Cerebral computertomografi ved subaraknoidalblødning

    ()

    sporsmal_grey_rgb
    Abstract

    Korrekt og rask diagnostikk er viktig ved mistanke om subaraknoidalblødning. Cerebral computertomografi (CT) uten kontrast utføres hurtigst mulig av alle pasienter som innlegges ved Sentralsykehuset i Akershus ved mistanke om slik blødning.

    Initial cerebral CT-undersøkelse av 70 pasienter (45 kvinner) med subaraknoidalblødning, median alder 51 år, ble gjennomgått retrospektivt for å vurdere nøyaktighet og verdi av metoden.

    Subaraknoidalblødning ble påvist ved første CT-undersøkelse hos 64 pasienter (91 %). De resterende seks pasienter hadde normalt CT-funn, men blødning ble påvist ved spinalpunksjon. Blod ble hyppigst påvist i basale cisterner (75 %), fissura Sylvii (73 %) og cerebrale kortikale sulci (67 %). Funn forenlig med økt intrakranialt trykk ble påvist hos 26 pasienter (41 %). Det var gått signifikant lengre tid fra symptomdebut til CT-undersøkelse hos pasienter med normalt i forhold til positivt CT-funn (median 87 timer mot 4 timer, p< 0,001).

    Vår studie viser at lumbalpunksjon bør utføres hos pasienter med negativ CT-undersøkelse, spesielt hos pasienter som undersøkes mer enn 20 til 30 timer etter symptomdebut.

    Abstract

    Background.

    A cerebral CT scan is routinely performed in all patients evaluated for subarachnoidal haemorrhage. Quick and accurate diagnosis is of the utmost importance in such patients, but the accuracy and value of the initial CT scan has not been fully established.

    Material and methods.

    Initial CT scans of 70 patients (45 women) with subarachnoid haemorrhage were reviewed retrospectively. Cerebral CT scans were performed without intravenous contrast and evaluated independently by two observers.

    Results.

    CT scans were positive for blood in the cerebrospinal fluid spaces in 64 out of 70 patients (91 %). Blood was most frequently seen in basal cisterns (75 %), Sylvian Fissure (73 %) and cerebral cortical sulci (67 %). Evidence of raised intracranial pressure was present in 26 patients (41 %). The site of the ruptured aneurysm could be localised by CT with high accuracy only in ruptured aneurysms of the middle cerebral artery. The median time from symptom onset to examination was significantly higher in patients with a normal than a pathological CT scan (87 hours vs. 4 hours, p< 0.001). A lumbar puncture was positive for blood in all six patients with a normal CT scan.

    Interpretation.

    This study demonstrates that a lumbal puncture should be performed after a normal cerebral CT scan if subarachnoid haemorrhage is clinically suspected.

    Artikkel

    Subaraknoidalblødning kan ramme personer i alle aldre, men barn affiseres praktisk talt aldri (1). Årsaken til subaraknoidalblødning er intrakranialt aneurisme (85 %), ikkeaneurismatisk perimesencefal blødning (10 %) og ulike sjeldne tilstander (5 %) (1). Aneurismeblødning er assosiert med høy morbiditet og mortalitet. Opptil 12 % av pasienter med aneurismeblødning dør før innleggelse i sykehus, 40 % dør i løpet av en måned etter hendelsen. Mer enn en tredel av dem som overlever, har alvorlige nevrologiske sekveler, slik som nedsatt hukommelse, lavt stemningsleie, talevansker og redusert arbeidskapasitet (2, 3). Pasienter med ikke-aneurismatisk perimesencefal blødning har bedre prognose (4).

    Det har vært betydelig fremgang når det gjelder operasjonsteknikk og postoperativ behandling av pasienter med cerebrale aneurismer. Det er mulig å ”sikre” aneurismene ved radiologiske intravaskulære eller kirurgiske metoder slik at ny blødning forhindres (1, 5 – 7). Uten slik behandling er det høy risiko for at aneurismer vil rumpere på nytt i løpet av uker eller måneder. Korrekt og rask utredning og diagnostikk er derfor viktig for best mulig resultat.

    Cerebral computertomografi (CT) utføres hurtigst mulig av alle pasienter som innlegges i Sentralsykehuset i Akershus med mistanke om subaraknoidalblødning. Tidligere studier har vist at cerebral CT er svært sensitiv for å påvise akutt subaraknoidalblødning, og undersøkelsen kan vise blod hos 90 – 100 % av pasienter med intracerebrale aneurismer som undersøkes i løpet av 24 timer etter blødning (8, 9). Imidlertid fjernes blod raskt fra subaraknoidalrommet, og sensitiviteten reduseres til 80 % etter tre dager, 70 % etter fem dager, 50 % etter en uke og 30 % etter to uker (9). Lumbalpunksjon skal utføres dersom initial cerebral CT-undersøkelse er negativ, men det er kliniske funn forenlig med subaraknoidalblødning. Det bør gå minst seks, helst 12 timer etter symptomdebut før spinalpunksjon utføres (1). Forsinkelsen er viktig fordi erytrocytter lyseres og bilirubin og oksyhemoglobin dannes. Pigmentet som gir cerebrospinalvæsken gul farge etter sentrifugering (xantokromi), utelukker traumatisk tapping og kan påvises i minst to uker etter blødning (1, 10).

    Målet med studien var å kartlegge i hvilke deler av cisternerommet det hyppigst påvises blod, sammenholdt med lokalisasjon av intrakraniale aneurismer påvist ved angiografi. Vi kjenner ikke sikkert nøyaktigheten av CT-diagnostikk ved subaraknoidalblødning ved norske sykehus, der det som regel er en assistentlege som først vurderer bildene. Det er derfor interessant å studere i hvilken grad det er samsvar mellom to uavhengige observatører, assistentlege og overlege med høy kompetanse i nevroradiologi.

    Materiale og metode

    Materiale og metode

    Journaler og cerebral CT-undersøkelse fra pasienter innlagt i Sentralsykehuset i Akershus med subaraknoidalblødning i perioden 1.1. 1995 til 31.12. 1998 ble gjennomgått retrospektivt. Det ble tatt utgangspunkt i datautskrifter for samtlige pasienter med diagnosen subaraknoidalblødning (ICD-10). Subaraknoidalblødning var bekreftet ved CT-undersøkelse og/eller spinalpunksjon 12 timer eller mer etter symptomdebut. Pasienter som døde på grunn av subaraknoidalblødning før innleggelse i sykehuset, ble ikke inkludert.

    Vi registrerte 85 pasienter med subaraknoidalblødning i perioden. Pasienter overflyttet fra annen institusjon (n = 6), pasienter med tidligere subaraknoidalblødning (n = 2), manglende journal eller CT-bilder (n = 4) og pasienter med sannsynlig primær intracerebral blødning med gjennombrudd til subaraknoidalrommet (n = 3) ble ekskludert. Det gjenstod da 70 pasienter (45 kvinner) med subaraknoidalblødning. Median alder var 51 år (spredning 23 – 87 år). Mediant tidsrom fra symptomdebut til CT-undersøkelse var 4 timer og 18 minutter (spredning: 45 min – 288 t).

    Tidspunkt og symptomer ved start av sykdommen ble registrert fra journalen. Den første cerebrale CT-undersøkelsen etter innleggelse ble gransket i ettertid av assistentlege og av overlege med høy kompetanse i nevroradiologi uavhengig av hverandre. Granskerne kjente til at det dreide seg om pasienter med subaraknoidalblødning, men utover dette hadde de ingen kjennskap til kliniske symptomer, funn ved undersøkelsen eller tidligere røntgenbeskrivelse. Dersom det forelå blødning, ble en mulig lokalisering av aneurismet foreslått, også dette uten kjennskap til angiografiopplysninger. Tegn på intrakranialt trykk var utvidelse av sideventriklene, spesielt temporalhorn, og/eller forstørret 3. ventrikkel, overskyvning av midtlinjestrukturer, endret form av basale cisterner og/eller periventrikulært ødem. Utvisket overflaterelieff ble tolket med forsiktighet, da blod i kortikale sulci ved subaraknoidalblødning kan forveksles med venøs stase ved hjerneødem (1). Dersom det var uoverensstemmelse mellom assistentlegens og overlegens vurderinger av bildene, ble man enig om funnene i fellesskap (konsensus). Studien var godkjent av regional komité for medisinsk forskningsetikk i Helseregion Sør.

    Cerebral CT ble utført med enkel aksial snittføring med pasienten i ryggleie, og det ble ikke benyttet intravenøs kontrast. Halvparten (n = 35) av pasientene ble undersøkt i Tomoscan LX-maskin fra North American Philips, mens de resterende 35 var undersøkt i HiSpeed Advantage CT-maskin fra General Electrics. Undersøkelseprotokoll i førstnevnte maskin var 5 mm tykke snitt i bakre skallegrop, deretter 10 mm tykke snitt opp til vertex. Protokoll i Advantage-maskinen var 3 mm tykke snitt i bakre skallegrop, deretter 7 mm tykke snitt opp til vertex. Sistnevnte, en mer moderne maskin, og tynnere snittføring, gav noe høyere detaljoppløselighet. Blod ekstravasalt intrakranialt var definert som områder med karakteristisk lokalisasjon og høy attenuasjonskoeffisient, ca. 70 Hounsfield Units (HU) (8).

    Konvensjonell angiografi ble utført med en monoplan DSA-enhet (Advantx, GE Medical Systems) i løpet av et døgn etter innleggelse, som tidligere beskrevet (11). Dersom ett aneurisme ble påvist, ble dette ansett som blødningskilde. Dersom flere aneurismer ble påvist hos samme pasient, ble antatt blødningskilde basert på aneurismeform, -størrelse og lokalisasjon av ekstravasert blod.

    Tid fra symptomdebut til CT-undersøkelse for pasienter med negativt mot positivt funn ble sammenliknet ved hjelp av Mann-Whitneys test for ikke-parametriske variabler. Tosidig p-verdi lavere enn 0,05 ble ansett som signifikant. Samsvar mellom to uavhengige observatører ble uttrykt med kappaverdier.

    Resultater

    Resultater

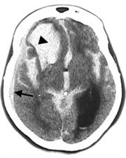
    Subaraknoidalblødning ble påvist ved CT-undersøkelse hos 64 av 70 pasienter (91 %). Blod ble hyppigst påvist i basale cisterner (75 %), i fissura Sylvii (73 %) og i cerebrale kortikale sulci (67 %) (tab 1, fig 1 – 5). Funn forenlig med økt intrakranialt trykk (utvidet ventrikkelsystem, spesielt sideventriklenes temporalhorn og/eller overskyvning av midtlinjestrukturer, endret form av basale cisterner, utvisket overflaterelieff og/eller periventrikulært ødem) ble påvist hos 26 pasienter (41 %).

    Tabell 1  

    Lokalisasjon av blod ved CT-undersøkelser positive for subaraknoidalblødning (n = 64)

    Lokalisasjon

    Antall

    Frontalt

    33

    Septum pellucidum

    10

    Basale cisterner

    48

    Intraventrikulært

    32

    Fissura Sylvii

    47

    Kortikale sulci

    43

    Perimesencefalt

    32

    Bakre skallegrop

    23

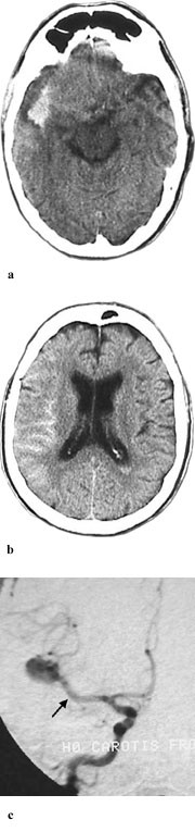
    Spinalpunksjon var positiv for blod hos alle pasienter med negativ CT-funn (n = 6). Av disse var tre undersøkt på Advantage-maskinen og tre på Philips-maskinen. Hos en pasient var det angitt xantokromi (gul spinalvæske). CT-undersøkelse viste tegn på økt intrakranialt trykk hos en av disse pasientene. Cerebral angiografi viste intrakranialt aneurisme hos fire, men var normal hos to av disse pasientene. Det gikk lengre tid fra symptomdebut til CT-undersøkelse hos pasienter med negative CT-funn i forhold til dem med positive CT-funn (median 87 timer mot 3 timer og 55 minutter, p< 0,001).

    Aneurismelokalisasjon

    Aneurismelokalisasjon

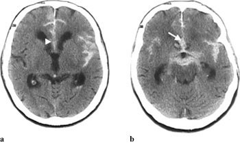
    Opplysninger vedrørende cerebral angiografi forelå hos 64 av 70 pasienter med subaraknoidalblødning. Av disse hadde ti (16 %) normalt funn. Til sammen 63 aneurismer ble påvist hos 52 pasienter (81 %). Intracerebral arteriovenøs malformasjon ble påvist hos to pasienter. Hos seks pasienter ble det gjort samtidig funn av henholdsvis fire (n = 2), tre (n = 1) og to (n = 3) aneurismer ved samme undersøkelse. Aneurismer ble hyppigst påvist på a. cerebri media, a. communicans anterior og a. carotis interna (tab 2). Påvisning av blod i subaraknoidalrommet kunne gi indikasjon på lokalisering av aneurismet (tab 2, fig 2, fig 4). Prediksjon for påvisning av lokalisasjon av blødende aneurisme var kun meget god for aneurismer på a. cerebri media, hvor 12 av 13 aneurismer ble lokalisert korrekt. Det var dårligere prediksjon for aneurismer lokalisert til a. communicans anterior og a. carotis interna, med henholdsvis 11 av 18 og fire av ti aneurismer riktig lokalisert. Angiografi var utført hos åtte av ti pasienter med blod i septum pellucidum, og hos samtlige ble det påvist aneurisme på a. communicans anterior (fig 4). For de andre lokalisasjonene var det få observasjoner og lav treffsikkerhet.

    Tabell 2  

    Lokalisasjon og totalt antall aneurismer påvist ved cerebral angiografi hos 52 pasienter. Dersom flere aneurismer ble påvist hos samme pasient, ble antatt blødningskilde basert på aneurismeform, -størrelse og lokalisasjon av ekstravasert blod

    Lokalisasjon

    Totalt antall

    Antatt blødningskilde

    Prediksjon (riktig – feil)

    A. cerebri media

    19

    13

    12 – 1 

    A. communicans anterior

    18

    18

    11 – 7 

    A. carotis interna

    11

    10

     4 – 6 

    A. vertebralis

     4

     1

     0 – 1 

    A. basilaris

     3

     3

     1 – 2 

    A. communicans posterior

     2

     2

     1 – 1 

    A. pericallosa

     2

     2

     0 – 2 

    A. cerebelli inferior

     1

     1

     0 – 1 

    A. ophthalmica

     1

     0

     0 – 0 

    A. cerebri anterior

     1

     1

     0 – 1 

    A. cerebri posterior

     1

     1

     0 – 1 

    Sum

    63

    52

    29 – 23

    Observatørsamsvar

    Observatørsamsvar

    Samsvar mellom to uavhengige observatører var 97 % med hensyn til blod, kappa = 0,83, og noe dårligere, 86 %, med hensyn til økt intrakranialt trykk, kappa = 0,7.

    Diskusjon

    Diskusjon

    Cerebral CT bør være første undersøkelse ved innleggelse i sykehus ved mistanke om subaraknoidalblødning. Det totale antall pasienter i studien er for lite til å gi noe presist estimat av nøyaktigheten av CT-diagnostikk ved subaraknoidalblødning, men studien indikerer at CT-undersøkelse har høy sensitivitet (91 %) for påvisning av slik blødning. Dette er i samsvar med tidligere studier (8, 9, 12). Disse inkluderte kun pasienter med påvist intrakranialt aneurisme, mens vår studie omfattet alle pasienter med subaraknoidalblødning, uavhengig av årsak. En svakhet ved vår studie er at ikke subaraknoidalblødning ble bekreftet ved spinalpunksjon hos pasienter med positiv CT-undersøkelse, men klinisk er det kontraindisert å spinalpunktere etter funn av subaraknoidalblødning på CT pga. stor fare for reblødning. Imidlertid må områder med høy attenuasjon i cerebrospinalvæsken med all sannsynlighet være blod, slik at falskt positive undersøkelser er usannsynlig.

    En negativ CT-undersøkelse bør følges av spinalpunksjon dersom det er klinisk mistanke om blødning, spesielt dersom det er gått lang tid (>20 – 30 timer) fra symptomdebut til CT-undersøkelse. Det bør gå minst seks, helst 12 timer etter symptomdebut før spinalpunksjon utføres (1). Etter noen få dager faller sensitiviteten av CT-undersøkelse for påvisning av blod i subaraknoidalrommet markert (9). Dette skyldes at blodet etter en stund fordeler seg og resorberes fra subaraknoidalrommet. Blod i basale cisterner resorberes først, mens mengden blod over hemisfærene kan øke etter noen få dager, da cerebrospinalvæsken strømmer fra basis opp over hjernens konveksiteter (13). Studier viser at blod i subaraknoidalrommet som regel fjernes etter 6 – 10 dager, mens det kan gå 15 – 30 dager før intracerebrale hematomer får markert redusert attenuasjon (8).

    I tillegg til å gi informasjon om blødning vil cerebral CT kunne påvise komplikasjoner til subaraknoidalblødning, som intracerebrale hematomer, akutt hydrocephalus, ødem eller iskemi. Funn forenlig med økt intrakranialt trykk ble påvist hos 41 % av pasientene i vår studie. Rinkel og medarbeidere (14) påviste hydrocephalus hos 11 av 40 pasienter med perimesencefal blødning uten aneurisme, og oppgav at blod i samtlige perimesencefale cisterner gav høy risiko for utvikling av hydrocephalus.

    Cerebral CT vil ofte kunne gi informasjon om lokalisering av aneurismet som ligger til grunn for blødning (8). Tidligere studier har vist at treffsikkerheten for lokalisering av aneurisme ut fra CT-undersøkelse kun var høy ved ruptur av aneurismer lokalisert til a. communicans anterior og a. cerebri anterior (15, 16). I vår studie fant vi høyest treffsikkerhet når det gjaldt blødning fra aneurisme på a. cerebri media, også med riktig sideangivelse, mens treffsikkerheten med hensyn til blødning fra aneurisme på a. communicans anterior var dårligere. Septum pellucidum-hematom er ansett som et sikkert tegn på aneurisme på a. communicans anterior (8), og dette ble bekreftet i vår studie. Derimot vil ikke alle aneurismer lokalisert til a. communicans anterior blø til septum pellucidum. Enkelte angir at blod i fissura interhemisphærica er et sikkert og hyppig tegn ved aneurismer på a. pericallosa, men dette var ukjent for oss da bildene ble gjennomgått. Lokalisering av blødende aneurisme før radiologisk eller kirurgisk sikring er spesielt viktig når det foreligger flere aneurismer. Multiple aneurismer, vanligvis to eller tre, kan finnes hos 20 – 30 % av pasienter med intrakraniale aneurismer (17). I akutte situasjoner kan det hende at pasientens tilstand ikke tillater den tidsbruk som går med til angiografi. En ”nødoperasjon” er helt avhengig av at CT viser og kan tolkes med størst mulig sikkerhet med hensyn til lokalisasjon.

    Ved de fleste sykehus vil i dag en positiv CT-undersøkelse uten kontrast som regel følges av CT-angiografi av intracerebrale kar (11). CT-angiografi med tredimensjonal rekonstruksjon har svært god overensstemmelse med og kan i mange tilfeller erstatte konvensjonell angiografi (11). CT-angiografi gir mulighet for sikrere nødinngrep når pasientens tilstand og/eller tidsfaktoren taler imot at angiografi utføres. Dette er sjeldent, men enkelte ganger er det helt avgjørende for utfallet. Det er derfor viktig at denne type undersøkelse inkluderes i utredningen før pasienten overføres til annet sykehus for eventuell operativ behandling.

    På kvelds- og nattetid vil oftest en assistentlege først vurdere bildene. I denne studien var det meget godt samsvar i vurderingene gjort av assistentlege og av overlege med høy kompetanse i nevroradiologi med hensyn til blod i subaraknoidalrommet. Dersom blod er til stede, vil dette gi kraftig attenuasjon som er relativt lett å oppdage (8). Det var noe dårligere samsvar mellom de to observatørene med hensyn til økt intrakranialt trykk. Dette var ikke uventet, da økt trykk er en subjektiv vurdering, og objektive grenser på f.eks. sideventriklenes temporalhorn var ikke fastlagt på forhånd.

    CT er en enkel og rask undersøkelse som gir helt avgjørende opplysninger ved subaraknoidalblødning. Det er viktig at undersøkelsen utføres raskt etter en sannsynlig blødning, fordi muligheten for å avsløre blødningen da er størst. Det bør alltid vurderes om CT-angiografi med rekonstruksjoner kan utføres samtidig som den øvrige CT-undersøkelse. Det er svært viktig at alle sykehus har lav terskel for å utføre slike undersøkelser, dvs. at tilgjengeligheten til CT-undersøkelse er stor ved mistanke om subaraknoidalblødning. Dette er avgjørende for at behandlingen kan komme fort i gang. Dødeligheten er meget høy i de første timer etter første blødning. Vår studie har vist at lumbalpunksjon bør utføres hos pasienter med negativ CT-undersøkelse, spesielt hos pasienter som undersøkes mer enn 20 – 30 timer etter symptomdebut.

    Kommentarer  ( 0 )

    Anbefalte artikler