Background.
Atherosclerotic plaques with a large, lipid-rich core and a thin fibrous cap may be unstable and are more strongly associated with clinical events than other plaques. This article discusses how ultrasound examination of the carotid arteries may be used to assess morphological aspects of the carotid stenosis and to predict future stroke.
Material and methods.
Review of the literature and results from the author’s own research.
Results.
Ultrasound assessment of plaque morphology is based on echogenicity, defined as reflectance of the emitted ultrasound signal. Plaques that reflect little of the emitted ultrasound are classified as echolucent, while plaques that reflect much are called echogenic. Morphologic assessments of plaque have good reproducibility and validity. Echolucent plaques have large, lipid-rich cores, while echogenic plaques have higher content of dense fibrous tissue and/or calcification. Several studies have shown that carotid plaque echolucency is a significant, independent and strong risk factor for stroke.
Interpretation.
Patients with echolucent carotid plaques have higher risk of stroke compared to others with the same degree of stenosis. Ultrasound assessment of plaque morphology is reproducible and valid and can offer valuable information in the risk assessment of individuals.
Carotisstenose forårsaket av aterosklerotisk plakk med opphopning av lipider, bindevev og kalk i blodåreveggen er en viktig årsak til hjerneslag og død. To store randomiserte multisenterundersøkelser har vist positiv effekt av kirurgisk behandling av høygradige, men ikke lavgradige carotisstenoser, og har dermed vist at stenosegrad er en vesentlig risikofaktor for hjerneslag (1, 2). Det er imidlertid velkjent at noen høygradige stenoser er stabile og aldri forårsaker symptomer, mens andre utvikler seg raskt og fører til TIA, hjerneslag og/eller død. Fra studier av koronar hjertesykdom vet man at plakk med høyt innhold av lipider og med tynn fibrøs kapsel er spesielt utsatt for å rumpere og dermed forårsake kliniske hendelser (3). Både patologisk-anatomiske studier og ultralydbaserte undersøkelser har vist at plakkmorfologi i carotis er assosiert med kliniske hendelser (4). Ultralydundersøkelse er en velegnet ikke-invasiv metode for å undersøke plakkmorfologi in vivo.
Målet for denne artikkelen er å gi en oversikt over morfologiske trekk ved carotisstenose som lar seg bedømme ved ultralydundersøkelse og som er forbundet med økt risiko for hjerneslag. Mulige implikasjoner for behandling vil også kort bli diskutert.
Materiale og metode
Artikkelen baserer seg dels på egne studier, dels på gjennomgang av litteratur ved søk i databasene Medline og Embase frem til 1.6. 2002 (søkeord carotid, ultrasonography, stenosis, plaque, morphology og echogenicity i ulike kombinasjoner), samt gjennomgang av referanselister i utvalgte artikler.
Ultralyddiagnostikk av plakkmorfologi
Med moderne ultralyddiagnostikk er bedømmelse av så vel karlumen som karveggen mulig. Dupleksapparater kombinerer hastighetsmålinger (doppler) og bildefremstilling. Ultralydbølger sendes inn i vevet fra en transduser som består av en kombinert sender- og mottakerdel. En del av de utsendte ultralydbølgene vil bli absorbert, en del reflekteres tilbake og mottas av transduseren. Den reflekterte ultralyden – ekkoet – konverteres via en datamaskin til elektriske signaler som prosesseres til et todimensjonalt gråtoneskalabilde. Mengden reflektert energi er avhengig av forskjellen i akustisk impedans mellom ulike vevstyper. Akustisk impedans defineres som produktet av vevstetthet og lydhastigheten. Jo høyere forskjellen i tetthet er mellom ulike vevstyper, jo mer energi vil bli reflektert og desto lysere eller hvitere blir signalet på et gråtoneskalabilde.
Blodceller i bevegelse gir svært lite ekko, og et sirkulert karlumen ser svart ut på ultralydbildet. Blod brukes derfor som referansestruktur for å definere lavekkogenisitet, mens media-adventitia-overgangen er en høyekkogen sone og brukes som referanse for å definere høyekkogenisitet (5).
I forskning brukes måling av intima-media-tykkelse, plakkforekomst og plakktykkelse som markører på koronar aterosklerose og som surrogate endepunkter for kliniske hendelser (6). Det er positiv korrelasjon mellom intima-media-tykkelse og plakkforekomst i carotis og koronar aterosklerose. Ultralydundersøkelse av stenosegrad og plakkmorfologi ved carotisstenose brukes både i studiesammenheng og i klinisk sammenheng.
Klassifikasjon av plakkekkogenisitet
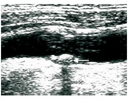
Forskjellige måter å klassifisere plakkekkogenisitet på er i bruk, og begrepsbruken er til dels forvirrende. Mange klassifiserer plakkekkogenisitet i fire kategorier (i engelsk litteratur kalt echolucent, predominantly echolucent, predominantly echogenic og echogenic) (5, 7) – (9), hvor kategori 1 er plakk med ren lavekkogen struktur (fig 1) og kategori 4 er plakk med høyekkogen struktur (fig 2). Noen bruker tre kategorier og andre benevnelser (10) – (12). Andre klassifiserer plakk som heterogene eller homogene, hvor heterogen brukes for å beskrive plakk av blandet ekkogenisitet med varierende innhold av lavekkogene soner, mens begrepet homogen beskriver plakk med middels eller høy plakkekkogenisitet (13, 14). Imidlertid kan begrepet homogent også brukes for å beskrive et plakk med jevn ekkostruktur, dvs. at et homogent plakk kan være både lavekkogent og høyekkogent (5, 10).
Validering av plakkmorfologi
Validering av ultralydundersøkelse av plakk er blitt gjort i flere studier (7, 12, 13, 15, 16). Wolverson og medarbeidere beskrev i 1983 at plakk med stor, lipidrik kjerne var lavekkogene, mens områder med fibrose og kalk gav mye ekko (15), og de samme funnene er senere bekreftet av andre.
Forekomst av blødning i plakk er omdiskutert, dette gjelder så vel hyppighet som størrelse og klinisk relevans (4). I noen studier var blødning i symptomatiske plakk hyppig og kunne sees som lavekkogene soner (7, 13). Imidlertid har kvantitative studier av plakkinnhold vist at blødning vanligvis ikke utgjør mer enn 1 – 2 % av totalt plakkvolum, noe som gjør det mindre sannsynlig at blødninger kan oppdages på en reliabel måte ved ultralydundersøkelse (16). Flere senere studier har ikke vist sikker korrelasjon mellom blødning i plakk og kliniske symptomer.
Ferske, uorganiserte tromber er lavekkogene strukturer som kan være vanskelige å skille fra lipidrike plakk. De mangler imidlertid fibrøs kapsel. Fargedoppler brukes til å skille et lavekkogent plakk eller en trombe fra karlumen.
Reproduserbarhet av plakkekkogenisitetsundersøkelser
Reproduserbarheten av plakkekkogenisitetsmålinger er akseptabel (5, 8, 9, 11). Reproduserbarhet av gjentatte målinger av kategoriske variabler vurderes ofte ved bruk av kappastatistikk. Kappa uttrykker grad av enighet utover det man kan forvente ved tilfeldighet, og kan ha verdier mellom – 1 (komplett uenighet) og + 1 (komplett enighet). 0 – 0,40 kategoriseres ofte som lett eller liten grad av enighet, mens verdier over 0,40 er bra eller akseptabelt og verdier over 0,75 – 0,80 er utmerket eller nærmest perfekt. I de fleste studier er kappaverdiene mellom 0,40 og 0,80.
Risikofaktorer for plakkekkogenisitet
Det er viktig å undersøke hvilke risikofaktorer som er assosiert med plakkekkogenisitet for om mulig å finne faktorer som lar seg påvirke i mer gunstig retning. Det er forholdsvis lite som er publisert om risikofaktorer for plakkekkogenisitet.
Lavekkogene plakk er vanligere hos menn enn hos kvinner (10, 17). Lavt HDL-kolesterolnivå og høyt blodtrykk var i en studie assosiert med lav plakkekkogenisitet (18). I en annen studie var lavekkogene plakk assosiert med økt nivå av triglyserider (19).
Ulcerasjon
Ulcerasjon av plakkoverflaten antas å være av viktig patogenetisk betydning fordi trombogene vevsstrukturer dermed eksponeres for blodstrømmen med trombose og emboli som resultat. I European Carotid Surgery Trial (ECST) var carotisstenoser med irregulær overflate, bedømt ved angiografi, forbundet med økt risiko for hjerneslag (20). Ved angiografi sees ulcerasjon som et kontrastfylt krater eller innbuking i plakkoverflaten. Ved ultralyd kan ulcerasjon fremstå som en irregulær overflate eller et tydelig brudd i plakkoverflaten. Korrelasjonen mellom histologisk bedømt ulcerasjon og ulcerasjon bedømt ved ultralyd eller angiografi er imidlertid lav, og det finnes ingen standardisert måte å bedømme ulcerasjon på, verken ved ultralydundersøkelse, angiografi eller patologiske undersøkelser (4). Evnen til å oppdage ulcerasjon både ved ultralyd og ved angiografi er avhengig av stenosegrad og er lav ved høygradige stenoser.
Klinisk relevans av plakkekkogenisitet
Plakkekkogenisitet som risikofaktor for hjerneslag
I 1985 rapporterte Johnson og medarbeidere at personer med carotisstenose forårsaket av lavekkogene plakk hadde høyere risiko for å få hjerneslag enn personer med høyekkogene plakk (21).
Flere senere rapporter har bekreftet disse funnene, de fleste tverrsnittsstudier med selekterte pasientgrupper (8), men også longitudinelle kliniske undersøkelser (14, 22).
Populasjonsbaserte studier er velegnet til å undersøke den naturlige sykdomsutvikling relatert til plakkmorfologi. To slike studier foreligger.
I Tromsø-undersøkelsen ble risiko for cerebrovaskulære episoder (definert som hjerneslag, TIA eller amaurosis fugax) undersøkt prospektivt hos 223 personer med stenose ³ 35 % og 215 kontrollpersoner uten stenose. Etter tre år hadde 30 % av dem med lavekkogene plakk hatt en eller flere episoder, mot 9,5 % med høyekkogene plakk og 3 % av kontrollpersonene (9).
Den relative risikoen for cerebrovaskulære hendelser hos personer med lavekkogene plakk var 4,43 (95 % konfidensintervall (KI) 1,11 – 17,67, justert for stenosegrad, alder og kjønn), og det var en signifikant lineær trend for høyere risiko jo mer lavekkogene plakkene var. I Cardiovascular Health Study ble en kohort på 4 886 personer ³ 65 år fulgt i tre år. Den justerte relative risikoen for ipsilateralt hjerneslag for lavekkogene plakk var 2,78 (95 % KI 1,36 – 5,69) sammenliknet med høyekkogene plakk (11).
Datamaskinbasert klassifikasjon av plakkekkogenisitet
Flere laboratorier har tatt i bruk kvantitative analyser av plakkekkogenisitet basert på digitaliserte gråtoneskalabilder. Dette innebærer mer objektiv karakteristikk av plakk og burde kunne fjerne noe av unøyaktigheten som er knyttet til subjektiv bedømmelse av plakkekkogenisitet. Grønholdt og medarbeidere brukte dataanalyse av plakkekkogenisitet i en prospektiv studie av 135 symptomatiske pasienter, og fant at aldersjustert relativ risiko for fremtidig iskemisk hjerneslag ved lavekkogene plakk var 3,1 (95 % KI 1,3 – 7,3) (23).
Konsekvenser for behandling
Så langt finnes det ingen studier som har vist at én bestemt behandlingsform er å foretrekke ved lavekkogene plakk. Behandling med pravastatin i tre måneder før endarterektomi hos symptomatiske pasienter medførte redusert lipidinnhold, redusert inflammasjon og økt innhold av kollagen i plakkene (24). En fersk studie har gitt holdepunkter for at lavekkogene plakk kan endres til å bli mer høyekkogene ved medikamentell behandling med kollagensyntesemodulator (25). Endarterektomi er et aktuelt alternativ, spesielt ettersom endarterektomi ser ut til å ha størst nytteverdi nettopp hos dem som har høyest risiko for kliniske hendelser.
I dag er vurdering av stenosegrad ved hjelp av dopplerhastighetsmålinger rutine ved norske ultralydlaboratorier, mens vurdering av plakkmorfologi ikke er i rutinemessig bruk. Nødvendig apparatur (dupleksapparater) som muliggjør bedømmelse av plakkstrukturen er imidlertid tilgjengelig ved de fleste laboratorier. Ultralydundersøkelse av plakkmorfologi vil kunne være et verdifullt supplement når risiko skal vurderes hos den enkelte pasient.
Konklusjon
Morfologisk bedømmelse av carotisstenose ved hjelp av ultralydundersøkelse lar seg gjøre på en reproduserbar og valid måte. Lavekkogene plakk har relativt høyt innhold av lipider og tynn, fibrøs kapsel. Pasienter med lavekkogene stenotiske plakk i carotis har høyere risiko for hjerneslag enn andre pasienter med samme stenosegrad. Disse pasientene bør derfor følges godt opp med forebyggende behandling og sanering av risikofaktorer.
Ultralydundersøkelse er velegnet til å bedømme morfologiske trekk ved aterosklerotiske plakk i carotisarteriene in vivo
Plakk som reflekterer lite ultralyd kalles lavekkogene, mens plakk som reflekterer mye ultralyd kalles høyekkogene
Lavekkogene plakk har høyt lipidinnhold, mens høyekkogene plakk har forholdsvis høyere innhold av tett, fibrøst bindevev og ev. kalk
Personer med carotisstenose forårsaket av lavekkogene plakk har høyere risiko for hjerneslag enn personer med høyekkogene plakk, uavhengig av stenosegrad og andre risikofaktorer
- 1.
NASCET Investigators. Clinical alert: benefit of carotid endarterectomy for patients with high-grade stenosis of the internal carotid artery. Stroke 1991; 22: 816 – 7.
- 2.
European Carotid Surgery Trialists’ Collaborative Group. MRC European Carotid Surgery Trial: interim results for symptomatic patients with severe (70 – 99 %) or with mild (0 – 29 %) carotid stenosis. Lancet 1991; 337: 1235 – 43.
- 3.
Falk E, Shah PK, Fuster V. Coronary plaque disruption. Circulation 1995; 92: 657 – 71.
- 4.
Grønholdt M-LM. Ultrasound and lipoproteins as predictors of lipid-rich, rupture-prone plaques in the carotid artery. Arterioscler Thromb Vasc Biol 1999; 19: 2 – 13.
- 5.
Joakimsen O, Bønaa KH, Stensland-Bugge E. Reproducibility of ultrasound assessment of carotid plaque occurrence, thickness, and morphology. The Tromsø Study. Stroke 1997; 28: 2201 – 7.
- 6.
Stensland-Bugge E, Bønaa KH, Joakimsen O, Njølstad I. Sex differences in the relationship of risk factors to subclinical carotid atherosclerosis measured 15 years later. The Tromsø Study. Stroke 2000; 31: 574 – 81.
- 7.
Gray-Weale AC, Graham JC, Burnett JR, Byrne K, Lusby RJ. Carotid artery atheroma: Comparison of preoperative B-mode ultrasound appearance with carotid endarterectomy specimen pathology. J Cardiovasc Surg 1988; 29: 676 – 81.
- 8.
Geroulakos G, Ramaswami G, Nicolaides A, James K, Labropoulos N, Belcaro G et al. Characterization of symptomatic and asymptomatic carotid plaques using high-resolution real-time ultrasonography. Br J Surg 1993; 80: 1274 – 7.
- 9.
Mathiesen EB, Bønaa KH, Joakimsen O. Echolucent plaques are associated with high risk of ischemic cerebrovascular events in carotid stenosis. The Tromsø Study. Circulation 2001; 103: 2171 – 5.
- 10.
European Carotid Plaque Study Group. Carotid artery plaque composition – relationship to clinical presentation and ultrasound B-mode imaging. Eur J Vasc Endovasc Surg 1995; 10: 23 – 30.
- 11.
Polak JF, Shemanski L, O’Leary D, Lefkowitz DS, Price TR, Savage PJ et al. Hypoechoic plaque at US of the carotid artery: an independent risk factor for incident stroke in adults aged 65 years or older. Radiology 1998; 208: 649 – 54.
- 12.
Grønholdt M-LM, Wiebe BM, Laursen H, Nielsen TG, Schroeder TV, Sillesen H. Lipid-rich carotid artery plaques appear echolucent on ultrasound B-mode images and may be associated with intraplaque haemorrhage. Eur J Vasc Surg 1997; 14: 439 – 45.
- 13.
Reilly LM, Lusby RJ, Hughes L, Ferrell LD, Stoney RJ, Ehrenfeld WK. Carotid plaque histology using real-time ultrasonography. Am J Surg 1983; 146: 188 – 93.
- 14.
Sterpetti AV, Schultz RD, Feldhaus RJ, Davenport KL, Richardson M, Farina C et al. Ultrasonographic features of carotid plaque and the risk of subsequent neurologic deficits. Surgery 1988; 104: 652 – 60.
- 15.
Wolverson MK, Bashiti HM, Peterson GJ. Ultrasonic tissue characterization of atheromatous plaques using a high resolution real time scanner. Ultrasound Med Biol 1983; 9: 599 – 609.
- 16.
Feeley TM, Leen EJ, Colgan MP, Moore DJ, Hourihane DO, Shanik GD. Histologic characteritics of carotid artery plaque. J Vasc Surg 1991; 13: 719 – 24.
- 17.
Joakimsen O, Bønaa KH, Stensland-Bugge E, Jacobsen BK. Age and sex differences in the distribution and ultrasound morphology of carotid atherosclerosis. The Tromsø Study. Arterioscler Thromb Vasc Biol 1999; 19: 3007 – 13.
- 18.
Mathiesen EB, Bønaa KH, Joakimsen O. Low high-density lipoprotein is associated with echolucent, soft carotid artery plaques. The Tromsø Study. Stroke 2001; 32: 1960 – 5.
- 19.
Grønholdt M-LM, Nordestgaard B, Nielsen T, Sillesen HH. Echolucent carotid artery plaques are associated with elevated levels of fasting and postprandial triglyceride-rich lipoproteins. Stroke 1996; 27: 2166 – 72.
- 20.
Rothwell PM, Gibson R, Warlow CP. Interrelation between plaque surface morphology and degree of stenosis on carotid angiograms and the risk of ischemic stroke in patients with symptomatic carotid stenosis. Stroke 2000; 31: 615 – 21.
- 21.
Johnson JM, Kennelly MM, Descare D, Morgan S, Sparrow A. Natural history of asymptomatic carotid plaque. Arch Surg 1985; 120: 1010 – 2.
- 22.
Langsfeld M, Gray-Weale AC, Lusby RJ. The role of plaque morphology and diameter reduction in the development of new symptoms in asymptomatic carotid arteries. J Vasc Surg 1989; 9: 548 – 57.
- 23.
Grønholdt M-LM, Nordestgaard BG, Schroeder TV, Vorstrup S, Sillesen H. Ultrasonic echolucent carotid plaques predict future strokes. Circulation 2001; 104: 68 – 73.
- 24.
Crisby M, Nordin-Fredriksson G, Shah PK, Yano J, Zhu J, Nilsson J. Pravastatin treatment increases collagen content and decreases lipid content, inflammation, metalloproteinases, and cell death in human carotid plaques. Implications for plaque stabilization. Circulation 2001; 103: 926 – 33.
- 25.
Cesarone MR, Belcaro G, Nicolaides AN, Geroulakos G, Bucci M, Dugall M et al. Increase in echogenicity of echolucent plaques after treatment with total triterpenic fraction of Centella asiatica: a prospective, placebo-controlled, randomized trial. Angiology 2001; 52: S19 – S25.