Hyperprolaktinemi er relativt vanlig, og pasientene med hyperprolaktinemi utredes og behandles innenfor flere medisinske spesialiteter. Det kliniske bildet ved hyperprolaktinemi er først og fremst relatert til redusert gonadefunksjon, noe som gir menstruasjonsforstyrrelse, infertilitet og impotens (1). Målet med den kliniske utredningen er å klarlegge årsaken til hyperprolaktinemien. Bortsett fra medikamentelt indusert hyperprolaktinemi er prolaktinom, det vil si et prolaktinproduserende adenom i hypofysen, en hyppig årsak. Prolaktinom er også den vanligst forekommende av de hormonproduserende hypofyseadenomene. De fleste prolaktinomer er små (såkalte mikroadenomer:< 10 mm) og gir symptomer forårsaket av forhøyet prolaktinnivå. Enkelte ganger er prolaktinomene større (makroadenomer: 10 mm i diameter) og har vokst ut av sella turcica. De kan da i tillegg til hyperprolaktinemi gi symptomer som skyldes kompresjon av omliggende vev og strukturer, eller svikt i hypofysens produksjon av andre hormoner. Prolaktinnivået korrelerer vanligvis med tumorstørrelsen (2).
Hensikten med denne artikkelen er å gi en oversikt over diagnostikk og behandling av pasienter med hyperprolaktinemi, basert på gjenomgang av relevant litteratur og dagens norske behandlingstradisjon.
Hyperprolaktinemi
Sekresjonen av prolaktin fra laktotrope celler i hypofysen hemmes av dopamin. Dopamin utskilles i hypothalamus og transporteres med et lokalt portvenesystem via hypofysestilken til hypofysen. Alle prosesser eller medikamenter som hemmer sekresjon av dopamin i hypothalamus og/eller transporten til hypofysen, kan derfor gi hyperprolaktinemi. Sekresjonen av prolaktin er pulsatil, men dette er uten praktisk betydning for prøvetaking på dagtid. I tillegg til rene prolaktinomer forekommer veksthormonproduserende adenomer, som i 20 – 30 % av tilfellene i tillegg også produserer prolaktin (1). Ikke-hormonproduserende hypofyseadenomer kan gi hyperprolaktinemi ved kompresjon av hypofysestilken. Dette kan hemme den lokale transporten av dopamin fra hypothalamus til hypofysen. Dermed reduseres den hemmende effekten av dopamin på hypofysens prolaktinproduksjon, og man får hyperprolaktinemi. Dette fenomenet kalles pseudoprolaktinomer (3).
Mange andre tilstander kan gi forhøyede prolaktinnivåer. Vanligvis skyldes dette endret nevroendokrin kontroll av prolaktinsekresjonen. Karakteristisk er da lett til moderat forhøyede nivåer av prolaktin, oftest omkring 1 000 mIE/l, sjelden over 2 000 mIE/l (1). Den hyppigste årsaken til hyperprolaktinemi er medikamenter som påvirker dopaminsekresjonen, vanligvis nevroleptika og trisykliske antidepressiver. Ved en del sykdommer sees ledsagende hyperprolaktinemi. Dette gjelder kanskje først og fremst kvinner med polycystisk ovariesyndrom (PCOS), der man kan se lett forhøyet prolaktinnivå i opptil 25 % av tilfellene. Årsaken kan være redusert hypotalamisk dopaminproduksjon eller endringer i dopaminreseptoren (4, 5). Ved primær hypotyreose sees lett til moderat økt serum-prolaktinnivå i 40 % av tilfellene (6). Årsaken er trolig økt produksjon av tyreotropinfrisettende hormon (TRH), som, i tillegg til å stimulere hypofysens produksjon av thyreoideastimulerende hormon (TSH), også stimulerer hypofysens prolaktinproduksjon og samtidig øker de laktotrope cellenes følsomhet for TRH (7). Ved nyresvikt kan kombinasjonen av redusert ”prolaktinclearance” og økt produksjon grunnet endret hypotalamisk regulering av prolaktinsekresjonen gi hyperprolaktinemi (8). Også levercirrhose kan gi hyperprolaktinemi, trolig via redusert hypotalamisk dopaminproduksjon (1).
Noen ganger påvises biokjemisk hyperprolaktinemi uten samtidige kliniske tegn og symptomer på hyperprolaktinemi. Prolaktinnivåene kan da tidvis være på 5 000 – 6 000 mIE/l og over. Dette skyldes prolaktinmolekyler med høy molekylvekt (> 100 kDa), såkalt ”big big prolaktin”. Denne isoformen har lav biologisk aktivitet, og den kliniske betydning er uklar (9, 10). Pasienter med denne form for hyperprolaktinemi skal ikke behandles.
Iblant finnes ingen forklaring på pasientens hyperprolaktinemi, såkalt idiopatisk hyperprolaktinemi. Noen av disse tilfellene antar man skyldes et ikke-radiologisk påvisbart mikroprolaktinom eller en dysregulering av den hypotalamiske dopaminsekresjonen (tab 1).
Tabell 1
Årsaker til hyperprolaktinemi
| Hypofysær sykdom |
| Prolaktinom |
| Akromegali |
| Tom sella-syndrom |
| Cushings sykdom |
| Pseudoprolaktinom: bl.a. ikke-hormonproduserende adenom, meningiom, intrasellære germinomer med hypofysestilkkompresjon |
| Infiltrative sykdommer: bl.a. sarkoidose, histiocytose |
| Hypotalamisk sykdom |
| Tumorer: Bl.a. kraniofaryngeom, germinom, gliom, metastaser |
| Infiltrative sykdommer: bl.a. sarkoidose, histiocytose, tuberkulose |
| Kranial strålebehandling |
| Legemidler |
| Nevroleptika |
| Antidepressiver |
| Reseptorblokkere: metoklopramid, cimetidin. |
| Antihypertensiver: alfametyldopa, reserpin |
| Østrogen |
| Opiater |
| Nevrogen |
| Brystvortestimulering |
| Tverrsnittsskade |
| Annet |
| Graviditet |
| Polycystisk ovariesyndrom |
| Primær hypotyreose |
| Alvorlig nyresvikt |
| Levercirrhose |
| Fysisk og psykisk stress |
| Idiopatisk |
Symptomer og patofysiologi
Hyperprolaktinemi påvirker først og fremst gonadotropinproduksjonen og medfører hypogonadotrop hypogonadisme hos både menn og kvinner. Den viktigste virkningen av prolaktin ligger trolig på hypotalamisk nivå (11). Den pulsatile sekresjon av gonadotropiner, luteiniserende hormon (LH) og follikkelstimulerende hormon (FSH) reduseres både i amplitude og frekvens (12, 13). Hyperprolaktinemi hemmer også den positive feedback som østrogen har på gonadotropinfrisettingen fra hypofysen (14). Prolaktin har også en direkte hemmende effekt på ovarienes progesteronsekresjon (11).
Hos kvinner dominerer menstruasjonsforstyrrelser (oligo-amenoré) og infertilitet symptombildet. Prolaktin stimulerer kjertelvevet i mamma og øker produksjonen av melkeproteiner og andre komponenter, noe som ofte gir galaktoré (15). Menstruasjonsforstyrrelsene medfører at kvinner ofte søker lege tidlig, ikke sjelden i forbindelse med infertilitetsutredning.
Makroprolaktinomer som forårsaker lokal volumeffekt, og blant annet kan medføre synsfeltsutfall, er hyppigere hos menn enn hos kvinner. Dette skyldes nok at menn i større grad ignorerer symptomer på seksuell dysfunksjon (impotens og tap av libido). Den diagnostiske forsinkelse dette medfører er trolig årsaken til at menn oftere har makroadenomer ved diagnosetidspunktet (1). Det er også mulig at makroadenomer er biologisk forskjellige fra mikroadenomer (tab 2).
Tabell 2
Kliniske tegn og symptomer på hyperprolaktinemi
| Redusert libido |
| Oligo-amenoré, primær og sekundær |
| Galaktoré |
| Infertilitet |
| Redusert potens/impotens |
| Gynekomasti |
| Vektøkning |
| Osteopeni/osteoporose |
| Depresjon |
| Synsfeltsutfall og ev. oftalmoplegi (ved makroprolaktinom) |
Utredning av hyperprolaktinemi
Nøyaktig anamnese, med medikamentanamnese, klinisk undersøkelse, screeningblodprøver samt graviditetstest, vil vanligvis kunne utelukke eller bekrefte de vanligste årsaker til hyperprolaktinemi som ikke skyldes hypothalamus- og/eller hypofysesykdom. Screeningblodprøver bør omfatte TSH, LH, FSH, østradiol, testosteron, SHBG (sexhormonbindende globulin), ALAT og kreatinin. Gir den initiale utredningen ingen sikker forklaring på pasientens hyperprolaktinemi, må en ekspansiv prosess i hypofyse eller hypofysenære områder utelukkes.
MR-undersøkelse er i dag den beste metoden for påvisning av små hypofyseadenomer (ned til 2 mm). CT-undersøkelse påviser som regel mikroadenomer ( 4 mm) og makroadenomer. Makroadenomer er spesielt viktig å påvise, da disse skal behandles av spesialist i endokrinologi med erfaring i slik behandling (tab 3).
Tabell 3
Utredning av hyperprolaktinemi
| Bekrefte hyperprolaktinemi (gjenta prolaktinbestemmelse i en ikke-stresset situasjon) |
| Vurdere gonadefunksjon: luteiniserende hormon, folikkelstimulerende hormon, østradiol, testosteron og sexhormonbindende globulin |
| Utelukke graviditet (U-HCG) |
|
|
Naturlig forløp av ubehandlet prolaktinom
I post mortem-studier påvises mikroprolaktinomer hos om lag 5 %. Hvorvidt dette er ”ekte” mikroprolaktinomer er ukjent, da man kun påviser at de inneholder prolaktin og ikke hvorvidt de faktisk har utskilt prolaktin. Makroprolaktinomer er derimot uvanlig, både i klinisk praksis og i obduksjonsmaterialer (16). Dette betyr nødvendigvis at vekst av et mikroadenom til et makroadenom faktisk er svært uvanlig.
De fleste mikroprolaktinomer vokser langsomt, og mange adenomer viser overhodet ingen vekst eller endog regresjon i løpet av flere års observasjonstid (17). I studier av ubehandlede pasienter, fulgt i inntil åtte år, fant man tumorvekst hos mindre enn 6 %, og prolaktinnivåene forble uendret eller sank hos 75 % av pasientene (2, 18). Graviditet med økt østrogenstimulering kan tidvis gi vekst av prolaktinomer. Østrogen stimulerer DNA-syntese, øker prolaktin-mRNA, prolaktinsyntese og mitotisk aktivitet i hypofysens prolaktinproduserende (laktotrope) celler (19). Under graviditet sees økende størrelse og antall av laktotrope celler (20) parallelt med en økning av serum-prolaktin (21). Likevel sees vekst av mikroprolaktinomer under graviditet hos kun 6 %, mens man ved makroprolaktinomer ser vekst i ca. 25 % av tilfellene (22). Samtidig er det rapportert at noen prolaktinomer avtar i størrelse post partum (23, 24), på samme måte som man ser en viss reduksjon (normalisering) av hypofysevolumet post partum (1). Muligens skyldes dette vaskulære forandringer under og etter graviditet (25) og/eller bortfall av østrogenstimulering. Bortsett fra enkelte makroprolaktinomer er ikke vekst av prolaktinomer noe stort problem under graviditet.
Hyperprolaktinemi og beintetthet
Kvinner med prolaktinindusert sekundær amenoré har redusert beintetthet (bone mineral density, BMD) (26). Prolaktin virker indirekte via redusert østrogennivå (hypogonadotrop hypogonadisme). Behandling som gjenoppretter normal menstruasjon og dermed også normaliserer østrogennivåene, øker eller normaliserer beintettheten (25). Også hos hyperprolaktinemiske hypogonadale menn sees redusert beintetthet (27). Hos yngre kvinner og menn som ikke har nådd sin maksimale beinmasse, gjenstår ofte betydelig redusert beintetthet til tross for adekvat behandling av hyperprolaktinemien (28).
Behandling
Målet med behandling av hyperprolaktinemi er å normalisere prolaktinnivåene, gjenopprette en normal gonadefunksjon og dermed forhindre de kliniske konsekvensene. Behandlingen av makroprolaktinom skal i tillegg også beskytte synet og bevare hypofysens øvrige endokrine funksjon. Ved både mikro- og makroadenom har behandlingen også som mål å redusere eller helst eliminere prolaktinomet. Det er imidlertid viktig å presisere at ikke alle pasienter skal behandles (se senere).
Inntil omkring 1980 var tumorekstirpasjon primærbehandling. Ofte ble operativ behandling etterfulgt av radioterapi. Dette gav imidlertid en relativ høy forekomst av hypofysesvikt. Dopaminagonister ble tilgjengelige mot slutten av 1970-årene og erstattet i løpet av få år kirurgi og radioterapi som primærbehandling. Behandlingstradisjonen er dog forskjellig, og i internasjonal litteratur er det fortsatt en viss uenighet om primærbehandlingen bør være medisinsk eller kirurgisk (29). I Norge er det imidlertid ingen uenighet. Primærbehandlingen er medikamentell, såfremt dette ikke er kontraindisert, gir intolerable bivirkninger eller pasienten motsetter seg medikamentell behandling.
Medikamenter
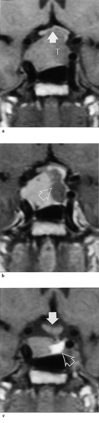
Dopaminagonistene hemmer prolaktinsekresjonen ved å binde seg til og stimulere dopaminreseptorene på de laktotrope cellene (30). Ved langtidsbehandling av mikroprolaktinom gjenopprettes gonadefunksjon hos 80 – 90 % av pasientene (2, 31). Ved tidligere ubehandlet makroprolaktinom oppnås normoprolaktinemi hos inntil 85 % av pasientene (32), og mer enn 25 % reduksjon av tumorvolum sees hos om lag 80 % av pasientene (32, 33) (fig 1).
Bromokriptin. Bromokriptin er en effektiv ikke-selektiv dopaminagonist som ble introdusert i begynnelsen av 1970-årene. Den gir relativt ofte bivirkninger som generell uvelfølelse, hodepine, hypotensjon, gastrointestinale plager, tretthet og depresjon (34). Selv ved langsom opptrapping av dosen vil en betydelig andel pasienter (inntil 12 %) ikke tolerere tilstrekkelig store doser til å normalisere prolaktinnivåene (31).
Quinagolid . Quinagolid, en selektiv dopamin 2-reseptoragonist, har god prolaktinreduserende effekt både ved mikro- og makroprolaktinom og ved hyperprolaktinemi av annen årsak (35, 36). Pasienter med bivirkninger av bromokriptinbehandlingen tolererer ofte quinagolid bedre og får en større reduksjon av prolaktinnivåene enn ved bromokriptinbehandling (37). Også ved bromokriptinresistens kan quinagolid være effektivt (37, 38). Av 21 bromokriptinresistente pasienter (15 makro- og seks mikroadenomer) fikk 11 normalisering av prolaktinnivået etter tre måneders behandling med quinagolid (38).
Kabergolin. Kabergolin er en selektiv dopamin 2-reseptoragonist med lang halveringstid. Hos kvinner med amenoré sekundært til hyperprolaktinemi er kabergolin betydelig mer effektivt enn bromokriptin. I en studie normaliserte kabergolin prolaktinnivåene hos 83 % av pasientene, mens bromokriptin gav normalisering hos 59 %. 72 % av kvinnene behandlet med kabergolin og 52 % av kvinnene behandlet med bromokriptin fikk ovulasjonssykler eller ble gravide. Bare 3 % av pasientene i kabergolingruppen mot 12 % i bromokriptingruppen avsluttet behandlingen på grunn av bivirkninger (31).
Hos 27 bromokriptinresistente pasienter, hvorav 20 også var quinagolidresistente, normaliserte kabergolin prolaktinnivåene hos alle de åtte pasientene med mikroprolaktinom og hos 15 av 19 pasienter med makroprolaktinom. Reduksjon av tumorvolum ble påvist hos 13 av 27 pasienter, og man så symptomreduksjon hos 25 av 27 pasienter (39). I en studie der man sammenliknet effekten av kabergolin og quinagolid, var det lik effekt på gonadefunksjon, synsfeltsutfall og reduksjon av prolaktinnivå. Kabergolin hadde imidlertid større tumorreduserende effekt og ble bedre tolerert (40).
Graviditet og behandling av prolaktinom
Det finnes ikke holdepunkter for at bromokriptin, quinagolid eller kabergolin har teratogene effekter eller på annen måte påvirker fosteret negativt. Naturligvis har man betydelig større erfaring med bromokriptin, og det foreligger data for vel 6 000 gravide kvinner behandlet med dette midlet (2). Hos 226 kvinner som ble gravide under behandling med kabergolin, var det ingen økt forekomst av abort, svangerskapskomplikasjoner eller malformasjoner (41). Dopaminagonister bør av generelle sikkerhetshensyn seponeres ved graviditet hos pasienter med mikroprolaktinom. Ved makroprolaktinom foreligger det en liten, men reell fare for tumorvekst under graviditeten som gjør at fortsatt behandling med dopaminagonister kan være aktuelt. Behandling av gravide med makroprolaktinom er imidlertid en spesialistoppgave og skal uføres av endokrinologer med erfaring fra slike problemstillinger.
Behandling med østrogen
I dyreforsøk stimulerer høydose østrogen både oppkomst og vekst av prolaktinomer (42). Humanstudier har imidlertid ikke gitt holdepunkter for slike effekter ved terapeutiske østrogendoser (43). Osteoporoseprofylakse med østrogen kan derfor benyttes hos kvinner med prolaktinom. Et unntak kan være makroprolaktinomer når tumorreduserende behandling er indisert. Slike pasienter bør uansett følges av erfarne endokrinologer.
Kirurgi
Ved transsfenoidal mikrokirurgisk reseksjon av mikroprolaktinomer kureres 70 %. Av disse residiverer 17 %, noe som medfører at 59 % oppnår langsiktig normoprolaktinemi. Ved makroprolaktinomer helbredes 32 % initialt, mens residiv forekommer hos 19 %. Dette gir en langsiktig helbredelse på bare 26 % (1).
Uansett kirurgens erfaring foreligger det en reell risiko for komplikasjoner, f.eks. hypofysesvikt (44, 45). Man kan heller ikke neglisjere at mortaliteten ved transsfenoidal kirurgi for mikroprolaktinomer er 0,27 % (29).
Radioterapi
Radioterapi har aldri vært primærbehandling og brukes i Norge nesten utelukkende som supplement ved behandling av kompliserte makroprolaktinomer, ved medikamentresistente adenomer og ved residiv- eller resttumor etter kirurgisk behandling. Radioterapi har dårlig effekt med henblikk på å normalisere prolaktinnivået, men kan redusere tilveksten av en aggressivt voksende tumor. Den vanligste komplikasjonen ved radioterapi er hypofysesvikt, som ofte utvikles gradvis i løpet av 10 – 15 år. Denne bivirkning er lavere eller kanskje endog neglisjerbar ved moderne radioterapi med såkalt strålekniv, som er det som benyttes i Norge i alle de tilfellene hvor det ligger til rette for det.
Behandlingsanbefalinger
Hyperprolaktinemi og mikroadenom
Ikke alle pasienter trenger behandling. Dette kan for eksempel gjelde pasienter med
– medikamentelt utløst hyperprolaktinemi
– kvinner i fertil alder med rimelig regelmessig menstruasjon
– postmenopausale kvinner
– symptomløse menn
Hos pasienter der man ønsker å gjenopprette normal gonadefunksjon og dermed redusere risikoen for osteoporose, må kabergolin sies å være første medikamentvalg. Til tross for lav bivirkningsfrekvens anbefales det å starte med lav dose, f.eks. 0,25 mg ( tablett) to ganger per uke. Dosen økes hver fjerde uke med en tablett per uke til normoprolaktinemi oppnås. Vanlig vedlikeholdsdose er 1 – 3 mg/uke. Vedlikeholdsdosen kan ofte reduseres etter noen måneders behandling.
Det finnes ikke gode data for når behandling kan eller bør seponeres. Vi mener prøveseponering bør skje etter 3 – 5 års normoprolaktinemi. Seponering lykkes oftere hos pasienter med betydelig tumorregresjon og/eller normoprolaktinemi på lave medikamentdoser. Hvis serum-prolaktinnivået stiger og pasienten igjen får kliniske symptomer, startes behandlingen på ny.
Makroadenom
Kabergolin er også ved makroadenomer et godt førstevalg. I sjeldne tilfeller kan det være nødvendig også å operere pasienten for å redusere lokale trykksymptomer. Hvis man ikke oppnår vesentlig reduksjon av prolaktinnivåene og derfor kan frykte tumorvekst, skal pasientene rutinemessig følges med MR og eventuelt synsfeltsundersøkelse om MR-funn gir grunnlag for det. Det bør imidlertid alltid gjøres en kontrollrøntgenundersøkelse 3 – 6 måneder etter behandlingsstart, avhengig av respons på prolaktinnivået.
Hvis det sees en betydelig reduksjon av prolaktinnivåene og tumor går tilbake, anbefales senere CT- eller MR-kontroller ved stigende prolaktinnivåer eller klinisk mistanke om tumorvekst.
Medikamentell behandling av makroprolaktinomer må nærmest uten unntak fortsettes, men dosen kan tidvis reduseres. Slik behandling og oppfølging blir derfor i prinsippet livslang.
Forfatterne representerer Norsk Neuroendokrin Interessegruppe, som består av folk fra de endokrinologiske seksjoner, nevrokirurgiske avdelinger og nevroradiologiske seksjoner ved våre fem regionsykehus. Gruppen arbeider for å fremme det tverrfaglige samarbeid omkring nevroendokrine sykdommer. Til møtevirksomhet har gruppen mottat støtte fra legemiddelfirmaet Novartis Norge A/S.
- 1.
Molitch ME. Prolactinoma. I: Melmed S, red. The pituitary. Boston: Blackwell Scientific, 1995: 443 – 77.
- 2.
Molitch ME. Diagnosis and treatment of prolactinomas. Adv Intern Med 1999; 44: 117 – 53.
- 3.
Grossman A, Besser GM. Regular review: prolactinomas. BMJ 1985; 290: 182 – 4.
- 4.
Cumming DC, Reid RL, Quigley ME, Rebae RW, Yen SS. Evidence for decreased endogenous dopamine and opioid inhibitory influence on LH secretion in polycystic ovary syndrome. Clin Endocrinol 1984; 20: 643 – 8.
- 5.
Legro RS, Muhleman DR, Comings DE, Lobo RA, Kovacs BW. A dopamine D3 reseptor genotype is associated with hyperandrogenic chronic anovulation and resistant to ovulation induction with clomiphene citrat in female hispanics. Fertil Steril 1995; 63: 779 – 84.
- 6.
Honbo KS, Herle AJV, Kellett KA. Serum prolaktin levels in untreated primary hypothyroidism. Am J Med 1978; 64: 782 – 7.
- 7.
Segerson TP, Kauer J, Wolfe HC, Mobtaker H, Wu P, Jackson IM et al. Thyroid hormone regulates TRH biosyntesis in paraventrikular nucleus of the rat hypothalamus. Science 1987; 238: 78 – 80.
- 8.
Hou SH, Grossman S, Molitch ME. Hyperprolactinemia in patients with renal insufficiency and chronic renal failure requering hemodialysis or chronic ambulatory peritoneal dialysis. Am J Kidney Dis 1985; 6: 245 – 9.
- 9.
Jackson RD, Worstman J, Malarkey WB. Characterization of a large molecular weight PRL in women with idiopathic hyperprolactinemi and normal menses. J Clin Endocrinol Metab 1985; 61: 258 – 64.
- 10.
Carlson HE, Markoff E, Lee DW. On the nature of serum prolactin in to patients with macroprolactinemia. Fertil Steril 1992; 82: 78 – 87.
- 11.
McNeilly AS. Prolactin and ovarian function. I: Müller EE, MacLeod RM, red. Neuroendocrine perspectives. Bd. 3. New York: Elsevier Science, 1984: 279 – 316.
- 12.
Klibanski A, Beitins IZ, Merriam GR, McArthur JW, Zervas NT, Ridgeway EC. Gonadotropin and prolactin pulsations in hyperprolactinemic women before and during bromocriptine therapy. J Clin Endocrinol Metab 1984; 58: 1141 – 7.
- 13.
Sauder SE, Frager M, Case GD, Kelch RP, Marshall JC. Abnormal patterns of pulsatile luteinizing hormone secretion in women with hyperprolactinemia and amenorrhea: responses to bromocriptine. J Clin Endocrinol Metab 1984; 59: 941 – 8.
- 14.
Glass MR, Shaw RW, Butt WR, Logan-Edwards RL, London DR. An abnormality of oestrogen feedback in amenorrhoea-galactorrhoea. BMJ 1975; 3: 274 – 5.
- 15.
Whitworth NS. Lactation in humans. Psychoneuroendocrinology 1988; 13: 171 – 88.
- 16.
Molitch ME, Russel EJ. The pituitary ”incidentaloma”. Ann Intern Med 1990; 112: 925 – 31.
- 17.
Schlechte J, Dolan K, Sherman B, Chapler F, Luciano A. The natural history of untreated hyperprolactinemia: a prospective analysis. J Clin Endocrinol Metab 1989; 68: 412 – 8.
- 18.
Crosignani PG, Mattei AM, Severini V, Cavioni V, Maggioni P, Testa G. Long-term effects of time, medical treatment and pregnancy in 176 hyperprolactinemic women. Eur J Obstet Gynecol Reprod Biol 1992; 44: 175 – 80.
- 19.
Shupnik MA, Baxter LA, French LR, Gorski J. In vivo effects of oestrogen on bovine pituitaries: prolactin and growth hormone biosynthesis and messenger ribonucleic acid translation. Endocrinology 1979; 104: 729 – 35.
- 20.
Goluboff LG, Ezrin C. Effects of pregnancy on the somatotroph and the prolactin cell of the human adenohypophysis. J Clin Endocrinol Metab 1969; 29: 1533 – 8.
- 21.
Tyson JE, Hwang P, Guyda H, Friesen H. Studies of prolactin secretion in human pregnancy. Am J Obstet Gynecol 1972; 113: 14 – 20.
- 22.
Molitch ME. Pregnancy and the hyperprolactinemic woman. N Engl J Med 1985; 312: 1364 – 70.
- 23.
Jeffcoate WJ, Pound N, Sturrock NDC, Lambourne J. Long-term follow-up of patients with hyperprolactinaemia. Clin Endocrinol 1996; 45: 299 – 303.
- 24.
Crosignani PG, Mattei AM, Scarduelli C, Cavioni V, Boracchi P. Is pregnancy the best treatment for hyperprolactinaemia? Hum Reprod 1989; 4: 910 – 12.
- 25.
Webster J. Clinical management of prolactinomas. Bailleres Clin Endocrinol Metab 1999; 13: 395 – 408.
- 26.
Klibanski A, Biller BMK, Rosenthal DI, Schoenfeld DA, Saxe V. Effects of prolactin and estrogen deficiency in amenorrheic bone loss. J Clin Endocrinol Metab 1988; 67: 124 – 30.
- 27.
Di Somma C, Colao A, Di Sarno A, Klain M, Landi ML, Facciolli G et al. Bone markers and bone density responses to dopamine agonist therapy in hyperprolactinemic males. J Clin Endocrinol Metab 1998; 83: 807 – 13.
- 28.
Colao A, Di Somma C, Loche S, Di Sarno A, Klain M, Pivonello R et al. Prolactinomas in adolescents: persistent bone loss after 2 years of prolactin normalization. Clin Endocrinol 2000; 52: 319 – 27.
- 29.
Molitch ME, Thorner MO, Wilson C. Management of prolactinomas. J Clin Endocrinol Metab 1997; 82: 996 – 1000.
- 30.
Sibley DR, Creese I. Interactions of ergot alkaloids with anterior pituitary D-2 dopamine receptors. Mol Pharmacol 1983; 23: 585 – 93.
- 31.
Webster J, Piscitelli, Polli A, Ferrari CI, Ismail I, Scanlon M for the Cabergoline Comparative Study Group. A comparison of cabergoline and bromocriptine in the treatment of hyperprolactinemic amenorrhea. N Engl J Med 1994; 331: 904 – 9.
- 32.
Ferrari CI, Abs R, Bevan JS, Brabant G, Ciccarelli E, Motta T et al. Treatment of macroprolactinoma with cabergoline: a study of 85 patients. Clin Endocrinol 1997; 46: 409 – 13.
- 33.
Bevan JS, Webster J, Burke CW, Scanlon MF. Dopamin agonists and pituitary tumor shrinkage. Endocr Rev 1992; 13: 220 – 40.
- 34.
Webster J. A comparativ review of the tolerability profiles of dopamin agonists in the treatment of hyperprolactinaemia and inhibition of lactation. Drug Saf 1996; 14: 228 – 38.
- 35.
Rasmussen C, Brownell J, Berght T. Clinical response and prolactin concentration in hyperprolactinemic women during and after treatment for 24 months with the new dopamine agonist, CV 205 – 502. Acta Endocrinol 1991; 125: 170 – 6.
- 36.
Merola B, Sarnacchiaro F, Colao A, Di Somma C, Di Sarno A, Landi ML et al. CV 295 – 502 in the treatment of tumoral and non-tumoral hyperprolactinemic states. Biomed Pharmacother 1994; 48: 167 – 74.
- 37.
Vilar L, Burke CW. Quinagolide efficacy and tolerability in hyperprolactinaemic patients who are resistant to or intolerant of bromocriptine. Clin Endocrinol 1994; 41: 821 – 6.
- 38.
Brue T, Pellegrini I, Gunz G, Morange I, Dewailly D, Brownell J et al. Effects of the dopamin agonist CV 205 – 502 in human prolactinomas resistant to bromocriptine. J Clin Endocrinol Metab 1992; 74: 577 – 84.
- 39.
Colao A, Di Sarno A, Sarnacchiaro F, Ferone D, Di Renzo G, Merola B et al. Prolactinomas resistant to standard dopamine agonists respond to chronic cabergoline treatment. J Clin Endocrinol Metab 1997; 82: 876 – 83.
- 40.
Di Sarno, Landi ML, Marzullo P, Di Somma C, Pivonello R, Cerbone G et al. The effect of quinagolide and cabergoline, two selective dopamine receptor type 2 agonists, in the treatment of prolactinomas. Clin Endocrinol 2000; 53: 53 – 60.
- 41.
Robert E, Musatti L, Piscitelli G, Ferrari CI. Pregnancy outcome after treatment with the ergo derivate, cabergoline. Reprod Toxicol 1996; 10: 333 – 7.
- 42.
Lloyd RV. Estrogen-induced hyperplasia and neoplasia in the rat anterior pituitary gland: an immunohistochemical study. Am J Pathol 1983; 113: 198 – 206.
- 43.
Corenblum B, Donovan L. The safety of physiological estrogen plus progestin replacement therapy and with oral contraceptive therapy in women with pathological hyperprolactinemia. Fertil Steril 1993; 59: 671 – 3.
- 44.
Wilson CB. Extensive surgical experience. Surgical management of pituitary tumors. J Clin Endocrinol Metab 1997; 82: 2381 – 5.
- 45.
Tyrell JB, Lamborn KR, Hannegan LT, Applebury CB, Wilson CB. Transsphenoidal microsurgical therapy of prolactinomas: initial outcomes and long-term results. Neurosurgery 1999; 44: 254 – 63.