Blyforgiftning – en kasuistikk

    ()

    sporsmal_grey_rgb
    Abstract

    Blyforgiftning kan gi skade av beinmarg, nervesystem, lever, nyre og endokrine organer.

    Vi presenterer en pasient med blyforgiftning.

    En 54 år gammel tidligere frisk kvinne ble slapp og fikk kvalme og oppkast, mage- og halssmerter og vekttap. Det ble påvist grav anemi. Klinisk undersøkelse, blodprøver, bildeundersøkelse og endoskopi gav ikke holdepunkt for malignitet, ulcussykdom, kronisk inflammatorisk sykdom eller infeksjonssykdom. Basofil punktering i erytrocyttene samt blyanalyser i blod og urin indikerte en middels alvorlig blyforgiftning. Kilden var blyholdig glasur i en keramikkmugge brukt til vin. Det ble startet med kelaterende behandling. Hemoglobinverdien ble normal og hun kom tilbake i jobb etter ni måneder.

    Alvorlig helseskade av blyforgiftning kan unngås ved riktig diagnose og behandling.

    Artikkel

    Det er velkjent at blyforgiftning kan gi helseskader med påvirkning av organer som beinmarg, nervesystem, lever, nyre og endokrine organer (1 – 3). Symptomer og funn kan variere og kan være uspesifikke. Da sykdommen i tillegg er sjelden, vil den lett kunne mistolkes.

    I en annen artikkel i dette nummer av Tidsskriftet gir vi en bred oversikt over blyforgiftning (4). Vi presenterer her en blyforgiftet pasient. Blykilde og alvorlighetsgrad viser at det kan være berettiget å minne om tilstanden.

    Pasienten . En 54 år gammel tidligere frisk kvinne søkte lege juli 2000 etter to uker med slapphet, kvalme og oppkast, mage- og halssmerter samt vekttap på 3 – 4 kg. Primærlegen påviste anemi, med Hb 9,6 g/100 ml, og blodprøver viste videre ALAT 254, ASAT 135 og ALP 222 (U/l).

    Utredning ved lokalsykehuset viste isolert normocytær og normokrom anemi. Klinisk undersøkelse, blodprøver, bildeundersøkelse og endoskopi gav ikke holdepunkt for malignitet, kronisk inflammatorisk sykdom eller infeksjonssykdom, men derimot mistanke om primær blodsykdom, eventuelt tidligere gjennomgått blødning. Beinmargsaspirat gav mistanke om myelodysplastisk syndrom, og hun fikk blodtransfusjon samt substitusjonsbehandling med folinsyre og pyridoksin. Én måned senere ble hun igjen innlagt med transfusjonstrengende anemi, med Hb på 7,6 g/100 ml, ytterligere redusert allmenntilstand og et vekttap på til sammen nær 10 kg. Hun var nå i tillegg svimmel, tungpustet, og hadde smerter i brystet. Nye undersøkelser (kliniske, blodprøver, røntgenundersøkelser, ultralyd og beinmarg) gav ingen nye funn.

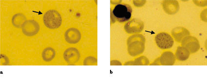
    Tilstanden ble vurdert som alvorlig, og kvinnen ble i oktober innlagt i hematologisk seksjon ved Regionsykehuset i Trondheim (nå St. Olavs Hospital) for utredning (tab 1). Pasienten hadde normocytær anemi med normale verdier for leukocytter og blodplater. Retikulocyttallet var lett økt, forenlig med økt erytropoese. Det var ikke tegn til hemolyse og akutt fasereaksjon eller holdepunkter for mangel på jern, B12 eller folat. I perifert blodutstryk var det anisocytose og basofil punktering i erytrocyttene (fig 1a).

    Beinmargsaspiratet var middels celleholdig, med økt erytropoese (60 %). Det var lett dyserytropoese, med uregelmessige kjerneformer, tokjernete celler og også her tydelig patologisk basofil punktering i sene erytroide celler (fig 1b). Det var meget lette dysplasiforandringer i leukopoesen (hypersegmentering, pseudo-Pelger-Huet-former) og enkelte små mononukleære megakaryocytter. Jernmengden var normal, og det var ikke økt mengde ringsideroblaster.

    Blykonsentrasjonen i blod var 2,34 mmol/l ved diagnosetidspunktet i oktober 2000, og maksimalverdien ble målt til 3,74 mmol/l måneden etter. Blykonsentrasjonen i urin var 2,66 mmol/l i oktober 2000. Porfyrinkonsentrasjoner i urin var ved diagnosetidspunkt følgende: U-ALA 325 mmol/l, u-PBG 17,8 mmol/l og u-porfyriner 1 556 mmol/l. De påfølgende verdier målt under behandlingen er omtalt i avsnittet om behandling.

    I mangel av mer spesifikk diagnose ble tilstanden initialt oppfattet som mulig myelodysplastisk syndrom, en observasjonsdiagnose. Grunnet funn av uttalt basofil punktering i erytrocytter foreslo erfaren hematolog blyforgiftning som årsak. Blyanalyser i blod og urin indikerte en middels alvorlig blyforgiftning.

    Det ble gjennomført en miljøundersøkelse med utspørring av pasient og ektefelle. En keramikkmugge kjøpt i Hellas ble ansett som sannsynlig blykilde (fig 2), en antakelse som fikk støtte fra arbeidsmedisinsk avdeling. Kvinnen hadde drukket vin oppbevart i denne siden juni samme år. Hun hadde vin stående i muggen over flere dager og nøt den ved behov. Muggen hadde dyp blå glasur som delvis var erodert bort på innsiden, tilsvarende nivået av vin. Keramikkmuggen ble analysert ved Norges geologiske undersøkelse, Trondheim, og det viste seg at glasuren var sterkt blyholdig (tab 2).

    Symptomer og funn var fullt ut forenlig med en middels alvorlig blyforgiftning, og det ble startet med kelaterende behandling med vekselvis dimerkaptoravsyre (DMSA) og penicillamin. U-ALA sank fra 325 til 7 mmol/l, u-PBG sank fra 17,8 til 1,1 mmol/l og u-porfyriner sank fra 1 556 mmol/l til ikke målbar verdi under behandlingen. B-bly sank og hemoglobin steg relativt raskt, og pasienten følte seg gradvis bedre (fig 3). ASAT-, ALAT- og ALP-verdiene ble normale.

    Pasienten ble noe kvalm under behandling med dimerkaptoravsyre, og vi byttet derfor forsøksvis til penicillamin (fig 3). Etter skiftet til penicillamin steg blyverdien i blodet i to påfølgende prøver, og penicillamindosen ble derfor økt i påfølgende kur, noe som gav nytt fall i blyverdiene. Hun mistet smakssansen og fikk dårlig matlyst under penicillaminbehandlingen, og skiftet derfor tilbake til dimerkaptoravsyre, som denne gang ble tolerert godt i redusert dose. Ny blymåling fire uker etter avsluttet behandling viste stigende verdi på 0,94 mmol/l, et mulig uttrykk for mobilisering av akkumulert bly.

    Pasienten var fullt sykmeldt fra juli 2000 og hadde aktiv sykmelding fra mars 2001. Hun ble friskmeldt og var tilbake i full jobb fra mai 2001.

    Diskusjon

    Diskusjon

    Å stille korrekt diagnose ved en slik sjelden, men kurerbar tilstand som blyforgiftning er viktig, men vanskelig. Funnet av uttalt basofil punktering i erytrocytter ble utslagsgivende for diagnosen. Dette funnet var like fremtredende i perifert blodutstryk som i beinmargsutstryk, og gav grunnlag for videre undersøkelser på bly i blod og urin. Det bør foreligge en reell mistanke om blyforgiftning ut fra anamnese, symptomer og funn før man utreder videre mer spesifikt med blod- og beinmargsutstryk og rekvirerer blyanalyser.

    Tabell  1

    Supplerende undersøkelser utført ved Ålesund sjukehus og St. Olavs Hospital

    Undersøkelse

    Resultat

    Blodprøver

    Hb 7,5 – 9 g/100 ml, retikulocytter 2,2 %, ASAT og ALAT lett økt, ellers normale prøver (også B12, folat og virusserologiscreening)

    Hemofec

    Negativ

    Gynekologisk undersøkelse

    Negativ (inklusive cytologi)

    Røntgen thorax

    Negativ

    Ultralyd abdomen

    Negativ

    CT abdomen

    Fortykket duodenum i hele cirkumferensen, for øvrig negativ

    Gastroskopi

    Negativ

    Rektoskopi

    Negativ

    Koloskopi

    Negativ (visuell og bioptisk)

    Røntgen tynntarmspassasje

    Negativ (teknisk ikke helt vellykket)

    Cystoskopi

    Negativ

    Urinstiks

    Hvite blodceller +1, blod +2, og ved én anledning glu- kose +1

    Urinmikroskopi

    Hvite blodceller 0 – 1, røde blodceller 0 – 3, en del hyaline sylindrer

    EKG

    Normofrekvent sinusrytme (supraventrikulære ekstrasystoler)

    Tabell  2

    Analyse av blyinnhold i vinmugge (Norges geologiske undersøkelse, Trondheim)

    Analysert materiale

    Pb ( % av vekt)

    Krukkemateriale

    0,09

    Restinnhold i muggen

    4,3

    Glasur innvendig

    17,5

    Glasur utvendig

    18,6

    For vurdering av behandling kontaktet vi initialt telefonisk Giftinformasjonssentralen, som henvi

    Tilstanden er sannsynligvis sjelden i Norge, men vår pasient understreker at det kan være nyttig å kjenne til den i allmennpraksis så vel som i sykehus (7). I USA er tilstanden gjenstand for kontinuerlig oppmerksomhet og overvåking, spesielt innen pediatrien (8, 9). Selv om blyforgiftning er sjeldent i Norge, er tilstanden alvorlig, og forebygging og behandling er effektivt.

    Vi takker Arbeidsmedisinsk avdeling, St. Olavs Hospital, som intervjuet pasienten som ledd i supplerende miljøundersøkelse.

    Kommentarer  ( 0 )

    Anbefalte artikler