Pussdannende infeksjoner i bein og ledd er relativt uvanlig hos barn, men tidlig diagnose er viktig fordi sen eller manglende behandling kan føre til permanent skade og kronisk funksjonshemning (1). Akutt osteomyelitt er hyppigst blant barn under to år, når de diagnostiske vanskelighetene er størst. I artikkelen presenteres åtte barn under to år med akutt osteomyelitt som ble diagnostisert i løpet av 1999 og 2000 ved Barnesenteret, Ullevål sykehus. Halvparten var jenter. Fire av barna var i nyfødtperioden (fem dager til tre uker gamle), mens de andre fire var i alderen 12 – 18 måneder. I tabell 1 er de viktigste symptomer og diagnostikk presentert.
Tabell 1
Åtte pasienter med osteomyelitt, Barnesenteret, Ullevål sykehus
| Pasient |
Alder |
Kjønn |
Hovedsymptomer |
Første CRP |
Skjelettrøntgen |
Skjelettscintigrafi |
MR |
Undersøkelsen som førte til behandlingsstart |
Aspirasjon/biopsi |
| 1 |
14 md. |
M |
Feber, smerter og redusert bevegelighet i ankel og skulder |
58 |
Fraktur? |
Normal |
Patologisk |
Gjentatt skjelettrøntgen |
Ikke oppvekst |
| 2 |
18 md. |
K |
Hevelse og rubor, ankel |
18 |
Normal |
Patologisk |
Ikke utført |
Skjelettscintigrafi |
Ikke utført |
| 3 |
12 md. |
M |
Feber, hevelse og varmeøkning i underarm |
30 |
Normal |
Patologisk |
Ikke utført |
Skjelettscintigrafi |
Ikke utført |
| 4 |
8 dager |
K |
Smerter ved berøring av hofter og lår, redusert bevegelighet |
13 |
Fraktur? |
Normal |
Patologisk |
MR |
Ikke utført |
| 5 |
16 md. |
K |
Redusert bevegelighet i skulder |
26 |
Normal |
Normal |
Patologisk |
MR |
Ikke utført |
| 6 |
5 dager |
M |
Feber, uro, redusert matinntak |
218 |
Patologisk |
Normal |
Normal |
Skjelettrøntgen |
Ikke utført |
| 7 |
3 uker |
K |
Smerter ved berøring, redusert bevegelighet i bein |
33 |
Patologisk |
Patologisk |
Patologisk |
MR og skjelettscintigrafi |
Kokker påvist ved direkte mikroskopi |
| 8 |
12 dager |
M |
Smerter ved berøring, redusert bevegelighet i bein |
41 |
Normal |
Patologisk |
Patologisk |
MR |
Ikke oppvekst |
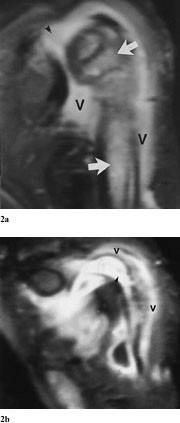
Pasient 1. En 14 måneder gammel gutt hadde smerter i venstre ankel og skulder, var ved innleggelsen afebril og i god allmenntilstand. Det var nedsatt aktiv bevegelse i ankel og skulder. Innkomstprøver viste CRP 58, leukocytter 16,2, hvorav 4,8 nøytrofile granulocytter. Røntgen av underarm indikerte fraktur gjennom proksimale del av humerusskaftet. Røntgen totalskjelett viste ikke andre frakturer. Skjelettscintigrafi seks dager etter avkreftet diagnosen akutt osteomyelitt, og han fikk derfor ingen behandling. To uker senere viste røntgen av venstre arm (fig 1) osteolytiske oppklaringer i proksimale, venstre humerus, oppfattet som mulig osteomyelitt eller tumor. Han var fortsatt afebril, men i noe redusert allmenntilstand, og venstre arm virket smertefull ved berøring. CRP var 40, leukocytter 12,9, hvorav 7,5 lymfocytter, og SR 104. Blodkultur og aspirat fra humerus gav ikke oppvekst av bakterier. Intravenøs antibiotikabehandling ble startet. MR av overarmen (fig 2) viste destruksjon i beinmarg med sentral nekrose i humerusmetafysen, oppfattet som sannsynlig osteomyelitt. Skjelettscintigrafi viste intet sikkert patologisk. Klinisk ble han gradvis bedre.
Røntgenkontroll etter 13 dagers behandling viste økende beintetthet i det aktuelle området uten tegn til nye osteolytiske områder. MR-kontroll etter tre ukers behandling viste klar bedring. Etter tre måneder hadde han full bevegelighet i skulderen.
Pasient 2. En 18 måneder gammel jente begynte å halte uten forutgående kjent traume og det tilkom hevelse lateralt på høyre ankel og etter hvert rubor. Ultralydundersøkelse av ankelen viste bløtdelshevelse og litt væske.
Ved innleggelsen fant man en afebril jente i god allmenntilstand med en hevelse av en diameter på 2 – 3 cm nedenfor høyre laterale malleol. Hun belastet høyre bein på medialsiden av foten. CRP var 18, leukocytter 7,1, hvorav 3,1 nøytrofile granulocytter, SR 60. Ved ny kontroll to dager etter var klinisk tilstand og infeksjonsstatus omtrent uendret. Trefase skjelettscintigrafi (fig 3, 4) viste økt aktivitet i området kranialt for høyre ankel, forenlig med en akutt osteomyelitt. Intravenøs antibiotikabehandling ble startet. Det kom ingen vekst i blodkultur. CRP var 5, leukocytter 9,1, med 5,0 nøytrofile granulocytter, og SR 23. Etter få dager hadde de lokale symptomene forsvunnet. Klinisk og røntgenologisk kontroll av ankelen etter tre måneder viste normale forhold.
Pasient 3. En 12 måneder gammel gutt ble innlagt etter ett døgns sykehistorie med feber samt hevelse, varmeøkning og redusert bruk av høyre underarm.
Ved innkomst var han febril og i redusert allmenntilstand. Man fant en moderat hevelse av høyre underarm, palpasjonsømhet og lett varmeøkning lokalt. CRP var 30, leukocytter 17,8, hvorav 5,0 nøytrofile granulocytter. Det ble det startet med intravenøs antibiotikabehandling. Streptococcus pneumoniae vokste i to blodkulturer. Røntgen høyre underarm, tatt to dager etter innkomst, viste normale forhold. Han var afebril og i god allmenntilstand etter tre dagers antibiotikabehandling uten lokale symptomer. Skjelettscintigrafi åtte dager etter innkomst viste noe økt opptak i høyre håndledd. Etter ti måneder var det helt normale kliniske og røntgenologiske funn.
Pasient 4. En 11 dager gammel jente ble innlagt med spørsmål om femurfraktur. CRP var 13, leukocytter 17,7, hvorav 7,5 nøytrofile granulocytter. Undersøkelser med røntgen og ultralyd av begge hofter viste normale forhold. Røntgen av venstre kne viste en distal metafysær fraktur. Røntgenkontroll to uker senere viste derimot en osteolytisk defekt og omgivende hematom i metafysen, MR med kontrast indikerte destruksjon i femur distalt i epi-/metafysen. Intravenøs antibiotikabehandling ble startet. CRP var da 41, leukocytter 12,1, hvorav 5,0 nøytrofile granulocytter, og SR 57. Røntgen totalskjelett viste, bortsett fra fissuren distalt i venstre femur, normale funn. Skjelettscintigrafi en uke etter var normal. Røntgen av venstre lår viste en begynnende reparativ prosess. En ny MR, tatt 13 dager etter den første, indikerte en osteomyelitt i bedring. CRP økte til 172 to dager etter behandlingsstart. Det kom ingen vekst i blodkulturer. Røntgenkontroll etter fire måneder viste remodellering og sklerose uten tegn til sekvele.
Pasient 5. En 16 måneder gammel frisk jente uten forutgående traume sluttet å bruke høyre skulder. På bakgrunn av kliniske funn ble hun henvist med spørsmål om akutt osteomyelitt.
Ved innkomst var hun afebril, i god allmenntilstand og palpasjonsøm over skulderen. CRP var 28, leukocytter 16,5, hvorav 7,5 nøytrofile granulocytter, SR 70. Fra medbrakte røntgenbilder mente man å kunne påvise en mulig utvisket kortikal begrensning medialt i proksimale høyre humerus. Skjelettscintigrafi var negativ. Intravenøs antibiotikabehandling ble påbegynt. Det kom ikke vekst i blodkulturer. MR fire dager etter innkomst viste signalforandringer forenlig med en akutt osteomyelitt i høyre humerus’ epifyse med artrittforandringer. Hun ble raskt bedre. Klinisk og røntgenologisk kontroll etter seks uker viste normale forhold.
Pasient 6. En fem dager gammel gutt ble henvist med spørsmål om sepsis.
Ved innleggelsen ble det funnet betennelsesforandringer i venstre stortå samt et erytematøst område på høyre stortå, hake og venstre ankel. Han var blek, irritabel og febril. CRP var 218, leukocytter 9,8 og blodplater 64. På sepsismistanke ble det startet intravenøs antibiotikabehandling. Det kom oppvekst av betahemolytiske streptokokker gruppe A i kultur fra venstre stortå og i blodkultur. Hans allmenntilstand bedret seg med normalisering av blodprøver. Såret på venstre stortå ble bedre. Han mislikte fortsatt direkte berøring av venstre bein. Helkropps skjelettscintigrafi med spørsmål om multifokal osteomyelitt ble utført 12 dager etter innkomst med negativt funn. Antibiotika ble seponert. Ultralydundersøkelse av hoftene viste mulig væske i og subluksasjon av høyre hofte. Kirurgisk avlasting av leddet avslørte ikke puss i leddet, men fortykket synovia. Røntgen totalskjelett to uker etter innkomst gav mistanke om en osteomyelitt i distale høyre radius og i ryggsøylen. Det ble startet med intravenøs antibiotikabehandling. Ultralydundersøkelse med ekkodoppler etter ytterligere en uke viste uttalte forandringer i bløtdeler, dog bedring sammenliknet med tidligere undersøkelse. MR (teknisk lite vellykket) viste intet sikkert patologisk. Kontroll etter fire måneder viste full normalisering av hofteleddet og tilfredsstillende motorisk utvikling.
Pasient 7. En tre uker gammel febril jente beveget høyre bein mindre enn før og virket smertepåvirket.
Ved innkomst var hun afebril og i god allmenntilstand. Det var nedsatt bevegelighet og smertereaksjon fra høyre hofte. CRP var 33, leukocytter 16, hvorav 7,1 nøytrofile granulocytter og SR 70. Røntgen av hoftene viste mulig lateralisering av caputkjernen, noe som ikke lot seg verifisere med ultralyd. Under mistanke om en artritt/osteomyelitt ble det påbegynt intravenøs antibiotikabehandling. Det kom ingen oppvekst i blodkulturer. MR dagen etter viste tegn til væske i leddet med mulig lette signalforandringer i caput femoris. Det ble ikke påvist lateralisering av caput. Trefase skjelettscintigrafi viste økt opptak fra høyre side. Etter ti dagers behandling var hun mindre smertepåvirket. Ny ultralyd- og røntgenundersøkelse av hoften viste henfall av vev i mediale, proksimale ende av femur, forenlig med en Brodie-abscess. Denne ble drenert med påvisning av kokker ved direkte mikroskopi. Hun fikk strekkbehandling i ti dager og antibiotika i fire uker postoperativt. Kontroll etter en måned viste tilfredsstillende forhold både klinisk og røntgenologisk.
Pasient 8. En 12 dager gammel afebril gutt i god allmenntilstand sluttet å bevege høyre bein og virket smertepåvirket ved passive bevegelser av høyre hofte. CRP var 41, leukocytter 15,1, hvorav 9,3 nøytrofile granulocytter. Røntgenundersøkelse av hofteregionen viste ingen skjelettskade og ultralydundersøkelse av hoften viste ikke tegn til væske. MR viste signalforandringer forenlig med en akutt osteomyelitt i distale femur, bekreftet med scintigrafi fem dager etter. Det kom ingen oppvekst i blodkultur. Det var klinisk tilfredsstillende forhold fire uker etter avsluttet antibiotikabehandling.
Diskusjon
Forekomsten av osteomyelitt hos ellers friske barn varierer i ulike undersøkelser og oppgis i internasjonal litteratur til 1/20 000 – 1/1 000. Gutter affiseres i størrelsesorden 1,2 – 3,7 ganger hyppigere enn jenter. Av de under 20 år som får osteomyelitt er halvparten under fem år og en tredel under to år (2). I en artikkel fra Barneavdelingen i Tromsø viste man til en uforandret insidens på 1/10 000 for barn under 12 år i perioden 1965 – 94 (3).
Klinikk, infeksjonsparametere og bakteriologisk prøvetaking
Ikke alle barn med osteomyelitt presenterer de klassiske symptomene med akutte beinsmerter, ømhet og tegn på sepsis. Av de åtte barna som er presentert her, hadde kun to feber og redusert allmenntilstand ved innleggelsestidspunktet. Hovedsymptomet hos seks av åtte var redusert bruk av aktuelle ekstremitet. Dette er i overensstemmelse med en større kanadisk studie av 146 barn hvor redusert bruk av arm eller bein var debutsymptom hos 80 %, mens kun 40 % hadde feber som debutsymptom (4).
Kun ett av barna hadde tresifret CRP, de andre hadde en gjennomsnittlig CRP på 32. SR ble ved innkomst kun tatt hos fire pasienter og var moderat forhøyet (35 – 70 mm). Antall leukocytter var også kun moderat forhøyet med et gjennomsnitt på 14,5 × 10⁹/l. En forklaring på dette kan være at infeksjonene er lavvirulente med i hovedsak lokale manifestasjoner.
Staphylococcus aureus oppgis som etiologisk agens i 80 – 90 % av tilfellene ved osteomyelitt hos barn. Hos barn under ett år er imidlertid gruppe B-streptokokker og Escherichia coli også vanlig (4, 5).
Vi fikk sikker oppvekst i blodkultur hos kun to av pasientene. Hos den ene kom det oppvekst av pneumokokker, hos den andre betahemolytiske streptokokker gruppe A.
Dyrking fra aspirat eller biopsi gir hyppigere oppvekst enn blodkultur, med henholdsvis 83 % og 32 % (5). Punksjon med bakteriologisk eller cytologisk prøvetaking ble kun forsøkt hos tre av åtte barn i vårt materiale. Dette skjedde etter at diagnosen var stilt klinisk og bildediagnostisk, og etter at antibiotikabehandling var påbegynt. Prøvene gav da heller intet konklusivt resultat. Bildeveiledet punksjon bør ideelt sett gjøres hos alle barn der det er spørsmål om akutt osteomyelitt i relasjon til primærundersøkelsen med samtidig bakteriologisk prøvetaking.
Diagnostiske hjelpemidler
Tradisjonelle røntgenbilder har lav sensibilitet de første 10 – 14 dager etter symptomdebut (6). Hos våre pasienter gav røntgenundersøkelsen initialt (feilaktig) mistanke om fraktur hos to pasienter, mens undersøkelsen hos en pasient påviste en osteomyelitt hos et barn med to ukers sykehistorie. Hos de resterende var resultatet av røntgenundersøkelse ved innleggelsen negativt.
Skjelettscintigrafi skiller godt mellom bløtdelsaffeksjon og affeksjon av beinvev. En annen fordel er at hele kroppen raskt kan undersøkes ved spørsmål om multifokal osteomyelitt. Metoden har generelt en sensitivitet på ca. 75 % i første uke etter sykdomsdebut og 90 % i annen uke (4). Undersøkelsen er imidlertid mer usikker hos de minste barna, og er til dels uspesifikk (7 – 10). Hos våre åtte pasienter ble diagnosen akutt osteomyelitt verifisert med scintigrafi hos fire barn av åtte barn. Hos de andre var undersøkelsen negativ. I ett tilfelle ble undersøkelsen gjort to ganger med ti dagers mellomrom. I begge tilfeller med negativt resultat.
MR er en sensitiv (>90 %) og spesifikk (>90 %) undersøkelse ved spørsmål om akutt osteomyelitt (11 – 13). Teknisk suboptimale undersøkelser kan imidlertid gi falskt negative svar. I tillegg kan det være problematisk å skille mellom normale overgangssoner mellom hematopoetisk og fettholdig beinmarg. Dette problemet kan minimaliseres ved at sammenlikning skjer med kontralateral side. MR skiller godt mellom affeksjon av ledd, bein og bløtdeler, og har derfor relativt høy spesifisitet (14). Undersøkelsen er derimot mindre egnet ved spørsmål om multifokal osteomyelitt. En annen ulempe er at barnet må holdes i ro i relativt lang tid, hvilket kan bety sedering eller narkose. Verdien av, og dermed indikasjonen for bruk av, paramagnetisk kontrast ved spørsmål om akutt osteomyelitt er omdiskutert. Kontrasten er dyr og neppe indisert i ukompliserte tilfeller, eventuelt med unntak for mer kritisk anatomiske områder, som for eksempel columna. Av de åtte barna i denne undersøkelsen ble seks undersøkt med MR. To ble ikke MR-undersøkt fordi diagnosen allerede var stilt etter klinisk undersøkelse og skjelettscintigrafi. Hos en var undersøkelsen teknisk mislykket. Hos de resterende fem var det positive funn. Hos tre av disse var scintigrafien negativ.
CT er den beste metode for undersøkelse av skjelettforandringer, men er mindre følsom for bløtdelsforandringer enn MR og gir dessuten en relativt stor stråledose.
Vi anbefaler derfor en bildediagnostisk utredning med MR i kombinasjon med skjelettscintigrafi ved spørsmål om akutt osteomyelitt hos små barn. I praksis vil det ofte gå et par dager etter innkomst før disse undersøkelsene lar seg gjennomføre, og ved mindre sykehus er MR og scintigrafi foreløpig lite tilgjengelig. Man må derfor ofte ta stilling til og starte behandling på klinisk mistanke.
Valg av antibiotika og varighet av behandling
Etter at diagnosen akutt osteomyelitt var stilt, ble alle åtte barn behandlet etter standard protokoll. Ettersom S aureus er den hyppigst forekommende årsak til osteomyelitt hos barn, blir alle behandlet intravenøst med et betalaktamaseresistent antibiotikum (kloksacillin). Barn under ett år får i tillegg et aminoglykosid med tanke på eventuelt gramnegativt agens. Internasjonalt anbefales fortsatt totalt seks ukers antibiotikabehandling (6), men en prospektiv studie fra Finland har nylig vist at 3 – 4 ukers total behandlingstid er forsvarlig ved bortfall av kliniske symptomer og lav CRP (15). Dersom det kliniske bildet er tilfredsstillende og tallene for CRP/SR lave, gir vi ved Barnesenteret, Ullevål sykehus antibiotika intravenøst de to første ukene og deretter peroral behandling med klindamycin de neste fire.
Konklusjon
Akutt osteomyelitt er en alvorlig sykdom som kan ha uspesifikke presentasjonssymptomer og tegn hos de minste barna. Feber og redusert allmenntilstand er ikke alltid til stede. Nedsatt bruk av armer og bein uten forutgående traume bør vekke mistanke om osteomyelitt. Slike barn bør liberalt henvises til videre utredning ettersom forsinket diagnose og terapi kan gi betydelige senfølger hos pasientene. MR supplert med scintigrafi vil i de fleste tilfeller kunne bekrefte eller avkrefte diagnosen. Før behandling påbegynnes bør det, om mulig, gjøres aspirasjon fra bein eller ledd.
- 1.
Nelson JD. Osteomyelitis and suppurative arthritis. I: Behrman RE, Kliegman RM, Jenson HB, red. Nelson Textbook of Pediatrics. 16 utg. Philadelphia: Saunders, 2000: 776 – 80.
- 2.
Krogstad P, Smith AL. Osteomyelitis and septic arthritis. I: Feign DF, Cherry JD. Textbook of pediatric infectious diseases. 4 utg. Bd. 1. Philadelphia: Saunders, 1998: 685 – 704.
- 3.
Dahl LB, Høyland A-L, Dramsdahl H, Kaaresen PI. Acute osteomyelitis in children: a population-based retrospective study 1965 to 1994. Scand J Infect Dis 1998; 30: 573 – 7.
- 4.
Dirschel DR. Acute pyogenic osteomyelitis in children. Orthop Rev 1994; 23: 305 – 12.
- 5.
Karowowska A, Davies D, Jadavji T. Epidemiology and outcome of osteomyelitis in the era of sequential intravenous-oral therapy. Pediatr Infect Dis J 1998; 17: 1021 – 6.
- 6.
Lew DP, Waldvogel FA. Osteomyelitis. N Engl J Med 1997; 336: 999 – 1007.
- 7.
Bressler EL, Conway JJ, Weiss SC. Neonatal osteomyelitis examined by bone scintigraphy. Radiology 1984; 152: 685 – 8.
- 8.
Sullivan DC, Rosenfield NS, Ogden J, Gottschalk A. Problems in scintigraphic detection of osteomyelitis in children. Radiology 1980; 135: 731 – 6.
- 9.
Berkowitz ID, Wenzel W. ”Normal” technetium bone scans in patients with acute osteomyelitis. Am J Dis Child 1980; 134: 828 – 30.
- 10.
Ash JM, Gilday DL. The futility of bone scanning in neonatal osteomyelitis: concise communication. J Nucl Med 1980; 21: 417 – 20.
- 11.
Jaramillo D, Treves ST, Kasser JR, Harper M, Sunde R, Laor T. Osteomyelitis and septic arthritis in children: appropriate use of imaging to guide treatment. Am J Roentgenol 1995; 165: 399 – 403.
- 12.
Grey AC, Davies AM, Mangham DC, Grimer RJ, Ritchie DA. The pneumbra sign on T1-weighted MR imaging in subacute osteomyelitis, frequency, cause and significance. Clin Radiol 1998; 53: 587 – 92.
- 13.
Strouse PJ, Londy F, DiPietro MA, Teo E, Chrisp CE, Doi K. MRI evaluation of infectious and non-infectious synovitis: preliminary studies in a rabbit model. Pediatr Radiol 1999, 29: 367 – 71.
- 14.
Hauer MP, Uhl M, Allmann KH, Laubeinberger J, Zimmerhacke LB, Langer M. Comparison of turbo inversion recovery magnitude (TIRM) with T2-weighted turbo spin-echo and T1-weighted spin-echo MR imaging in the early diagnosis of acute osteomyelitis in children. Pediatr Radiol 1998; 28: 846 – 50.
- 15.
Peltola H, Unkila-Kallio L, Kallio MJT. Simplified treatment of acute staphylococcal osteomyelitis of childhood. Pediatr 1997; 99: 846 – 50._