Traumatisk bukveggsbrokk etter stumpt traume er sjeldent hos barn. Små bukveggsdefekter påført ved et lokalisert abdominaltraume, for eksempel et sykkelstyre, er hyppigst, men er rapportert i bare 11 tilfeller (1). Ved denne skademekanismen er skaden oftest begrenset til bukveggen, uten ledsagende skade av intraabdominale organer. Store bukveggsdefekter påført ved høyenergiskade, som i trafikkulykker og ved fall fra store høyder, er hyppig assosiert med intraabdominale skader, og svært få tilfeller er rapportert hos barn (2). Vi presenterer to tilfeller av traumatisk bukveggsbrokk med ledsagende intraabdominale skader hos barn.
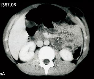
Pasient 1. En tidligere frisk 12 år gammel gutt ble innlagt i lokalsykehus etter en bilkollisjon. På skadetidspunktet lå han sovende i baksetet med setebeltet over abdomen. Ved ankomst i lokalsykehus klaget han over sterke abdominalsmerter. Det var uttalte kontusjonsmerker over et større område av abdomen. CT-undersøkelse viste en stor defekt i fremre bukvegg med herniering av tynntarm (fig 1), diafragmaruptur på venstre side med dislokasjon av milten og venstre nyre til venstre hemithorax samt hemothorax. Pasienten ble overflyttet til Ullevål universitetssykehus, hvor han umiddelbart ble laparotomert. Det ble utført venstresidig nefrektomi, siden nyrestilken var overrevet, sutur av diafragmaruptur og reseksjon av nekrotisk tynn- og tykktarm som følge av krøsskader. En planlagt relaparotomi ble gjennomført påfølgende dag, med ytterligere reseksjon av nekrotisk tynn- og tykktarm, anleggelse av jejunostomi, transversostomi og sigmoideostomi. Bare vel en meter av tynntarmen kunne bevares. Han hadde et komplisert postoperativt forløp og ble respiratorbehandlet i to uker. Fraktur i andre lumbalvirvel ble behandlet med korsett i seks måneder.
Stomiene ble lukket seks uker og tre måneder etter skaden. Han fikk parenteral ernæring i avtrappende doser i fem måneder etter skaden. Knapt to år etter skaden er hans ernæringstilstand tilfredsstillende, men han har ofte noe løsere avføring enn før ulykken. Han er uten tegn til residivbrokk.
Pasient 2. En tidligere frisk åtte år gammel gutt ble innlagt i lokalsykehus etter fall fra tre meters høyde. Ved ankomst i sykehuset klaget han over abdominalsmerter. Ved klinisk undersøkelse fant man en palpabel hevelse i øvre venstre del av abdomen. CT viste en defekt i fremre bukvegg lateralt for rectusmuskulaturen med herniering av tynntarm (fig 2). Laparotomi ble utført gjennom en liten tverrincisjon over den palpable defekten. Brokkinnholdet viste seg å være spontant reponert. Det ble ikke påvist intraabdominal skade. Påfølgende dag ble den kliniske tilstanden betydelig forverret, og han utviklet peritonitt. Han ble overflyttet til Ullevål universitetssykehus. Ved relaparotomi fant man to liter gallefarget væske i buken og en perforasjon av jejunum like ved det Treitzske ligament. Postoperativt utviklet han akutt lungesvikt og ble respiratorbehandlet i en uke. Etter ekstubering hadde han en episode med transfusjonstrengende gastrointestinal blødning. Han ble overflyttet til lokalsykehus to uker etter skaden. Han ble operert for ileus etter tre uker, men kom seg raskt etter dette, og det er ikke påvist tegn til residivbrokk seks måneder etter skaden.
Diskusjon
Begge våre pasienter hadde traumatiske bukveggsbrokk påført ved høyenergiskade. Brokkene var assosiert med intraabdominale skader som krevde operativ behandling. Hos den første pasienten hadde setebeltet forårsaket et betydelig traume mot bukveggen. Han hadde dessuten store intraabdominale skader og et brudd i andre lumbalvirvel. Allerede i 1962 beskrev Garrett & Braunstein et karakteristisk skademønster med fraktur i lumbalcolumna med samtidig skade av intraabdominale organer etter bruk av topunkts setebelte ved bilulykker (3). De kalte dette skademønsteret, som vår første pasient faller inn under, «the seat belt syndrome». Imidlertid er svært få tilfeller av slikt syndrom med samtidig bukveggsbrokk beskrevet hos barn (4).
Den andre pasienten hadde et traumatisk bukveggsbrokk i venstre øvre kvadrant etter fallskade. Traumatisk bukveggsbrokk har en tendens til å oppstå på anatomisk svake punkter i bukveggen, som i lysken eller i nedre abdominalhalvdel lateralt for rectusmuskulaturen (5). De er svært sjelden lokalisert supraumbilikalt og er da oftere ledsaget av intraabdominale skader (6), som hos pasient 2.
Begge våre pasienter ble undersøkt med CT, som tydelig viste bukveggsdefektene (fig 1, fig 2). CT er en god undersøkelsesmetode for å vurdere intraabdominal parenkymskade hos hemodynamisk stabile pasienter som har vært utsatt for stumpe abdominaltraumer, og er den beste radiologiske undersøkelse for å påvise traumatiske bukveggsbrokk (7). CT-undersøkelse gir en nøyaktig avgrensning av defekten og kan identifisere brokkinholdet. Det er her viktig å minne om at kort tid etter skaden kan en hulorganskade være vanskelig å diagnostisere så vel klinisk som ved CT.
Traumatisk bukveggsbrokk bør behandles med umiddelbar kirurgisk eksplorasjon av bukveggsdefekten og brokkplastikk hos både barn og voksne (5, 8). Med bakgrunn i høy forekomst av assosierte intraabdominale skader ved bukveggsbrokk forårsaket av høyenergitraumer vil eksplorativ laparotomi være indisert hos flertallet i denne pasientgruppen.
Brokkresidiv er beskrevet etter operasjon av traumatisk bukveggsbrokk. Eksisjon av devitalisert vev samt anatomisk lukking av bukveggsstrukturene anbefales for å unngå residiv (9). Tarmperforasjon er anført som en absolutt kontraindikasjon for å utføre nettplastikk, på grunn av høy infeksjonsrisiko (10).
Hvis man påviser et traumatisk bukveggsbrokk ved klinisk undersøkelse eller ved CT-undersøkelse, er kjennskap til skademekanismen viktig i den videre behandling av pasienten. Kirurger må være klar over at pasienter med traumatiske bukveggsbrokk påført ved høyenergiskade har høy forekomst av intraabdominale skader som trenger operativ behandling.
Traumatisk bukveggsbrokk forårsaket av stumpt traume er sjeldent
Pasienter med bukveggsbrokk påført ved høyenergiskade har høy forekomst av ledsagende intraabdominale skader som krever rask operativ behandling
- 1.
Kubota A, Shono J, Yonekura T, Hoki M, Asano S, Hirooka S et al. Handlebar hernia: case report and review of pediatric cases. Pediatr Surg Int 1999; 15: 411– 2.
- 2.
Levine JL, Faries PL, Weinberg G. Seat belt injury presenting as bilateral abdominal wall herniations in a child. Pediatr Emerg Care 1998; 14: 352 – 3.
- 3.
Garrett JW, Braunstein PW. The seat belt syndrome. J Trauma 1962; 2: 220 – 38.
- 4.
Beaunoyer M, St-Vil D, Lallier M, Blanchard H. Abdominal injuries associated with thoraco-lumbar fractures after motor vehicle collision. J Pediatr Surg 2001; 36: 760 – 2.
- 5.
Wood RJ, Ney AL, Bubrick MP. Traumatic abdominal hernia: a case report and review of the literature. Am Surg 1988; 54: 648 – 51.
- 6.
Gill IS, Toursarkissian B, Johnson SB, Kearney PA. Traumatic ventral abdominal hernia associated with small bowel gangrene: case report. J Trauma 1993; 35: 145 – 7.
- 7.
Wechsler RJ, Kurtz AB, Needleman L, Dick BW, Feld RI, Hilpert PL et al. Cross-sectional imaging of abdominal wall hernias. AJR Am J Roentgenol 1989; 153: 517 – 21.
- 8.
Drago SP, Nuzzo M, Grassi GB. Traumatic ventral hernia: report of a case, with special reference to surgical treatment. Surg Today 1999; 29: 1111 – 4.
- 9.
Payne DD, Resnicoff SA, States JD, Williams JS. Seat belt abdominal wall muscular avulsion. J Trauma 1973; 13: 262 – 7.
- 10.
Brenneman FD, Boulanger BR, Antonyshyn O. Surgical management of abdominal wall disruption after blunt trauma. J Trauma 1995; 39: 539 – 44.