Les mer om ...

    ()

    sporsmal_grey_rgb
    Artikkel
    Abort blant innvandrere

    Abort blant innvandrere

    Fremmedkulturelle kvinner utgjorde 24,5 % av alle abortsøkende i 1999, men bare 15,5 % av den kvinnelige befolkningen, viser en ny undersøkelse fra Oslo. Fremmedkulturelle var også overrepresentert blant fødende kvinner, mest uttalt blant de yngre.

    Provosert abort blant kvinner med fremmedkulturell bakgrunn i Oslo

    Blodtypedietten

    Blodtypedietten

    Alternative kostholdsretninger har fått økende oppmerksomhet, også i Norge. Randomiserte kontrollerte forsøk med blodtypedietten foreligger ikke, til tross for at det er relativt enkelt å gjennomføre slike forsøk. En bredt sammensatt gruppe fagfolk har foretatt en kritisk gjennomgang av grunnlaget for blodtypedietten.

    Blodtypedietten – visjonær vitenskap eller tull?

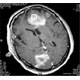
    Ny MR-metode

    Ny MR-metode

    In vivo magnetisk resonansspektroskopi benyttes i utredning og behandling ved hjernesvulster og epilepsi. Metoden vil antakelig få økende betydning i fremtiden, bl.a. ved oppfølging av ulike behandlingsregimer.

    In vivo magnetisk resonansspektroskopi

    Statistikk og medisin

    Statistikk og medisin

    Bayesiansk statistikk er lite kjent blant leger, men kan være på vei inn også i klinisk-medisinsk forskning.

    Hvorfor bruke bayesiansk tankegang?

    Bayesiansk tenkemåte på vei inn i medisinsk statistikk?

    Funksjonelle lidelser

    Funksjonelle lidelser

    Temaserien om funksjonelle lidelser avsluttes med bl.a. omtale av kronisk tretthetssyndrom og en oversiktsartikkel. Dessuten beskrives arvelige faktorers betydning for somatoforme forstyrrelser, ikke-kardiale brystsmerter og trygdeforbruk.

    Dagens kunnskap om samspillet mellom gener og miljø i utviklingen av somatoforme tilstander er begrenset. Hos 50 – 70 % av pasienter utredet for brystsmerter, kan kardial årsak til smertene ikke påvises. Funksjonelle lidelser medfører betydelige ytelser fra folketrygden, og en sterkere vektlegging av ressurser og funksjon, istedenfor sykdom, anbefales.

    Kronisk tretthet

    Brystsmerter og angst

    Funksjonelle somatiske lidelser – en oversikt

    Genetikk og somatoforme forstyrrelser

    Psykologiske faktorer ved ikke-kardiale brystsmerter

    Trygdeforbruk ved funksjonelle somatiske lidelser

    Kommentarer  ( 0 )

    Anbefalte artikler