Karpaltunnelen er avgrenset av karpale knokler og ligamentum transversum. Karpaltunnelsyndrom er betraktet som en tilstand der mekanisk avklemming av medianusnerven eller trykkøkning som følge av forsnevring (stenose) av karpalkanalen medfører symptomer. Typiske symptomer ved karpaltunnelsyndrom er smerter, parestesier, nummenhet, svakhet eller klossethet i hånden, tørr hud, hevelse eller fargeforandringer i medianusnervens forsyningsområde (1 – 4). Smerter om natten og ved belastende stillinger kan utløse symptomer, mens stillingsendring og risting av hånden virker lindrende (1, 4). Typiske funn ved nevrofysiologisk undersøkelse er forlenget motorisk og sensorisk distal latens i medianusnervens forløp gjennom karpalkanalen (5, 6). Dersom liknende funn også påvises i ulnarisnerven, bør man vurdere om det foreligger generell nevropati (4).
Hensikten med artikkelen er først og fremst å gi en oversikt over hyppigheten av tilstanden, risikofaktorer, og diskutere hvordan anatomiske forhold i karpalkanalen kan tenkes å disponere for symptomutvikling. Informasjonen bygger på litteratursøk i databasene Medline og Cochrane samt egne erfaringer.
Epidemiologi
Karpaltunnelsyndrom er en tilstand som i lærebøker er karakterisert som den hyppigst forekommende mononevropati (7, 8). Ifølge en epidemiologisk undersøkelse i Sverige ble prevalensen av karpaltunnelsyndrom blant voksne beregnet til 2,7 % (9). Diagnosen ble stilt noe hyppigere blant kvinner (3 %) sammenliknet med menn (2,1 %), og man fant også en høyere forekomst i høyere aldersgrupper (9). Insidensen av sykdommen er omkring 100 per 100 000 (10).
Prevalensen av karpaltunnelsyndrom ser ut til å øke med økende alder for begge kjønn (9). Årsaken til dette er ikke kjent. Tidligere rapporter om overhyppighet av karpaltunnelsyndrom hos kvinner har bidratt til antakelsen om at hormonelle mekanismer kan spille en rolle i patogenesen ved sykdommen (11, 12). Gravide kvinner som utvikler generalisert ødem, kan utvikle symptomer forenlig med karpaltunnelsyndrom (13). Hvorvidt ødem med påfølgende kompresjon av strukturer i karpalkanalen er den eneste medvirkende årsak til dette, er ikke kjent. Senere undersøkelser kan tyde på at forskjellen mellom kjønnene er mindre enn tidligere antatt (9). Ifølge en nyere amerikansk undersøkelse var det ingen forskjell i relativ risiko for karpaltunnelsyndrom mellom de to kjønn dersom det ble justert for yrkeseksponering (14).
Belastende arbeid med hendene er forbundet med økt forekomst av karpaltunnelsyndrom. Maskinoperatører, platearbeidere, slaktere, industriarbeidere, renholdere og arbeid med vibrerende verktøy er eksempler på yrkeseksponering som øker risikoen for karpaltunnelsyndrom (13 – 17). Arbeidsoppgaver som innebærer repetitive bevegelser og belastende arbeid med hendene ser ut til å være særlig assosiert med tilstanden (18, 19). Om dette skyldes forhold i medianusnervens omgivelser, strukturelle forandringer i selve nerven eller en kombinasjon av flere disponerende faktorer, er ikke tilstrekkelig kjent. Man kan ikke utelukke at egenskaper ved selve nerven kan ha betydning for utvikling av redusert nervefunksjon blant arbeidere som belaster hendene i sitt yrke. Det finnes imidlertid ingen studier der man har undersøkt endringer i de anatomiske forhold over tid som følge av ytre belastning på hendene.
Anatomiske betingelser for utvikling av karpaltunnelsyndrom
I flere tverrsnittsstudier har man forsøkt å kartlegge sammenhengen mellom størrelsen på håndleddet og plassforholdene i karpalkanalen. En av hensiktene med dette har vært å utvikle en enkel og billig metode for å identifisere risikopasienter. Selv om det er gjort funn som støtter en slik hypotese, er dette ikke bekreftet i større populasjonsstudier eller longitudinelle undersøkelser (20, 21). Å foreta målinger av håndleddets omfang regnes derfor ikke som noen egnet klinisk metode for å predikere dysfunksjon av medianusnerven.
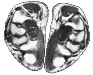
Inneklemming av medianusnerven som følge av stenose i kanalen er spesielt fremhevet som en viktig forutsetning for symptomutvikling (22, 23). Denne antakelsen bygger på en rekke tidligere studier der man ved hjelp av konvensjonell røntgenundersøkelse eller computertomografi (CT) har beregnet arealet av karpalkanalen på ulike steder i kanalens forløp (22 – 26). Undersøkelser med beregning av kanalens volum har ikke kunnet vise noen forskjell mellom pasienter med karpaltunnelsyndrom og kontrollpersoner (27). Det er vist at karpalkanalen er trangest i den distale del både hos symptomatiske og asymptomatiske personer (27) (fig 1). I tidligere studier er det påvist økt trykk i karpalkanalen hos pasienter med karpaltunnelsyndrom (28, 29). Det høyeste trykket ble målt i kanalens distale del, noe som støtter antakelsen om at medianusnerven er spesielt utsatt for mekanisk avklemming i dette området (29). For degenerative sykdommer i håndleddet, inflamatoriske sykdommer som f.eks. revmatoid artritt, graviditet med ødemdanning, akromegali og hypotyreose er sykdomsmekanismen antatt å være reduserte plassforhold i karpalkanalen (8). For andre tilstander, slik som diabetes mellitus, vaskulittforandringer og arvelig form for trykknevropati, regner man med at årsaken til karpaltunnelsyndrom er at medianusnerven har redusert evne til å tåle trykk fra omkringliggende vev (8, 30).
Det er påvist økt volum av karpalkanalen hos en gruppe pasienter med leddgikt uten symptomer på affeksjon av medianusnerven (31). Betydningen av dette er imidlertid ikke avklart, men nyere epidemiologiske data har ikke kunnet bekrefte tidligere antakelser om overhyppighet av revmatiske sykdommer hos dem med karpaltunnelsyndrom (9). Beregning av areal eller volum av karpalkanalen er, i likhet med målinger av størrelsen på håndleddet, derfor lite egnet som metode for å identifisere grupper i befolkningen med økt risiko for å utvikle karpaltunnelsyndrom.
Degenerative forandringer i medianusnerven som følge av generell nevropati, vaskulittforandringer i nerven eller annen sykdomspåvirkning er kjent å kunne disponere for mononevropatier. I tillegg kan naturlige anatomiske variasjoner spille en rolle. For eksempel er det rapportert at forgreninger av nerven (bifid medianusnerve) kan være forbundet med karpaltunnelsyndrom (fig 2) (32). Andre anatomiske predisponerende faktorer er persisterende medianusarterie i karpaltunnelen og muskelanomalier i karpalkanalen (33, 34).
Symptomer og kliniske funn som kan indikere dysfunksjon i nervesystemet, er tidligere påvist også i den generelle befolkning uten at noen sykdom er kjent (35). Uklar grenseoppgang mellom normale variasjoner i nervenes funksjon og nedsatt nervefunksjon er et problem som også gjenspeiler seg i litteraturen, ved at sykdomsdefinisjoner varierer til dels betydelig. Her ligger et potensial for økt forståelse av samspillet mellom perifere nervers vulnerabilitet og mekanisk trykkpåvirkning fra omkringliggende strukturer.
Behandling
Spalting av karpalligamentet, enten ved åpen kirurgi eller som endoskopisk prosedyre, regnes som en god symptomatisk behandling ved karpaltunnelsyndrom (36 – 38). Dette er i seg selv en indikasjon på at inneklemming av nerven foreligger ved tilstanden. Effekt av injeksjonsbehandling med prednisolon i kanalen taler for at inflammatoriske reaksjoner i området kan være en medvirkende sykdomsmekanisme hos noen (36, 37, 39). Det er i litteraturen liten enighet om valg av diagnostiske kriterier eller hvilke effektmål man bør velge for å evaluere behandlingsresultatene (36, 37). Manglende respons på behandling og residiv av tilstanden hos en mindre gruppe av behandlede pasienter kan skyldes at diagnosen er usikker i noen tilfeller. Todnem & Lundemo viste at en tredel av pasientene hadde parestesier i hele hånden og ikke bare i medianusnervens forsyningsområde. Samtidig angav over halvparten smerter i hele armen (4). Siden symptomene varierer til dels betydelig ved denne tilstanden, er det avgjørende at diagnosen bekreftes ved nevrofysiologisk undersøkelse før man tar stilling til behandling (4).
I en undersøkelse der man over tid fulgte 315 pasienter som hadde gjennomgått operativ behandling med spalting av karpalligamentet, var 45 % ute av stand til å gjenoppta sitt tidligere yrke etter at den postoperative perioden var overstått (40). Disse pasientene ble enten permanent arbeidsuføre eller gikk over i annet arbeid. En undersøkelse blant opererte yrkesaktive pasienter i Troms og Finnmark viste at 11 % av pasientene fortsatt var arbeidsuføre seks måneder etter inngrepet (41).
Konklusjon
Karpaltunnelsyndrom er en relativt vanlig tilstand blant den voksne yrkesaktive befolkning. Symptomene er i noen tilfeller karakteristiske, mens i andre tilfeller presenterer pasientene mer uspesifikke symptomer i armene. Tilstanden er assosiert med yrker som innebærer belastning på armene, og medfører permanent sykefravær hos en ikke ubetydelig andel av pasientene. Tilstanden er viktig å ha i tankene fordi den ved hjelp av et enkelt inngrep kan behandles.
- 1.
Practice parameter for carpal tunnel syndrome. Report of the quality standards subcommittee of the American Academy of Neurology. Neurology 1993; 43: 2406 – 9.
- 2.
Phalen GS. The carpal tunnel syndrome. Seventeen years experience in diagnosis and treatment of 654 hands. J Bone Joint Surg Am 1966; 48: 211 – 8.
- 3.
Phalen GS, Gardner WJ, LaLonde AA. Neuropathy of the median nerve due to compression beneath the transverse carpal ligament. J Bone Joint Surg Am 1950; 32: 109 – 12.
- 4.
Todnem K, Lundemo GH. Symptomer og kliniske forløp ved karpaltunnelsyndrom Tidsskr Nor Lægeforen 2001; 121: 1489 – 92.
- 5.
AAEM quality assurance committee, Jablecki CK, Andary MT, So YT, Wilkins ED, Williams FH. Literature review of the usefulness of nerve conduction studies and electromyography for the evaluation of patients with carpal tunnel syndrome. Muscle Nerve 1993; 16: 1392 – 414.
- 6.
Simpson JA. Electrical signs in the diagnosis of carpal tunnel and related syndromes. J Neurol Neurosurg Psychiatry 1956; 19: 275 – 80.
- 7.
Sander HW, Quinto C, Saadeh PG, Chokroverty S. Sensitive median-ulnar motor comparative techniques in carpal tunnel syndrome. Muscle Nerve 1999; 22: 88 – 98.
- 8.
Dyck PJ, Thomas PK. Peripheral neuropathy. 3. utg. Philadelphia: Saunders 1993: 963 – 4.
- 9.
Atroshi I, Gummesson C, Johnsson R, Ornstein E, Ranstam J, Rosén I. Prevalence of carpal tunnel syndrome in a general population. JAMA 1999; 282: 153 – 8.
- 10.
Stevens JC, Sun S, Beard CM, O’Fallon WM, Kurland LT. Carpal tunnel syndrome in Rochester, Minnesota, 1961 to 1980. Neurology 1988; 38: 134 – 8.
- 11.
deKrom MC, Knipschile PG, Kester AD, Thijs CT, Boekkooi PF, Spaans F. Carpal tunnel syndrome: prevalence in the general population. J Clin Epidemiol 1992; 45: 373 – 6.
- 12.
Tanaka S, Wild DK, Seligman PJ, Halperin WE, Behrens VJ, Putz-Anderson V. Prevalence and work-relatedness of self-reported carpal tunnel syndrome among U.S. workers: analysis of the Occupational Health Supplement data of 1988 National Health Interview Survey. Am J Ind Med 1995; 27: 451 – 70.
- 13.
Ordeberg GE, Salgeback S, Ordeberg G. Carpal tunnel syndrome in pregnancy. Acta Obstet Gynecol 1987; 66: 233 – 5.
- 14.
McDiarmid M, Oliver M, Ruser J, Gucer P. Male and female rate differences in carpal tunnel syndrome injuries: personal attributes or job tasks? Environ Res 2000; 83: 23 – 32.
- 15.
Bingham RC, Rosecrance JC, Cook TM. Prevalence of abnormal median nerve conduction in applicants for industrial jobs. Am J Ind Med 1996; 30: 355 – 61.
- 16.
Rossignol M, Stock S, Patry L, Armstrong B. Carpal tunnel syndrome: what is attributable to work? The Montreal study. Occup Environ Med 1997; 54: 519 – 23.
- 17.
Bekkelund SI, Torbergsen T, Rom AK, Mellgren SI. Increased risk of developing median nerve dysfunction in floor cleaners: a controlled clinical and neurophysiological study. Scand J Plast Reconstr Surg Hand Surg 2001; 35: 317 – 21.
- 18.
Hagberg M, Morgenstern H, Kelsh M. Impact of occupations and job tasks on the prevalence of carpal tunnel syndrome. Scand J Work Environ Health 1992; 18: 337 – 45.
- 19.
Silverstain BA, Fine LJ, Armstrong TJ. Occupational factors and carpal tunnel syndrome. Am J Ind Med 1987; 11: 343 – 58.
- 20.
Nakamichi K, Tachibana S. Small hand as a risk factor for idiopathic carpal tunnel syndrome. Muscle Nerve 1995; 18: 664 – 6.
- 21.
Johnson EW, Gatens T, Poindexter D, Bowers D. Wrist dimensions: correlation with median sensory latencies. Arch Phys Med Rehabil 1983; 64: 556 – 7.
- 22.
Dekel S, Papaioannou T, Ruchworth G, Coates R. Idiopathic carpal tunnel syndrome caused by carpal stenosis. BMJ 1980; 280: 1297 – 9.
- 23.
Bleecker ML, Bohlman M, Moreland R, Tipton A. Carpal tunnel syndrome: role of carpal canal size. Neurology 1985; 35: 1599 – 604.
- 24.
Zucker-Pinchoff B, Hermann G, Srinivasan R. Computed tomography of the carpal tunnel: a randioanatomical study. J Comput Assist Tomogr 1981; 5: 525 – 8.
- 25.
Biondetti PR, Vannier MW. Wrist coronal and transaxial CT scanning. Radiology 1987; 163: 149 – 51.
- 26.
Winn FJ, Habes DJ. Carpal tunnel area as a risk factor for carpal tunnel syndrome. Muscle Nerve 1990; 13: 254 – 8.
- 27.
Pierre-Jerome C, Bekkelund SI, Mellgren SI, Nordstrøm R. Quantitative MRI and electrophysiology of preoperative carpal tunnel syndrome in a female population. Ergonomics 1997; 40: 642 – 9.
- 28.
Gelberman RH, Hergenroeder PT, Hargens AR, Lundborg GN, Akeson WH. The carpal tunnel syndrome. A study of carpal canal pressures. J Bone Joint Surg Am 1981; 63: 380 – 3.
- 29.
Luchetti R, Schoenhuber R, Alfarano M, Deluca S, De Cicco G, Landi A. Carpal tunnel syndrome: correlations between pressure measurement and intraoperative electrophysiological nerve study. Muscle Nerve 1990; 13: 1164 – 8.
- 30.
Dyck PJ, Benstead TJ, Conn DL, Stevens JC, Windebank AJ, Low PA. Nonsystemic vasculitic neuropathy. Brain 1987; 110: 843 – 54.
- 31.
Pierre-Jerome C, Bekkelund SI, Husby G, Mellgren SI, Torbergsen T. Bilateral fast MR imaging of the rheumatoir wrist. Clin Rheum 1996; 15: 42 – 6.
- 32.
Iannicelli E, Chianta GA, Salvini V, Almberger M, Monacelli G, Passariello R. Evaluation of bifid median nerve with sonography and MR imaging. J Ultrasound Med 2000; 19: 481 – 5.
- 33.
Zeiss J, Guilliam-Haidet L. MR demonstration of a persistent median artery in carpal tunnel syndrome. J Comput Assist Tomogr 1993; 17: 482 – 4.
- 34.
Johnson RK, Shrewsbury MM, Jose S. Anatomical course of the thenar branch of the median nerve – usually in a separate tunnel through the transverse carpal ligament. J Bone Joint Surg Am 1970; 52: 269 – 73.
- 35.
Skre H. Neurological signs in a normal population. Acta Neurol Scand 1972; 48: 575 – 606.
- 36.
Feuerstein M, Burrell LM, Miller VI, Lincoln A, Huang GD, Berger R. Clinical management of carpal tunnel syndrome: a 12-year review of outcomes. Am J Ind Med 1999; 35: 232 – 45.
- 37.
The Cochrane Library, Issue 4. Oxford: Update Software, 2000.
- 38.
Bekkelund SI, Pierre-Jerome C, Ingebrigtsen T. Clinical outcome and disability in carpal tunnel syndrome. Neurology 1999; 52 (suppl 2): 217.
- 39.
Dammers JWHH, Veering MM, Vermeulen M. Injection with methylprednisolone proximal to the carpal tunnel: randomised double blind trial. BMJ 2000; 319: 884 – 6.
- 40.
Katz JN, Lew RA, Bessette L, Punnett L, Fossel AH, Mooney N et al. Prevalence and predictors of long-term work disability due to carpal tunnel syndrome. Am J Ind Med 1998; 33: 543 – 50.
- 41.
Bekkelund SI, Pierre-Jerome C, Torbergsen T, Ingebrigtsen T. Impact of occupational variables in carpal tunnel syndrome. Acta Neurol Scand 2001; 103: 193 – 7.