Background.
The diagnosis and therapy of pulmonary embolism may still be difficult. Patients with massive central emboli have an unacceptable risk of treatment failure and death when treated with conventional anticoagulants.
Patients and results.
Three patients with massive pulmonary embolism were treated with local catheter-directed thrombolysis and mechanical fragmentation. Nearly total thrombolysis was achieved, as estimated by angiography and spiral CT scan. Clinical improvement was confirmed by blood gas measurements, pulse oximetry, and echocardiographic assessment.
Interpretation.
Based on data from the literature, thrombolytic therapy is more efficient than conventional anticoagulation in patients with massive central pulmonary embolism affecting the systemic circulation. Local, catheter-directed thrombolysis with mechanical fragmentation and direct infusion into the thrombus produced very good results in our patients. Other published data confirm that this method is feasible, safe and effective. In selected patients, this therapy is a good alternative to systemic thrombolysis, although it remains to be established which method is best.
Trass i diagnostiske og terapeutiske framsteg er det framleis vanskeleg å diagnostisere og behandle lungeembolisme (1 – 5). Tilstanden varierer frå tilfeldig påvist, perifer embolisering utan kliniske symptom eller alvorlege følgjer til dramatisk sjukdom med stor, sentral embolus og dødeleg utgang. I over 70 % av fatale tilfelle døyr pasienten i løpet av dei første tre timane, og mortaliteten i heile pasientgruppa er 15 – 20 % dei første tre månadene (1).
Konvensjonell antikoagulasjonsbehandling med lågmolekylært eller ufraksjonert heparin kan vere utilstrekkeleg hos kritisk dårlege pasientar med massiv, sentral embolus (1, 2). For slike pasientar har det vore lansert nyare behandlingsformer i håp om å redusere mortaliteten og risikoen for vedvarande pulmonal hypertensjon. For å oppnå dette må den nye metoden gje raskare rekanalisering og dermed raskare hemodynamisk normalisering, men utan å føre til ein uakseptabel auke av komplikasjonsrisikoen.
Behandling med systemisk trombolyse er den mest brukte av dei nyare behandlingsformene. Den er lett å gjennomføre og har vore omtala både i internasjonal litteratur (2 – 4) og i Tidsskriftet (5). Terapisvikt kan vere eit problem også ved denne behandlinga.
For å oppnå raskare og betre effekt har fleire forfattarar publisert erfaringar med lokal, kateterdirigert trombolytisk behandling, utan (6, 7) eller med mekanisk fragmentering (8 – 12). Vår hypotese er at ved eit mellomstort sjukehus med intervensjonsradiologisk, kardiologisk og hematologisk kompetanse kan lokal, kateterdirigert tilføring av trombolytikum vere indisert ved livstrugande lungeembolisme hos utvalde pasientar. Vi gir her ei tentativ vurdering av denne hypotesen ut frå erfaringar med tre pasientar og gjennomgang av litteraturen.
Metode
Behandling med lokal, invasiv trombolyse blei vurdert hos pasientar under 70 år innlagt i sjukehuset i tidsrommet januar – desember 2000 med alvorleg lungeemboli. Tabell 1 viser dei indikasjonane som blei nytta, og gir ei oppsummering av prosedyren. Resultatet blei evaluert ved klinisk vurdering, blodgassmåling, selektiv pulmonal kontrollangiografi før fjerning av kateteret, spiral-CT og ekkokardiografi.
Pasientar og resultat
Pasient 1 . Ei tidlegare frisk 54 år gammal kvinne blei innlagt i Medisinsk avdeling, Haugesund sjukehus. Siste fire-fem døgn hadde ho vore svimmel og hatt hjartebank. Innleggjingsdagen hadde ho rask hjartebank, dyspné, nærsynkope og klarde ikkje vere oppe. Ved innkomst var ho bleik, cyanotisk og hadde kald hud perifert. Kroppstemperaturen var 39,0 °C og pulsen 160, regelmessig. Andre kliniske funn og blodprøvesvar er vist i tabell 2.
EKG viste nodal takykardi og teikn til iskemi. Ekkokardiografi viste dilatert høgre ventrikkel, paradoks septumrørsle, trikuspidalinsuffisiens og liten venstre ventrikkel, dvs. funn som ved pulmonal hypertensjon.
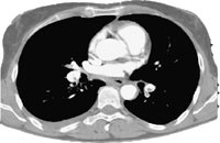
Spiral-CT av thorax viste massiv lungeembolisme med ein stor, sentral embolus i høgre grein av arteria pulmonalis og fleire perifere embolusar i begge lunger (fig 1). Ultralydundersøking av lårvener bilateralt viste ingen teikn til venetrombose. I same seanse som den trombolytiske behandlinga vart det gjort cavagrafi, som ikkje viste teikn til trombose i bekkenvener eller v. cava, og pulmonal angiografi, som stadfesta forholda i lungekretsløpet.
Tilstanden blei oppfatta som potensielt livstrugande lungeemboli og behandla med lokal, invasiv trombolyse (tab 1). Både før og under innføring av kateteret fekk pasienten nodal takykardi, som slo om til sinusrytme etter adenosin intravenøst. Resten av den invasive prosedyren var ukomplisert.
Etter 12 timar fekk ho hudblødning på venstre underarm, der ho tidlegare hadde venekanyle og arteriekran.
Neste morgon var pasienten klinisk mykje betre. Ho var vaken og orientert, hadde roleg respirasjon og oksygenerte godt (SaO₂ 95 %). Kontrollangiografi med kateteret i høgre pulmonalarterie viste komplett lyse av dei sentrale trombemassane, med god framstilling av arterien og opne greiner til høgre overlapp, som dagen før var komplett okkludert. Arteriane til midt- og underlapp var delvis rekanalisert.
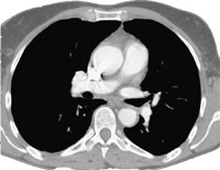
Ny spiral-CT neste dag viste opne arteriar bilateralt, bortsett frå ein underlappsarterie dorsalt på høgre side, der det framleis var små trombemassar (fig 2).
Ved kontroll etter tre månader var pasienten i god form. Ho hadde flytta eit større lass med hagejord med spade og trillebår utan å få pusteproblem. Ho hadde blodtrykk 140/80 mm Hg og normale forhold ved hjarte, lunger og underekstremitetar. Ved ny kontroll eit år etter innleggjinga var ho framleis klinisk frisk, og det var normale funn ved ekkokardiografi og spiral-CT av lungene. Warfarin blei seponert. Det blei påvist Leiden-mutasjon, men ingen andre disponerande faktorar.
Tabell 1
Lokal kateterdirigert trombolytisk behandling. Indikasjonsstilling og prosedyre
| Behandlingsindikasjon |
Stor(e) sentral(e) embolus(ar) som okkluderer minst 50 % av kara og påverkar den kliniske kardiopulmonale tilstanden i vesentleg grad Auka høgre ventrikkel-trykk, vurdert ved ekkokardiografi Alder under 70 år Ingen kontraindikasjonar mot trombolytisk behandling Informert samtykke |
| Forbehandling |
Ufraksjonert heparin, 10 000 IE, intravenøs bolusinjeksjon |
| Invasiv prosedyre |
Innlegging av innføringhylse i høgre v. femoralis communis under ultralydrettleiing Vena cava-grafi Oppføring av eit 7 french Grollmannkateter¹ på ein glatt mandreng gjennom høgre atrium og ventrikkel til hovudgrein av a. pulmonalis (sida med mest tromber). Skopovervaking og arytmiberedskap med medisinsk bakvakt til stades Fragmentering av tromben ved rotering av kateterspissen i 3 – 5 min Bolusinjeksjon av 20 mg alteplase (0,5 mg/ml) i kateteret med spissen plassert i tromben |
| Vidare behandling |
Kontinuerleg infusjon via kateteret med alteplase 3 mg/t (0,05 mg/ml) og ufraksjonert heparin 1 000 IE/t Kontinuerleg observasjon på hjarteovervakingsposten Kontroll neste dag med selektiv pulmonal angiografi via kateteret Fjerning av kateter og innføringskanyle i radiologisk avdeling med beredskap som under oppføringa Overflytting til vanleg sengepost Antikoagulasjonsbehandling med enoksaparin og warfarin Vedlikehaldsbehandling med warfarin i eit år med INR 2,0 – 3,0 |
| 1 Eit spesielt utforma kateter for denne prosedyren, Schmitz-Rodes fragmenteringskateter, er nå tilgjengeleg. Litteraturdata (9, 10) tyder på at ein bør bruka den nye katetertypen | |
Pasient 2 er ein 40 år gamal mann. Han var tidlegare frisk, bortsett frå refluksøsofagitt. Dei siste tre dagane hadde han respirasjonsrelaterte smerter i venstre hemithorax, sveitta mykje og kjende seg tungpusten. Primærlege starta erytromycinbehandling for mistenkt pneumoni. Dagen etter blei han innlagt pga. aukande brystsmerter.
Ved innkomst hadde han kroppstemperatur 39,3 °C, tørr og varm hud, ingen dyspné og normale auskultasjonsfunn over lunger og hjarte. Kliniske og hemodynamiske funn og blodprøveresultat er oppsummert i tabell 2.
Røntgen thorax viste alveolære fortetningar og pleuravæske, mest på høgre side. Spiral-CT dagen etter innkomst viste embolus i hovudstamma av høgre a. pulmonalis. Basalt dorsalt i høgre lunge var det eit trekanta, segmentalt infiltrat med kontrastdefekt i tilsvarande arteriegrein. Det var òg trombemassar i venstre hovudstamme av a. pulmonalis og greinene til underlappen, med pleural væskereaksjon og eit trekanta infiltrat ut mot pleura. Ultrasonografi viste opne femoral- og bekkenvener bilateralt.
Ved innkomst blei det starta med penicillin for mistenkt pneumoni og enoksaparin for mogeleg lungeemboli. I løpet av det første døgnet fekk han aukande pleurale smerter, hemma respirasjon og påverka allmenntilstand. Ut frå ei samla klinisk og radiologisk vurdering var tilstanden nå alvorleg, og pasienten blei behandla med lokal, kateterdirigert trombolyse (tab 1).
Under innføring av kateteret fekk han løp med supraventrikulær takykardi som gjekk over utan behandling, og ein fann ikkje grunn til å avbryta prosedyren. Elles var den invasive behandlinga ukomplisert.
Neste dag var trykket i a. pulmonalis 21 mm Hg (normalt). Selektiv høgresidig pulmonal angiografi viste subtotal trombolyse. Spiral-CT eit døgn etterpå viste bilateral subtotal trombolyse.
Dei første dagane hadde pasienten framleis høgresidige brystsmerter. Respirasjonen var god og SaO₂ over 95 %. Han fekk feber på ny og blei behandla med cefuroksim pga. mistanke om samtidig pneumoni. Etter dette avtok smertene, og han var oppegåande og kjekk under siste del av opphaldet.
Ved kontroll tre månader seinare var pasienten kjekk og i fullt arbeid. Basalt over høgre lunge var det lett svekka respirasjonslyd og så vidt påvisbar dempning. Røntgen thorax viste litt høgtståande diafragma på høgre side, men forandringane var vesentleg mindre enn før.
Ekkokardiografi litt over eit år etter opphaldet viste normale funn. Ein fann normale plasmanivå av antitrombin, protein C og protein S, og negative prøver på aktivert protein C-resistens, protrombingenmutasjon, lupusantikoagulant, kardiolipinantistoff og kefalinantistoff. Warfarin blei seponert etter eit år.
Tabell 2
Klinikk, sirkulasjonstilhøve og laboratoriefunn
| Arterielt oksygen-trykk (kPa) |
Auka høgretrykk ved ekkokardiografi |
|||||||||
| Pasient |
Symptom |
Hjarte-rytme, frekvens |
Blodtrykk (mm Hg) |
D-dimer (mg/l) |
Før behandling |
Etter behandling |
Lokalisasjon av embolus |
Behandlingseffekt vurdert ved angiografi og CT |
Før behandling |
Etter 1 – 12 månader |
| 1 |
Nærsynkope, dyspné, takykardi |
Nodal takykardi, 160 |
80 systolisk |
> 20 |
6,5 |
13,5 |
Bilateral, sentral |
Subtotal trombolytisk behandling og rekanalisering |
Ja |
Nei |
| 2 |
Sterke smerter, dyspné |
Sinus-rytme, 95 |
140/85 |
3,1 |
7,6 |
10,2 |
Bilateral, sentral |
Subtotal trombolytisk behandling og rekanalisering |
Ja |
Nei |
| 3 |
Dyspné, takykardi, kaldsveitte |
Sinus-takykardi, 125 |
115/85 |
> 20 |
7,4 |
12,6 |
Venstre, sentral |
Subtotal trombolytisk behandling og rekanalisering |
Ja |
Nei |
Pasient 3. Ein 53 år gamal mann blei innlagt i Medisinsk avdeling, Haugesund sjukehus, etter to timars sjukehistorie med hjartebank, tung pust og snøring i halsen.
20 år tidlegare hadde han vore innlagt for djup venetrombose og lungeemboli. Han hadde angina pectoris, var behandla for stort hjarteinfarkt i 1988 og fekk utført aortokoronar bypass-operasjon i 1990. Han hadde også arteriosclerosis obliterans, etter kvart med kvilesmerter i venstre underekstremitet. To månader før aktuelle sjukdom blei han operert med venstresidig femoropopliteal bypass med ein snudd vene, og kvilesmertene forsvann. Postoperativt fekk han lett ødem i venstre legg, men mistanken om lårvenetrombose blei avkrefta ved ultralydundersøking. Warfarin blei seponert. Ved kontroll fire veker før aktuelle innleggjing hadde han ein trombosert, overflatisk vene på innsida av venstre legg.
Ved innkomst var pasienten i redusert allmenntilstand, tungpusten og takypneisk. Kroppstemperaturen var 36,6 °C, og venstre legg var hoven. Andre funn er vist i tabell 2.
Ekkokardiografi viste dyskinesi i framveggen og paradoks septumrørsle. Høgre atrium og ventrikkel var dilaterte, med eit utrekna trykk i høgre ventrikkel på over 30 mm Hg og betydeleg pulmonalinsuffisiens.
Røntgen thorax viste venstresidig pleuraadheranse. Ultralydundersøking av venstre underekstremitet viste trombe i v. femoralis communis med proksimal grense i v. iliaca externa. Pulmonal angiografi viste ein stor embolus i overgangen mellom greinene til venstre underlapp og lingula, utan kontrastfylling av segmentgreinene til øvre del av underlappen (fig 3). I samme seanse blei det utført kateterdirigert, lokal trombolyse (tab 1).
Ved kontroll dagen etter var det ein liten resttrombe i arterien til venstre underlapp, men det meste av tromben var lysert. Segmentgreinene til underlappen var opne (fig 4). Behandlinga blei avslutta. Ultralydundersøking tre dagar etterpå viste at tromben i v. iliaca externa og v. femoralis communis sinistra var borte.
Ekkokardiografi ein månad seinare viste ingen trikuspidal- eller pulmonalinsuffisiens, normalt septum utan paradoks rørsle og god kontraktilitet i venstre ventrikkel. Høgre atrium og ventrikkel var ikkje lenger dilaterte. Pasienten var klinisk kjekk.
Diskusjon
Alle dei tre pasientane overlevde og oppnådde godt behandlingsresultat i form av subtotal trombolyse, rekanalisering ved kontrollangiografi og spiral-CT, og tilfredsstillande funn ved klinisk undersøking, blodgassmåling, røntgen thorax og ekkokardiografi. Den invasive prosedyren kunne gjennomførast utan tekniske problem. Resultata stadfester at det kan inntre arytmi under innføring av trombolysekateteret, men alvorleg arytmi blei ikkje observert. Ein pasient fekk bagatellmessig blødning. Behandlingstrengjande blødningar eller andre alvorlege komplikasjonar blei ikkje observert.
Denne behandlingsserien er altfor liten til å tillate sikre konklusjonar. For å kunna gi ei førebels vurdering av effekt og komplikasjonsrisiko må ein samanlikna med annan litteratur.
Det er viktig å skilja mellom tre ulike former for trombolytisk behandling ved lungeemboli: Systemisk infusjon i perifer vene (1 – 5), selektiv infusjon i a. pulmonalis (6, 7) og lokal, kateterdirigert trombolytisk behandling med mekanisk fragmentering og infusjon i tromben (8 – 12).
Det er dokumentert at systemisk trombolytisk behandling er betre enn rein antikoagulasjonsbehandling ved svær lungeemboli med systemisk sirkulatorisk affeksjon. Ein planlagt randomisert studie av 40 slike pasientar blei avslutta av etiske grunnar etter at dei første åtte var behandla (2). Fire pasientar fekk trombolytisk behandling, og alle desse overlevde, medan alle fire døydde i den gruppa som berre fekk heparin. Systemisk trombolysebehandling er nå allment akseptert som betre enn berre antikoagulasjonsbehandling ved massiv lungeemboli med påverka systemisk sirkulasjon (1, 5).
Derimot er det ikkje dokumentert tilsvarande forskjell ved lungeemboli med litt mindre alvorleg sirkulatorisk affeksjon, definert som ekkokardiografisk verifisert dysfunksjon av høgre ventrikkel kombinert med normalt systemisk arterietrykk (1).
Mortaliteten ved systemisk trombolysebehandling har vore rekna til 33 %, med terapisvikt som viktigaste dødsårsak (1). Ved lungeemboli er mortaliteten svært avhengig av graden av sirkulatorisk affeksjon, og ein kan av den grunn ikkje samanlikna ulike studier.
Selektiv infusjon av trombolytikum i a. pulmonialis proksimalt for tromben gav i eit klinisk materiale ikkje betre rekanalisering enn systemisk, intravenøs infusjon (6). Schmitz-Rode og medarbeidarar (7) simulerte selektiv infusjon ved å undersøkje væskestraumen i glasrøyrsystem med ballongobstruksjon. Dei gjorde også dyreforsøk med injeksjon av røntgenkontrast like proksimalt for ein lungeembolus. Både in vitro og in vivo blei væskestraumen kanalisert utanom det okkluderte avsnittet. Problemet med at systemisk tilført medikament kan bli shunta utanom det tromboserte karet, blir altså ikkje eliminert ved selektiv infusjon proksimalt for embolus.
Effekten av kateterbasert mekanisk fragmentering og infusjon av trombolytikum direkte i det emboliserte karområdet er undersøkt i fleire mindre, ukontrollerte studier. Fava og medarbeidarar (8) behandla 16 pasientar. Ein pasient døydde, og 15 blei friske.
Schmitz-Rode og medarbeidarar (9, 10) undersøkte effekten av fragmentering ved hjelp av kateter i to materiale på i alt 30 pasientar, der dei fleste fekk trombolytisk behandling i tillegg. Mortaliteten var 20 %. Alle som overlevde, oppnådde hemodynamisk betring. Resultata tyda på at den mekaniske fragmenteringa var årsak til mykje av effekten, og at val av katetertype var viktig. Stock og medarbeidarar (11) oppnådde godt resultat hos fem pasientar.
De Gregorio og medarbeidarar (12) behandla 51 pasientar med kateterdirigert trombolyse og fragmentering. 49 blei betre, og gjennomsnittleg lungearterietrykk gjekk ned frå 46 til 21 mm Hg. Den tekniske suksessraten blei rekna til 100 %. To pasientar døydde av terapisvikt, men ingen døydde av komplikasjonar til prosedyren. Sju pasientar blødde frå stikkopninga.
Transfusjonsbehov eller dødsfall pga. blødning er ikkje rapportert i nokon av dei publiserte behandlingsseriene.
Evaluering av lokal trombolysebehandling med fragmentering må inntil vidare byggje på data om korttidsoverleving, komplikasjonsrisiko, rekanalisering og hemodynamikk. Langtidsdata for mortalitet og morbiditet finst ikkje. Likevel viser litteraturen at behandlinga er gjennomførbar, forsvarleg og effektiv ved alvorleg lungeemboli med hemodynamisk affeksjon. Våre erfaringar stemmer med dette.
Indikasjonsstillinga bør vere restriktiv. Ved mindre alvorleg emboli bør ein framleis velje vanleg antikoagulasjonsbehandling med lågmolekylært heparin og warfarin.
I alvorlege tilfelle må ein sjå behandling med lokalt tilført trombolytikum og fragmentering som eit alternativ til overflytting til regionsjukehus, som vil gje stor risiko for forverring under transporten. Ut frå erfaringane våre og data frå litteraturen er denne behandlinga også eit reelt alternativ til systemisk trombolyse hos dårlege lungeembolipasientar. Det er likevel for tidleg å trekkje sikre konklusjonar om kva som er best av desse to metodane.
- 1.
Goldhaber SZ. Pulmonary embolism. N Engl J Med 1998; 339: 93 – 104.
- 2.
Jerjes-Sanchez C, Ramirez-Rivera A, Garcia ML, Arriaga-Nava R, Valencia S, Rosado-Buzzo A et al. Streptokinase and heparin versus heparin alone in massive pulmonary embolism: a randomized controlled trial. J Thromb Thrombolysis 1995; 2: 227 – 9.
- 3.
PIOPED investigators. Tissue plasminogen activator for the treatment of acute pulmonary embolism. Chest 1990; 97: 528 – 33.
- 4.
Konstantinides S, Geibel A, Olschewski M, Heinrich F, Grossner K, Rauber K et al. Association between thrombolytic treatment and the prognosis of hemodynamically stable patients with major pulmonary embolism: results of a multicenter registry. Circulation 1997; 96: 882 – 8.
- 5.
Graven T. Massiv lungeemboli – ekkokardiografisk diagnostikk og trombolysebehandling. Tidsskr Nor Lægeforen 1999; 119: 4194 – 8.
- 6.
Verstraete M, Miller GAH, Bounameaux H, Charbonnier B, Colle JP, Lecorf G et al. Intravenous and intrapulmonary recombinant tissue type plasminogen activator in the treatment of acute massive pulmonary embolism. Circulation 1988; 77: 353 – 60.
- 7.
Schmitz-Rode T, Kilbinger M, Günther RW. Simulated flow pattern in massive pulmonary embolism: significance for selective intrapulmonary thrombolysis. Cardiovasc Intervent Radiol 1998; 21: 199 – 204.
- 8.
Fava M, Loyola S, Flores P, Huete I. Mechanical fragmentation and pharmacologic thrombolysis in massive pulmonary embolism. J Vasc Interv Radiol 1997; 8: 261 – 6.
- 9.
Schmitz-Rode T, Janssens U, Schild HH, Basche S, Hanrath P, Günther RW. Fragmentation of massive pulmonary embolism using a pigtail rotation catheter. Chest 1998; 114: 1427 – 36.
- 10.
Schmitz-Rode T, Janssens U, Duda SH, Erley C, Günther RW. Massive pulmonary embolism: percutaneous emergency treatment by pigtail rotation catheter. J Am Coll Cardiol 2000; 36: 376 – 80.
- 11.
Stock KW, Jacob AL, Schnabel KJ, Bongartz G, Steinbrich W. Massive pulmonary embolism: treatment with thrombus fragmentation and local fibrinolysis with recombinant human-tissue plasminogen activator. Cardiovasc Intervent Radiol 1997; 20: 364 – 8.
- 12.
De Gregorio M, Gimeno M, Alfonso R, Medrano J, Loyola S, Fava M et al. Fragmentación mecánica y fibrinólisis intrapulmonar en la tratamiento del tromboembolismo pulmonar masivo con repercusión hemodinámica. [Mechanical fragmentation and intrapulmonary fibrinolysis in the treatment of massive pulmonary embolism with hemodynamic repercussions]. Arch Bronconeumol 2001; 37: 58 – 64.