Laparoskopisk behandling av miltcyster

    ()

    sporsmal_grey_rgb
    Abstract

    Miltcyster er sjeldent. De oppdages hyppigst hos barn og yngre voksne. Slike cyster gir vanligvis få symptomer, men komplikasjoner som blødning, ruptur og infeksjon kan inntreffe. Kirurgisk behandling anbefales, og miltkonserverende inngrep bør tilstrebes. Vi har nylig behandlet to pasienter med miltcyster. Det ble gjort laparoskopisk reseksjon av cysteveggen, med godt resultat.

    Abstract

    Splenic cysts are uncommon. The symptoms are usually vague, but complications such as haemorrhage, rupture and infection may occur. The majority of splenic cysts are seen in children and young adults. Surgical treatment is recommended and splenic preservation is advantageous. We present two patients with splenic cysts successfully treated with laparoscopic resection of the cyst wall.

    Artikkel

    Miltcyster er sjeldent i vår del av verden (1). De gir ofte få symptomer, vanligst er ubehag i epigastriet. Cystene oppdages gjerne ved at pasientene kjenner en oppfylning under venstre ribbebue (2 – 4). I mange tilfeller oppdages de tilfeldig ved radiologisk undersøkelse (4, 5).

    Miltcyster deles inn i to grupper etter histologisk funn. Ekte miltcyster, også kalt epiteliale cyster eller kongenitte cyster, er karakterisert av et epitellag inn mot cystelumen, mens pseudocyster mangler dette (3, 6). Pseudocyster tror man utvikles fra traumatisk betingede milthematomer.

    Miltcystene påvises oftest hos barn og unge voksne, og ved kirurgisk behandling bør miltkonserverende inngrep foretrekkes. Vi omtaler to pasienter med miltcyste som ble vellykket behandlet med laparoskopisk reseksjon av cysteveggen, med bevaring av normalt miltparenkym.

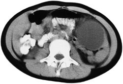
    Pasient 1. 13 år gammel jente, tidligere frisk. I seks måneder hadde hun hatt perioder med moderate smerter i venstre del av abdomen. Computertomografi (CT) viste en 7,5 cm stor cyste i milten, beskrevet som unilokulær med septa (fig 1). Det var ingen opplysninger om traume i anamnesen. Hun ble operert i 30˚ høyre sideleie, med åpen tilgang i umbilicus, supplerende 5 mm port til høyre for midtlinjen i epigastriet og en 11 mm port lateralt i venstre fossa iliaca. Cysten var dekket av oment, som ble dissekert bort, den ble punktert og tømt for strågul, tyntflytende væske. Med ultralyddisseksjonsinstrument delte vi cysten ved overgang til normalt miltvev, la en stor omentflik inn i cystebunnen og festet den med resorberbar sutur mot bunnen av cysteresten. Resektatet målte 9 ⋅ 5 cm. Det var ukomplisert prosedyre og forløp i avdelingen, og pasienten ble utskrevet fjerde postoperative dag. Hun ble behandlet for en sårinfeksjon i navlen to uker postoperativt. Kontroll med ultralydundersøkelse av magen etter tre måneder viste intet residiv, og pasienten følte seg bra. Histologisk diagnose av operasjonspreparatet viste delvis epitelkledd fibrøs cystevegg med kolesterolgranulomer.

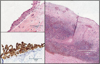
    Pasient 2. 14 år gammel gutt, tidligere frisk. To måneder før diagnosen av miltcyste ble erkjent, fikk han et stumpt slag mot venstre nedre forside av brystet. Han hadde smerter i noen dager, men glemte så det hele. Seks uker senere kjente han hevelse under venstre ribbebue, og merket også litt ubehag ved fysisk anstrengelse. CT viste en cyste medialt i milten, med nærmest normal milt lateralt (fig 2). Cysten målte 16 ⋅ 13 ⋅ 13 cm. Septa ble beskrevet, men bare et lokulament. Echinokokkserologisk undersøkelse var negativ. Pasienten ble operert i 30˚ høyre sideleie. Cysten ble punktert og tømt for strågul væske. Den ble mobilisert fra venstre hemidiafragma og fra undersiden av venstre leverlapp, der den satt fast med brede adheranser. Cysten ble resecert ved deling av veggen ved overgangen til normalt miltvev. Veggtykkelsen var om lag  cm, og det var uttalt trabekulering av cystens indre vegg. Resektatet, som målte 16 ⋅ 11 cm, ble fjernet i pose via portåpningen i venstre fossa iliaca, som ble utvidet til 2 cm. Det var et ukomplisert per- og postoperativt forløp. Histologisk undersøkelse viste fibrøs miltcystevegg med stedvis plateepitelkledning (fig 3).

    Diskusjon

    Diskusjon

    Begge våre pasienter hadde ekte cyster, selv om pseudocyster nok er den vanligste typen. Epiteliale cyster utgjør 10 – 45 % av alle miltcyster, pseudocyster 50 – 75 % (1, 3, 6). Andelen av pseudocyster er muligens økende på grunn av at flere miltskader nå behandles konservativt (1, 7).

    De ekte cystene og pseudocystene atskiller seg ikke sikkert fra hverandre, verken ved preoperative radiologiske undersøkelser eller makroskopisk under operasjonen (3, 6). Adekvat traume i anamnesen kan indikere pseudocyste. I noen tilfeller finnes ikke slikt traume, i andre tilfeller viser det seg i ettertid at pasienten har glemt et gjennomgått traume (6, 7). Ved CT ser cystene like ut, i noen tilfeller sees trabekulering og septa, oftere i ekte cyster. Kalknedslag i kapselen kan sees ved begge typer (6). Enkelte pseudocyster har områder med tetthet som passer med solid vev, ved operasjon vil dette kunne vise seg å være organiserte hematomer (6). Adheranser mot omgivende organer kan ved operasjonen finnes litt hyppigere ved pseudocyster (6). Typisk for begge typer er trabekulering av innsiden (6). I pseudocyster kan det finnes hemosiderinavleiringer i bindevevet ved histologisk undersøkelse (5).

    Epiteliale miltcyster påvises hyppigst hos barn og unge voksne (1, 3). Dachman og medarbeidere (6) angir gjennomsnittsalderen for pasienter med nyoppdaget ekte cyste til 17,9 år, hos pasienter med pseudocyster var den 38 år. Pachter og medarbeidere (7) omtaler sju pasienter i alderen 23 til 55 år med pseudocyster.

    I tillegg til ekte cyster og pseudocyster finnes det cystiske neoplastiske tumorer i milt (8). Man finner også parasittære cyster, spesielt i endemiske områder for echinokokkinfeksjon (1, 9). Parasittære cyster er meget sjeldent hos oss, men det er viktig preoperativt å utelukke slik genese. Lever er vanligste organ for echinokokkcyster, dernest følger lunge og milt (9). Anamnese for å avdekke opphold i land hvor echinokokkinfeksjoner er endemisk, er viktig. To tredeler av de parasittære cystene er multilokulære ved CT (9). Ikke-parasittære cyster er oftest unilokulære (6, 7), men også disse kan være delt av septa, som hos våre pasienter (10). Pseudocyster kan i noen tilfeller også være multilokulære (6). Vi vil anbefale å foreta antistoffundersøkelse preoperativt og har benyttet Smittskyddsinstitutet, Parasitologiska enheten, i Solna i Sverige til dette.

    Hos våre pasienter var cystene store, og hos en av dem gav den abdominalt ubehag. I begge tilfeller syntes operasjonsindikasjonen å være klar. Cystene kan gi akutte symptomer ved ruptur, blødning eller abscedering (1, 3). Risikoen for slike komplikasjoner ved ekte cyster er liten (4), den er større ved pseudocyster (2, 7). I eldre litteratur er det anført at 25 % av cystene rumperer på lang sikt, men dette tallet er usikkert (7). Sannsynligvis forekommer dette sjelden. Bare to tilfeller med ruptur av miltcyste og ett med infeksjon i en cyste gjenfinnes blant de serier og kasuistikker som er referert her (11). Pseudocyster som er mindre enn 5 cm kan gå spontant tilbake (11), mens større cyster gjerne øker i størrelse og bør behandles (2).

    Miltcyster bør sannsynligvis behandles kirurgisk. Det finnes kasuistikker hvor perkutan drenasje kombinert med gjentatte installasjoner av alkohol eller tetrasyklin har gitt godt resultat (12). Den vanligste oppfatningen synes imidlertid å være at resultatene ikke er gode ved drenasje, på grunn av stor residivtendens (3, 13). I tillegg kan drenasje gjøre forholdene for senere kirurgi vanskeligere på grunn av adheranser til milt, som igjen kan resultere i peroperativ kapselskade og blødning (7). Velges kirurgisk behandling, er det allmenn enighet om at benigne miltcyster skal behandles med miltkonserverende inngrep på grunn av miltens betydning for infeksjonsforsvaret, ikke minst fordi det oftest er barn og unge som utgjør pasientmaterialet (2, 5 – 7, 10). Åpen teknikk med mobilisering av milten og komplett reseksjon av den del av milten cysten utgår fra, har gitt gode resultater, men kan være teknisk krevende (7). Et alternativ er å resecere den delen av cysten som er utenfor miltvevet. Ved åpen operasjon har man delt cysten mot miltvevskanten og sydd gjenværende kant med kontinuerlig sutur (5). Miltcystereseksjon egner seg godt for laparoskopisk metode. Diatermi og/eller suturmaskiner er brukt for å dele cysteveggen og skape hemostase (2, 3, 10, 14). Bruk av ultralyddisseksjonsinstrument viste seg meget velegnet hos våre pasienter, med kontinuerlig komplett hemostase på delingsstedene. Det kan være risiko for residiv ved epiteliale cyster (10). Noen pakker oment inn i cystebunnen etter reseksjon for å hindre dette (3, 10).

    Kommentarer  ( 0 )

    Anbefalte artikler