Mobilultralyd i en medisinsk avdeling

    ()

    sporsmal_grey_rgb
    Abstract
    Bakgrunn

    Bakgrunn

    . Klinikere har ofte stor nytte av å gjøre ultrasonografi selv. Vi ønsket å studere anvendbarhet av en bærbar ultralydskanner i en medisinsk avdeling ved å evaluere bildekvalitet og effektivitet.

    Materiale og metode.

    Materiale og metode.

    I løpet av 25 dager rekrutterte vi fortløpende 36 pasienter i alderen 23 – 92 år, hovedsakelig fra medisinske sengeposter. Fire brukere evaluerte undersøkelsen med et spørreskjema. Vi brukte SonoSite 180 (2,4 kg). En gruppe pasienter med relativt enkle problemstillinger (f.eks. gallestein) og en gruppe med kompliserte bildemessige utfordringer (f.eks. ulcus ventriculi, kolitt) ble undersøkt.

    Resultater.

    Resultater.

    Utstyret var lett å bære med seg i en skuldervæske og man var i gang med skanning i løpet av 10 sekunder. Skanneren gav tilfredsstillende bildekvalitet i 81 % av undersøkelsene, til tross for at det hos 28 % var dårlig innsyn. Gjennomsnittlig tidsbruk under skanning var 7 ± 3 minutter. I 83 % av tilfellene ble problemstillingen adekvat besvart. Utredning eller behandling ble endret som følge av mobil skanning i 39 % av tilfellene. Skanning med mobilultralyd sparte røntgenavdelingen for undersøkelse i 64 % av tilfellene. I 81 % av undersøkelsene var legen meget eller svært godt fornøyd med skanneren.

    Fortolkning.

    Fortolkning.

    Denne bærbare skanneren var enkel og rask å bruke, og legene var hovedsakelig meget tilfredse med bruken av utstyret. Mobilultralyd åpner for tidlig diagnostikk og kan fremme effektiv pasienthåndtering i en sykehusavdeling.

    Abstract

    Background.

    We examined the usefulness and image quality of a mobile miniaturised ultrasound scanner in a medical ward.

    Material and methods.

    The instrument (SonoSite 180), weighing 2.4 kg, is a hand-carried system powered by batteries. In 25 days we recruited consecutively 36 patients aged 23 – 92. Four different operators evaluated the use of the scanner. We examined one group of patients with relatively simple diagnostic challenges (e.g. gallbladder stone) and one group of patients demanding more advanced visualisation (e.g. peptic ulcer, colitis).

    Results.

    The scanner was easy to carry around and scanning was initiated in 10 seconds. We found satisfactory image quality on 81 % of the examinations, despite the fact that in 28 % of cases, bowel air and abdominal fat impaired acoustic penetration. Average scanning time was 7 ± minutes. In 83 % of cases, mobile scanning adequately solved the clinical problem. Diagnostic work-up or treatment was changed because of scanning in 39 % of the patients. In 64 % of cases, standard-procedure referral to the department of radiology was avoided. In 81 % of the examinations the operator was very satisfied with the scanner, also in cases that required advanced visualisation.

    Interpretation.

    This mobile scanner was simple to use and gave quick results in a medical ward. The operators were very satisfied: mobile scanning changed diagnostic work-up or treatment in 4 out of 10 cases. Mobile ultrasound scanning enables early diagnosis and seems to promote an efficient flow of patients in a hospital unit.

    Artikkel

    Ultrasonografi er en bildedannende og pasientvennlig metode som egner seg godt for undersøkelse ved sykesengen. Klinikeren, som i detalj kjenner pasientenes sykehistorie og funn, har gode forutsetninger for å gjøre målrettede og effektive ultralydundersøkelser. Utviklingen av små, bærbare ultralydapparater av god kvalitet og til akseptabel pris muliggjør økt bruk av denne teknologien i helsevesenet, først og fremst i spesialisthelsetjenesten (1) – (3).

    Den raske utviklingen av ultralydteknologi har gjort skannere så miniatyriserte at de er bærbare, hvilket muliggjør rask og fleksibel bruk i en fremskutt posisjon (4) – (6). Det er imidlertid nyttig å vurdere teknologiens begrensninger og muligheter før man implementerer den i klinisk medisin. Målet med denne pilotstudien var å studere anvendbarhet av en bærbar ultralydskanner i en medisinsk avdeling ved å evaluere bildekvalitet og effektivitet i pasienthåndtering.

    Materiale og metode

    Materiale og metode

    I løpet av 25 dager rekrutterte vi 36 pasienter (25 fra medisinske sengeposter, sju fra akuttmottak, tre fra medisinsk poliklinikk, én fra intensivavdeling). Fra sengepostene var 13 av pasientene fra nefrologisk seksjon og åtte fra gastroenterologisk seksjon. Pasientene ble rekruttert av operatørene. Eneste krav var at det skulle foreligge indikasjon for ultrasonografi, det var ingen begrensning i problemstillingens kompleksitet. 19 menn og 17 kvinner i alderen 23 – 92 år, median alder 61 år, ble rekruttert. Fire brukere (OHG, TH, ØW og MT) med ulik erfaring i ultrasonografi evaluerte undersøkelsene ved hjelp av et spørreskjema (e-ramme 1) med enkle ja-nei-spørsmål og uttalte seg om tilfredshet på en skala fra 1 (lite tilfreds) til 5 (svært tilfreds). Operatørene fikk ca. 30 min innføring i bruk av skanner ved prosjektstart. Bildekvaliteten ble evaluert ved at operatørene ble spurt om man fant at skanneren gav tilfredsstillende bildekvalitet i den aktuelle undersøkelsessituasjonen. Vi brukte en SonoSite 180-skanner (Bothell, Washington, USA) som veide 2,4 kg inklusive transduser. To lydhoder ble benyttet – en 5 – 2 MHz kurvilineær og en 7 – 4 MHz lineær probe. Skanneren hadde også en enkel fargedoppler. Oppstart tok 10 sekunder. Skjermen var liten (11 ± 4,5 cm) og hadde kontroll for klarhet og kontrast. Skanner med to lydhoder kostet ca. 280 000 kroner.

    Ramme 1

    Spørreskjemaet som ble brukt av fire leger til å evaluere bruken av Sonosite 180 bærbar ultralydskanner i en medisinsk avdeling

    Miniprotokoll for SonoSite skanning

    Dato for undersøkelse:

    Pasientens navn:

    Fødselsdato:

    Avdeling:

    Undersøkende lege:

    Probe:

    Problemstilling:

    Adekvat bildekvalitet for problemstillingen? (Ja/nei)

    Godt innsyn? (Ekkogen pasient?) (Ja/nei)

    Hovedfunn:

    Ble problemstillingen tilfredsstillende besvart ved bruk av denne skanneren? (Ja/nei)

    Tidsbruk i skanningsituasjon (antall min):

    Førte skanning til endring av pasientens utredning, behandling eller oppfølging? (Ja/nei)

    Din totale tilfredshet med bruk av skanneren (1 – 5):

    (1 = lite tilfreds, 2 = litt tilfreds, 3 = moderat tilfreds, 4 = meget tilfreds, 5 = svært tilfreds)

    Fotodokumentasjonsnr.:

    Vi undersøkte en gruppe pasienter med problemstillinger som gallestein, pleuravæske, splenomegali, nyreatrofi, nyrecyster og leversteatose. Dessuten evaluerte vi skanneren på mer kompliserte bildemessige utfordringer som ulcus ventriculi, dilaterte galleganger, tarmtumorer og kolitt. I ettertid gikk vi gjennom journaler og røntgenbilder for å kontrollere om ultrasonografisk diagnose stemte. Dessuten sammenliknet vi ultrasonogram tatt med en langt dyrere stasjonær skanner (Siemens Elegra, Issaquah, Washington, USA). Dersom operatøren ikke var tilfreds med kvaliteten og resultatet av undersøkelsen, ble pasienten henvist videre til ordinær ultralydundersøkelse.

    Ved hjelp av stropper og skuldervæske kunne man holde apparatet foran seg i magehøyde mens man stod ved sykesengen og skannet. I alt 36 pasienter ble undersøkt. En oversikt over problemstillinger og funn er vist i e-tabell 1. En av operatørene (OHG) stod for 26 av undersøkelsene, TH utførte fem, ØW tre og MT to.

    Tabell 1

    Oversikt over alle pasientene og problemstillingene ved mobilutralyd i en medisinsk avdeling. De seks siste kolonnene angir resultater fra spørreskjema som legene brukte til å evaluere bruk av Sonosite 180 i den aktuelle undersøkelsessituasjonen

    Pasient

    Kjønn

    Alder (år)

    Klinisk problemstilling

    Ultrasonografiske hovedfunn

    Adekvat bildekvalitet?

    Adekvat innsyn?

    Adekvat besvart?

    Tidsbruk (min)

    Endring av plan?

    Tilfredshet (1 – 5)

    Røntgen spart?

    1

    M

    23

    Magesmerter

    Fortykket vegg i tykk- og tynntarm

    Ja

    Ja

    Ja

    10

    Ja

    3

    Ja

    2

    M

    62

    Kardial kontraktilitet?

    Pumpestans. Elektromekanisk dissosiasjon

    Ja

    Ja

    Ja

    4

    Ja

    4

    Nei

    3

    K

    89

    Pleuravæske?

    Pleuravæske

    Ja

    Ja

    Ja

    3

    Nei

    5

    Ja

    4

    M

    55

    Akutt nyresvikt

    Små nyrer. Ingen hydronefrose

    Ja

    Nei

    Ja

    15

    Nei

    4

    Ja

    5

    K

    76

    Tumor i lyske

    Pågående blødning i pseudoaneurisme

    Ja

    Ja

    Ja

    10

    Ja

    5

    Ja

    6

    K

    58

    Pleuravæske?

    Pleuravæske

    Nei

    Nei

    Nei

    6

    Nei

    3

    Ja

    7

    M

    61

    Pleuravæske?

    Pleuravæske

    Ja

    Ja

    Ja

    6

    Nei

    4

    Nei

    8

    K

    43

    Abscess?

    Absess til stede

    Ja

    Ja

    Ja

    10

    Nei

    4

    Nei

    9

    M

    32

    Gallestein?

    Ingen galleblærestein. Normal choledochus

    Ja

    Ja

    Ja

    7

    Nei

    4

    Ja

    10

    M

    36

    Leversykdom?

    Usikre funn

    Nei

    Nei

    Nei

    7

    Nei

    2

    Nei

    11

    M

    34

    Kronisk leversykdom?

    Steatosis hepatis

    Nei

    Ja

    Nei

    7

    Nei

    2

    Ja

    12

    K

    45

    Leversykdom?

    Normalt

    Nei

    Ja

    Nei

    7

    Nei

    2

    Nei

    13

    M

    64

    Levercirrhose?

    Ikke cirrhose, lett irregulært parenkym

    Ja

    Nei

    Ja

    10

    Nei

    4

    Ja

    14

    M

    84

    Levermetastaser?

    Metastaser til lever, cancer prostata, ikke ascites

    Ja

    Nei

    Ja

    5

    Nei

    5

    Ja

    15

    M

    87

    Kardialt aneurisme?

    Lite, apikalt aneurisme

    Ja

    Ja

    Ja

    4

    Ja

    5

    Nei

    16

    K

    50

    Fri væske i bukhule?

    Væskefylte tarmer

    Ja

    Ja

    Ja

    8

    Nei

    4

    Ja

    17

    M

    57

    Cystenyrer?

    Cystenyrer bilateralt, L > 20 cm

    Ja

    Ja

    Ja

    5

    Nei

    5

    Ja

    18

    M

    35

    Gallestein? Ulcus?

    Fortykket vegg i antrum-corpus-overgangen

    Ja

    Ja

    Ja

    8

    Ja

    5

    Ja

    19

    K

    63

    Galleblærepolypp?

    Ingen polypp, men opphopning av røde blodceller

    Ja

    Ja

    Ja

    3

    Nei

    5

    Ja

    20

    M

    79

    Urinretensjon?

    Urinretensjon

    Ja

    Ja

    Ja

    2

    Ja

    5

    Nei

    21

    K

    67

    Splenomegali?

    Milttumor, atrofisk nyre, leverinfiltrasjon

    Ja

    Nei

    Ja

    5

    Nei

    4

    Nei

    22

    K

    75

    Pleuravæske?

    Ikke pleuravæske, hydronefrose, gallestein

    Ja

    Ja

    Ja

    5

    Nei

    5

    Ja

    23

    K

    42

    Kolitt?

    Fortykket vegg i hele colon. Ingen dilatasjon

    Ja

    Ja

    Ja

    7

    Ja

    5

    Ja

    24

    M

    65

    Colonperforasjon?

    Ingen fri væske. Ingen synlig abscess

    Ja

    Ja

    Ja

    6

    Ja

    4

    Ja

    25

    M

    78

    Cancer pancreas?

    Pancreas ikke visualisert

    Nei

    Nei

    Nei

    6

    Nei

    3

    Nei

    26

    K

    44

    Cirrhose?

    Ikke cirrhose, lett irregulært parenkym

    Ja

    Ja

    Ja

    5

    Ja

    5

    Ja

    27

    K

    90

    Hydronefrose?

    Nyrecyster, ikke hydronefrose

    Ja

    Ja

    Ja

    4

    Ja

    5

    Nei

    28

    K

    34

    Crohns sykdom, subileus?

    Fortykket vegg i partier, ingen dilatasjon

    Ja

    Ja

    Ja

    10

    Ja

    4

    Ja

    29

    K

    77

    Nyreabsess?

    Infiltrat i høyre nyre, ikke hydronefrose

    Ja

    Nei

    Ja

    6

    Nei

    4

    Ja

    30

    K

    60

    Pleuravæske? Nyreatrofi?

    Litt pleuravæske, normal nyrestørrelse

    Ja

    Ja

    Ja

    5

    Nei

    5

    Ja

    31

    M

    38

    Subileus? Gallestein?

    Fortykket vegg i ileum, ikke gallestein

    Nei

    Ja

    Ja

    12

    Ja

    5

    Ja

    32

    M

    43

    Crohns sykdom, subileus?

    Ikke dilatert colon, leversteatose

    Nei

    Nei

    Nei

    7

    Nei

    3

    Nei

    33

    K

    92

    Nyrestein? Cancer renis?

    Ikke nyrestein eller cancer

    Ja

    Ja

    Ja

    6

    Nei

    5

    Ja

    34

    K

    67

    Stille icterus

    Dilatert choledochus, tumor caput pancreatis

    Ja

    Nei

    Ja

    10

    Ja

    4

    Nei

    35

    M

    45

    Kolestase?

    Ikke kolestase, ikke cirrhose

    Ja

    Ja

    Ja

    10

    Ja

    4

    Ja

    36

    M

    83

    Melena, cancer coli?

    Ser ingen cancer coli. Hydronefrose høyre side

    Ja

    Ja

    Ja

    10

    Nei

    5

    Nei

    Resultater

    Resultater

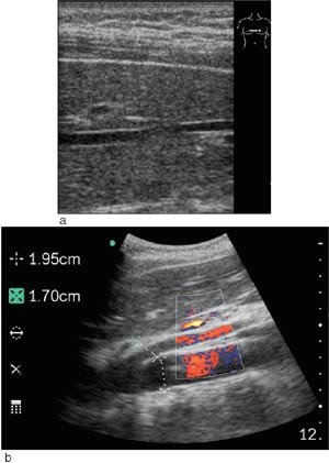
    I 81 % av tilfellene fant vi tilfredsstillende bildekvalitet (e-fig 1) med bruk av mobil skanner, til tross for at det hos 28 % av pasientene var dårlig innsyn. Noen syntes at skjermen var for liten og at dette utgjorde en begrensende faktor. Et ultrasonogram hvor man sammenlikner opptak gjort på samme pasienter med Sonosite 180 mot Siemens Elegra demonstrerer hvor bra bildekvaliteten er (fig 2). Gjennomsnittlig tidsbruk under skanning var 7 ± 3 minutter. I 83 % av tilfellene ble den aktuelle kliniske problemstillingen adekvat besvart med mobil skanning, i fire tilfeller (11 %) ble det ansett som nyttig å skanne pasienten med et stasjonært ultralydapparat i tillegg. Utredning og/eller behandling av pasientene ble i 39 % av tilfellene endret som følge av skanning.

    Skanning med mobilultralyd førte til at man unnlot å henvise til ordinær ultralydundersøkelse ved røntgenavdelingen i 64 % av tilfellene. I fem av 36 tilfeller (14 %) ble pasienten utredet videre med andre radiologiske metoder og i fem tilfeller med endoskopi for å avklare diagnosen. Den ultrasonografiske diagnosen ble hos 90 % av pasientene bekreftet i ettertid ved gjennomgang av journaler og radiologiske bilder.

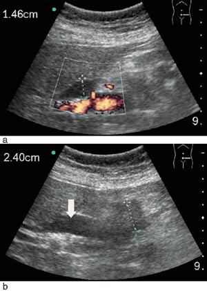
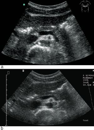
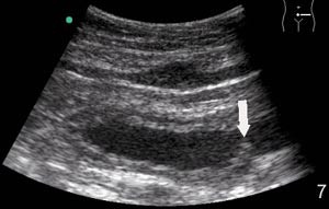
    Undersøkerens totale tilfredshet med bruk av denne skanneren var: 0 lite tilfreds, 8 % litt tilfreds, 11 % moderat tilfreds, 36 % meget tilfreds, 45 % svært tilfreds. Skanneren var ikke bare egnet til «enkle» problemstillinger, men kunne også gi tilfredsstillende svar på mer kompliserte kliniske og bildemessige utfordringer (fig 3, fig 4).

    Diskusjon

    Diskusjon

    Vi fant at kvaliteten på den anvendte mobile skanner var god nok til raskt å løse mange viktige kliniske problemer ved sykesengen, noe som også bekreftes i andre studier (7). Dette medførte en optimalisering av pasientutredningen, og det var ressursbesparende for røntgenavdelingen.

    Våre data støtter det syn at man kan spare tid og effektivisere den diagnostiske utredningen ved at bildeteknologi bringes nærmere pasienten og integreres i den kliniske pasientundersøkelsen (3). Ultrasonografi har på denne måten potensialet i seg til å bli en del av status presens (8). Legens palpatoriske undersøkelse av organer kan effektivt evalueres med sanntidsultralydskanning. Pilotstudien gir holdepunkter for at den diagnostiske prosessen kan akselereres.

    Ultrasonografi er en observatøravhengig metode hvor diagnostikken er meget avhengig av utøverens kompetanse og erfaring. Det er derfor viktig at alle som gjør ultrasonografi, er seg bevisst sitt kunnskapsnivå og ikke minst sine begrensninger, slik at man vet hva den aktuelle undersøkelse er verd. Ved vanskelige problemstillinger er det avgjørende å ha mulighet for supervisjon. Den europeiske ultralydforeningen European Federation of Societies for Ultrasound in Medicine and Biology har laget et forslag om standardisering av ultralydutdanningen i Europa. De foreslår at ultralyddiagnostikk skal drives og kurses på tre ulike nivåer. Norsk Forening for Ultralyd-Diagnostikk mener også at det er nødvendig å strukturere og standardisere utdanningen innen ultrasonografi – både for å møte et eksisterende behov, men også for å kvalitetssikre en forventet spredning av billigere og mer mobil ultralydteknologi til nye brukergrupper.

    Et sentralt spørsmål ved innføring av mobilt diagnostisk utstyr er om det leder til flere henvisninger eller om det kan avlaste spesialister og røntgenavdelinger. Data fra vår studie indikerer at behovet for å henvise videre til undersøkelse med en bedre skanner og høyere kompetanse kan ligge på omkring 14 %. Dette anslaget bekreftes av en annen studie, der initial skanning med bærbar ultralyd måtte gjentas med bedre skanner i 12 % av tilfellene (9). Diskusjonen om hvem som skal utføre ultralydundersøkelsen er imidlertid ikke ny (10), men det synes som om behovet for å henvise til et høyere nivå er omvendt proporsjonalt med kompetansenivået. Den viktigste begrensningen med denne bærbare skanneren er liten skjerm, noe som kan gi vanskelige synsforhold. Videre fant vi at vurderinger av parenkymatøse leversykdommer og tarmer gjøres best med en avansert stasjonær skanner.

    Denne pilotstudien har sine klare begrensninger ved et lavt pasientantall og fordi kostnadsaspektene ved mobilultralyd ikke er kvantifisert og vurdert. Likevel vil vi hevde at mobilultralyd i en klinisk avdeling har et betydelig potensial til å fremme tidlig diagnostikk og effektiv pasienthåndtering.

    e-fig 1, e-tab 1 og e-ramme 1 finnes i artikkelen på www.tidsskriftet.no

    Interessekonflikter: Ingen

    Kommentarer  ( 0 )

    Anbefalte artikler