Fetalt alkoholsyndrom – onödigt lidande som inte blivit ovanligare

    ()

    sporsmal_grey_rgb
    Abstract

    Diagnosen fetalt alkoholsyndrom, FAS, ställs helt på kliniska symtom: pre- och/eller postnatal tillväxthämning, CNS-manifestationer och ett karakteristiskt ansiktsutseende. Dessutom skall barnet ha en säkerställd alkoholexponering under graviditeten. Tillståndet döljer sig ofta bakom andra diagnoser.

    Intelligens- och beteendestörningar har stor betydelse för uppväxt, skolgång och vuxenliv.

    FAS förekommer i ökad utsträckning i områden med svåra socioekonomiska förhållanden.

    Ögonförändringar förekommer ofta, varför en ögonundersökning kan vara till hjälp för diagnos.

    Endast prevention är möjlig för att förhindra uppkomsten av detta helt onödiga, livslånga handikapp.

    Abstract

    Fetal alcohol syndrome, FAS, is characterized by pre- and/or postnatal growth deficiency, CNS dysfunction, typical facial features and evidence of prenatal alcohol exposure. FAS is often an unrecognized diagnosis and is based on clinical symptoms alone. The cognitive and behavoral disturbances have a great influence on the children’s ability to learn and on their adult life. FAS is to a great extent found in areas with less than satisfactory socio-economic conditions. Since ophthalmologic involvement is frequent, an eye examination may be helpful in making a diagnosis. Prevention is essential since the brain damage prevails, despite comprehensive medical and social supportive efforts being made during childhood and in education.

    Artikkel

    Artikkelen er tidligere publisert i Läkartidningen 2000; 97: 5108 – 10

    Att barn kan drabbas av fosterskador på grund av moderns alkoholmissbruk under graviditeten är känt sedan bibelns tid (Domarboken 13: 7). På 1970 – 80-talen blev uppmärksamheten stor sedan Jones och Smith (1) beskrivit barn med typiska kännetecken, s k fetalt alkoholsyndrom (FAS). 1979 uppmärksammades FAS för första gången i Sverige av Olegård och medarbetare (2). Numera hör man nästan inte talas om FAS. Hur ser det ut i olika delar av världen beträffande FAS? Har vi lyckats minska antalet barn med dessa skador?

    De frekvensundersökningar som finns är från 1970-talet och har gjorts i olika länder. De tyder samstämmigt på att fullständigt fetalt alkoholsyndrom förekommer hos ungefär 1 – 2/1 000 födda barn. I mera socialt och ekonomiskt utsatta grupper såsom Amerikas indianer är frekvensen betydligt högre. I en indianstam i British Columbia var t ex förekomsten av FAS och mindre uttalade skador, s k fetala alkoholeffekter (FAE), 19/1 000 barn i åldern 0 – 18 år (3). 1997 konstaterade Sampson och medarbetare att om man inkluderar ”neurodevelopmental disorders” är frekvensen 9,1/1 000 barn, dvs nästan 1 procent (4). Detta har nyligen verifierats i en studie från franska Réunion (5). För övrigt är det mycket svårt att göra tillförlitliga frekvensundersökningar, då tillståndet ofta gömmer sig under ett antal olika diagnoser.

    Diagnoskriterier

    Diagnoskriterier

    Diagnosen FAS kräver, förutom att modern skall ha ett väl dokumenterat alkoholmissbruk under graviditeten, att barnet skall uppvisa tecken från vardera av tre kategorier:

    1. prenatal och/eller postnatal tillväxthämning (vikt och/eller längd under den tionde percentilen korrigerade för gestationsålder).

    2. manifestationer från centrala nervsystemet såsom strukturella avvikelser i form av mikrocefali eller hjärnmissbildningar, psykomotorisk utvecklingsförsening, neurologiska störningar av t ex balans, koordination, perception och inlärningsförmåga samt beteendestörningar. De senare inkluderar bl a hyperaktivitet, koncentrationssvårigheter, uppmärksamhetsstörning, störd impulskontroll och okontrollerade aggressionsutbrott.

    3. ett karakteristiskt ansiktsutseende med korta ögonspringor, bred platt näsrot, outvecklat mittansikte, lång överläpp med otydligt filtrum och tunt läpprött. Dessutom förekommer smärre missbildningar av skilda organ, t ex hjärta, skelett, genitalia, ögon, öron, läpp-gomspalt.

    Alla dessa kliniska symtom kan finnas i mer eller mindre uttalad grad. Många barn har en diagnos inom något eller några av dessa områden, men symtomen har kanske inte ställts samman till en diagnos av FAS eller av den lindrigare formen, FAE. Det kan också vara svårt att verifiera att modern har haft ett väl dokumenterat alkoholmissbruk under graviditeten. Många kvinnor har ett blandmissbruk och röker också, vilket kan försvåra diagnosställandet.

    Den psykiska utvecklingsstörningen och beteenderubbningarna är några av de allvarligaste symtomen för barnet. Två amerikanska forskare, Abel och Sokol, anser att FAS är den vanligaste orsaken till mental retardation i utvecklade länder (6). I en svensk undersökning av barn med lätt mental retardation (IQ 50 – 70) kunde konstateras att minst 10 procent av fallen gällde FAS (7). Beteendestörningarna är mycket omfattande vid FAS (8). DAMP, AD/HD och autismliknande tillstånd har observerats bl a hos svenska barn med FAS (9). Nedsatt IQ och inlärningssvårigheter har rapporterats vid ”måttligt drickande” (10). Mödrars konsumtion av två drinkar per dag under graviditeten sänkte IQ hos deras 7-åriga barn, och barnen fick inlärningsproblem när moderns dryckesmönster hade varit ”binge drinking” (dvs fem eller fler drinkar vid åtminstone ett tillfälle).

    Ögonskador i upp till 90 procent av fallen

    Ögonskador i upp till 90 procent av fallen

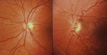
    Ögonen kan vara drabbade i upp till 90 procent av fallen vid fetalt alkoholsyndrom (11). Ögonundersökning har visat sig vara ett bra hjälpmedel för att ställa diagnosen FAS. Alla delar av ögonen kan vara skadade. De vanligaste tecknen är korta ögonspringor och telecanthus (bred näsrot), skelning, nedsatt syn och ögonbottenförändringar, främst medfödd underutveckling av synnerven och slingriga näthinnekärl (fig 1). Sådana ögonbottenförändringar kunde konstateras i hälften av fallen i en studie av barn med FAS bl a genom objektiv värdering av ögonbottenfoton med hjälp av digital bildanalys (11).

    Ingen säker gräns för skadefri alkoholkonsumtion

    Ingen säker gräns för skadefri alkoholkonsumtion

    Man har inte kunnat visa någon säker gräns för hur stor mängd alkohol som kan konsumeras utan att ge skador. Skadorna blir dock svårare ju mer modern dricker under graviditeten. Ett fullständigt utvecklat fetalt alkoholsyndrom kräver ett allvarligt missbruk under graviditeten, medan intelligens- och beteendestörningar uppstår vid måttligare konsumtion (10). I en undersökning av 9 alkoholmissbrukande mödrar och deras 30 barn kunde konstateras att ju mer modern drack, desto mer skadat blev nästa födda barn (12). Några kvinnor lyckades avstå från alkohol under någon av sina graviditeter och födde då ett friskt barn. En sådan liten rapport ger naturligtvis inte några säkra vetenskapliga resultat men ger kanske en optimistisk fingervisning om att det är möjligt att föda barn fria från alkoholskador även om man missbrukat tidigare, om man avstår från alkohol under nästa graviditet.

    Osäkert när skadorna inträffar

    Osäkert när skadorna inträffar

    Det finns mycket få vetenskapliga rapporter om när under graviditeten skadorna sker hos människa. Den huvudsakliga organbildningen sker under de första åtta veckorna efter befruktning, följt av differentiering och tillväxt. Nervvävnad börjar utvecklas mycket tidigt, fortsätter genom hela graviditeten och även efter födseln. Under tredje trimestern sker ”brain growth spurt”, under vilken period man anser att intelligens- och beteendeskador uppstår.

    Uppkomna skador bestående vid långtidsuppföljning

    Uppkomna skador bestående vid långtidsuppföljning

    Det finns flera svenska studier där man genomfört långtidsuppföljning av barn med FAS. Aronson och Hagberg undersökte 24 barn som hade exponerats för alkohol under graviditeten (13). De fann att tidiga, samordnade och kraftfulla insatser före 12:e graviditetsveckan kan förebygga att barn till alkoholiserade mödrar får bestående skador under fosterstadiet. Däremot har barn till mödrar som missbrukat alkohol under stora delar av graviditeten kvarstående problem i 13-årsåldern. De flesta var placerade i familjehem och endast tre barn gick i normalklass, medan resten fick stödundervisning eller gick i särskola.

    På ögonavdelningen för barn vid Drottning Silvias barn- och ungdomssjukhus har barn med fetalt alkoholsyndrom undersökts sedan många år. En uppföljning av 25 barn med FAS gjordes för några år sedan (medianuppföljningstid 11 år) (14). Resultaten var nedslående. De barn som redan tidigare hade grav synnedsättning hade fortfarande så, medan de som hade måttligt nedsatt syn ofta hade fått förbättrad synskärpa. Tio mödrar hade dött, åtta av dem på grund av alkoholrelaterad sjukdom. Bara fyra av mödrarna hade vårdnad av barnen. De allra flesta gick i särskola, bara tre barn gick i normalklass utan extra stödundervisning. Man kunde summera att den viktigaste skadan, nämligen hjärnskadan, kvarstod trots omfattande medicinska och sociala insatser och stödåtgärder i skolundervisningen.

    Situationen i dag

    Situationen i dag

    För att belysa hur situationen är i dag beträffande FAS anordnades ett Ahrnbergsymposium i pediatrisk oftalmologi i Göteborg våren 2000, finansierat av Göteborgs Läkaresällskap. Till detta hade Kenneth L Jones, en av dem som först beskrev det fetala alkoholsyndromet, inbjudits. Jones och medarbetare har gjort en undersökning i Wellington, en liten stad på landsbygden norr om Kapstaden. De undersökte 995 slumpmässigt utvalda barn som gick i första klass i normalskola. Man fann en prevalens av 4,8 procent med fullt utvecklat fetalt alkoholsyndrom bland barnen (Jones, pers medd). Man har också påbörjat en undersökning i Moskva, där man i en pilotstudie av barnhemsbarn uppskattat att ca 30 procent av barnen har FAS.

    Det är känt att ett stort alkoholmissbruk förekommer i Östeuropa. Albers och medarbetare undersökte barn, adopterade från Östeuropa inklusive det forna Sovjetunionen, när de kommit till USA (15). Hos de 43 barn som studerades noterades uttalad tillväxt- och utvecklingshämning: 70 procent hade grovmotorisk och 82 procent finmotorisk utvecklingsförsening, 59 procent språk- och 53 procent socialt emotionell störning. Ett barn hade FAS, och det fanns uppgifter om att 19 mödrar hade missbrukat alkohol under graviditeten.

    I Estland har barnläkare på senare tid uppmärksammat att en del barn har FAS. Två estniska ögonläkare har gjort en pilotstudie, varvid de vid en ögonundersökning funnit de typiska ögonförändringarna hos ett antal barnhemsbarn med FAS. I Estland önskar man nu kartlägga förhållandena för att angripa problemet med ett rätt omhändertagande av redan drabbade barn och påbörja preventionsarbete för att undvika skador i framtiden. Ett samarbete mellan estniska och svenska läkare har inletts, där vi planerar att undersöka barn på barnhem beträffande deras hälsotillstånd med särskild fokusering på alkoholrelaterade skador.

    Stödförening för FAS-familjer

    Stödförening för FAS-familjer

    På sistone har en svensk stödförening för familjer med främst adopterade barn med FAS bildats, FAS-Föreningen (e-post: FAS@telia.com), dit man kan vända sig. Det finns också andra stödföreningar runt om i världen.

    Prevention svår men nödvändig

    Prevention svår men nödvändig

    Det är mycket svårt att utveckla effektiva program för att förhindra alkoholrelaterade fosterskador. Detta erkände Kenneth Jones vid Ahrnbergsymposiet. Vi har i Sverige mycket få möjligheter till omhändertagande av kvinnor med alkoholproblem under graviditeten, den enda tidsperiod under vilken vi kan hindra det ofödda barnet från att påverkas av alkohol. Forskningen inom humanområdet måste också intensifieras för att man ska få ökad kunskap och kunna vidta åtgärder mot skador som inte bara ödelägger barnens hela liv utan även orsakar stora ekonomiska utgifter för samhället. Kraftfulla resurser behöver sättas in för att informera allmänheten och utbilda personal inom medicin, socialvård, skola och andra yrkeskategorier som kommer i kontakt med problemen. Det finns ingen bot för FAS – endast prevention är möjlig för att vi ska kunna förhindra detta helt onödiga, livslånga handikapp.

    Kommentarer  ( 0 )

    Anbefalte artikler