Valg av nevroradiologiske metoder i oftalmologi – synsnerven, øyemusklene og orbita

    ()

    sporsmal_grey_rgb
    Abstract

    Det kan være vanskelig å fremstille de orbitale strukturene på en tilfredsstillende måte.

    Artikkelen er basert på våre erfaringer og på en selektert litteraturgjennomgang i den hensikt å gi en praktisk veiledning i metodevalg i kartlegging av orbitale prosesser.

    Både computertomografi (CT) og magnetisk resonanstomografi (MR) er viktige diagnostiske hjelpemidler for å oppdage og karakterisere patologiske forhold i orbita. Imidlertid er MR-undersøkelse med fettsuppresjon å foretrekke når synsnerven skal studeres. Samtidig kan intrakraniale forandringer også oppdages.

    Abstract

    Optimal imaging of the orbital structures presents a challenge. Images of this region may be disturbed by ocular movements, and orbital fat may prevent visualisation of the optic nerve and retrobulbar lesions.

    In this article, we intend to provide practical guidelines for the evaluation of orbital abnormalities, on the basis of our own experiences and a study of selected literature.

    Computed tomography (CT) and magnetic resonance imaging (MRI) are both useful for the detection and characterisation of orbital abnormality. However, for diagnostic work-up of the optic nerves, contrast-enhanced, fat-suppressed MRI best demonstrates the pattern and severity of optic nerve abnormality and allows assessment of the intracranial part of the optic nerves and associated intracranial abnormality. In the case of bony involvement, spiral CT imaging is the modality of choice. It is quick, inexpensive and allows multiplanar reconstruction.

    Not uncommonly, CT as well as MRI may be needed to characterise an orbital lesion.

    Artikkel

    Optimal fremstilling av orbitale strukturer og patologiske prosesser kan vanskeliggjøres av øyebevegelser. Orbitalt fettvev, som kan være til hjelp ved CT, kan gjøre fremstillingen vanskelig på MR. Omgivende kompakt beinvev kan gi artefakter på CT, men ikke på MR. Både CT og MR har således sin plass i denne diagnostikken. Spiral-CT med 1 mm tykke snitt gjøres av selve synsnerven og bør da rekonstrueres parasagittalt langs nervens forløp for å kunne følge den helt til apex orbitae.

    MR bør utføres i både aksialt og koronalt plan. Ved å benytte fettsuppresjon på MR og kjøre sekvenser uten og med intravenøs kontrast, vil vi få best opplysning om synsnerveaffeksjon. Det anbefales frekvensselektert fettsuppresjon fremfor STIR (short T1 inversion recovery sequence), da sistnevnte kan redusere effekten av gadoliniumkontrast. For å fremstille væskerommene kan det benyttes tredimensjonale opptak med gradientekko – såkalte CISS- eller FISP-sekvenser (fig 1).

    Ved skade av beinete strukturer, orbitavegg og tilstøtende bløtdeler er spiral-CT å foretrekke. Det er en rask undersøkelse der mann kan rekonstruere bildene i flere plan og betrakte både bein og bløtdeler (fig 2).

    Synsforstyrrelse og synsnedsettelse, smerter, en- eller dobbeltsidig proptosis eller diplopi kan være assosiert med tumor, infeksjon eller posttraumatiske prosesser i orbita. Bildediagnostikken skal utelukke eller bekrefte slike prosesser.

    Synsnerven

    Synsnerven

    Papillødem

    Papillødem

    Papillødem i tidlig stadium forårsaker ikke subjektive symptomer, men kan over tid gi synsforstyrrelser i form av amaurosis fugax-liknende kortvarige synsbortfall, ofte relatert til stillingsendring. Synsreduksjon eller tåkesyn forekommer bare sent i forløpet. Oftalmoskopi er den enkleste og beste metode for å påvise papillødem, men ved uklare medier er bildediagnostiske metoder til hjelp.

    MR med de vanlige spinekkosekvenser (T2) vil ofte gi relativt dårlig oppløselighet på grunn av ”chemical shift”-artefakter. Vi får da ikke den fremstilling vi ønsker av synsnerven og det omkringliggende subaraknoidalrommet.

    Fast spinekkosekvenser er bedre til å fremstille synsnerven og omliggende strukturer hos pasienter med papillødem og optikusatrofi (1).

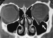
    Drusepapiller er den hyppigste årsak til pseudopapillødem, og det fundoskopiske bildet kan lett forveksles med papillødem. Orbital CT kan påvise små forkalkede hyalinlegemer ved papillen (fig 3).

    Synsnervebetennelse

    Synsnervebetennelse

    Optikusnevritt gir akutt synsnedsettelse kombinert med smerter utløst ved øyebevegelser, afferent pupilldefekt og fargesynsdefekt. Optikusnevritt er en fellesbetegnelse, og årsakene kan være mange, fra vaskulitt og inflammasjoner til multippel sklerose.

    Det kliniske bildet kombinert med undersøkelse av visuelt utløst potensial (VEP) er ofte tilstrekkelig til å stille den riktige diagnosen. Lesjoner som affiserer den intrakanalikulære delen av nerven har dårligere prognose og ved påvisning av dette er det nødvendig å sette i verk mer aggressiv behandling.

    CT er mindre sensitivt ved nevritt, men kan vise fortykkede nerver, eventuelt med kontrastoppladning. Funnet kan være vanskelig å vurdere. Diagnosen av optikusnevritt kan ved MR dels baseres på volumøkning, i tillegg er økt signalintensitet i synsnerven på T2-vektede bilder eller kontrastoppladning på T1-vektet bilde karakteristisk (fig 4). Bruk av fettsuppresjon med såkalt ”short time inversion recovery” (STIR) og ved ”frequency spesific selective partial inversion recovery” (SPIR) øker den diagnostiske sensitiviteten av MR fordi nerven bedre skilles fra omgivende fettvev og fordi patologiske signalendringer derfor lettere kan sees (2). Bruk av kontrast kan gi noe varierende signalendring ved bruk av STIR, mens SPIR tryggere kan kombineres med kontrast (3). Bruk av FLAIR (fluid attenuated inversion recovery) (4) kan vise signaløkning i området med betennelse. Lesjonens utbredelse og varighet er avgjørende for graden av normalisering av visus. Gadoliniumkontrast vil tydelig vise blod-hjerne-barriere-skade i form av oppladning, eventuelle før kliniske symptomer oppstår. Dette sees både ved demyeliniserende, vaskulær eller stråleindusert optikusnevritt (5). Utvidede subaraknoidalrom er viktige tilleggstegn ved nevritt og kan fremstilles i så vel aksiale som koronale MR-snitt.

    Synsnervetumorer

    Synsnervetumorer

    Fortykket synsnerve kan være forårsaket av tumor eller betennelse.

    Optikusgliom

    Optikusgliom

    Gliomer i synsnerven forekommer enten sporadisk eller som en del av nevrofibromatose type 1. Symptomene er smertefri progredierende synsnedsettelse og proptosis. Enkelte rapporterer at synsnervegliomer sees hos opptil 50 % av pasienter med nevrofibromatose 1 (6).

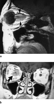
    CT viser homogen fortykkelse av synsnerven både i aksial- og koronalplan. Hvis CT benyttes, hører koronale snitt med, og man bør undersøke uten og med intravenøs kontrast. Selve nerven kan ikke sees som en separat struktur, ikke engang etter kontrast. Utvidelse av optikuskanalen er vanlig. MR viser enten fusiform, eksentrisk eller tubulær fortykkelse (fig 5a). T1-vekting viser lik intensitet mellom tumor og nerven, mens T2-vekting viser økt signal. Kontrastopptaket er ofte beskjedent. Ved intrakranial utbredelse sees fortykkelse av chiasma, med lav signalintensitet på T1- og økt signal intensitet på T2-bilder (fig 5b). Fettsuppresjonsteknikk er nødvendig for å skille kontrastoppladning i tumor fra høyt signal i orbitalt fett.

    Optikusmeningiomer

    Optikusmeningiomer

    Meningiomer fra synsnervehinnen er som regel ensidige, langsomtvoksende, benigne svulster, som fører til progredierende synsnedsettelse og lett proptosis. Oftalmoskopi viser papillødem. I senstadiet sees papillatrofi med optociliære kollaterale arterier.

    CT viser diffus fortykkelse av synsnerven, med kraftig kontrastopptak i tumor. Forkalkninger styrker differensialdiagnosen. Det er vanskelig å påvise kalk ved MR, og derfor er begge metodene til nytte. Ved MR har svulsten lavere intensitet enn selve synsnerven (fig 6 a). Små meningiomer kan som regel påvises bare ved bruk av gadoliniumkontrast, og gir kraftig kontrastoppladning (fig 6 b). Denne metoden fremstiller også best eventuell intrakranial utbredelse av tumoren (7). Den beinete optikuskanalen kan være utvidet. Ordinære skjelettbilder av foramen optici er i dag oftest erstattet av tynne CT-snitt i to plan.

    Optikusmeningiomer rammer mest eldre, hos yngre sees disse svulstene nesten bare hos pasienter med nevrofibromatose 2.

    Endokrin oftalmopati

    Endokrin oftalmopati

    Symptomene starter snikende, med øyelokksretraksjon, konjunktivalt og periorbitalt ødem, proptosis og dobbeltsyn. Ved langvarig inflammasjon blir musklene fibrotiske. Oftalmopatien kan opptre før, samtidig eller etter de systemiske symptomene, noe som ofte gjør tidlig diagnose vanskelig.

    CT med koronalt og aksialt snitt er å foretrekke ved endokrin oftalmopati. Et karakteristisk CT-funn er en relativt symmetrisk forstørrelse, først og fremst av nedre og mediale rette øyemuskler. I 90 % av tilfellene kan det avdekkes patologiske forhold bilateralt, til tross for ensidige symptomer. Aksiale og koronale plan viser godt fordelingen og graden av muskelforstørrelse og forholdet til synsnerven ved orbital apex (8). Det er en relativ sparing av muskelsenen, mens det er særlig fortykket midtre og bakre del ved muskelbunten som er typisk og muliggjør differensiering fra myositt. Endokrin oftalmopati forekommer i 2 – 7 % av tilfellene av Graves sykdom, i aktiv fase med inflammasjon og lymfocyttinfiltrasjon i retrobulbært orbitalt vev, i utbrenningsfasen med fibroser. Et fokalt lavattenuerende område innenfor muskelbunten er et annet CT-funn som tyder på endokrin oftalmopati. Tidlig i forløpet finnes lymfocytisk infiltrasjon og fokal mukopolysakkaridavleiring, mens fettinfiltrasjon forekommer i den senere fasen. Andre hyppige funn ved Graves sykdom er ekspansjon av det orbitale fett, som presser orbitalseptum fremover og dermed strekker synsnerven.

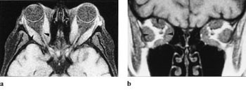
    Ved MR-undersøkelse med STIR-frekvens (fettsuppresjon) kan man grunnet økt vanninnhold påvise høysignalområder i aktiv fase i fortykkede muskler (fig 7 a, b). MR kan gi opplysning om muskelkontraktilitet ved repetisjon over flere minutter. Dette kan hjelpe til å oppdage subklinisk sykdom og demonstrerer det naturlige forløpet av sykdommen. Strabismeoperasjon bør utsettes til det ikke påvises noen aktivitet i sykdommen i en eller flere muskler, og botulinumtoksininjeksjon bør unngås hvis muskelen er klart fibrotisk og rigid. Immunsuppressiv behandling bør bare gis ved aktiv sykdom, når inflammasjon er påvist ved STIR-teknikk (9).

    Inflammasjon og pseudotumor i orbita

    Inflammasjon og pseudotumor i orbita

    Idiopatisk inflammasjon eller pseudotumor intraorbitalt opptrer ofte som uni- eller bilateral rød smertefull protrusjon av øyet med innskrenket bevegelighet. Dette er den tredje hyppigste tilstanden etter endokrin oftalmopati og lymfoproliferative sykdommer. De fleste inndeler tilstanden ut fra av lokalisasjonen. 95 % av tilfellene viser kontrastoppladning på CT, 76 % retrobulbær fettinfiltrasjon, 71 % proptosis og 57 % asymmetrisk fortykkede muskler (10). I slike tilfeller er både muskelbunten og senen fortykket, og hyppigst affisert er de mediale og øvre rette øyemuskler. I motsetning til ved Graves sykdom er det orbitale fettinnholdet ikke økt. Hvis inflammasjonen er nær bulbus, sees kontrastoppladning i sclera. CT er like nyttig ved denne tilstanden som MR, og er en billigere undersøkelse som tar kortere tid, men gir strålebelastning.

    Svulster i orbita

    Svulster i orbita

    Dermoid- og epidermoidcyster vokser langsomt og eroderer orbitalt bein. Karakteristisk lokalisasjon er i den superolaterale og superomediale delen av orbita, og sees som en diskret, cysteliknende struktur med en tetthet på CT svarende til væske eller fett. Spesielt viktig er det å fremstille orbitataket, for å utelukke intrakranial utbredelse.

    Lymfomer involverer oftest øvre del av orbita, inklusive øvre rette øyemuskel, og presser øyet nedover (fig 8 a, b). Det er svært vanskelig å differensiere røntgenologisk mellom lymfoid lesjon og lymfom i orbita, men der er også overlapping mellom de forskjellige typer histologisk. Karakteristisk er det, som også ved myositt, at muskelsenen er affisert. Både på MR og CT sees lymfomene som homogene, velavgrensede strukturer.

    Rhabdomyosarkomer er de hyppigste primære orbitasvulster i barndommen. Karakteristisk er rask utvikling av smertefri ensidig exophthalmus. CT viser en stor kontrastoppladende tumor som deformerer musklene og ofte destruerer beinet og penetrerer til paranasale sinuser. Det bør tas CT-snitt både aksialt og koronalt for å kartlegge beinaffeksjonen. MR gir god informasjon om bløtdelene.

    Omtrent 10 % av alle tumorer i orbita er metastaser, hyppigst fra bryst- og lungekreft. CT viser en diskret eller diffus lesjon som er isodens i forhold til øyemusklene og viser moderat kontrastoppladning. MR med kontrast, som også fremstiller cerebrum, kan vise multifokale lesjoner.

    Primære beintumorer er sjeldne i orbita, mens ca. to tredeler av metastaser destruerer beinstrukturen (11). CT er suverent for å påvise slike beinlesjoner, som lett kan oversees ved MR. Fibrøs dysplasi involverer ofte orbitavegg, og viser på CT et ”mottled ground glass”-bilde som er patognomonisk for denne tilstanden.

    Vaskulære anomalier

    Vaskulære anomalier

    Kapillære hemiangiomer kan markere seg som blågrå misfarging av huden. CT viser isodens, lobulær masse med markert kontrastoppladning (fig 9 a, b). Venøse malformasjoner kan øke i størrelse ved forskjellig aktiviteter som f.eks. gråt eller andre manøvrer som forårsaker venøs trykkøkning. Angiografi er ikke godt egnet til å påvise slike malformasjoner. Valsalvas manøver utført under spiral-CT-undersøkelse kan demonstrere den klassiske økningen av lesjonens størrelse hvis pasienten samarbeider og er i stand å holde pusten i 20 – 25 sekunder. Slike lesjoner kan imidlertid best påvises ved dopplerfargestrømsultralydundersøkelse.

    Orbitaskader

    Orbitaskader

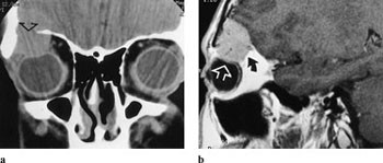
    De fleste ansiktsskader med brudd er assosiert med orbitaskader, derfor bør undersøkelsen kompletteres med radiologisk undersøkelse av orbita hos alle pasienter med slik skade (12). Ved ”blow-out-fraktur” oppstår en diskontinuitet av orbitagulvet, som kan føre til herniering av orbitainnhold, så vel fett som muskler. CT-rekonstruksjon med 5 mm tykke snitt er ikke adekvat, men man kan i dag benytte tynnere snitt og rekonstruksjoner (fig 10). Det kan være vanskelig å skille isodens muskel fra ødem og blod i det hernierte fettet. I slike tilfeller er MR å foretrekke.

    Orbital apeks- og optikuskanalfraktur kan forekomme enten isolert eller sammen med andre komplekse brudd. Skade i dette området er kritisk, grunnet nær relasjon til synsnerven. I tillegg til direkte overskjæring kan trykk fra beinfragmenter, hevelse eller blødning skade nerven. Tynn snittføring med multiplanare vurderinger av spiral-CT-bildene er nødvendig for å kunne stille riktig diagnose.

    Skader som gir mistanke om brudd i orbitaveggen bør undersøkes med CT. Til fremstilling av orbitataket og gulvet bør CT utføres også i koronal plan.

    Mukocele

    Mukocele

    Mukocele er vanlig årsak til smertefri proptosis, ofte utgående fra frontal eller etmoidal sinus, og kan erodere beinet og gi falskt inntrykk av destruksjon (fig 11 a,b). Innholdet i mukocele er ofte homogent. Etter kontrast sees en tynn perifer brem; den innvendige mucosa tar opp kontrast (13).

    Kommentarer  ( 0 )

    Anbefalte artikler