Sekretinstimulert magnetisk resonanskolangiopankreatografi ved lidelser i galle- og pancreasganger

    ()

    sporsmal_grey_rgb
    Abstract

    Magnetisk resonanskolangiopankreatografi (MRCP) har nærmest erstattet endoskopisk retrograd kolangiopankreatografi (ERCP) ved diagnostisering av sykdom i galle- og pancreasgangene. Intravenøs tilførsel av sekretin medfører økt mengde vandig sekret i pancreasgangen og galleveiene. På en sekretinstimulert MRCP (S-MRCP) visualiseres dermed gangsystemet bedre enn ved konvensjonell MRCP, og det diagnostiske utbyttet økes.

    Resultatet fra 20 pasienter presenteres, S-MRCP bidrog med ny informasjon hos 18. Hos disse var det funn som ikke var fremkommet ved tidligere bildediagnostiske undersøkelser.

    Metoden kan være et nyttig hjelpemiddel i utredningen av dysfunksjon i sphincter Oddi, der man på grunn av metodens funksjonelle aspekt, med økt væsketrykk i gangsystemet, vil kunne registrere eventuelle smerteanfall under undersøkelsen. S-MRCP kan bidra til å skille pancreascancer fra kronisk pankreatitt, og tydeliggjøre pancreas divisum. Videre har man ved hjelp av denne metoden mulighet for å avsløre skleroserende koleangitt og avklare om pancreasgangen er skadet ved traumer forårsaket av en stump gjenstand. Innen kartlegging av kirurgiske gallegangsskader og utredning av postoperative problemer er undersøkelsen svært anvendbar. Ved vanskelig pankreatikobiliær diagnostikk synes derfor S-MRCP å være et nyttig og komplikasjonsfritt supplement til eksisterende diagnostiske hjelpemidler.

    Abstract

    Background.

    MRCP has replaced ERCP as the diagnostic tool in diseases in the biliary and pancreatic ducts. Secretin increases the secretion to ducts, and this has been reported to improve MRCP image quality.

    Material and methods.

    We report our experience with S-MRCP in our first 20 patients. Secretin was given intravenously and images were obtained every minute for 10 minutes. These images were compared with MRCP images taken before and after secretin stimulation.

    Results.

    New information was yielded in 18 cases, i.e information not observed in previous radiological examinations.

    Interpretation.

    In diagnostics of dysfunction of the sphincter of Oddi, the method may be useful, given the functional aspect of the procedure where increased pressure in the ducts may lead to pain. It may further improve the diagnostics of pancreatic cancer versus pancreatitis, in pancreas divisum and sclerosing cholangitis. The method is also valuable for clarifying whether there is injury to the pancreatic duct after blunt abdominal trauma. Surgical common bile duct injuries may be better assessed than with any other method. In difficult pancreatic and biliary investigations, S-MRCP seems to be a useful and complication-free supplement to existing diagnostic methods.

    Artikkel

    Fordi magnetisk resonanskolangiopankreatografi (MRCP) er en ikke-invasiv undersøkelse uten alvorlige komplikasjoner, foretrekkes denne fremfor endoskopisk retrograd kolangiopankreatografi (ERCP) til diagnostisk bruk. Sekretin bidrar til utskilling av bikarbonat og vann både i galleveier og pancreasgang. MR-fremstillingen blir tydeligere fordi gangsystemene utvides under sekretinstimulering. I tillegg til selve bildefremstillingen representerer sekretinstimulert MRCP (S-MRCP) også en funksjonsundersøkelse som kan avklare om deler av bukspyttkjertelen er uten eksokrin funksjon. Kombinasjonen av god bildefremstilling av pancreasgang og galleveier samt funksjonsundersøkelse av pancreas er nyttig ved en rekke tilstander som tradisjonelt har voldt diagnostiske problemer: Avklaring av sphincter Oddi-dysfunksjon, skille pancreascancer fra kronisk pankreatitt, fremstilling av anomalier som pancreas divisum, fremstilling av tidlig skleroserende kolangitt, sikker diagnostikk av ganglesjoner i pancreas ved bukskader forårsaket av en stump gjenstand og endelig kartlegging av postoperative gallegangsskader. Våre første erfaringer med S-MRCP gjennomgås.

    Materiale og metode

    Materiale og metode

    20 pasienter undersøkt med S-MRCP ved Ullevål universitetssykehus i perioden oktober 1999 – mai 2001 presenteres. Ni menn og 11 kvinner i alderen 28 – 83 år ble inkludert. Gjennomsnittsalderen var 51 år, median alder 49 år. Vi har brukt Matos og medarbeideres arbeider som bakgrunn for våre undersøkelser (1, 2). Før sekretinstimuleringen ble det kjørt en bildeserie med standard MRCP-teknikk (3). Denne ble utført i form av en enkeltsnittteknikk (single shot breath-hold) avbildet med seks snitt i en vifte, eventuelt supplert av flere tynne bilder med påfølgende bearbeiding. Bariumsulfat (BaSO₄) peroralt ble brukt som negativ kontrast i duodenum. Av de seks snittene i viften valgte vi det bildet som dekket pancreasgang og choledochus best. Så ble sekretin administrert, 1 IE/kg kroppsvekt intravenøst over to minutter. Fra ett minutt etter injeksjonsstart ble det tatt ett bilde hvert minutt i ti minutter. Det ble avsluttet med ny full MRCP-serie. MR-maskinen er en Philips Gyroscan NT Powertrack 6000.

    I løpet av serien ble pancreas- og gallegangens diameter registrert, sammen med detaljerte studier av veggenes kontur og mulige kalibervekslinger langs gangene. Pasientens kliniske tilstand under sekretinstimulering ble fulgt nøye, med særlig vekt på mulig induksjon av abdominalsmerter. Smertenes karakter ble sammenholdt med tidligere smerteanfall i magen, og man fortolket denne kliniske opplysning i lys av simultant bildemateriale.

    Eksokrin funksjon i pancreas og lever ble bedømt på bakgrunn av væskefylling i utførselsganger (diametermåling) og duodenum.

    Resultater

    Resultater

    Indikasjoner, hovedfunn og klinisk betydning av undersøkelsen fremgår av tabell 1. Hos 18 av 20 undersøkte pasienter bidrog S-MRCP med informasjon som ikke var fremkommet ved andre bildediagnostiske undersøkelser. I gjennomsnitt var det gjort 2,4 bildediagnostiske undersøkelser før henvisning til S-MRCP (tab 2). Ingen komplikasjoner ble registrert i forbindelse med S-MRCP hos disse 20 pasientene.

    Tabell 1  

    Indikasjon, konklusjon, evaluering av nytte ved S-MRCP samt oppfølgingstid og status ved oppsummering av studien for de 20 pasientene som var inkludert

    Pasient

    Alder(år)

    Indikasjon

    Konklusjon ved S-MRCP

    Bidrog S-MRCP med ny informasjon?

    Oppfølgingstid (md.)

    Endelig resultat

     1

    48

    Pancreascancer

    Pancreascancer

    Nei

     1

    Død

     2

    75

    Kronisk pankreatitt

    Kronisk pankreatitt

    Ja

    20

    Kronisk pankreatitt

     3

    47

    Sphincter Oddi-dysfunksjon

    Patologisk dilatasjon

    Ja

    16

    Symptomfri etter papillotomi

     4

    44

    Sphincter Oddi-dysfunksjon

    Mislykket undersøkelse

    Nei

     0

    Ikke møtt til kontroll

     5

    50

    Kronisk pankreatitt

    Kronisk pankreatitt

    Ja

     8

    Kronisk pankreatitt

     6

    58

    Sphincter Oddi-dysfunksjon

    Patologisk dilatasjon

    Ja

     8

    Symptomfri etter papillotomi

     7

    47

    Sphincter Oddi-dysfunksjon

    Normale forhold

    Ja

     7

    Frisk

     8

    24

    Kronisk pankreatitt

    Pancreas divisum

    Ja

     9

    Residiverende pankreatitt

     9

    30

    Skleroserende kolangitt

    Normale forhold

    Ja

     8

    Ingen behandling

    10

    63

    Stille icterus

    Pancreascancer

    Ja

     2

    Død

    11

    66

    Pancreascancer?

    Kronisk pankreatitt

    Ja

     5

    Kronisk pankreatitt

    12

    57

    Stenose i anastomosen?

    Stenose i anastomose

    Ja

     4

    Symptomfri etter blokking

    13

    45

    Sphincter Oddi-dysfunksjon

    Normale forhold

    Ja

     1

    Frisk

    14

    83

    Gallegangsstriktur/mislykket ERCP

    Malign striktur

    Ja

    < 1

    Kolangiokarsinom

    15

    62

    Traume – skadet pancreasgang?

    Normal pancreasgang

    Ja

     6

    Frisk

    16

    28

    Traume – skadet pancreasgang?

    Normal pancreasgang

    Ja

     1

    Frisk

    17

    30

    Sphincter Oddi-dysfunksjon

    Pancreas divisum

    Ja

     2

    Kronisk pankreatitt

    18

    66

    Sphincter Oddi-dysfunksjon

    Pancreas divisum

    Ja

     1

    Symptomfri (?)

    19

    49

    Gallegangsskade

    Stenose ved klips

    Ja

     1

    Operert

    20

    38

    Stein i gallegang?

    Gallegangsstein

    Ja

     0

    ERCP/EPT

    Tabell 2  

    Antall og type undersøkelser utført før henvisning til S-MRCP (pasientnummer er de samme som i tabell 1)

    Pasient

    ERCP

    MR/MRCP

    CT

    Ultralyd

     1

    X

    X

    X

    X

     2

    X

    X

    X

     3

    X

     4

    X

    X

     5

    X

    X

     6

    X

    X

    X

     7

    X

    X

     8

    X

    X

     9

    10

    X

    X

    X

    11

    X

    X

    12

    X

    X

    X

    13

    X

    X

    14

    X

    X

    X

    X

    15

    X

    X

    16

    X

    X

    X

    17

    X

    X

    X

    18

    X

    19

    X

    X

    20

    X

    X

    X

    Sum

    7

    16

    13

    11

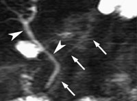
    Hos sju pasienter var indikasjonen sphincter Oddi-dysfunksjon, slik dette er definert av Toouli og medarbeidere (4). Hos to av disse oppstod det under sekretinstimulering sterke buksmerter av samme type som de tidligere hadde hatt. Samtidig ble galle- og pancreasgangen patologisk dilatert (fig 1a, 1b), mens den duodenale sekretfyllingen var forsinket. Pasientene ble henvist til papillotomi, og de har deretter vært symptomfrie i henholdsvis åtte og 16 måneder. Det viste seg ved S-MRCP at to av pasientene hadde pancreas divisum. ERCP var gjort på forhånd hos begge, men bare gallegangen var fylt, og anomalien var derfor ikke erkjent. To pasienter viste normale funn og ingen smerte, konklusjonen ble således ingen dysfunksjon. Den siste pasienten i denne gruppen hadde spist umiddelbart før S-MRCP (på tross av informasjon om å faste). Dette er altså en mislykket S-MRCP, som ikke bidrog med ny informasjon.

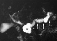
    Tre pasienter, mistenkt for kronisk pankreatitt, ble undersøkt med S-MRCP. To fikk påvist typiske kalibervekslinger i pancreasgangen (fig 2), funn som økte sannsynligheten for diagnosen kronisk pankreatitt. De er fulgt i åtte og 20 måneder, uten at noe tegn til malignitet er påvist. Den tredje pasienten med pankreatitt fikk påvist pancreas divisum, som ikke tidligere var erkjent ved ERCP av grunner nevnt ovenfor.

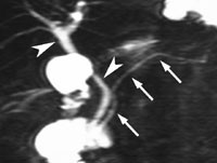
    Mistanke om pancreascancer var indikasjonen for S-MRCP hos to. Den ene fikk påvist en stenose i pancreasgangen, med utseende som en svulst, men dette var allerede påvist ved ERCP, og S-MRCP bidrog derfor ikke med ny informasjon. Hos den andre fant man kaliberveksling, best forenlig med pankreatitt. Oppfølging i fem måneder har ikke gitt holdepunkt for malign sykdom. Et stenoserende kolangiokarsinom i ductus choledochus ble også tydeligere fremstilt under sekretinstimulering (fig 3).

    Hos en pasient var det mistanke om skleroserende kolangitt. S-MRCP ble hos denne pasienten gjort tidlig i utredningen, og viste upåfallende gangsystem. Pasienten er i velbefinnende uten behandling åtte måneder senere. S-MRCP bidrog således til å gjøre diagnosen mindre sannsynlig.

    Traume forårsaket av stump gjenstand mot buken med mistanke om alvorlig skade av pancreas var indikasjonen hos to pasienter. Det forelå peritoneal irritasjon klinisk, og CT kunne ikke utelukke at hovedgangen var revet over. Dette lot seg utelukke med S-MRCP, ved tydelig fremstilling av gangen hos begge. De er utskrevet i velbefinnende, og det har ikke senere oppstått problemer som kan knyttes til pancreasskade.

    En pasient utviklet lett posthepatisk icterus åtte måneder etter Whipples operasjon, og CT samt MR viste ingen tegn til patologiske funn nær hepatikojejunostomien. S-MRCP avslørte en liten, polyppliknende ”utvekst” på jejunumsiden av anastomosen, som senere lot seg biopsere via perkutan transhepatisk kolangiografi (PTC). Histologisk undersøkelse viste benigne celler. Man valgte å dilatere anastomosen via PTC, og pasienten har etter det vært symptomfri i fire måneder. S-MRCP gav en mer detaljrik fremstilling av anastomoseområdet, noe som muliggjorde en målrettet biopsi samt dilatasjon.

    En pasient med ”teltskade” av gallegangen ved laparoskopisk kolecystektomi ble undersøkt med S-MRCP etter at ERCP hadde vist en 2 – 3 mm trang stenose (feilplassert klips) som ikke syntes å føre til kritisk avløpshinder, ettersom bilirubinnivået og leverfunksjonsprøvene var normale. Pasienten fikk imidlertid magesmerter etter hvert måltid, og tilstanden hadde progrediert gjennom fire måneder (tiden fra operasjonen). Ved S-MRCP fikk pasienten samme smerter som hun pleide å få ved måltider, og fremstillingen av gallegangen viste en trådtynn stenose (fig 4). Fortolkningen var at sekresjonstrykket ved sekretinstimulering syntes å være vesentlig lavere enn injeksjonstrykket ved ERCP, og at fremstillingen av stenosen derfor var mest representativ ved S-MRCP. Pasienten ble operert, og da man tok av klipsen som affiserte gallegangen, var lumen i ductus choledochus knapt kanylerbart med spissen av en ”slank arteriepinsett”. Funnet ved S-MRCP var altså meget vel forenlig med det man fant ved laparotomi.

    Diskusjon

    Diskusjon

    I vår undersøkelse har S-MRCP vært en svært nyttig diagnostisk metode som økte den diagnostiske sikkerhet hos 90 % av pasientene på en måte som ikke var mulig å oppnå ved andre bildediagnostiske undersøkelser. Nøkkelen til ny informasjon hos de fleste pasientene var kombinasjonen av bedret bildefremstilling og funksjonstesting, sammenholdt med fortolkning av klinisk informasjon under undersøkelsen. Forutsetningen for å ha nytte av undersøkelsen er imidlertid at pasientene velges ut fra en klar problemstilling basert på grundig klinisk undersøkelse og radiologisk utredning ved CT, ultralyd, MR/MRCP og/eller ERCP. S-MRCP har således ikke vært noen førstevalgsundersøkelse i denne pasientserien (tab 2). Poenget med sekretinstimuleringen er den økte utskilling av vann og bikarbonat som utvider gangsystemet både i pancreas og galleveiene. Selve sekretinstimuleringen er nærmest risikofri, og den gir en bildediagnostisk gevinst fordi begge gangsystemer fremstår mer detaljrike.

    Sphincter Oddi-dysfunksjon er en vanskelig tilstand å diagnostisere. Ofte har pasienten vedvarende smerteanfall etter kolecystektomi. Tilstanden kan klinisk til forveksling likne et choledochuskonkrement med spontan avgang. Smerteanfallene kommer imidlertid tilbake, til tross for at stein i dype galleveier ikke påvises. Årsaken er at patologisk motilitet i sphinctermuskulaturen er den etiologiske bakgrunn for plagene. Det er publisert flere detaljerte kriterier for denne tilstanden (4 – 6). En av de refererte pasienten med denne indikasjonen (fig 1a, 1b) illustrerer at S-MRCP kan bidra til en betydelig bedring i den diagnostiske sikkerhet. Ytterligere sikkerhet kan oppnås etter sphincterotomi, hvis sekretinstimulering da ikke gir smerteanfall og dilatasjon av gangsystemet.

    Ved stenoser i pancreasgangen er det et klassisk problem å skille maligne stenoser fra residiverende eller kronisk pankreatitt (7, 8). Det er angitt kriterier for å vurdere forandringer som skyldes kronisk pankreatitt ved S-MRCP (9, 10). I vår undersøkelse har disse kriteriene gitt økt sannsynlighet for å stille denne diagnosen. Allikevel kan vi ikke ut fra de første pasientene vi undersøkte med S-MRCP på denne problemstilling sikkert si om metoden klart kan skille mellom benigne og maligne stenoser.

    Pancreas divisum kan teoretisk sett påvises ved ERCP i nesten alle tilfeller. I praktisk klinisk arbeid viser det seg imidlertid at fremstilling kun av galleveiene aksepteres i en del tilfeller. Dette kan man vanskelig kritisere fordi heroisk innsats for å fylle pancreasgangen kan føre til pankreatitt hos noen pasienter. S-MRCP bidrog i vår serie til å avsløre tre tilfeller av ikke-erkjent pancreas divisum. Metoden er således et nyttig verktøy (11), uten risiko for pankreatittutvikling.

    Våre erfaringer med S-MRCP ved problemstilling skleroserende kolangitt er foreløpig begrenset. Konvensjonell MRCP har dog vist lovende resultater (12), og metodikken vil sannsynligvis også her være et supplement.

    Ved abdominaltraumer forårsaket av stump gjenstand er det i noen tilfeller vanskelig å avgjøre om en pasient bør laparotomeres ved mistanke om alvorlig skade av bukspyttkjertelen. Venter man for lenge, kan pasienten utvikle livstruende sepsis. Laparotomerer man ved minste kliniske mistanke om alvorlig skade, vil mange av inngrepene i ettertid vise seg å være unødvendige. De to refererte pasienter illustrerer at sikkerheten ved konservativ, ekspektativ behandling kan økes med S-MRCP. Den praktiske konsekvens vil forhåpentlig være at antall unødvendige laparotomier reduseres. Også forsinkede inngrep kan unngås hvis S-MRCP gjøres raskt når pancreasgangen er revet over. Tilstanden vil da trolig avsløres tydelig, slik at nødvendig kirurgi kan gjennomføres umiddelbart.

    Endelig representerer S-MRCP-fremstilling av galleveier etter kirurgiske inngrep en vesentlig nyvinning, både fordi tilgang til galleveiene for eksempel etter anleggelse av Roux-Y-anastomose er vanskelig, og fordi fysiologisk sekresjonstrykk i galleveiene gir en mer realistisk fremstilling enn ERCP.

    S-MRCP representerer et nyttig supplement innen pancreas- og galleveisdiagnostikk, men målrettet indikasjonsstilling basert på klinisk undersøkelse og supplerende utredning ansees nødvendig.

    Kommentarer  ( 0 )

    Anbefalte artikler