Oslers sykdom er mest kjent som årsak til residiverende blødninger, særlig fra nesen, eller i form av okkult blødning fra tarmen. Vi presenterer en pasient som har denne sykdommen, og som fikk et infarkt i lillehjernen. Utredningen påviste en viktig sammenheng mellom de to tilstandene.
Pasienten. En 50 år gammel mann med Oslers sykdom. Faren og to søsken har samme diagnose. Fra 40 års alder fikk han hyppige, til dels massive, neseblødninger og hadde en rekke opphold ved medisinsk avdeling for blod- og jerntransfusjoner. Ellers var han frisk og spesielt helt uten risikofaktorer for cerebrovaskulær sykdom. Han hadde normalt blodtrykk og gunstig kolesterolprofil, han var ikke-røyker og hadde ingen arvelig belastning med hensyn til hjerte- og karsykdom.
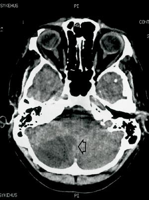
Han ble akutt syk med hodepine, svimmelhet, kvalme og brekninger. Symptomene gikk helt tilbake i løpet av få timer, med unntak av hodepinen, som likevel avtok etter hvert. Ved innleggelse i lokalsykehus samme kveld fant man ingen nevrologiske utfall. Cerebral CT viste imidlertid utvikling av et stort høyresidig lillehjerneinfarkt (fig 1). Det tilkom ikke trykksymptomer. Han ble overflyttet nevrologisk avdeling for videre utredning.
Ved klinisk undersøkelse var det normal nevrologisk status, inklusive skjerpet Rombergs prøve, til tross for at store deler av høyre lillehjernehemisfære var infarsert. Det var ikke kliniske holdepunkter for dyp venetrombose. Blodprøver viste Hb 11,8 g/100 ml, trombocytter 231 · 10⁹/l, SR 7 mm, INR 1,3. Aktiviteten for protein C, S og antitrombin III viste normale verdier, og det ble ikke påvist APC-resistens eller antifosfolipidantistoffer.
Røntgen thorax viste intet sikkert patologisk. CT thorax viste imidlertid svarende til høyre underlapp forstørrede karstrukturer med kraftige tilførende og fraførende kar, forenlig med en stor arteriovenøs fistel med kraftig shunting (fig 2).
Vi oppfattet dette som den mest sannsynlige årsak til pasientens lillehjerneslag. Grunnet den uttalte blødningstendensen ble han ikke gitt antitrombotisk behandling. Han ble henvist til thoraxkirurgisk avdeling, der han seks uker senere ble vellykket behandlet med endovaskulær okklusjon (embolisering) av fistelen.
I ettertid ble det utført cerebral MR-undersøkelse. I basalgangliene så man svakt kontrastladende, stripeformede hyperintense områder, muligens uttrykk for telangiektasier. Det ble ikke sett arteriovenøse malformasjoner, aneurismer eller andre forandringer som disponerer for blødning. Pasienten klaget ved etterkontroll tre måneder etter emboliseringen over hodepine, men hadde ingen nevrologisk funksjonssvikt.
Diskusjon
Osler-Rendu-Webers sykdom (hereditær hemoragisk telangiektasi), mer kjent under betegnelsen Oslers sykdom, som benyttes her, er en systemsykdom med diffus angiodysplasi, kjennetegnet ved telangiektasier og andre karmisdannelser i hud, slimhinner og indre organer (1) – (3). Den nedarves autosomalt dominant, men med betydelig fenotypisk variasjon. Tilstanden er assosiert med mutasjoner i minst to gener, på kromosom 9q3 og 12q. De fleste pasientene får gjentatte neseblødninger i barnealder eller tenårene, mens hudforandringene oftest opptrer utover i andre eller tredje dekade (4, 5). Telangiektasiene finner man særlig i ansiktet, på lepper og tunge, i nesehulen og på hender og føtter. Pasientene kan også ha karmisdannelser i lunger og lever, samt i mage-tarm-kanalen. Blødningsbetinget anemi er vanlig, og noen trenger jerntilskudd og/eller blodtransfusjoner.
Karmisdannelser i hjernen er beskrevet hos 23 % av pasienter med Oslers sykdom der cerebral MR ble gjort som ledd i den initiale utredningen (6). Hos mange opptrer ikke kliniske symptomer, slik at forekomsten kan være underestimert, særlig i eldre studier hvor det ikke er gjort MR. Karmisdannelsene kan være venøse angiomer, kavernøse angiomer og arteriovenøse malformasjoner, ofte multiple (7, 8). Enkelte pasienter kan ha aneurismer som kan forårsake subaraknoidal blødning (9, 10).
Pasienter med Oslers sykdom har overhyppighet av migrene, også aura uten hodepine. I en studie av 58 pasienter med påvist gendefekt, men uten kjent affeksjon av sentralnervesystemet, hadde 50 % migrene med aura (11).
Sentralnervesystemet affiseres imidlertid oftest indirekte, som hos vår pasient, ved at en pulmonal arteriovenøs fistel medvirker til embolier til hjernen (2, 3, 9, 12, 13). Mekanismen er at en embolus oppstår i eller passerer gjennom den arteriovenøse fistelen via venstre atrium og hjertekammer til en av hjernens arterier, der den forårsaker enten infarkt eller et transitorisk iskemisk attakk (TIA) (12, 14). Venøse tromber oppstår ofte under fysiologiske forhold, men blir fanget opp av kapillærnettverket i lungen. Ved en arteriovenøs fistel kan en embolus passere uhindret fra lungearterien til lungevenen, og slik shuntes utenom kapillærnettverket. Det er også beskrevet luftembolier hos pasienter med Oslers sykdom og hemoptyse (15).
Pasienter med Oslers sykdom med lungeaffeksjon kan ha hjerneabscess med eller uten meningitt (16). Trolig skyldes dette at infeksiøst materiale i alveolene kommer over i blodstrømmen i de patologiske kar i den arteriovenøse fistelen, og så fraktes via blodbanen til hjernen.
Sykehistorien viser at røntgenbilder av lungene er viktig i rutineutredning ved hjerneslag. Hos vår pasient ble røntgen thorax først oppfattet som normalt, men etter at CT thorax hadde påvist en fistel, kunne denne også ses på standard røntgen thorax ved grundig gransking av bildene (fig 3).
Konklusjon
Pasienthistorien illustrerer en sjelden årsak til embolisk hjerneinfarkt. Selv om arteriovenøse fistler er sjeldne, er de viktige fordi de på en effektiv måte kan behandles slik at faren for nye hjerneinfarkter reduseres. Man bør vurdere om det kan være patologiske fistler i lungene hos pasienter der man ikke finner annen forklaring på et hjerneinfarkt, særlig der man har mistanke om embolisk genese.
Familiær neseblødning kan skyldes Oslers sykdom
Pasienter med Oslers sykdom kan ha pulmonale arteriovenøse fistler
Slike fistler kan være utgangspunkt for embolier til hjernen
Ved embolisk hjerneinfarkt uten kjente risikofaktorer kan Oslers sykdom være en differensialdiagnose
Interessekonflikter: Ingen
- 1.
Shovlin CL, Guttmacher AE, Buscarini E, Faughnan ME, Hyland RH, Westermann CJJ et al. Diagnostic criteria for hereditary hemorrhagic telangiectasia (Rendu-Osler-Weber syndrome). Am J Med Genet 2000; 91: 66 – 7.
- 2.
Guttmacher AE, Marchuk DA, White RI. Hereditary hemorrhagic telangiectasia. N Engl J Med 1995; 333: 918 – 24.
- 3.
Haitjema T, Westermann CJJ, Overtoom TTC, Timmer R, Disch F, Mauser H et al. Hereditary hemorrhagic telangiectasia (Osler-Weber-Rendu disease): new insights in pathogenesis, complications and treatment. Arch Intern Med 1996; 156: 714 – 9.
- 4.
Plauchu H, de Chadarévian JP, Bideau A, Robert J-M. Age-related clinical profile of hereditary hemorrhagic telangiectasia in an epidemiologically recruited population. Am J Med Genet 1989; 32: 291 – 7.
- 5.
Porteous MEM, Burn J, Proctor SJ. Hereditary hemorrhagic telangiectasia: a clinical analysis. J Med Genet 1992; 29: 527 – 30.
- 6.
Fulbright RK, Chaloupka JC, Putman CM, Sze GK, Merriam MM, Lee GK et al. MR of hereditary hemorrhagic telangiectasia: prevalence and spectrum of cerebrovascular malformations. Am J Neuroradiol 1998; 19: 477 – 84.
- 7.
Putman CM, Chaloupka JC, Fulbright RK, Awad IA, White RI, Fayad PB. Exceptional multiplicity of cerebral arteriovenous malformations associated with hereditary hemorrhagic telangiectasia (Osler-Weber-Rendu syndrome). Am J Neuroradiol 1996; 17: 1733 – 42.
- 8.
Willinsky RA, Lasjaunias P, Terbrugge K, Burrows P. Multiple cerebral arteriovenous malformations (AVMs): review of our experience from 203 patients with cerebral vascular lesions. Neuroradiology 1990; 32: 207 – 10.
- 9.
Román G, Fisher M, Perl DP, Poser CM. Neurological manifestations of hereditary hemorrhagic telangiectasia (Rendu-Osler-Weber disease): report of 2 cases and review of the literature. Ann Neurol 1978; 4: 130 – 44.
- 10.
Grollmus J, Hoff J. Multiple aneurysms associated with Osler-Weber-Rendu disease. Surg Neurol 1973; 1: 91 – 3.
- 11.
Steele JS, Nath PU, Burn J, Porteous MEM. An association between migrainous aura and hereditary haemorrhagic telangiectasia. Headache 1993; 33: 145 – 8.
- 12.
White RI, Lynch-Nyhan A, Terry P, Buescher PC, Farlmett EJ, Charnas L et al. Pulmonary arteriovenous malformations: techniques and long-term outcome of embolotherapy. Radiology 1988; 169: 663 – 9.
- 13.
Pick A, Deschamps C, Stanson AW. Pulmonary arteriovenous fistula: presentation, diagnosis and treatment. World J Surg 1999; 23: 1118 – 22.
- 14.
Sisel RJ, Parker BM, Bahl OP. Cerebral symptoms in pulmonary arteriovenous fistula: a result of paradoxical emboli (?). Circulation 1970; 41: 123 – 8.
- 15.
Petrillo TM, Fortenberry JD, Chambliss R, Nall KC. Radiological case of the month. Arch Pediatr Adolesc Med 2001; 155: 847 – 8.
- 16.
Dong SL, Reynolds SF, Steiner IP. Brain abscess in patients with hereditary hemorrhagic telangiectasia: case report and literature review. J Emerg Med 2001; 20: 247 – 51.