In vivo magnetisk resonansspektroskopi

    ()

    sporsmal_grey_rgb
    Abstract

    Magnetisk resonanstomografi (MR) er blitt et svært viktig bildediagnostisk verktøy. Teknologien er i rask utvikling, med stadig nye og bedre metoder for å fremstille anatomiske og patologiske forhold på best mulig måte. Med noe tilleggsutstyr kan MR-instrumentet også benyttes til in vivo magnetisk resonansspektroskopi (MRS).

    In vivo-MRS gir biokjemisk informasjon om metabolitter i et gitt vevsvolum. Den biokjemiske informasjonen kan hentes fra sukkerbitstore volumer i løpet av en opptakstid på ca. fem minutter. Med nye teknikker kan man også oppnå slik informasjon fra flere volumer i ett opptak, hvor informasjonen prosesseres som metabolske bilder.

    Metoden har fått klinisk anvendelse blant annet i utredning av hjernesvulster og epilepsi. In vivo-MRS vil trolig bli brukt i økende grad i årene fremover, kanskje spesielt i oppfølging av ulike behandlingsregimer. Alle MR-utstyrsleverandører kan nå levere in vivo-MRS-pakker, og rutiner for opptak og analyse av data er blitt svært brukervennlige.

    Abstract

    Magnetic resonance tomography (MR) has become a highly useful tool for diagnostic imaging. The technology is in a process of rapid development with new and better methods emerging for the imaging of anatomic and pathologic aspects. With some additional equipment, the MR instrument may also be used for in vivo magnetic resonance spectroscopy (MRS).

    In vivo MRS provides biochemical information about metabolites in a given tissue volume. This type of biochemical information can be extracted from volumes the size of a sugar lump within a recording period of about five minutes. New technologies also allow extracting such information from several volumes during one recording in which the information is processed as metabolic pictures.

    The method has found clinical applications in several fields, including the evaluation of brain tumours and epilepsy. The use of in vivo MRS will probably increase in the years ahead, especially, perhaps, for the follow-up of various therapeutic regimens. All suppliers of MR equipment now provide in vivo MRS sets and routines for recording and data analysis have become very user-friendly.

    Artikkel

    Magnetisk resonanstomografi (MR) er blitt et sentralt verktøy innen bildediagnostikk. Magnettomografer med en feltstyrke på 1,5 tesla eller høyere kan i tillegg benyttes til å fremskaffe biokjemisk informasjon fra et brukerdefinert vevsvolum. Denne siste metoden kalles in vivo magnetisk resonansspektroskopi (in vivo-MRS). Magnetisk resonans ble benyttet til spektroskopi i flere tiår før teknikken ble tatt i bruk for bildedanning i slutten av 1970-årene. For at undersøkelsen skal ha verdi, må in vivo-MR-spekteret kunne relateres til et anatomisk volum. Dette utgjør en teknologisk utfordring.

    Teoretisk grunnlag

    Teoretisk grunnlag

    De teoretiske grunnprinsippene for MR er blitt belyst tidligere i en artikkel i Tidsskrift for Den norske lægeforening (1). De samme prinsippene gir grunnlag for MRS.

    Flere atomkjerner er MR-følsomme.¹H kalles vanligvis «proton» i MR-terminologi. MRS basert på andre kjerner enn proton betegnes «X-kjerne»-spektroskopi. De viktigste kjernene i denne sammenhengen er fosfor (31P), karbon (13C) og fluor (19F). MR-følsomme kjerner opplever forskjellige kjemiske omgivelser. De kjemiske omgivelsene i molekylene har betydning for hvor mye kjernene er skjermet fra det ytre magnetfeltet, og graden av skjerming avgjør resonansfrekvensen for hver kjerne. For å oppnå en parameter som er uavhengig av magnetfeltstyrken, normaliseres resonansfrekvensen. Den kalles da kjemisk skift og oppgis i parts per million (ppm).

    Spektrene har kjemisk skift langs den horisontale aksen og signalamplitude langs den vertikale aksen. Integralet under kurven er proporsjonalt med konsentrasjonen av kjerner i vevet som analyseres. Et godt oppløst spekter har smale, godt atskilte topper, som svarer til kjerner i molekylene. I figur 1 er det vist et¹H-spekter av en vevsprøve fra en ondartet svulst i brystvev (A) og et in vivo-¹H-spekter av en tilsvarende svulst (B).

    Undertrykking av vann

    Undertrykking av vann

    I MR-bildeteknikker er det protoner i vann og fett som gir opphav til bildet. Ved proton-MR-spektroskopi representerer nettopp slike protoner et problem, fordi de kan dominere spektrene fullstendig på bekostning av protoner i metabolitter. Protoner i vann har en konsentrasjon som er opptil 10 000 ganger høyere enn protoner i metabolitter. Det er derfor alltid nødvendig å undertrykke signaler fra vann, og ofte også signalene fra fett. Dette gjøres ved hjelp av spesielle pulssekvenser som fjerner signalene fra vann og eventuelt fett, men bevarer signalene fra metabolittene.

    Andre kjerner

    Andre kjerner

    Tidligere var31P den foretrukne kjernen for in vivo-MRS-observasjon. Problemet er at31P er en mindre MR-følsom kjerne, og at kjernene er til stede i lav konsentrasjon. Det kreves dermed et større volum for å oppnå et spekter med et godt signal-til-støy-forhold.31P-MRS kan benyttes til å studere energiomsetning i vevet og til in vivo-pH-målinger.13C er en annen interessant kjerne, men har lav naturlig forekomst og mindre sensitivitet enn fosfor. In vivo-13C-MRS brukes mest for metabolismestudier av13C-merkede medikamenter.19F-MRS er blitt benyttet i studier av legemidler i kroppen, spesielt fluorholdige cellegifter. Siden fluor nesten ikke finnes naturlig i kroppen, vil det målte fluorsignalet stamme fra stoffer som er tilført kroppen.

    In vivo-proton-MRS krever lite tilleggsutstyr i forhold til vanlig MR-bildedanning og er mest klinisk anvendbart. Resten av denne artikkelen omhandler in vivo-proton-MRS.

    Lokalisering av volum

    Lokalisering av volum

    In vivo-MRS-lokaliseringsteknikkene som benyttes i dag, kan deles inn i enkeltvolumteknikker og flervolumteknikker. I enkeltvolumteknikker blir det tatt opp spektre fra ett enkelt volum. En bildeserie brukes for å planlegge lokaliseringen av volumet. En kombinasjon av radiofrekvens (RF)-pulser og magnetfeltgradienter definerer et volum. De to vanligste pulssekvensene er STEAM (STimulated Echo Acquisition Mode) og PRESS (Point RESolved Spectroscopy).

    I flervolumteknikker blir en serie med data registrert fra en rekke volumer i samme opptak. Disse teknikkene kalles med en fellesbetegnelse kjemisk skift-avbildning eller metabolsk bildedanning (Chemical Shift Imaging, CSI). For utredninger i forbindelse med patologiske forhold i hjernen kan det typisk registreres fra 8 ¥ 8 til 32 ¥ 32 spektre. Snittene er vanligvis tykke (1 – 2 cm) for å oppnå godt nok signal-til-støy-forhold. Oftest visualiseres CSI-data ved at intensiteten av en enkelt metabolitt i spekteret fremstilles i en gråtoneskala hvor høyt metabolittnivå gir mest intenst signal. Gråtoneintensiteten fra alle spektrene gir et metabolittbilde. Dette korreleres til et MRI-bilde ved å legge disse oppå hverandre. MR-bilder kan brukes for å anslå mengden av de forskjellige vevstyper (f.eks. grå og hvit hjernesubstans) innenfor et volum (segmentering), for deretter å korrigere for antatt mengde av de forskjellige typene av vev (2). Dette er spesielt viktig i studier hvor det er små forskjeller i metabolittkonsentrasjon mellom en normal og en patologisk tilstand.

    Analyse av spektrene

    Analyse av spektrene

    Topper i et in vivo-spekter representerer ofte forskjellige molekyler, som gir opphav til overlappende signaler. Arealet av en topp i et spekter er proposjonalt med mengden av kjerner som bidrar til signalet. Hvis toppen skyldes én enkelt komponent, kan arealet brukes direkte for å bestemme mengden av forbindelsen. De analysemetodene som benyttes for in vivo-MRS-data, kan deles i kvalitativ, kvantitativ og multivariat analyse.

    Spesielt for ondartede svulster kan det være store endringer i spektrene i forhold til spektre fra normalvev. Man kan da ofte klare seg med en kvalitativ beskrivelse av spektrene eller med å sammenlikne forhold mellom forskjellige metabolittopper. Relative forskjeller i metabolittarealene sammenliknet med prøver fra en frisk kontrollgruppe gir grunnlaget for tolkingen. Denne metoden kan være problematisk i tilfeller hvor konsentrasjoner av flere av metabolittene endrer seg samtidig. Usikkerhet i beregningene og variasjoner hos friske frivillige gjør at det må være relativt store utslag for at man kan stole på at resultatene er uttrykk for patologiske forandringer i vevet.

    Absolutt kvantifisering av in vivo-spektre kan gjøres ved bruk av intern standard, ekstern standard og sammenlikning av in vivo-spektrene med modellspektre. Konsentrasjonen av vann eller kreatin er blitt benyttet som en slags intern standard for kvantifisering av proton-MRS fra hjerne. En slik kvantifisering forutsetter at konsentrasjonene av de interne standardene er konstante, noe som ikke nødvendigvis er tilfellet. Ekstern standard-metoder benytter et fantom med kjente konsentrasjoner av aktuelle metabolitter. Fantomet legges vanligvis så tett som mulig opp til det vevet som undersøkes. Det blir tatt opp spektre fra vevet og fra fantomet, med så like opptaksbetingelser som mulig. Spekteret fra vevet blir sammenliknet med spekteret fra fantomet, og konsentrasjonene kan beregnes (3). In vivo-spekteret kan også bli sammenliknet med spektrene fra fantomene ved hjelp av dataverktøy, og på grunnlag av dette kan man estimere konsentrasjonene (4).

    MRS-data inneholder store mengder informasjon. Med tradisjonell statistisk analyse analyseres én parameter om gangen. Fordelen med multivariat analyse er at hele sett av data kan sammenliknes. Ved nevral nettverksanalyse av MRS-data blir spektrene digitalisert og hele eller deler av settet med kjemiske skift og tilhørende signalintensiteter brukt. Nevrale nettverk trenes til å gjenkjenne mønstre i spektrene basert på et sett av spektre med én bestemt klassifisering (treningssettet). Deretter blir nettverket presentert for spektre med ukjent klassifisering (5).

    Kliniske anvendelser av in vivo-MRS

    Kliniske anvendelser av in vivo-MRS

    In vivo-MRS har fått begrenset klinisk anvendelse foreløpig, noe det er flere årsaker til. Både kvalitet og brukervennlighet er nå forbedret, og MRS brukes nå relativt rutinemessig innen utvalgte nevrologiske problemstillinger.

    In vivo-MRS i hjernevev

    In vivo-MRS i hjernevev

    In vivo-MRS i hjernen er enklere enn i andre organer, fordi man slipper problemer med organbevegelse og fett. Figur 2 viser et spekter med lang ekkotid (135 ms) av temporallappen hos en frisk frivillig. Toppene i spekteret representerer N-acetylaspartat, kreatin og kolin. Intensiteten til toppene varierer, avhengig av området i hjernen spekteret er tatt fra. Laktat og lipider er ikke observerbare i friskt vev, men kan være detekterbare ved enkelte sykdommer (iskemi, svulster). N-acetylaspartat finnes bare i nevroner, og konsentrasjonen av denne metabolitten varierer med tettheten av nevroner i de forskjellige strukturene i hjernen. Med økende alder og ved nevrodegenerativ sykdom blir konsentrasjonen av N-acetylaspartat redusert. Kreftsvulster i hjernen er vanligvis av ikke-nevronal opprinnelse, og spektrene viser lave eller manglende konsentrasjoner av N-acetylaspartat. Ved enkelte sykdommer som hjerneinfarkt kan kreatinnivået være kraftig redusert (6). Kolintoppen er økt i maligne svulster, noe som blir forklart med økt cellemembranomsetning i tumorvev. Laktatkonsentrasjonen i hjernevev er normalt så lav at den ikke kan observeres med in vivo-MR-spektroskopi. Observasjon av laktat indikerer anaerob metabolisme, som f.eks. ved infarkt (7) og enkelte svulster (nekrotiske eller cystiske).

    For at in vivo-MRS skal ha klinisk nytteverdi, må man oppnå tilleggsinformasjon til det man oppnår med MR-bildediagnostikk. Ved tumorsuspekte bildefunn gir økt kolin og redusert N-acetylaspartat i MR-spekter betydelig diagnostisk støtte til en tumordiagnose (fig 3). Her kan en kvalitativ beskrivelse av spekteret være tilstrekkelig. Innslag av laktat og lipider i spektrene er også patologisk.

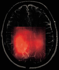
    In vivo-MRS-observasjoner av endret metabolisme kan være nyttig f.eks. for å bestemme hvor overgangen går mellom kreftvev og normalt vev, og for å skille mellom arrvev etter operasjon og strålebehandling fra tilvekst av nytt kreftvev (8). Ett av de viktigste områdene for bruk av MRS vil være oppfølging av pasienter der det er spørsmål om tumorresidiv. Klassifisering av svulstene er til en viss grad mulig ved hjelp av in vivo-MR-spektroskopi i kombinasjon med avansert dataanalyse (9, 10). Et eksempel på et CSI-bilde av kolin er vist i figur 4. Det forhøyede kolinnivået stemmer overens med tumorområdet i MR-bildet.

    I en del tilfeller gir ikke medikamenter en god nok anfallskontroll ved temporallappsepilepsi. Da kan kirurgisk behandling være aktuelt. In vivo proton-MR-spektroskopi kan være nyttig for å lokalisere det epileptogene fokus. Flere studier har vist endringer i in vivo-MR-spektre fra epilepsipasienter, med funn av redusert N-acetylaspartat på den siden hvor anfallene har utspring (5, 11). Effekter av medikamentell antiepilepsiterapi kan registreres ved MRS. Spesielt har målinger av nevrotransmitteren GABA gitt lovende resultater (6).

    Degenerative lidelser som Alzheimers sykdom og Parkinsons sykdom gir MR-spektre med lave nivåer av N-acetylaspartat, men også visse forandringer i kolin- og myoinositolnivå (12). MRS kan, i kombinasjon med andre metoder, bidra til differensiering av ulike grupper og subgrupper av disse pasientene. Ved metabolske sykdommer (f.eks. ulike encefalopatier, mitokondriedefekter, Canavans sykdom) er det ofte ikke mulig med in vivo-MRS å fremstille den primære forandringen i en metabolitt, et protein eller et enzym som gir opphav til sykdommen. Oftest er det sekundære forandringer som demyelinisering, gliose eller en nevronskade som kan fremstilles. Under hypoksi vil det foregå metabolske reaksjoner som gir store forandringer i MR-spektre. Ved oksygenmangel vil det produseres laktat, som kan måles i spektrene. N-acetylaspartatnivået vil synke som en følge av nevronskade. Nivået av laktat og N-acetylaspartat kan brukes til å måle effekt av tidlig behandling ved apopleksi. In vivo-MRS kan også måle effekt av behandling som er rettet mot nevronskade og demyelinisering ved multippel sklerose (12).

    Andre organer

    Andre organer

    In vivo-MRS har vært benyttet ved flere forskjellige diagnostiske problemstillinger, som f.eks. prostatakreft (13) og brystkreft (14, 15). Også studier av nyre (oppfølging etter transplantasjon), lever, muskel og hjerte publiseres som potensielle kliniske anvendelser for in vivo-MRS. Undersøkelser av hjertet er teknisk svært komplisert pga. store bevegelser. Den mest etablerte anvendelsen av in vivo-MRS utenom hjerne er diagnostikk av prostatakreft. Spektre fra friskt prostatavev har en kraftig topp fra metabolitten citrat. I en kreftsvulst vil citratsignalet være sterkt redusert, mens kolinsignalet viser en økning. Kombinasjon av MR-bilder og in vivo-MRS gir en signifikant økning i diagnostisk sensitivitet sammenliknet med MR-bilder alene (16).

    Konklusjon

    Konklusjon

    In vivo proton-MRS kan utføres på kliniske MR-systemer og gi klinisk nyttig informasjon, spesielt ved diagnostikk av hjernesvulster og epilepsi, samt ved oppfølging av ulike typer behandling ved disse lidelsene.

    Kommentarer  ( 0 )

    Anbefalte artikler