Akutt pyelonefritt ved sparsomme eller normale urinfunn hos barn

    ()

    sporsmal_grey_rgb
    Abstract

    I vår barneavdeling har vi de siste år sett flere barn med et septisk sykdomsbilde som til tross for minimale eller manglende urinfunn fikk påvist en nyreinfeksjon.

    Vi har sett på alle barn innlagt i vår avdeling mellom 1995 og 2000 med minimale eller manglende urinfunn hvor diagnosen pyelonefritt ble stilt ved computertomografisk (CT) undersøkelse av nyrene.

    Alle ti barn (i alderen ni måneder til ni år) fikk påvist fokale forandringer i nyreparenkymet ved CT. Samtlige ble behandlet med antibiotika intravenøst. Fire pasienter fikk påvist vesikoureteral refluks. Én ble operert for dette, og en pasient fikk påvist betydelig arrdanning og nedsatt nyrefunksjon i en nyre ved dimerkaptoravsyre (DMSA)-scintigrafi.

    Det er viktig å være oppmerksom på nyrene som mulig infeksjonsfokus hos barn med mistenkt bakteriell infeksjon og tilsynelatende normale urinfunn. Å stille diagnosen pyelonefritt er viktig fordi disse pasientene skal utredes videre og følges med tanke på senskader.

    Abstract

    Background.

    Over the past years we have seen several children with serious bacterial infections in whom the focus of the infection was found in the kidneys despite of normal or minimal urine findings.

    Material and methods.

    We review the cases of all children hospitalised at our paediatric department from 1995 – 2000 with normal or minimal urine findings, and in whom acute pyelonephritis was diagnosed by means of computerized tomographic imaging of the kidneys.

    Results.

    All 10 children (aged 9 months to 9 years) had focal areas of decreased enhancement in the kidney parenchyma. All received intravenous antibiotic treatment. Vesicouretheral reflux was detected in four patients and required surgical intervention in one. One patient had considerable renal scarring and decreased renal function on dimercaptosuccinicacid (DMSA) scintigraphy.

    Interpretation.

    In children with suspected serious bacterial infection, it is important to have the possibility of renal infection in mind in spite of normal urine findings. The importance of establishing the right diagnosis lies in the fact that patients with pyelonephritis need further investigation and follow-up.

    Artikkel

    Det er ikke uvanlig at barn innlegges i sykehus med mistanke om alvorlig bakteriell infeksjon med symptomene høy feber og redusert allmenntilstand (1). Som regel finner man raskt årsaken i den videre undersøkelsen i sykehuset. Det hender imidlertid at undersøkelsene ikke gir noe klart svar på hvor infeksjonens primærfokus sitter. Som regel vil disse barna få bred antibiotisk behandling og respondere godt på denne, med rask klinisk bedring og normalisering av infeksjonsparametere. I noen tilfeller blir barnet utskrevet fra sykehuset uten sikker diagnose.

    Siden innføringen av tomografiske røntgenundersøkelser og todimensjonal sonografi er det blitt beskrevet forandringer i nyrene hos pasienter med alvorlig bakteriell infeksjon som har hatt normale urinfunn, forandringer som man også kan se ved vanlig pyelonefritt. Tilstanden skiller seg imidlertid fra pyelonefritt ved at den mangler de klassiske urinfunn. Sykdommen ble initialt oppfattet som et eget sykdomsbilde og fikk navnet akutt fokal bakteriell nefritt eller lobær nefroni. Lobær nefroni henspiller på likhetstrekkene med lobær pneumoni (2 – 4). Noen mener at tilstanden representerer en form av akutt pyelonefritt, hvor akutt, ukomplisert pyelonefritt, akutt fokal bakteriell nefritt og nyreabscessdanning utgjør forskjellige komponenter i et sykdomsspektrum (5). Enkelte har spekulert i om en direkte hematogen spredning til nyreparenkymet kan være årsaken til en akutt fokal bakteriell nefritt (6).

    Vi har ved vår avdeling i de senere år hatt flere barn innlagt med et sykdomsbilde hvor infeksjonens utgangsfokus først er blitt påvist ved bildedannende diagnostikk av nyrene. Urinundersøkelsen har hos disse barna vært nærmest normal i flere prøver. CT-undersøkelse av nyrene har vist fokale forandringer forenlig med diagnosen akutt pyelonefritt. Vi ønsker i denne artikkelen å gjøre oppmerksom på dette sykdomsbildet og advare mot å avskrive diagnosen akutt pyelonefritt selv om urinfunnene er sparsomme eller normale. Barn med gjennomgått pyelonefritt skal alltid utredes videre, da man ikke sjelden finner funksjonelle eller anatomiske avvik i nyrer og/eller urinveier, f.eks. vesikoureteral refluks eller avløpshinder (7).

    Materiale og metode

    Materiale og metode

    Vi har gjennomgått journalene til alle barn med pyelonefritt innlagt i vår avdeling i perioden 1995 – 2000 og plukket ut pasientene med manglende eller sparsomme urinfunn. Diagnosen ble stilt på grunnlag av kliniske og hematologiske funn kombinert med CT-undersøkelse av nyrene. Alle CT-undersøkelsene ble utført med intravenøs kontrastvæske. Alle journalene ble retrospektivt gjennomgått med henblikk på sykdomsanamnese, blodprøveanalyser, urinundersøkelser, radiologiske funn og klinisk forløp. Ved urinundersøkelse ble det brukt urinstiks (Nephur 6 test) fra fersklatt urin. Mikroskopisk undersøkelse ble gjort med 40 ⋅ objektiv av sentrifugert urin (5 min), antall celler ble angitt per synsfelt. Urinen ble videre sendt til laboratoriet for bakteriell dyrking (tab 1).

    Resultater

    Resultater

    Pasientsammensetning

    Pasientsammensetning

    I undersøkelsesperioden ble ti barn innlagt i vår avdeling med akutt pyelonefritt med svært sparsomme eller helt manglende urinfunn. Det var seks piker og fire gutter. Alderen varierte mellom ni måneder og ni år. Ingen av barna hadde startet antibiotisk behandling før innleggelsen ved avdelingen vår.

    Kliniske funn og laboratoriefunn

    Kliniske funn og laboratoriefunn

    Alle barna ble innlagt med spørsmål om infeksjon. Samtlige hadde høy feber, tre hadde magesmerter og/eller flankesmerter og ett av barna hadde besvær med vannlatingen. Alle pasientene hadde kort sykehistorie – median tid fra symptomdebut til innleggelse var to og et halvt døgn. Samtlige hadde forhøyede infeksjonsparametere med tresifret CRP og leukocytose. Ved initial utredning ble det ikke påvist utgangsfokus. De viktigste kliniske data og laboratorieresultater er fremstilt i tabell 2 og tabell 3.

    Tabell 2  

    Analyser i venøst blod tatt i avdelingen. Høyeste verdier angitt

    Pasient

    Leukocytter (? 10⁹/l)

    Maks CRP (mg/l)

    Blodkultur

     1

    22

    173

    Ingen vekst

     2

    13

    310

    Ingen vekst

     3

    19

    200

    Ingen vekst

     4

    11

    240

    Ingen vekst

     5

    16

    226

    Ingen vekst

     6

    17

    149

    Ingen vekst

     7

    15

    184

    Ingen vekst

     8

    13

    299

    Ingen vekst

     9

    35

    327

    Koagulasenegative stafylokokker

    10

    13

    150

    Ingen vekst

    Tabell 3  

    Anamnese og klinisk undersøkelse ved innkomst i avdelingen. Der hvor ingenting annet er oppført, ble tilstanden oppfattet som ukarakteristisk, og det var manglende kliniske funn

    Pasient

    Sykehistorie (dager)

    Temperatur (˚C)

    Symptomer

    Andre funn

     1

    7

    40,0

    Abdominale smerter

    Diaré

     2

    2

    40,0

     3

    1

    40,0

     4

    7

    37,9

     5

    2

    39,4

    Hodepine

    Oppkast/diaré

     6

    1

    40,7

     7

    3

    39,9

     8

    3

    41,1

    Abdominale smerter

    Bankeømhet høyre nyrelosje

     9

    2

    40,4

    Pollakisuri

    10

    3

    39,7

    Abdominale smerter

    Bankeømhet venstre nyrelosje

    Urinanalyser

    Urinanalyser

    Resultatene av urinanalysene fremgår av tabell 1. Urinprøvene fra samtlige ti pasienter ble undersøkt med stiks, mikroskopi og ved dyrking. Det er verdt å merke seg at resultatene både ved urinstiks og urinmikroskopi var helt normale hos alle unntatt tre, som hadde sparsomme forandringer ved innleggelse. Nitrittest var negativ hos alle pasienter. Diagnosen urinveisinfeksjon ble forkastet hos samtlige pasienter initialt på grunn av de svært sparsomme eller normale urinfunnene.

    Tabell 1  

    Urinanalyser tatt ved innkomst

    Pasient

    Stiks

    Mikroskopi (40 ⋅ objektiv)

    Bakteriell vekst

     1

    Ingen utslag

    Klar urin

    Ingen vekst

     2

    Ingen utslag

    Klar urin

    Enterokokker

     3

    Blod/leukocytter

    Klar urin

    Ingen vekst

     4

    Ingen utslag

    Klar urin

    E coli

     5

    Ingen utslag

    Klar urin

    Enterokokker

     6

    Ingen utslag

    Klar urin

    < 10 000

     7

    Ingen utslag

    5 – 10 leukocytter

    Klebsiella/E coli

     8

    Ingen utslag

    Klar urin

    Ingen vekst

     9

    Ingen utslag

    Klar urin

    Ingen vekst

    10

    Blod

    Klar urin

    Ingen vekst

    Radiologiske undersøkelser

    Radiologiske undersøkelser

    På grunn av usikkert utgangsfokus for det septiske sykdomsbildet ble det hos samtlige pasienter gjort omfattende supplerende undersøkelser. Bortsett fra ved CT-undersøkelsen av nyrene gav de supplerende undersøkelsene ingen ytterligere informasjon (tab 4). Som ved all utredning og oppfølging av barn etter gjennomgått pyelonefritt ble det hos ni av pasientene i denne studien gjort miksjonsureterocystografi (MUCG).

    Tabell 4  

    Bildegivende undersøkelser tatt under oppholdet i avdelingen. Der ikke annet er oppgitt, er undersøkelsen ikke utført

    Pasient

    Sonografi Ultralyd nyrer

    CT nyrer

    Radiologiske undersøkelser Miksjonsureterocystografi

    Scintigrafi DMSA

     1

    Fokalt hypoekkoisk bark-

    område venstre nyre

    Nefritt venstre nyre

    Normal

     2

    Liten høyre nyre, kompensatorisk stor venstre nyre

    Nefritt venstre nyre

    Bilateral refluks grad 1

    Venstre 89 %, høyre 11 %

     3

    Normal

    Nefritt venstre nyre

    Refluks grad 2 høyre, grad 3 venstre

     4

    Nefritt høyre nyre

    Refluks grad 2 – 3 høyre

    Venstre 53 %, høyre 47 %

     5

    Nefritt venstre nyre

    Normal

     6

    Nefritt venstre nyre

    Normal

     7

    Nefritt

    Normal

     8

    Normal

    Nefritt høyre nyre

    Normal

     9

    Normal

    Nefritt høyre nyre

    Bilateral refluks,

    dobbeltanlegg høyre nyre

    10

    Nefritt venstre nyre

    Ikke utført pga. alder

    Venstre 58 %, høyre 42 %

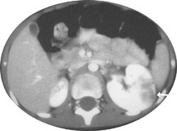
    Pasient 3. 14 måneder gammel tidligere frisk pike ble innlagt i barneavdelingen med feberkrampeanfall etter at hun om morgenen hadde våknet med feber. Hun hadde forut for innleggelsen hatt noen dager med forkjølelse uten feber.

    Ved innleggelsen ble det tatt urinprøver til videre undersøkelse med urinstiks, bakteriedyrking og mikroskopi. I urinen var det spor av blod og 2+ på leukocytter, men det kom ingen bakterievekst fra urinen, og mikroskopi ble oppfattet som normal. Det kom heller ingen vekst i blodkultur. CRP var ved innkomst 18 mg/l og steg i løpet av tre dager til 200 mg/l. Blodsukkernivå og elektrolytter var normale ved innkomst. Røntgen thorax var normal. Det ble første døgn startet med penicillin intravenøst pga. mistanke om luftveisinfeksjon, men på grunn av forverring ble det tatt CT-abdomen (fig 1), som viste fokale forandringer i venstre nyre, forenlig med akutt pyelonefritt. Det ble startet med cefotaksim intravenøst, som ble fortsatt i 14 dager. Under denne behandlingen hadde pasienten god bedring og kunne skrives ut i god allmenntilstand med trimetoprimprofylakse frem til miksjonsureterocystografi. I tiden frem til undersøkelsen hadde hun en urinveisinfeksjon med oppvekst av trimetoprimfølsomme Escherichia coli. EEG etter 14 dager viste intet sikkert patologisk.

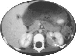
    Pasient 2. 19 måneder gammel gutt som ble henvist sykehuset på grunn av høy feber og lysskyhet, med mistanke om alvorlig infeksjon. Ved sykehuset ble det målt CRP på 105 mg/l. Ved undersøkelsen var han i god allmenntilstand, og reiste derfor hjem med avtale om kontroll av blodprøver påfølgende dag.

    Ved neste konsultasjon var CRP 310 mg/l og pasienten var høyfebril. Abdomen var bløt og uøm, uten bankeømhet over nyrelosjer. Urinstiks var negativ. Mikroskopisk undersøkelse av urinen var gjentatte ganger normal. Ingen vekst av bakterier i blodkultur. Til tross for usikker infeksjonsfokus ble det gitt antibiotika intravenøst i form av cefotaksim. I den videre utredningen ble det gjort CT-undersøkelse av abdomen, som viste fokale forandringer i venstre nyre og en liten, skrumpet høyre nyre (fig 2).

    Antibiotikumet ble skiftet til mecillinam da man fikk svar på oppvekst av enterokokker i urin tatt ved innkomst. Miksjonsureterocystografi viste ved kontroll etter seks uker bilateral vesikoureteralrefluks grad 1. Diureserenografi viste en funksjonsfordeling på 89 % venstre nyre, 11 % høyre nyre. Pasienten følges ved lokal poliklinikk med årlige kontroller og har siden ikke hatt urinveisinfeksjoner.

    Diskusjon

    Diskusjon

    Klinikk og laboratoriefunn

    Klinikk og laboratoriefunn

    Barn med høy feber og uavklart infeksjonsfokus skal alltid undersøkes med tanke på urinveisinfeksjon. Ikke alle barn har klassiske symptomer som dysuri, pollakisuri, abdominale smerter eller bankeømhet over nyrelosjer (2, 5, 8). Det er derfor svært viktig å gjøre en grundig analyse av urinen, i alle fall ved inspeksjon og med urinstiks, men også ved mikroskopi og dyrking (9). Urinanalysen vil derfor ofte være ledende i diagnostikken, ikke minst i allmennpraksis. I vår studie hadde alle barna høy feber, tre pasienter hadde magesmerter og en pasient virket irritabel. De øvrige seks pasientene hadde redusert allmenntilstand og feber som eneste symptom.

    Urinundersøkelse

    Urinundersøkelse

    Diagnosen urinveisinfeksjon har tradisjonelt vært basert på klinisk undersøkelse kombinert med typiske funn ved urinundersøkelsen, som utslag på leukocytter og nitritt ved urinstiks og> 10 leukocytter/synsfelt ved 400 ganger forstørrelse med glitterceller og eventuelt kornede sylindere ved urinmikroskopi. Sikker diagnose stilles ved signifikant oppvekst av bakterier i urinen. I vår studie hadde de fleste pasientene helt normal urinstiks og urinmikroskopi. Som regel har hovedproblemet med urinundersøkelse av barn vært falskt positive funn, på grunn av utilstrekkelig prøvetakingsteknikk og forurensning av prøven. Det er også kjent at falskt negative urinundersøkelser forekommer. Dette synes spesielt å gjelde hos små barn, hvor man ikke får tilstrekkelig urinvolum og for kort ”blæretid” for urinprøven. Det er også kjent at enterokokker ikke gir utslag på nitrittest ved urinstiks. Det er også i litteraturen beskrevet negative urinanalyser ved nyreinfeksjon med fokale forandringer (5, 6).

    Radiologisk diagnostikk

    Radiologisk diagnostikk

    Ultralydundersøkelse av nyrene er en enkel og lite belastende undersøkelse og bør brukes i all utredning av urinveisinfeksjoner hos barn (10). Undersøkelsen er godt egnet til å vise nyrene – størrelse, plassering og ev. patologiske forhold, som avløpshindringer med hydronefrose. Fokale forandringer kan påvises dersom det foreligger ekspansjon eller abscedering i nyreparenkymet (2). Våre pasienter ble imidlertid ikke undersøkt med ultralyd nyrer primært, da det initialt ikke var mistanke om urinveisinfeksjon.

    CT-undersøkelse gir informasjon om anatomien på lik linje med ultralydundersøkelse (2, 8, 11). Ved intravenøs kontrastinjeksjon får man i tillegg en dynamisk undersøkelse av nyrenes perfusjon, og man kan på denne måten påvise forandringer forenlig med akutt pyelonefritt (2, 12). Våre pasienter fikk alle påvist fokale (segmentale) forandringer ved CT-undersøkelse med kontrast. Senere ultralydundersøkelse av barna kunne imidlertid ikke fremstille de fokale forandringer som CT-undersøkelsen viste.

    Dimerkaptoravsyre (DMSA)-scintigrafi er også en sensitiv undersøkelse, med betydelig mindre strålebelastning enn CT-undersøkelse av nyrene. Det lar seg gjøre å påvise akutte pyelonefrittforandringer i nyrene ved denne undersøkelsen, men på grunn av manglende erfaring og tilgjengelighet kun på dagtid valgte vi å gjøre CT-undersøkelse av nyrene, som er tilgjengelig gjennom hele døgnet (13). Det finnes også andre undersøkelsesmetoder for å påvise tegn til infeksjon i nyreparenkymet, som MR og powerdopplersonografi.

    Oppfølging

    Oppfølging

    Videre bildediagnostisk utredning ble hos våre pasienter ikke utført i den akutte fasen. Senere undersøkelser med miksjonsureterocystografi viste imidlertid klare patologiske forandringer som trengte videre utredning og oppfølging hos flere av pasientene. Fire av ti pasienter hadde vesikoureteral refluks, hvorav en ble henvist til operasjon og tre ble satt på langtids antibiotikaprofylakse. Tre av våre pasienter ble senere også utredet med DMSA-scintigrafi. Den ene pasienten fikk påvist betydelig arrdanning og nærmest utslukket funksjon i den ene nyren.

    Konklusjon

    Konklusjon

    Denne studien viser at det er viktig å være klar over muligheten for at et høyfebrilt barn med klare tegn på bakteriell infeksjon og tilsynelatende manglende infeksjonsfokus kan ha en nyreinfeksjon selv om urinundersøkelsen ikke bekrefter dette. Vi anbefaler initial evaluering av nyrene med ultralyd (10). Dersom undersøkelsen ikke er konklusiv, bør man gå videre med CT-undersøkelse av nyrene for å utelukke infeksjon (4, 8). Studien viser også hvor viktig det er å stille denne diagnosen slik at også denne gruppen barn får den nødvendige behandling (langtidsantibiotikaprofylakse, operasjon) og oppfølging (miksjonsureterocystografi, DMSA-scintigrafi, blodtrykkskontroll og urinundersøkelse), som anbefalt i litteraturen (14).

    Kommentarer  ( 0 )

    Anbefalte artikler