Background.
Removals of fracture implants constitute a considerable share of orthopaedic operations and take up significant hospital resources. In the Norwegian basic fracture course, guidelines are given on indications for removal as well as minimum function time for implants. Indications for implant removal are, however, relative, and we wanted to study actual practice in this field in Norway.
Material and methods.
An inquiry was made to Norwegian hospitals in spring 2000 concerning their current practice for implant removal.
Results.
Most hospitals follow the suggestions given but there is still great variation, especially in age limits for routine removal of all implants, which range from 15 to 70 years.
Interpretation.
Implant removal is desirable after fracture healing but it requires a surgical procedure with a certain morbidity and incidence of complications. Lack of strict criteria for removal may explain varying practice. We conclude that there should be a uniform practice for implant removal in Norwegian hospitals. More research is warranted on the possible systemic and local long-term effects of implants remaining in situ in order to give more evidence-based indications for implant removal.
Et stort antall frakturer behandles her i landet operativt med åpen reposisjon og intern fiksasjon eller osteosyntese. Fiksasjonen utføres i hovedsak med implantater, slik som skruer, plater og nagler. Disse er som regel laget av metall. De vanligst brukte metallene er stål (legeringer som inneholder jern, nikkel og krom) eller titanlegeringer. Når frakturen er grodd, er implantatet vanligvis overflødig og kan fjernes. Dette innebærer et nytt inngrep, som krever operasjonsressurser.
Alle inngrep medfører en viss, vanligvis kortvarig, morbiditet med funksjonsnedsettelse og eventuelt sykmelding. Det er derfor viktig å klarlegge indikasjonen for slike inngrep. Det finnes begrenset kunnskap om ulemper, lokalt eller systemisk, av å la metallimplantater forbli i kroppen, og det er i mange tilfeller opp til legens skjønn å stille indikasjon for fjerning. Det er usikkert hvor mye av osteosyntesematerialet som blir fjernet, men det er angitt opptil 40 % fjerning (1). Hensikten med denne studien er å kartlegge dagens praksis i Norge.
Materiale og metode
Våren 2000 sendte vi spørreskjema til alle landets sykehus hvor det utføres operativ frakturbehandling. Skjemaet inneholdt spørsmål om sykehusets indikasjon for fjerning av implantater ved frakturer som vanligvis behandles med osteosyntese. Spørsmålene vedrørte indikasjon for fjerning relatert til frakturlokalisasjon, implantattype, pasientens alder og hvor lang tid det var gått fra innsetting. Svarene ble registrert i et statistikkprogram (Minitab, versjon 9, Minitab Inc., PA, USA). Resultatene er angitt som medianverdier og minimums- og maksimumsverdier.
Resultater
Fra 62 av 73 sykehus (85 %) kom det svar på henvendelsen. Fra fire ble skjemaet returnert uutfylt. Resultatene bygger således på data fra 79 % av landets sykehus.
Den generelle øvre aldersgrensen for fjerning av alle implantater var median 25 år, med variasjon fra 15 til 70 år.
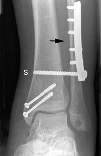
Syndesmoseskruer (fig 1) (2) ble alltid fjernet, og da 3 – 12 uker etter primæroperasjonen, med en median på åtte uker.
Når implantater hos voksne ble fjernet, ble det rapportert at plater og nagler ved diafysefrakturer i underekstremitetene hadde en median funksjonstid på to år, men den laveste funksjonstiden som ble rapportert var et halvt år. Anbefalt tid er 1 – 3 år. Implantater ved øvrige lokalisasjoner ble fjernet etter en median tid på ett år, med variasjon fra et halvt til to år. Ikke ved noen sykehus fjernet man konsekvent alt osteosyntesemateriale, bortsett fra syndesmoseskruer, som alltid ble fjernet. De aller fleste sykehus presiserte at de fjernet osteosyntesematerialet ved plager hos pasienter over 25 år (tab 1).
Diskusjon
Ved det nasjonale basiskurset i frakturbehandling (3), som er obligatorisk for spesialister i generell og ortopedisk kirurgi, anbefales følgende indikasjoner for fjerning av osteosyntesemateriale (4, 5):
Barn i vekst (alle typer osteosyntesemateriale).
Voksne under 25 år: Plater og margnagler på underekstremitetene. Plater i metafysært område behøver ikke alltid fjernes.
Annet osteosyntesemateriale fjernes hvis det gir plager, også hos eldre personer.
Operasjonsrisikoen må likevel vurderes mot plagenes intensitet.
Osteosyntesemateriale av titan ansees som vevsvennlig og behøver vanligvis ikke fjernes.
Disse retningslinjene, som må ansees som veiledende, blir etter vår undersøkelse for en stor del fulgt, men med betydelig variasjon.
Det er verdt å merke seg at alle syndesmoseskruer i ankelen blir fjernet. Funksjonstiden varierer, og er angitt helt ned til tre uker. Syndesmoseskruer bør sitte inne minst åtte uker. Spesielle tilfeller som C-frakturer (fibulafraktur over ankelnivå) med ren ligamentær skade av syndesmose og mediale strukturer krever lengre funksjonstid og avlastning helst i 12 uker (5, 6). Øvrige frakturimplantater blir i de fleste tilfeller hos voksne fjernet kun ved plager, men aldersgrensen varierer betydelig. Funksjonstiden før eventuell fjerning varierer lite, men margnagler antas å gi noe raskere tilheling, og kan derfor fjernes tidligere enn plater.
Prinsipielt vil man ønske at alt fremmedmateriale som har utført sin oppgave og blir unødvendig skal fjernes, men det er også en del ulemper forbundet med fjerning. Ulemper ved å la frakturimplantater forbli in situ kan være lokale eller systemiske. De lokale kan være ren mekanisk irritasjon, spesielt hvis bevegelige bløtdeler som sener eller muskler glir over implantatet. Det kan også være effekt på beinstyrken av de endrede mekaniske egenskaper i bein-implantat-konstruksjonen i forhold til bein alene. Muligens kan det gi smerte eller ubehag. Forekomst av sekundær svekkelse av beinet, fortrinnsvis i lange, vektbærende rørknokler, er vist å forekomme, med ca. 10 % redusert beintetthet i femur etter plating (7). Årsaken ble tidligere ansett å være stressavlastning (8). Denne mekanismen er omdiskutert, men fortsatt ikke utelukket (9, 10). Det er påvist nedsatt sirkulasjon i beinet umiddelbart under fiksasjonsplater (5), og dette er foreslått som forklaring på redusert beintetthet. Ved lokalisasjoner nær huden, som for eksempel ved plater på tibia, mener man at det også kan forekomme smerte ved temperaturvariasjoner i omgivelsene, forårsaket av dimensjonsendringer i implantatet med overført trykk eller drag på beinet. Det er også rapportert smerter ved endringer i barometertrykk (4). Det har videre vært nevnt mulig utvikling av sarkomer i bløtdeler nær inntil implantater, men dette er ikke dokumentert (11).
Korrosjon forekommer ved alle metallimplantater, mest uttalt hvor det er bevegelse mellom ulike deler, for eksempel skruer mot plate. Det er kjent at det forekommer relativt høye konsentrasjoner med metallioner eller -partikler lokalt i vevet, uten at de eventuelle toksiske virkningene er kartlagt (12, 13). Metallallergier kan forekomme, hyppigst mot nikkel og kobolt, og spesielt der implantatet er nær eller i kontakt med hud, selv om sammenhengen mellom hudallergi og «dype» allergieffekter er usikker (14).
Systemiske virkninger er lite kjent. Ettersom et stort antall mennesker går rundt med implantater uten at det er registrert ulemper, er bivirkningene neppe store. Sett i lys av diskusjonen rundt amalgam i tannfyllinger må man likevel si at det er grunn til å utforske også mulige mer subtile effekter av det «gigantiske kliniske eksperiment» som alle ikke fjernede frakturimplantater representerer. Det er vist at store implantater av stål gir klart forhøyede systemiske konsentrasjoner av metallioner, og at iallfall krom (Cr) kan ha en genotoksisk effekt (15).
I tillegg tilsier egen erfaring at en del pasienter har følelsesmessig ubehag ved bevisstheten om et fremmedlegeme i kroppen.
Tabell 1
Praksis for fjerning av osteosyntesemateriale ved norske sykehus
| Fraktursted |
Materiale |
Antall svar fra sykehus |
Fjernes alltid Antall ( %) |
Fjernes bare ved plager Antall ( %) |
| Ankel |
Syndesmoseskruer |
53 |
53 (100) |
0 (0) |
| Øvrige skruer |
52 |
0 (0) |
52 (100) |
|
| Plater |
52 |
1 (2) |
51 (98) |
|
| Legg |
Plater |
43 |
4 (9) |
39 (91) |
| Margnagler |
48 |
8 (17) |
40 (83) |
|
| Femurskaft |
Plater |
44 |
3 (7) |
41 (93) |
| Margnagler |
46 |
6 (13) |
40 (87) |
|
| Proksimale femur |
Collumskruer |
51 |
0 (0) |
51 (100) |
| Glideskruer |
50 |
0 (0) |
50 (100) |
|
| Humerusskaft |
Plater |
44 |
3 (7) |
41 (93) |
| Margnagler |
48 |
5 (10) |
43 (90) |
|
| Underarm |
Plater |
50 |
7 (14) |
43 (86) |
| Distale radius |
Plater |
52 |
5 (10) |
47 (90) |
Ulemper ved å fjerne implantater er dels medisinske, dels ressursmessige. En rekke lokale komplikasjoner kan opptre som følge av tilgang og prosedyre. Nerveskader oppstår lettere ved fjerning enn ved innsetting av implantater, blant annet fordi arrvevet i det gamle snittet gjør det vanskelig å lokalisere og frilegge nerver (4). Sårinfeksjoner kan forekomme, for eksempel på grunn av hematomdanning etter bløding fra skruehull og anleggsflater for implantater, men er lettere å behandle enn infeksjoner ved det første inngrepet, siden implantatet nå er fjernet. Mange inngrep for fjerning utføres ambulant og uten generell anestesi.
Fjerning av implantater, spesielt plater fra lange rørknokler, kan svekke knokkelens mekaniske egenskaper. En skrue som fjernes fra femurdiafysen er vist eksperimentelt å svekke torsjonsstyrken med ca. 50 % (16). Det er fare for refraktur, og behov for forsiktighet og delbelastning. Dette kan ha store ulemper, for eksempel hos idrettsutøvere med kort karriere og store økonomiske tap under sykmelding (17).
Av samlet antall på ca. 97 000 operasjoner på bevegelsesapparatet i 2001 utgjorde frakturoperasjoner ca. 40 000. Ca. 5 400 (5,5 %) operasjoner var fjerning av implantater og ekstern fiksasjon (personlig meddelelse, Norsk pasientregister, 2002). I Finland, som antakelig er sammenliknbart i dette henseende, utgjorde implantatfjerning 6,3 % av alle ortopediske inngrep (18). Resorberbare implantater har foreløpig fått liten utbredelse. Det har vært en del problemer med lokale reaksjoner med (steril) sekresjon. Dessuten er det vanskelig å beregne funksjonstiden. Ettersom man både sparer ressurser og unngår morbiditet ved å slippe å fjerne dem operativt, er det likevel grunn til å følge utviklingen av slike implantater nøye (19).
Smerter, ubehag og nedsatt funksjon i forbindelse med implantatfjerning angis noe varierende i ulike lokalisasjoner. Det er likevel forekomsten av lokale plager som utgjør hovedindikasjonen for slike inngrep hos voksne (20).
Vår undersøkelse viste at selv om median tid og indikasjoner for fjerning stemte bra overens med de mest anvendte retningslinjer i Norge, er variasjonen betydelig. Denne variasjonen er tegn på usikkerhet, og må ansees som et problem. I hovedsak ønsker vi oss data som støtter medisinske indikasjoner for å fjerne eller la være, men inntil videre må ressursmessige hensyn kanskje også være tellende. De nåværende retningslinjer bygger like mye på skjønn som på vitenskapelige fakta. For eksempel er det intet vitenskapelig belegg for å sette aldersgrenser hos voksne på 25 eller 30 år. I vårt sykehussystem bør det være en ensartet praksis for implantatfjerning. Det er derfor behov for ytterligere forskning på eventuelle skadelige effekter av frakturimplantater som forblir i kroppen, slik at indikasjoner for fjerning kan bli kunnskapsbasert.
- 1.
Brown R, Wheelwright E, Chalmers J. Removal of metal implants after fracture surgery – indications and complications. J R Coll Surg Edinb 1993; 38: 96 – 100.
- 2.
Birkeland S, Mølster A, Hordvik M. Skal syndesmoseskruer fjernes? Oslo: De Norske Kirurgiske Foreninger. Vitenskapelige forhandlinger, 1989: 168.
- 3.
Sudmann E, red. Kompendium i frakturbehandling. 6. utg. Bergen: Kirurgisk institutt, Universitetet i Bergen, 1999.
- 4.
Ekeland A. Fjernelse av osteosyntesemateriale. I: Sudmann E, red. Kompendium i frakturbehandlling. 6. utg. Bergen: Kirurgisk institutt, Universitetet i Bergen, 1999: 129 – 33.
- 5.
Matter P. Pre-, intra- and postoperative guidelines. I: Müller M, Allgöwer M, Schneider R, Willenegger H, red. Metal removal. 3. utg. Berlin: Springer-Verlag, 1991: 424 – 6.
- 6.
Mølster A. Ankelfrakturer. I: Sudmann E, red. Kompendium i frakturbehandling. 6. utg. Bergen: Kirurgisk institutt, Universitetet i Bergen, 1999: 303 – 10.
- 7.
Terjesen T, Nordby A, Arnulf V. Bone atrophy after plate fixation. Computed tomography of femoral shaft fractures. Acta Orthop Scand 1985; 56: 416 – 8.
- 8.
Slätis P, Paavolainen P, Karaharju E, Holmström T. Structural and biomechanical changes in bone after rigid plate fixation. Can J Surg 1980; 23: 247 – 50.
- 9.
Klaue K, Fengels I, Perren S. Long-term effects of plate osteosynthesis: comparison of four different plates. Injury 2000; 31 (suppl 2): 51 – 62.
- 10.
Mølster AO. Biomechanical effects of intramedullary reaming and nailing on intact femora in rats. Clin Orthop 1986; 202: 278 – 85.
- 11.
Keel S, Jaffe K, Nielsen GP, Rosenberg A. Orthopaedic implant-related sarcoma: a study of twelve cases. Mod Pathol 2001; 14: 969 – 77.
- 12.
Thomas K, Cook S, Harding A, Haddad RJ. Tissue reaction to implant corrosion in 38 internal fixation devices. Orthopedics 1988; 11: 441 – 51.
- 13.
Torgersen S, Gjerdet N, Erichsen E, Bang G. Metal particles and tissue changes adjacent to miniplates. A retrieval study. Acta Odontol Scand 1995; 53: 65 – 71.
- 14.
Swiontkowski M, Agel J, Schwappach J, McNair P, Welch M. Cutaneous metal sensitivity in patients with orthopaedic injuries. J Orthop Trauma 2001; 15: 86 – 9.
- 15.
Savarino L, Stea S, Granchi D, Visentin M, Ciapetti G, Donati M et al. Sister chromatid exchanges and ion release in patients wearing fracture fixation devices. J Biomed Mater Res 2000; 50: 21 – 6.
- 16.
Burstein A, Currey J, Frankel V, Heiple K, Lunseth P, Vessely J. Bone strength. The effect of screw holes. J Bone Joint Surg Am 1972; 54: 1143 – 56.
- 17.
Evans N, Evans R. Playing with metal: fracture implants and contact sport. Br J Sports Med 1997; 31: 319 – 21.
- 18.
Böstman O, Pihlajamaki H. Routine implant removal after fracture surgery: a potentially reducible consumer of hospital resources in trauma units. J Trauma 1996; 41: 846 – 9.
- 19.
Thordarson D, Samuelson M, Shepherd L, Merkle P, Lee J. Bioabsorbable versus stainless steel screw fixation of the syndesmosis in pronation-lateral rotation ankle fractures: a prospective randomized trial. Foot Ankle Int 2001; 22: 335 – 8.
- 20.
Jacobsen S, Honnens de Lichtenberg M, Jensen C, Torholm C. Removal of internal fixation – the effect on patients’ complaints: a study of 66 cases of removal of internal fixation after malleolar fractures. Foot Ankle Int 1994; 15: 170 – 1.