebrospinalvæske injiseres langsomt i spinalkanalen. Endoskopisk sporing av natriumfluorescein skjer ved hjelp av et blåfilter på lyskilden og et gulokular på endoskopet. Begge forsterker synligheten av fluorescensen (fig 4). Lumbaldrenet blir liggende i tre dager for å redusere det intrakraniale trykket den første tiden etter lukkingen av lekkasjen og dermed redusere faren for ny lekkasje.
Konklusjon
Diagnostikken av likvoré har to hovedaspekter: påvisning av cerebrospinalvæske og nøyaktig lokalisering av lekkasjestedet. Måling av betasporprotein anbefales for påvisning av cerebrospinalvæske. Lekkasjestedet lokaliseres best ved hjelp av bildediagnostikk. Når lekkasjestedet ikke kan lokaliseres nøyaktig, vil natriumfluoresceinfargeteknikk være til hjelp peroperativt. Kvantitativ måling av betasporprotein i ekstradurale væsker er en rask, presis, følsom og rimelig analytisk tilnærming til diagnostikk av likvoré. Kirurgisk lukning av cerebrospinalvæskelekkasje kan i de fleste tilfeller skje ved hjelp av endoskopisk nesekirurgi eller med ørekirurgisk teknikk. Figur 5 viser et flytdiagram for utredning av likvoré eller meningitt med mistanke om lekkasje av cerebrospinalvæske.
Vi takker Ole Petter Rekvig, Avdeling for immunologi og transfusjonsmedisin, for hjelp med å iverksette nefelometrisk påvisning av betasporprotein.
Interessekonflikter: Ingen
Hovedbudskap
Diagnostikken av likvoré kan by på vanskeligheter
Betasporprotein er bedre enn beta ₂-transferrin som markør for cerebrospinalvæske
Ved bruk av betasporprotein, natriumfluorescein og målrettet bildediagnostikk kan behandling av likvoré effektiviseres
- 1.
Crawford C, Kennedy N, Weir WR. Cerebrospinal fluid rhinorrhoea and Haemophilus influenzae meningitis 37 years after a head injury. J Infect 1994; 28: 93 – 7.
- 2.
Bachmann G, Djenabi U, Jungehuelsing M, Petereit H, Michel O. Incidence of occult cerebrospinal fluid fistula during paranasal sinus surgery. Arch Otolaryngol Head Neck Surg 2002; 128: 1299 – 302.
- 3.
Elverland HH, Hennig R, Ulvestad E, Anke IM, Lettrem I. Lekkasje av cerebrospinalvæske. Diagnostikk og behandling. Tidsskr Nor Lægeforen 1996; 116: 3098 – 101.
- 4.
Hull HF, Morrow G. Glucorrhea revisited. Prolonged promulgation of another plastic pearl. JAMA 1975; 234: 1052 – 3.
- 5.
Nandapalan V, Watson ID, Swift AC. Beta-2-transferrin and cerebrospinal fluid rhinorrhoea. Clin Otolaryngol 1996; 21: 259 – 64.
- 6.
Clausen J. Proteins in normal cerebrospinal fluid not found in serum. Proc Soc Exp Biol Med 1961; 107: 170 – 2.
- 7.
Hoffmann A, Conradt HS, Gross G, Nimtz M, Lottspeich F, Wurster U. Purification and chemical characterization of beta-trace protein from human cerebrospinal fluid: its identification as prostaglandin D synthase. J Neurochem 1993; 61: 451 – 6.
- 8.
Hayaishi O, Matsumura H. Prostaglandins and sleep. Adv Neuroimmunol 1995; 5: 211 – 6.
- 9.
Eguchi N, Minami T, Shirafuji N, Kanaoka Y, Tanaka T, Nagata A et al. Lack of tactile pain (allodynia) in lipocalin-type prostaglandin D synthase-deficient mice. Proc Natl Acad Sci 1999; 96: 726 – 30.
- 10.
Link H, Olsson JE. Beta-trace protein concentration in CSF in neurological disorders. Acta Neurol Scand 1972; 48: 57 – 68.
- 11.
Felgenhauer K, Schädlich HJ, Nekic M. Beta-trace protein as marker for cerebrospinal fluid fistula. Klin Wochenschr 1987; 65: 764 – 8.
- 12.
Melegos DN, Diamandis EP, Oda H, Urade Y, Hayaishi O. Immunofluorometric assay of prostaglandin D synthase in human tissue extracts and fluids. Clin Chem 1996; 42: 1984 – 91.
- 13.
Huber AR. Zur neuen Diagnostik von Liquorfisteln. HNO 2000; 48: 478 – 88.
- 14.
Kleine TO, Damm T, Althaus H. Quantification of beta-trace protein and detection of transferrin isoforms in mixtures of cerebrospinal fluid and blood serum as models of rhinorrhea and otorrhea diagnosis. Fresenius J Anal Chem 2000; 366: 382 – 6.
- 15.
Petereit H, Bachmann G, Nekic M, Althaus H, Pukrop R. A new nephelometric assay for beta-trace protein (prostaglandin D synthase) as an indicator of liquorrhoea. J Neurol Neurosurg Psychiatry 2001; 71: 347 – 51.
- 16.
Arrer E, Meco C, Oberascher G, Piotrowski W, Albegger K, Patsch W. Beta-trace protein as a marker for cerebrospinal fluid rhinorrhea. Clin Chem 2002; 48: 939 – 41.
- 17.
Bachmann G, Petereit H, Djenabi U, Michel O. Predictive values of beta-trace protein (prostaglandin D synthase) by use of laser-nephelometry assay for the identification of cerebrospinal fluid. Neurosurgery 2002; 50: 571 – 7.
- 18.
Kirchner FR, Proud GO. Method for the identification and localization of cerebrospinal fluid, rhinorrhea and otorrhea. Laryngoscope 1960; 70: 921 – 31.
- 19.
Messerklinger W. Nasenendoskopie: Nachweis, Lokalisation und Differentialdiagnose der nasalen Liquorrhoe. HNO 1972; 20: 268 – 70.
- 20.
Moseley JI, Carton CA, Stern WE. Spectrum of compliactions in the use of intrathecal fluorescein. J Neurosurg 1978; 48: 765 – 7.
- 21.
Wolf G, Greistorfer K, Stammberger H. Der endoskopische Nachweis von Liquorfisteln mittels der Fluoreszeintechnik. Laryngo Rhino Otol 1997; 76: 588 – 94.