Nevroradiologisk fremstilling av 3., 4. og 6. hjernenerve

    ()

    sporsmal_grey_rgb
    Abstract

    Øyemotiliteten er kontrollert av 3., 4. og 6. hjernenerve i samarbeid med de høyere blikksentre og kortikale øyefelt. Det vanligste subjektive symptomer på øyemotilitetsforstyrrelse er dobbeltsyn.

    Klinisk undersøkelse kan avklare om diplopien har lokal orbital årsak som gir begrensning av musklenes bevegelse, om den skyldes muskelsvakhet eller nevrogen affeksjon av en eller flere av de øyemotoriske hjernenervene. Påvisning av årsaken til hjernenerveaffeksjonen kan være vanskelig til tross for bedrede bildediagnostiske metoder.

    Hensikten med artikkelen er å gi en kortfattet beskrivelse av karakteristiske symptomer som oppstår ved lesjoner i forskjellige nivåer i hjernenervenes forløp, og diskutere hvilken bildediagnostisk modalitet som er best egnet til å påvise den symptomgivende patologiske prosessen. Dette krever et nært samarbeid mellom kliniker og nevroradiolog.

    Artikkelen gir en praktisk veiledning, illustrert med eksempler fra vår praksis.

    Abstract

    The ocular motor cranial nerves (III, IV, VI) control the eye movements in a near association with the higher cortical areas. Clinically, the most common presentation of abnormal ocular motility is double vision.

    Identifying the cause of ocular nerve palsy can be difficult, and a large percentage of such cases still remains undiagnosed, even in a new era of neuroradiological techniques. Close co-operation between the clinician and the radiologist is necessary for the selection of the best imaging methods for the specific clinical problem, in order to set the aetiological and topological diagnosis.

    This article provides a practical review of advances in neuroimaging of the ocular motor nerves.

    Artikkel

    En rekke tilstander kan påvirke 3., 4. og 6. hjernenervefunksjon og gi få, men spesifikke symptomer. Normalt beveges øynene samordnet, slik at bildet faller på korresponderende punkter på netthinnen. Dette styres av et sentralt kontrollsystem, som gir kommando til de tre hjernenervekjernene. Derfra føres impulsene til de ytre øyemusklene. Nøyaktig klinisk undersøkelse er ofte tilstrekkelig for å påvise affeksjon av de øyemotoriske hjernenervene og for å utelukke andre årsaker til forstyrret øyebevegelse. Ved mistanke om unormal funksjon i en eller flere av hjernenervene er det viktig å lokalisere skaden og komme frem til etiologisk diagnose. Assosierte nevrologiske symptomer og funn hjelper i nivådiagnostikken til å bestemme lesjonens lokalisasjon langs nervens forløp fra hjernestammen til orbita. Ved hjelp av gode kliniske opplysninger kan radiologen målrette undersøkelsen for å påvise patologiske forhold. Undersøkelsesmetodene velges ut fra forventet anatomisk lokalisasjon og type patologisk prosess.

    Nervus oculomotorius (III)

    Nervus oculomotorius (III)

    Skade av 3. hjernenerve gir varierende kombinasjon av diplopi, ptose og pupilldilatasjon. Nervekjernen er i mesencephalon, og skade av denne forårsaker et karakteristisk bilde, den nukleære oculomotoriusparese (tab 1) (1).

    Tabell 1  

    Kliniske manifestasjoner av affeksjon av 3. hjernenerve ved forskjellige anatomiske lokalisasjoner (1)

    Nukleær

    Fascikulær

    Intradural

    Sinus cavernosus

    Ptose – bilateral eller unilateral 3. hjernenerveparese med contralaterale m. rectus superior-parese

    Isolert komplett 3. hjernenerveparese eller ofte sammen med affeksjon av andre hjernestammestrukturer (tab 2)

    Isolert 3. hjernenerveparese. Pupillaffeksjon tidlig i forløpet ved kompressiv lesjon. Ved mikrovaskulært infarkt kan pupillen være spart (regenerasjon innen 3 md.)

    Med affeksjon av 4., 5., 6. hjernenerve og sympatikusfibrer. Nedre divisjon av 3. nerve kan være spart (inkludert pupill)

    Fasikulær lesjon i hjernestammen er hyppig, og alltid assosiert med andre utfall, som hemiparese, hemitremor eller cerebellar ataksi, avhengig av hvilke andre strukturer som skades samtidig (tab 2) (1). Påvisning av patologisk tilstand, både ved kjerneområdet og i hjernestammen, som kan være betinget i blødning, infarkt, tumor, demyelinisering eller arteriovenøs malformasjon, gjøres best med MR (2), (fig 1a, b). Hjernestammen fremstilles dårlig med CT pga. artefakter fra omgivende bein, og CT bør kun anvendes i tilfeller hvor MR-undersøkelse er kontraindisert (pacemaker, ikke magnetkompatible klips, klaustrofobi). Oculomotoriusnerven i cisternerommet kan påvirkes av aneurisme (a. carotis interna eller a. communicans posterior). Dette er årsaken til parese i hjernenerve III hos en tredel av pasientene (3), og hos de aller fleste starter det med kraftig hodepine. Dilatasjon av pupillen er i slike tilfeller nesten obligatorisk funn, siden pupillens motorfibrer er beliggende overflatisk i nerven i dette området og er meget vulnerable for trykk. I mindre enn 5 % av tilfellene er pupillen ikke affisert. Man kan ikke utelukke aneurisme selv om hodepinen mangler. Aneurismer kan debutere med subaraknoidalblødning. CT uten kontrast er den beste metoden for å vise blod i subaraknoidalrommet (4). CT-angiografi er vårt første valg for å fremstille aneurismer (fig 2a, b), men metoden krever injeksjon av kontrastmiddel (5). Ved sterk klinisk mistanke og negativ CT-angiografi bør konvensjonell angiografi utføres.

    Tabell 2  

    De viktigste hjernestammesyndromer med lesjoner av fascikulære 3. eller 6. hjernenerve (1)

    Symptomer

    Syndrom

    Lesjonens lokalisasjon

    Skadede strukturer

    Ipsilateral

    Kontralateral

    Webers syndrom

    Basale del av mesencephalon

    Tractus corticospinalis

    3. hjernenerveparese

    Hemiparese

    Benedikts syndrom

    Tegmentum

    Nucleus ruber

    3. hjernenerveparese

    Involuntære bevegelser

    Nothnagels syndrom

    Tectum

    Brachium conjunctivum

    3. hjernenerveparese

    Hemiataksi

    Millard-Gublers syndrom

    Basale del av pons

    6. og 7. hjernenerve Tractus corticospinalis

    6. og 7. hjernenerveparese

    Hemiparese

    Fovilles syndrom

    Tegmentum av pons

    5., 6. og 7. hjernenerve, sentral sympatikusbane

    Utfall ved 6., 7. og 8. hjernenerve Horners syndrom

    (Hemiparese)

    MR-angiografi er også en god og relativt sikker metode for å påvise aneurisme. Et nylig publisert arbeid (6) viser at 3D TOF (tredimensjonal ”time-of-flight”) MR-angiografi fremstiller ca. 98,5 % av aneurismene som har en størrelse som statistisk beregnet ville blødd innen åtte år. MR-angiografi er å foretrekke der beinartefakter omkring carotissifongen forstyrrer CT-bildene, men MR-undersøkelsen krever lengre tid. Ved MR-undersøkelse sees kar som ”flow void” eller områder med tap av fokalt signal grunnet den raske passasjen av blod i undersøkelsesfeltet. Dette gjør at vi kan skille deler av aneurismer som er trombefylte fra de sirkulerende deler.

    Affeksjon av 3., 4. og 6. hjernenerve kombinert med sensibilitetstap i pannen (første gren av 5. hjernenerve) gir mistanke om ekspansiv prosess i sinus cavernosus. Hypofyseadenom fremstilles best på MR ved T1-vektet serie uten og med intravenøs kontrast, mens kraniofaryngeom krever også T2-vektet serie. Meningeomer i sellaregionen utgår fra dura av diaphragma sellae, sinus cavernosus eller beinet sella turcica. Meningeomets intensitet er likt hjernevev eller litt lavere før kontrast, men viser i likhet med nevrinomer kraftig økt signal etter kontrastinjeksjon. Sinus cavernosus-trombose er hyppigere enn tidligere antatt, og kan lett oversees hvis bare CT utføres (7). MR-angiografi med venesekvens gir best avklaring (7).

    En av de vanligste årsaker til oculomotoriusparese er iskemisk skade av nerven. Tilstanden rammer pasienter over 50 år som ofte har andre risikofaktorer for cerebrovaskulær lidelse, som hypertensjon og diabetes mellitus. En slik mikrovaskulær nevropati kan ramme nerven hvor som helst langs hele forløpet, men som regel er pupillen ikke affisert. Paresen bedres spontant i løpet av tre måneder. Hvis den forventede bedringen uteblir, bør nevroradiologisk utredning startes.

    En sjelden, men interessant tilstand er oftalmoplegisk migrene. I slike tilfeller kompliseres migreneanfallene med oculomotoriusparese, som er reversibel, men også kan bli permanent. Fordi det rammer unge mennesker, representerer det ofte et stort diagnostisk problem der aneurisme må utelukkes. Det er rapportert at MR-undersøkelse like etter et anfall kan vise økt signal av nerven etter kontrastinjeksjon, men vi har ikke selv kunnet vise noen slike (8, 9).

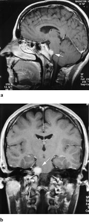
    Langsomt progredierende oculomotoriusparese med pupillaffeksjon kan være forårsaket av nevrinom, som er isointens på T1- og T2-vektede MR-bilder og viser kraftig signalopptak etter intravenøs injeksjon av gadoliniumkontrast (fig 3).

    Nervus trochlearis (IV)

    Nervus trochlearis (IV)

    Nerven innerverer m. obliquus superior, som senker og innadroterer øyeeplet. Skade av nerven forårsaker vertikalt dobbeltsyn, som øker ved sideblikk. Pasienten kompenserer med feilstilling av hodet. Dette er den eneste hjernenerven som forlater hjernestammen på baksiden, og fibrene krysser midtlinjen. Grunnet det lange forløpet er trochlearisnerven spesielt utsatt ved traumer. Relativt moderate hodeskader kan føre til nerveskade. CT med beininnstilling bør utføres i akuttfasen for å påvise skallefrakturer. Nevrokirugiske inngrep eller økt intrakranialt trykk kan også være årsak til nerveparesen.

    En indirekte måte å få bekreftet at det foreligger en trochlearisparese er påvisning av atrofi av den øvre skrå øyemuskelen ved orbital MR. Noen måneder etter trochlearisparesen atrofierer denne muskelen, og det kan spesielt godt vises ved ensidig skade (10).

    Nervus abducens (VI)

    Nervus abducens (VI)

    Nervus abducens innerverer m. rectus lateralis. Parese av nerven forårsaker horisontal diplopi. Abducenskjernen er beliggende i bunnen av 4. ventrikkel og består av to typer nevroner: motoriske nevroner, som forsyner bare en av de ytre øyemusklene, m. rectus lateralis, og internevroner, som via den mediale lange fasikkel gir fibrer til motsatt sides m. rectus medialis. En lesjon i kjerneområdet vil ikke bare føre til en ipsilateral abduksjonssvakhet, men også til en blikkparese til samme side som lesjonen. En fasikulær lesjon er ofte kombinert med perifer facialisparese og kontralateral hemiparese (tab 2). Både kjernen og den fasikulære delen av nerven kan være påvirket ved blødning, infarkt, demyelinisering, tumor og infeksjon. MR er den beste metoden for å påvise slike årsaker.

    Cisternale lesjoner av abducensnerven gir isolert abduksjonsparese og forekommer ved økt intrakranialt trykk eller ved svulster i clivusområdet, som meningeom, kordom eller metastaser (fig 4). Abducensparese med hodepine er karakteristisk ved clivuskordomer. Svulsten vokser langsomt, og kan gi symptomer i form av intermitterende dobbeltsyn flere år før det er andre nevrologiske funn (11). Inflammatoriske tilstander i forbindelse med mellomørebetennelse kan bre seg til os petrosus og gi det klassiske bildet av Gradenigos syndrom, som ved siden av abducensparese består av ipsilateral facialisparese, ipsilaterale ansiktssmerter og nedsatt hørsel.

    Abducensnerven er hyppig affisert i sinus cavernosus-området og da sammen med andre kraniale nevropatier. Ved mistanke om patologiske forhold i dette området er MR med koronale snitt førstevalget. Imidlertid vil prosesser som destruerer beinstrukturer, som nasofaryngeale karsinomer, metastaser osv., også kreve CT med beininnstilling. Akutt oppstått proptosis, pulserende exophthalmus, konjunktival chemosis og subjektiv og objektiv hørbar bilyd karakteriserer traumatisk carotico cavernosus-fistel, som kan debutere noen dager etter hodeskade. I 85 % av fistlene affiseres n. abducens (12). Det er liknende symptomer, men de er mindre dramatiske og utvikles mer snikende ved ikke-traumatiske, indirekte eller durale fistler. Carotico cavernosus-fistler, både spontane og traumatiske, i sinus cavernosus-området kan fremstilles med MR- og CT-angiografi, men vil oftest kreve konvensjonell angiografi (13). Særlig vil durale fistler med relativt langsom sirkulasjon lett oversees hvis det ikke gjøres konvensjonell angiografi. Der behandling er nødvendig, kan dette i dag gjøres med endovaskulær lukking av fistelen med avløsbare ballonger eller platinatråder (coiler).

    Isolert abducensparese hos personer som er yngre enn 50 år krever nøye nevroradiologisk utredning. Der denne er negativ, men abducensparesen progredierer, bør undersøkelsene gjentas (14). Hos personer over 50 år er abducensparesen ofte en mikrovaskulær, iskemisk betinget mononevropati, og bedres spontant i løpet av tre måneder. Hvis bedringen uteblir, bør nevroradiologisk utredning startes.

    Samarbeid mellom kliniker og radiolog er helt nødvendig for å optimalisere den diagnostiske prosess (15).

    Kommentarer  ( 0 )

    Anbefalte artikler