Tidlige CT-tegn ved akutt cerebral iskemi

    ()

    sporsmal_grey_rgb
    Abstract

    Pasienter med akutt hjerneslag bør utredes med cerebral computertomografi (CT) umiddelbart etter innkomst i sykehus. Undersøkelsen kan gi mer informasjon enn bare ”å utelukke blødning” dersom bildene blir systematisk evaluert.

    Denne artikkelen illustrerer via fire pasienter fra vår avdeling de typiske tidlige CT-tegn ved akutt hjerneinfarkt.

    Artikkelen beskriver systematisk evaluering av CT-undersøkelsen ved akutt hjerneinfarkt ved å gi svar på følgende spørsmål: Foreligger det tegn til en hyperdens arteria cerebri media eller hyperdensitet i andre større intrakraniale arterier? Forekommer hypodensitet i basalgangliene? Forekommer hypodensitet (tap av grensen mellom hvit og grå substans) eller tegn til ødem (mindre volum for fissura Sylvii) i insularegionen? Forekommer hypodensitet (tap av grensen mellom grå og hvit substans) eller tegn til ødem (utviskede sulci eller kompresjon av ventriklene) i andre deler av arteria cerebri medias forsyningsområde eller i andre arterier?

    Systematisk evaluering av CT hos pasienter med akutt hjerneinfarkt kan gi verdifull informasjon. Tilstedeværelse eller mangel av tidlige CT-tegn kort tid etter debut av akutte nevrologiske utfall har implikasjoner for diagnose, prognose, valg av videre utredning og valg av behandling.

    Abstract

    Background.

    Patients who suffer from acute stroke should be examined with computed tomography (CT) of the brain immediately after admission. If evaluated systematically, this examination may give more information than just ”bleeding excluded”.

    Material and methods.

    CT scans of the brain in four patients with acute ischaemic stroke admitted to our department illustrate the typical early CT signs in acute cerebral ischaemia.

    Results.

    This article describes the systematic evaluation of a CT in acute stroke, when the following questions need to be answered: Is there a hyperdense middle cerebral artery sign (HMCAS), or hypodensity in other major intracranial arteries? Is there a hypodensity in the basal ganglia? Is there hypodensity (loss of cortical-subcortical discrimination) or oedema (decreasing volume of the Sylvian fissure) in the insular region? Is there hypodensity (loss of cortical-subcortical discrimination) or oedema (effacement of sulci or compression of ventricles) in other parts of the distribution of the middle cerebral artery or other arteries?

    Interpretation.

    An early CT in acute stroke patients may yield valuable information if evaluated properly. The presence or absence of early CT sign have implications for diagnosis, prognosis, choice of supplementary examinations, and choice of treatment.

    Artikkel

    Siden 1970-årene har man vært oppmerksom på forekomsten av tidlige CT-tegn ved akutt cerebral iskemi. For tidsintervallet 0 – 6 timer etter symptomdebut ble det beskrevet kun få pasienter med positive CT-tegn til iskemi (1). Forbedret CT-teknikk førte etter hvert til erkjennelse av at tidlige CT-tegn ved akutt hjerneinfarkt forekom hyppigere og tidligere i forløpet enn først antatt. Tomura og medarbeidere publiserte i 1988 resultater fra 25 pasienter som var undersøkt med cerebral CT innen 340 minutter etter symptomstart. I dette materialet hadde 23 pasienter (92 %) positive CT-tegn (2). I 1990-årene har mulighet for trombolytisk behandling ved akutt hjerneinfarkt vært den viktigste drivkraften for å utnytte informasjonsverdien av en tidlig CT-undersøkelse.

    I 1995 ble to av de viktigste trombolysestudiene publisert, den europeiske studien ECASS (European Cooperative Acute Stroke Study) (3) og den nordamerikanske studien NINDS (National Institute of Neurological Disorders and Stroke) (4). I ECASS brukte man for første gang tidlige CT-tegn innen seks timer etter akutt symptomdebut som avgjørende for om pasienten var egnet eller ikke egnet for trombolytisk behandling. CT-tegn som tydet på at mer enn en tredel av arteria cerebri medias forsyningsområde var skadet, var grunn til eksklusjon fra trombolytisk behandling. I NINDS-studien, som hadde et maksimalt behandlingsintervall mellom symptomdebut og behandlingsstart på tre timer, ble CT-undersøkelsen kun brukt til å utelukke blødning.

    Vurdering av CT ved akutt cerebral iskemi

    Vurdering av CT ved akutt cerebral iskemi

    Pasienter med akutt hjerneslag bør utredes med cerebral CT umiddelbart etter innkomst i sykehus. Undersøkelsen utføres uten kontrast med 5 mm tykke aksiale snitt basalt og 10 mm tykke snitt for øvrig. Bildene vurderes med tanke på tidlige iskemiforandringer etter definerte spørsmål i systematisk rekkefølge (tab 1). Vurderingen må inkludere alle bilder tatt fra skallebasis til vertex, med skiftende gransking fra friskt til patologisk og fra patologisk til friskt vev. Sluttvurderingen bør beskrive forekomst, lokalisasjon i forhold til karområdet og omfang av iskemiske og eventuelle hemoragiske forandringer. Dersom pasienten har kliniske tegn til et mediainfarkt, bør røntgenbildene vurderes med tanke på om mer eller mindre enn en tredel av a. cerebri medias forsyningsområde er rammet.

    Tabell 1  

    Spørsmål ved vurdering av tidlige CT-tegn ved hjerneinfarkt

    Foreligger HACM-tegn (hyperdens a. cerebri media-tegn) og/eller hyperdensitet i andre intrakraniale hovedarterier?

    Er det tegn til hypodensitet i basalgangliene på den affiserte siden?

    Er grensen mellom grå og hvit substans i insula vanskeligere å definere enn på den friske siden? Er volumet av fissura Sylvii mindre markert enn på den friske siden?

    Er grensen mellom grå og hvit substans i resten av cortex over den affiserte hemisfæren vanskeligere å definere enn på den friske siden? Er det tegn til utplanert kortikalt relieff, forenlig med ødem?

    Tidlige CT-tegn

    Tidlige CT-tegn

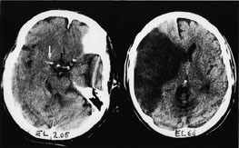
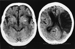
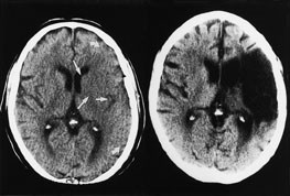
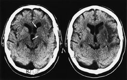
    De følgende eksempler er hentet fra pasienter innlagt i Nevrologisk avdeling, Haukeland Sykehus, med akutt cerebral iskemi og undersøkt med CT innen tre timer og ti minutter etter symptomdebut (bildet til venstre, fig 1 – 4) og med oppfølgende CT (bildet til høyre, fig 1 – 4). Bildene illustrerer de forannevnte kardinaltegn (tab 1).

    Hyperdens a. cerebri media-tegn (HACMtegn) (fig 1). HACM-tegn er strengt tatt ikke et tegn på tidlig infarkt, men er CT-tegn for okklusjon av a. cerebri media. Oftest er hovedstammen okkludert, med høy risiko for utvikling av et komplett mediainfarkt. Falskt positivt HACM-tegn kan forekomme ved arteriosklerose eller ved høy hematokrit. I begge tilfellene ville man forvente symmetriske forandringer, men skjev hodestilling under CT-undersøkelsen kan føre til et asymmetrisk bilde med tilsynelatende ensidig HACM-tegn.

    Hypodensitet i basalgangliene (fig 2). Ved et mediainfarkt er basalgangliene (nucleus caudatus, putamen og pallidum) ofte først rammet. Putamen er fysiologisk mer hyperdens enn pallidum.

    Hypodensitet i insula (fig 3). Iskemi fører til vanskeligheter med å diskriminere cortex fra subkortikalt vev i insula og fører til tap av ”insula ribbon” (cortexgrensen).

    Omfattende mediaskade i mer enn en tredel av a. cerebri medias forsyningsområde (fig 4). Hypodenst vev ved CT betyr irreversibel skade. Hypodensitet oppstår som følge av cytotoksisk ødem. Ødemet fører gradvis til utplanert relieff på hjerneoverflaten og i insularegionen. Et indirekte tegn kan være redusert volum av fissura Sylvii og/eller mindre ventrikkelstørrelse på den aktuelle siden.

    Diskusjon

    Diskusjon

    Radiologisk vurdering av omfanget av skaden ved akutt hjerneinfarkt er ofte vanskelig. I en studie der man sammenliknet tre nevroradiologers vurderinger av omfanget av iskemiforandringer i a. cerebri media, var det overensstemmelse i kun 72 % av tilfellene (5). En retrospektiv analyse av ECASS-studien viste tidlige CT-tegn hos 52 % av pasientene undersøkt innen seks timer etter symptomdebut. Resultatet var basert på overensstemmende beskrivelse etter uavhengig vurdering av CT-bildene av tre nevroradiologer som var blindet for all klinisk informasjon (6).

    For å bedre utnyttelsen av CT-informasjonen har man videre utviklet en standardisert kvantitativ CT-gradering hvor a. cerebri medias forsyningsområde blir delt inn i ti regioner, fordelt over to standardsnitt, ett gjennom basalgangliene og ett rett ovenfor basalgangliene. Graderingssystemet er betegnet som ASPECTS (the Alberta Stroke Programme Early CT Score). ASPECTS er funnet egnet å kunne identifisere pasienter som sannsynligvis ikke vil oppnå en uavhengig tilværelse etter akutt cerebral iskemi til tross for trombolytisk behandling (7). Likevel kan kvaliteten av CT-undersøkelser variere og vanskeliggjøre vurderingen. En supplerende undersøkelse med perfusjons-CT eller MR med diffusjons- og perfusjonsvekting kan klargjøre forholdene og utføres hos oss dersom trombolytisk behandling er planlagt og tretimersintervallet ikke overskrides.

    Leger som behandler pasienter med slag, bruker av og til antikoagulasjon, med risiko for alvorlige blødningskomplikasjoner. Flere undersøkelser har vist positiv korrelasjon mellom infarktstørrelse og komplikasjoner pga. hemoragi etter bruk av antikoagulasjon (8 – 10). Riktig vurdering av CT-funn kan sannsynligvis redusere blødningsrisikoen.

    ECASS har vist at trombolytisk behandling øker risikoen for blødning i infarktet når det foreligger omfattende mediaskader, større enn en tredel av a. cerebri medias forsyningsområde. Faren for blødning øker jo større og jo eldre infarktet er. Ved skader i mediaområdet vil en blødning kunne forverre pasientens tilstand. Ved skader i bakre kretsløp kan en blødning bli livstruende. Riktig vurdering av CT-funn kan også her redusere blødningsrisikoen.

    En fryktet følge etter akutt mediainfarkt hos unge pasienter er utvikling av malignt ødem med omfattende vevsskader. Kasuistikker publisert fra nevrokirurgiske avdelinger i Oslo (11) og Tromsø (12) har vist positiv klinisk utvikling etter tidlig hemikraniektomi over den affiserte, ikke-dominante hemisfæren. Dersom man har en ung pasient med CT-markering av en omfattende mediaskade etter få timer, bør rask transport til nevrokirurgisk avdeling overveies. Riktig vurdering av CT-funn kan her sikre effektiv behandling og skape et bedre utgangspunkt for rehabiliterende behandling.

    Konklusjon

    Konklusjon

    Selv om vurdering av CT-bilder kan være vanskelig, er man ofte nødt til å treffe viktige avgjørelser på grunnlag av disse resultatene.

    Behandlingsavgjørelsen i akuttfasen kan ha konsekvenser for pasienten som er vanskelige å korrigere etterpå. Negativ utvikling ved antikoagulasjonsbehandling eller trombolytisk behandling, dvs. opptreden av parenkymatøs masseblødning, er katastrofalt for pasienten. Negativ utvikling etter valg av å la være å behandle med antikoagulantia, trombolyse eller operasjon, dvs. utvikling av et komplett mediainfarkt eller herniering, er også katastrofalt for pasienten. Korrekt vurdering av CT-bildene er, sammen med den kliniske vurdering, nødvendig for å begrunne avgjørelsen om å gi eller ikke gi spesifikk behandling i akuttfasen.

    Kommentarer  ( 0 )

    Anbefalte artikler