Dyspné hos pasienter har ofte sammenheng med langtkommen hjertesvikt og alvorlig lungesykdom. Hos disse pasientene bør man imidlertid vurdere andre årsaker til deres dyspné, særlig hvis den er hovedsymptomet. Det er viktig at tilstander som kan kureres ikke blir oversett.
Trakeal stenose er en slik tilstand. Den oppstår som en følgetilstand etter et traume, enten ved intubasjon eller ekstern skademekanisme, inkludert trakeostomi. Behandlingsresultatene er gode, og det er derfor viktig å tenke på denne tilstanden hos pasienter som tidligere har gjennomgått narkose. Vi ønsker å synliggjøre dette ved å presentere to pasienter fra medisinsk avdeling ved Sentralsjukehuset Førde.
Begge pasienter kom til avdelingen med sterkt utpreget funksjonsdyspné og redusert allmenntilstand. Før innleggelsen hadde de vært utredet og delvis behandlet over lengre tid for hjertesykdom og kronisk obstruktiv lungesykdom. Begge var uføretrygdet på grunn av sin lidelse.
Pasient 1. En 63 år gammel gårdbrukerkone med dyspepsi gjennom flere år, fikk i 1984 påvist reflukssykdom og hiatushernie. Hun ønsket operasjon pga. liten effekt av medikamenter, og ble operert i generell anestesi i oktober samme år med funduplikasjon ad modum Nissen. Operasjonen forløp ukomplisert, men etter operasjonen syntes hun at det var noe som hindret maten i å passere. Røntgen av oesophagus og ventrikkel gav ikke holdepunkt for passasjehinder. Hennes plager ble derfor relatert til forbigående hevelse i svelg og spiserør. Året etter var hun til poliklinisk kontroll. Hun hadde da ingen dysfagi, men angav ubehag i venstre hemithorax, og at hun lett ble andpusten. Gastroskopisk undersøkelse var normal. Røntgen oesophagus viste som bifunn venstresidig diafragmaparese. Man antok at dette kunne forklare hennes dyspné, men hun ble likevel henvist til indremedisiner. Spirometri ble utført, og viste funksjonsnedsettelse. Den ble relatert til hennes ensidige diafragmaparese.
På dette tidspunktet hadde pasienten anstrengelsesrelatert dyspné og klarte ikke lenger å gjøre gårdsarbeid. Hun og hennes mann var i ferd med å selge gården. Pasienten ble oppfordret til å søke uføretrygd.
Åtte år senere ble hun på ny henvist til lungespesialist. Hun hadde da en nesten invalidiserende funksjonsdyspné kombinert med inspiratorisk stridor. Hun ble utredet med tanke på hjertesvikt med blant annet arbeids-EKG, som viste normale verdier. Det ble tatt en ny spirometri som viste ytterligere reduserte verdier sammenholdt med tidligere undersøkelse. På bakgrunn av dette funnet ble røntgen trachea rekvirert. Der ble det påvist en innsnevring av trakeallumen. Ved bronkoskopi så man en konsentrisk stenose proksimalt i trachea som ikke lot seg passere med skopet. Makroskopisk utseende tydet på gamle arrforandringer, forenlig med sekvele etter intubasjon. Malignitet ble utelukket ved magnetisk resonanstomografi (MR). Det ble utført trakeal reseksjon med godt resultat. Ved kontroll to år etter inngrepet pustet pasienten helt normalt og ønsket ikke videre kontroll.
Pasient 2. En 58 år gammel kvinne ble i oktober 1999 innlagt i medisinsk avdeling på grunn av astma, som vanskelig lot seg behandle. Hennes symptomer var tung pust og følelse av tranghet i brystet. I anamnesen kom det frem at hun våren 1994 var blitt operert i generell anestesi med ileocøkal reseksjon på grunn av Crohns sykdom. Det postoperative forløpet hadde vært uproblematisk Noen måneder etter, i juli 1994, oppsøkte hun primærlege på grunn av slapphet og anstrengelsesdyspné. Primærlegen mistenkte mitralinsuffisiens. Hun ble henvist direkte til et regionsykehus, hvor hun i 1995 ble operert for en anomali hvor en av koronararteriene utgikk fra pulmonalis.
I 1998 kom pasienten til medisinsk poliklinikk til kontroll for Crohns sykdom. Hun hadde da få problemer med sin grunnsykdom, men var blitt mye verre i pusten. Hun hadde blitt uføretrygdet på grunn av dette samme år. Primærlege hadde antydet at hun kunne ha en kronisk obstruktiv lungesykdom. Inhalasjonssteroider og beta-2-agonister hadde ikke hjulpet.
I oktober 1999 ble hun henvist til medisinsk poliklinikk på grunn av tiltakende pustebesvær. Hun fortalte da at hun syntes at plagene hadde startet etter hjerteoperasjonen. Respirasjonen var nå blitt hvesende med inspiratorisk stridor. Røntgen thorax var normalt. Spirometri viste ingen holdepunkter for kronisk obstruktiv lungesykdom, men følgende funn ble gjort: Forsert vitalkapasitet (FVC) var redusert til 1,86 l, tilsvarende 71 % av referanseverdi på 2,62 l. Forholdet mellom forsert ekspiratorisk volum per sekund (FEV₁) og FVC (Tiffeneau-verdi) var forhøyet til 91 % mot referanse 78 %. Ekspiratorisk toppstrømshastighet (peak expiratory flow, PEF) var 2,19 l/sek, noe som utgjorde 37 % av referanseverdi på 5,88 l. FEV₁ var 1,69 l , 76 % av referanseverdien på 2,22 l . Hastighet-volum-kurven var tydelig endret i forhold til friske mennesker (fig1).
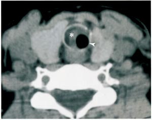
På bakgrunn av resultatene fra spirometrien ble det utført computertomografi (CT) av trachea, og det ble påvist en 2 cm lang stenose (fig 2). Bronkoskopi viste uttalt subglottisk trakeal stenose med kun en liten rund åpning baktil medialt. Funnet var forenlig med sekvele etter tidligere gjennomgått intubasjon. Makroskopisk forelå det ingen tumormistanke, og biopsi ble ikke tatt. Endoskopisk laserterapi ble utført, og pasienten opplevde betydelig bedring av sine plager.
Diskusjon
Begge pasienter utviklet anstrengelsesrelatert dyspné og redusert allmenntilstand kort tid etter en gjennomgått operasjon i narkose. Hos pasient 1 ble det kliniske bildet komplisert av en venstresidig diafragmaparese. Det ble antatt at den var årsaken til hennes symptomer, selv om en ensidig diafragmaparese vanligvis ikke fører til subjektiv dyspné. Dyspneen progredierte hos begge pasienter, og de utviklet hviledyspné. Mistanken om trakeal stenose ble først vakt etter at opplysningene fra anamnesen ble sammenholdt med funnet ved spirometri. Hos pasient 2 var PEF-kapasiteten betydelig nedsatt, mens hennes FEV₁ kun var redusert i mindre grad. Tiffeneau-verdien indikerte høy motstand i luftveiene.
Funn på spirometri ved obstruksjon av trachea. Følgende spirometriske funn kan tyde på at det foreligger innsnevring av trachea (1):
Større påvirkning av inspiratoriske enn ekspiratoriske parametere: Forsert inspiratorisk volum (FIV₁) er betydelig mer redusert enn (FEV₁).
Kraftig reduksjon av PEF. Av de enkleste testene er PEF den mest sensitive, men den vil heller ikke være påvirket før diameteren i tracheas lumen er redusert til mindre enn 10 mm.
Uventet høy motstand i luftveiene, særlig sett i sammenheng med at FEV₁ er relativt normal. Dette er fordi økt motstand i luftveiene gir den største reduksjonen av luftstrøm der hvor toppstrøm er avhengig av aktiv egeninnsats fra pasienten. Det vil si ved maksimal inspiratorisk luftstrøm når det gjelder vitalkapasiteten, og for ekspiratorisk toppstrømshastighet når det gjelder lungevolum større enn vitalkapasiteten.
Ved trakeal obstruksjon viser hastighet-volum-kurven et tilnærmet platå av ekspiratorisk toppstrømshastighet i den tidlige delen av ekspirasjonen (fig 2), i motsetning til den fallende kurven man ser hos friske mennesker (fig 1).
Den hyppigste årsaken til trakeal stenose er traumatisk. Skaden oppstår ved intubasjon eller av ekstern skademekanisme i form av stumpt traume eller trakeostomi. Intubasjonsskaden består ofte av multiple små lesjoner som kan affisere både glottis, subglottis og trachea (2). Stenose etter intubasjon er den hyppigste indikasjonen for trakeal reseksjon og rekonstruksjon (3). Trass i at man er blitt klar over årsakssammenhengen og har satt i gang forebyggende tiltak, som bruk av lavtrykksluftmansjett (cuff) (4, 5) rapporteres det fremdeles om slike skader. Årsaken antas å være at mansjetter, laget av et materiale som ikke er elastisk, blåses opp for mye. Andrews & Pearson (5) beskriver hvordan trykket fra en hyperinflatert mansjett fører til lokale iskemiske forandringer i slimhinnen. Dette kan gi ulcerasjon av mucosa og påfølgende nekrose. Dermed skjer det også en destruksjon av underliggende brusk. Tilheling via arrdanning fører til innsnevring av lumen. Høye doser av steroider blir nevnt som predisponerende faktor. Mekanismen her synes å være endret inflammatorisk respons med større risiko for nekrose og infeksjon. Ingen av våre pasienter brukte steroider da de ble operert.
Trakeal stenose kan behandles på flere måter. Segmental trakeal reseksjon synes å være den mest anerkjente metoden (3, 6), men man har også oppnådd gode resultater ved bruk av laser og stenting i selekterte tilfeller (7, 8). Eksakt diagnose kan være vanskelig å stille initialt. Betydelig dyspné bør alltid utredes systematisk. Dette er særlig viktig ved rask progrediering og dersom pasienten har gjennomgått narkose. Primært bør røntgen thorax utføres. Deretter anbefaler vi spirometri. Spirometri er en enkel, forholdsvis rimelig og ikke-invasiv undersøkelse, som kan gi viktig informasjon om årsaken til plagene. Røntgen trachea viste seg også å være svært verdifullt i denne sammenheng, og verifiserte diagnosen hos den første pasienten. Også bronkoskopi hører med i utredningen. Da har man muligheten til å ta biopsier for å utelukke malignitet. Hos pasienter med tiltakende dyspné som tidsmessig er oppstått i relasjon til operasjon utført i generell anestesi, bør man tenke på trakeal stenose som tilgrunnliggende årsak. Trakeal stenose kan behandles med godt resultat (3), og dette vil forbedre pasientens livskvalitet betydelig.
- 1.
Gibson GJ. Clinical tests of respiratory function. New York: Raven Press, 1984: 176 – 85.
- 2.
Gavilan J, Cerdeira M, Toledano A. Surgical treatment of laryngotracheal stenosis; a review of 60 cases. Ann Otol Rhinol Laryngol 1998; 107: 588 – 92.
- 3.
Grillo HC, Donahue DM, Mathisen DJ. Postintubation tracheal stenosis – treatment and results. J Thorac Cardiovasc Surg 1995; 109: 486 – 93.
- 4.
Grillo HC, Cooper JD, Geffin B, Pontoppidan H. A low pressure cuff for tracheostomy tubes to minimise tracheal injury: a comparative clinical trial. J Thorac Cardiovasc Surg 1971; 62: 898 – 907.
- 5.
Andrews MJ, Pearson FG. Incidence and pathogenesis of tracheal injury following cuffed tube tracheostomy with assisted ventilation. Ann Surg 1971; 173: 249 – 63.
- 6.
Bisson A, Bonnette P, El Kadi B. Tracheal sleeve resection for iatrogenic stenoses (subglottic, laryngeal and trakeal). J Thorac Cardiovasv Surg 1993; 104: 882 – 7.
- 7.
Personne C, Colchen A, Leroy M, Vourc"h G, Toty L. Indications and technique for endoscopic laser resections in bronchology. J Thorac Cardiovasc Surg 1986; 91: 710 – 5.
- 8.
Nashef SAM, Dromer C, Velly JF. Expanding wire stents in benign tracheobronchial disease: indications and complications. Ann Thorac Surg 1992; 54: 937 – 40.