Galleblæreagenesi

    ()

    sporsmal_grey_rgb
    Abstract

    Manglende galleblære er en sjelden medfødt anomali, med en antatt insidens på 0,01 – 0,04 %.

    Vi presenterer en ung pasient med symptomer som ble oppfattet å være relatert til galleblærestein. Den preoperative ultralydundersøkelsen hadde vist en liten, innskrumpet galleblære fylt med konkrementer.

    Artikkel

    Manglende galleblære skyldes feilutvikling av galleblæreknoppen eller mangelfull vakuolisering in utero. Galleblæren dannes fra den primitive fortarmen i løpet av fjerde svangerskapsuke. Gallegangene er åpne i tidlig intrauterint stadium, for så å bli solide igjen ved at det foregår en epitelproliferasjon. Deretter skjer det en vakuolisering av galleblæreknoppen, og denne prosessen fortsetter inntil hele gangsystemet er rekanalisert. Etter femte uke er den duktale kommunikasjonen mellom galleblæren, ductus cysticus og ductus hepaticus fullstendig, og ved tre måneders alder starter den føtale lever å skille ut galle (1).

    Galleblæreagenesi ble første gang beskrevet av Lémery i 1701 (2). Det synes å være en viss genetisk predisposisjon, fordi flere familiemedlemmer kan være affisert (3). Nadeau og medarbeidere beskrev 12 pasienter med galleblæreagenesi i samme familie (4). Basert på over 1,5 millioner obduksjoner oppgis forekomsten å være ett tilfelle per 6 334 levendefødte (5), med lik fordeling mellom kjønnene, men kliniske studier viser tre ganger så mange kvinner som menn (2).

    Bennion og medarbeidere (5) beskriver tre former for galleblæreagenesi: symptomatiske tilfeller (55 %), asymptomatiske tilfeller (33 %) og multiple føtale anomalier (12 %). De vanligste anomaliene er gastrointestinale, skeletale, kardiale eller urogenitale. Når diagnosen stilles hos voksne, er ledsagende misdannelser sjeldne. På bakgrunn av en ubehagelig overraskelse under en elektiv galleoperasjon presenterer vi en pasient som illustrerer de dilemmaer som operatøren blir stilt overfor når galleblæren ikke lar seg identifisere.

    Pasienten. 34 år gammel mann som hadde vært plaget med residiverende urinveisinfeksjoner som barn. 14 år gammel fikk han påvist vesikoureteral refluks bilateralt. Han ble operert på venstre side med reimplantasjon av ureter. Røntgenurografi ni år senere viste hyperplastisk høyre nyre, ellers normale urinveier. Hans mor var operert for gallestein, men han kjente ikke til andre tilfeller av gallelidelser i slekten. Han hadde i noen år hatt anfallsvis opptreden av smerter lokalisert under høyre kostalbue med utstråling til ryggen. Anfallene ble utløst av fet mat og kunne vare ca. en halv time. Han hadde av og til lagt merke til at avføringen var fettglinsende. Pasienten hadde ikke hatt feber i tilslutning til smerteanfallene og hadde ikke vært ikterisk. Primærlege hadde påvist forhøyede nivåer av ALAT (123 – 90 U/l) og GT (92 – 63 U/l), mens bilirubin- og ALP-verdiene var normale.

    Ultralydundersøkelse viste innskrumpet galleblære full av konkrementer og slanke intra- og ekstrahepatiske galleganger. Pasienten var i tillegg noe plaget med sure oppstøt. Smerteanfallene ble tolket som relatert til gallesteiner, og det ble planlagt laparoskopisk kolecystektomi med peroperativ kolangiografi. Ved innleggelsen var ALAT 80 U/l, ellers var prøvene og den kliniske undersøkelsen upåfallende.

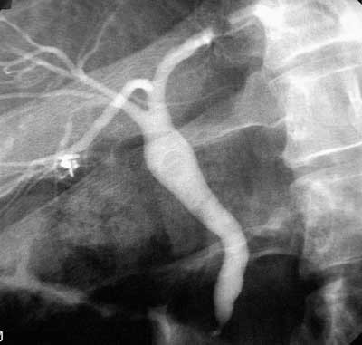
    Under det laparoskopiske inngrepet ble det funnet en del adheranser i underkant av leveren, og disse ble delt. Operatøren bemerket at det var påfallende mye luft i tynntarmen. Noen vanlig galleblære kunne ikke påvises, men en del bindevev var lokalisert på galleblærens vanlige plass (fig 1). En strengformet struktur gikk herfra mot ductus choledochus. Den lot seg ikke kanylere med kolangiografikateter. Ingen ektopisk galleblære kunne påvises i leverhilus. Det nevnte bindevevet ble fjernet og inngrepet avsluttet. Operasjonspreparatet målte 3,5 ¥ 0,8 cm, og den mikroskopiske undersøkelsen viste: «Sparsom mengde bindevev og kjertler som kan representere vev fra galleblære, det hele mest forenlig med galleblæreagenesi» (Patologisk-anatomisk avdeling, Universitetssykehuset Nord-Norge). Pasienten fikk noen måneder senere utført endoskopisk retrograd kolangiografi (fig 2). Fem måneder etter operasjonen var ALAT 78 U/l og GT 95 U/l, og bilirubin- og ALP-verdiene var normale. Han ønsket på det tidspunktet ikke noe videre utredning.

    I forbindelse med etterundersøkelse av galleopererte personer i Rana sykehus’ område besvarte pasienten et spørreskjema fem år etter operasjonen. Han anførte da at han ønsket videre undersøkelser på grunn av økende plager. Plagene har endret karakter og består i akutte, knivstikksliknende smerter oppunder høyre kostalbue, og er nå uten klar relasjon til måltidene. Men han blir lett kvalm hvis han spiser fet mat. Under anfall får han vondt når han trekker pusten dypt. Slike anfall kan inntreffe en gang hver eller hver annen uke. Han har regelmessig avføring, men noen ganger er avføringen mer gulaktig på farge og flyter opp i toalettskålen. Klinisk undersøkelse har vært upåfallende. Blodprøvene har vist stigning av ALAT til 105 U/l og GT til 114 U/l, mens bilirubinnivået er 14 U/l og ALP-nivået 131 U/l. MRCP (fig 3) viser slanke galleganger og ingen mistanke om steiner. Røntgen tynntarm med sonde viser normale forhold, og det er ingen tegn til trange partier eller malrotasjon. Han har stabil vekt og bruker ingen medikamenter. Han har ikke sur dyspepsi for tiden og ønsker ikke å gjennomgå gastroskopi.

    Diskusjon

    Diskusjon

    Ideelt sett burde diagnosen galleblæreagenesi vært stilt preoperativt slik at pasienten hadde unngått et unødvendig operativt inngrep, men flere forfattere medgir at dette er vanskelig (5, 6). Dersom galleblæren ikke lar seg visualisere med ultralydundersøkelse, må man tenke på muligheten for at galleblæren faktisk mangler eller at den ligger ektopisk. Uvanlige lokalisasjoner kan være intrahepatisk, på venstre side, i bursa omentalis, retroperitonealt, retrohepatisk, i ligamentum falciforme, retroduodenalt eller retropankreatisk (5). Men også når galleblæren blir beskrevet som liten, kontrahert og fylt med stein ved ultralydundersøkelse, må man ha galleblæreagenesi eller ektopisk lokalisasjon in mente. Preoperative supplerende undersøkelser som CT, CTCP, MRCP eller ERC kan gi nyttig tilleggsinformasjon. Ultralydundersøkelse av galleblæren regnes vanligvis å ha cirka 95 % sensitivitet når det gjelder å påvise galleblæresteiner (7), men flere forfattere beretter om falskt positivt ultralydfunn hos pasienter som senere viste seg å mangle galleblæren (8 – 10). Dersom det er kjent at pasienten har medfødte misdannelser av noe slag, må man være særlig på vakt ved tolkingen av ultralydfunnet. Crade og medarbeidere (11) definerer i denne sammenheng tre abnorme ultralydkategorier:

    • Skyggegivende ekko som beveger seg i galleblærelumen

    • Ikke fremstillbar galleblærelumen

    • Ikke skyggegivende ekko i galleblærelumen

    Spesifisiteten ved den første kategorien er 100 % når det gjelder å påvise galleblærestein. Ved ikke fremstillbar galleblærelumen er spesifisiteten 96 %, mens den er bare 61 % ved ikke skyggegivende ekko i galleblærelumen.

    Hvorvidt galleblæreagenesi i seg selv kan gi opphav til symptomer og plager er tvilsomt. Det er ikke beskrevet spesifikke behandlingsmuligheter. Bennion og medarbeidere (5) fant at av dem som hadde symptomer, hadde 27 % steiner i gallegangene og 32 % utvidede ekstrahepatiske galleganger. Den symptomatiske gruppen hadde symptomer som til forveksling minnet om gallesteinskolikk: 90 % angav smerter i høyre, øvre kvadrant, 66 % var plaget med kvalme og oppkast, 37 % angav fettintoleranse og 36 % var ikteriske. Richards og medarbeidere (12) beskrev 44 pasienter med galleblæreagenesi der symptomene fordelte seg slik: gallekolikk 54 %, dyspepsi 34 % og icterus 27 %. Stein i ductus koledochus ble funnet hos åtte av 12 ikteriske pasienter. Mekanismen bak symptomene hos pasienter uten stein er uklar. Dixon & Lichtman hevdet allerede i 1945 (13) at symptomene hos pasienter som mangler galleblære kan sammenliknes fysiologisk med postkolecystektomisyndrom. De skyldes dyskinesi i galleveiene, med forhøyet hviletrykk i sphincter Oddi og dermed trykkstigning i choledochus. Man kan imidlertid ikke se bort fra at det kan være ikke-biliære tilstander som er årsak til pasientens plager. Det kan muligens forklare hvorfor flere har rapportert at pasienter med galleblæreagenesi, men uten gallegangsstein, av uklare grunner blir kvitt sine plager etter operasjonen (2, 5, 8). Hvorvidt løsning av periportale og andre adheranser i øvre del av buken har noen betydning, er mer spekulativt.

    Noen hevder at galleblæreagenesi kan være assosiert med primær skleroserende kolangitt og gallegangskarsinomer (14), men dokumentasjonen for dette er mangelfull (15). Vår pasient har noe forhøyede ALAT- og GT-verdier. Fornyet ultralydundersøkelse av leveren har vist en lett steatose. Han har normale intra- og ekstrahepatiske galleganger bedømt ved ERC, og vi har ikke funnet indikasjon for å ta leverbiopsi. Årsaken til hans plager er således fortsatt uklar.

    Ettersom de fleste kolecystektomier i dag planlegges laparoskopisk, kan diagnosen galleblæreagenesi stilles uten at pasienten trenger å gjennomgå en full laparotomi kun i diagnostisk øyemed. Dersom galleblæren ligger intrahepatisk eller ektopisk andre steder, kan det være svært vanskelig å finne ut av de anatomiske forholdene under et operativt inngrep, og omfattende disseksjon medfører fare for å skade viktige strukturer (16). Carbajo og medarbeidere (17) anbefaler å konvertere til åpent inngrep dersom laparoskopien ikke gir nok informasjon. Å konvertere fra laparoskopisk til åpent inngrep i en slik situasjon har etter vår mening lite for seg. For dem som behersker metoden og har mulighet til å gjøre peroperativ kolangiografi via choledochus, kan det gi en diagnostisk avklaring. Vår operatør valgte å avbryte det laparoskopiske inngrepet etter forsøk på å føre inn kateter i det som så ut til å være en tynn ductus cysticus.

    Kirurger er kjent med de mange anatomiske variantene som kan forekomme i Calots triangel, og de utfordringene det kan by på i forbindelse med kirurgiske inngrep på galleblære og galleveier. De færreste er forberedt på situasjonen der galleblæren ikke lar seg identifisere hos en pasient med «typiske symptomer» og steinskygge beskrevet på ultralydbilde. Når «anatomien ikke stemmer», er det fornuftig å gjennomføre en peroperativ kolangiografi dersom det er mulig. Vi vil advare mot omfattende disseksjon for å lete etter galleblæren, og kan ikke se at konvertering til åpent inngrep nødvendigvis vil avklare situasjonen bedre enn laparoskopi. Postoperativt kan MRCP, ERC, CT eller CTCP bekrefte det peroperative funnet slik som hos vår pasient. Selv om galleblæreagenesi forekommer sjelden, kan det være grunn til å minne om tilstanden.

    Kommentarer  ( 0 )

    Anbefalte artikler