Ryggmargsskade etter knivstikk

    ()

    sporsmal_grey_rgb
    Abstract

    Penetrerende voldsskader er velkjent. Vi omtaler to pasienter som etter 1999 er behandlet i vår avdeling etter å ha blitt påført knivstikk i nakken med skade av ryggmarg. Dette er en skadetype vi inntil nå ikke har hatt erfaring med. Begge pasientene hadde Brown-Se…quards syndrom. Den ene ble i akuttfasen behandlet med primær lukning av huden og antibiotika. Det utviklet seg en overflatisk infeksjon og spinalvæskelekkasje, og han ble operert to uker etter skaden med sårrevisjon og duraplastikk. Den andre pasienten gjennomgikk umiddelbart kirurgisk eksplorasjon av den intraspinale skaden med lukning av dura. Førstnevnte pasient har vist mye større bedring enn den siste. Muligheten for skade på dype organer må overveies hos pasienter som er knivstukket i nakke og hals. MR viser omfanget av en ryggmargsskade, og vi anbefaler sårrevisjon og duraplastikk i akuttfasen.

    Abstract

    Background

    . Problems about penetrating injuries are well known, but spinal cord damage is rare. Stab wounds to the spinal cord may be a new type of injury in our society.

    Material and methods

    . We describe two patients brought to our hospital with stab wounds to the cervicothoracic region and major neurologic injury. One was treated initially only with cleaning and primary closure of the skin. After two weeks the intraspinal damage was repaired in our neurosurgical unit. The second patient was immediately brought to neurosurgery. The intraspinal damage was explored and the dural tear was closed.

    Results

    . The first patient got a superficial infection and spinal fluid leakage after initial treatment. This resolved when the dura was closed. There were no wound complications in the second patient. Both demonstrated Brown-Se…quard’s syndrome. Neurologic recovery was much better in the first than in the second patient.

    Interpretation

    . Minor penetrating wounds in the neck region may represent damage to the spinal cord with major neurologic injury. Further investigation with MR is preferable and we recommend immediate surgical treatment with closure of the dural tear.

    Artikkel

    Penetrerende skader skjer med skytevåpen eller med skarpe gjenstander. Berg-Johnsen & Johansen (1) omtaler 37 pasienter som har vært innlagt ved Ullevål sykehus med penetrerende skuddskader i hode og hals i perioden 1986 – 95. Av disse hadde 29 begått selvmord eller gjort selvmordsforsøk. Når det gjelder penetrerende skade med skjærende redskap, var det i tiårsperioden 1989 – 98 innlagt 389 pasienter. Av disse innleggelsene var 170 som følge av vold, 125 skyldtes uhell, 55 var egenskade og hos 34 pasienter var forholdet omkring skaden usikkert. Ingen av pasientene hadde imidlertid skade på ryggmarg. Men etter 1999 har vi behandlet to pasienter som ble innlagt etter å ha blitt knivstukket bakfra i nakken med påfølgende ryggmargsskade. Innstikkssårene virket i første omgang relativt beskjedne, men spissen på kniven hadde hos begge truffet ryggmargen. Begge pasientene hadde omfattende sensoriske og motoriske utfall som umiddelbart liknet Brown-Se…quards syndrom. Ved slike partielle skader er sjansen for å gjenvinne noe av den tapte funksjonen absolutt til stede (2), noe vi også observerte.

    Pasient 1. 17 år gammel gutt som under bråk på en restaurant ble stukket bakfra med en kniv som det var pizzarester på. Pasienten ble påført knivstikk høyt i nakken cervikooksipitalt. Videre fikk han et stikk lenger ned i nakken i C7-nivå. Begge disse kuttene var 2 cm lange. Dessuten ble han stukket øverst på ryggen i nivå med høyre skulderblad. Dette stikket var 5 cm langt.

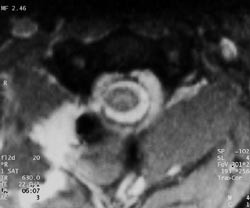
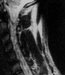
    Pasienten falt om og hadde pustebesvær og kunne ikke bevege høyre sides ekstremiteter. Han ble brakt til lokalsykehus og man påviste hemothorax på høyre side, dette ble drenert. Nevrologisk undersøkelse viste høyresidig hemiparalyse og venstresidig bortfall av smerte- og temperatursans under C3-nivå. Vibrasjons- og leddsans ble ikke undersøkt i akuttfasen. Det ble gjort primær lukning av alle sår. Han fikk penicillin profylaktisk. Dagen etter innkomst ble det gjort MR som viste høysignalforandringer i medulla i C1/C2-nivå (fig 1, 2). Fem dager etter skaden var det øverste såret rødt og hovent. Suturene ble fjernet, og det tømte seg et hematom. Antibiotikum ble skiftet fra penicillin til cefotaksim. Pasienten var høyfebril og hadde stigende CRP-verdi. Dyrkingsprøve fra hematomet viste rikelig vekst av Enterobacter, og det ble igjen skiftet antibiotikum fra cefotaksim til imipenem. Ti dager etter skaden observerte man lekkasje av spinalvæske i såret, og etter 12 dager ble han overført til nevrokirugisk avdeling og operert dagen etter. Det ble gjort ny sårrevisjon samt laminektomi på C1 og C2 og duraplastikk. Man fant en fraktur på bakre atlasbue på høyre side. Duralesjonen var 5 mm lang. Videre var det tydelige kontusjonsforandringer i medulla svarende til duraskaden. C2-roten på høyre side var subtotalt overskåret.

    Pasienten ble overført til rehabiliteringssykehus fem uker etter skaden, og da var han i bedring nevrologisk. Han hadde parese med kraft grad 2 både i over- og i underekstremitet. Åtte uker etter skaden gikk han sine første skritt. Nevrologisk undersøkelse etter tre måneder i henhold til American Spinal Cord Injury Association (ASIA) gav 256/324 poeng. Han hadde normal kraft i begge underekstremiteter og venstre overekstremitet og parese med kraft grad 4 i høyre overekstremitet. Det var nedsatt sensibilitet for temperatur, smerte og lett beberøring fra og med C3-dermatomet og ned på venstre side. Leddsans var normal på begge sider. Han hadde normal blære- og rectumfunksjon. Etter sju måneder kunne han skrive med høyre hånd og sykle og løpe.

    Pasient 2. Mann 50 år. Han ble innlagt direkte i vår avdeling kort tid etter å ha blitt knivstukket av annen person. Pasienten var våken og orientert og hadde stabil respirasjon og sirkulasjon. Han hadde et stikksår bak og øverst på thorax mot nakken like til venstre for midten. Nevrologisk undersøkelse viste total paralyse i venstre underekstremitet og tap av sensibilitet for lett berøring, smerte og temperatur på høyre side fra dermatomet Th5 og ned. Dyp sensorikk ble heller ikke hos denne pasienten undersøkt i akuttfasen. Han hadde svekket sfinktertonus uten voluntær kontraksjon. Man vurderte muligheten for et intraspinalt hematom. Røntgen av cervikalcolumna supplert med CT av cervikal- og øvre torakalcolumna viste fissur gjennom lamina på Th3 samt noe intraspinal luft, men ikke hematom. Pasienten fikk metylprednisolon i ett døgn og antibiotikaprofylakse med cefalotin. Det ble utført overflatisk sårrevisjon i mottaket.

    Umiddelbart etter røntgendiagnostikk ble han operert i bukleie med midtlinjesnitt i øvre torakalnivå. Man observerte at det kom spinalvæske fra stikksåret. Det ble gjort arkotomi på Th3 og øverst på Th4. Da fikk man oversikt over en skrått forløpende durarift parallelt med stikksåret og med underliggende skade i medulla. Duraskaden ble reparert og såret lukket. Dagen etter var det noe spinalvæskelekkasje som opphørte etter at det ble sørget for ekstra hudsuturer. Tre måneder etter skaden hadde han 224/324 ASIA-poeng. Det var parese med kraft grad 1 for fleksjon i venstre hofte. Han var paralytisk videre distalt i venstre underekstremitet. På høyre side var det manglende sensibilitet for lett berøring, smerte og temperatur fra og med dermatomet Th3 og ned. Det var ikke voluntær kraft i analsfinkter, og han var delvis inkontinent for avføring. Han hadde også bare delvis spontan vannlating. Vibrasjonssans var nedsatt fra knærne og ned på begge sider. Etter fem måneder kunne han gå 30 meter med krykker, men var ellers avhengig av rullestol. Det var normal leddsans på høyre side og manglende i venstre underekstremitet. For øvrig var sensorisk funksjon uendret etter fem måneder.

    Diskusjon

    Diskusjon

    Selv om enkelte områder i verden ligger høyt på voldsstatistikken, er det stort sett svært lite pasientmateriale i de publikasjoner som omtaler penetrerende ryggmargsskader. Et unntak er Peacock og medarbeidere (3) som over en 13-årsperiode har etterundersøkt 450 pasienter med ryggmargsskade etter knivstikk. Over halvparten hadde Brown-Se…quards syndrom. Nesten to tredeler kunne etter endelig behandling og rehabilitering gå uten støtte eller med minimalt behov for hjelpemidler. For vår del er dette en ny skadetype. Dersom forekomsten av grov vold øker i vårt samfunn, er dette skader vi kanskje kan forvente å se oftere i fremtiden.

    Omkring 1850 beskrev den fransk-amerikanske legen og fysiologen Charles Edouard Brown-Se…quard (1817 – 94) på eksperimentelt grunnlag motoriske og sensoriske utfall av hemiseksjon av medulla spinalis (4). De motoriske banene krysser midtlinjen i decussatio pyramidalis i overgangen mellom ryggmarg og hjernestamme. Sensoriske fibrer for smerte og temperatur krysser midtlinjen cirka i samme nivå som de kommer inn i ryggmargen og forløper videre i de laterale spinotalamiske baner. Fibrer for dyp sensorikk (leddsans, vibrasjon, diskriminasjon) går i bakstrengene og krysser, som de motoriske banene, ikke midtlinjen før i hjernestammenivå. Derfor vil et klassisk Brown-Se…quards syndrom med ensidig hemiseksjon av ryggmargen gi et karakteristisk sensibilitetstap med bortfall av smerte- og temperatursans på frisk side og tap av vibrasjons-, diskriminasjons- og leddsans på skadet side. Motoriske utfall vil oppstå på skadet side. Sensibilitet for lett berøring er dobbelt representert i ryggmargen og vil i liten grad affiseres. Ved penetrerende skader får man således varianter av det klassiske Brown-Sequards syndrom. Det dreier seg om partielle overkjæringer eller skader som også krysser midtlinjen og symptomgivende ødem og hematomer i ryggmargen (5), noe begge våre pasienter viser eksempler på.

    Ved stikkskader i ryggmargen kommer nevrologiske utfall vanligvis akutt, men kan også opptre etter timer eller dager (6). Uansett er det viktig at mistanken vekkes selv med beskjedne ytre skader. Lekkasje av cerebrospinalvæske kan komme umiddelbart, men ikke nødvendigvis. Radiologisk diagnostikk er nyttig for å vurdere skadeomfanget. Konvensjonelle bilder samt CT vil avdekke både skjelettskader og eventuelle gjenværende fremmedlegemer. I tillegg vil CT spesielt kunne påvise intraspinal luft som tegn på penetrerende skade (7). CT vil også kunne påvise hematomer og traumatiske prolapser (7). MR gir imidlertid en mer detaljert oversikt over skader i bløtvev og spesielt i medulla (fig 1, 2). Man vil kunne se laserasjoner og skille mellom ødem og hematomer intraspinalt (5, 7). Slik er MR informativt både for terapi og prognose ved denne type skader. Vi vil likevel understreke betydningen av nøyaktig klinisk diagnostikk. Ut fra kliniske funn bør man raskt kunne fastslå skadenivå. I tillegg må man vurdere om andre organer kan være skadet (oesophagus, lunger, store halskar).

    Omfanget av den kirurgiske behandlingen i akuttfasen er gjenstand for diskusjon (6). Ved stasjonære nevrologiske utfall har man sett tilfredsstillende resultater etter konservativ behandling med overflatisk revisjon av såret og profylaktisk bruk av antibiotika (3). Dette forutsetter at kontaminert vev fjernes eller rengjøres grundig. Selve skaden av medulla er imidlertid definitiv og kan ikke repareres kirurgisk. Noen anbefaler likevel akutt kirurgi på den intraspinale skaden (2, 8). Dersom det foreligger et spinalt epiduralt hematom som årsak til de nevrologiske utfall, vil pasienten kunne gjenvinne full funksjon ved rask operasjon. Derfor ville MR som øyeblikkelig hjelp-undersøkelse være verdifullt for behandlingen i akuttfasen.

    Ellers er målet med den kirurgiske behandlingen å forhindre komplikasjoner som cerebrospinalvæskelekkasje og meningitt eller utvikling av syringomyeli (cystedanning i ryggmarg som følge av skadet nervevev) (2, 8, 9). Vedvarende lekkasje av cerebrospinalvæske eller intraspinalt fremmedlegeme er klare indikasjoner for kirurgi på den intraspinale skaden (6). Det samme gjelder progredierende nevrologiske utfall som kan skyldes et voksende hematom eller at ryggmargen på grunn av ødem hernierer gjennom durariften (9). Konservativ behandling forutsetter derfor erfaring med disse pasientene og nøye observasjon. Gentleman & Harrington omtaler to pasienter som utviklet meningitt etter overflatisk sårrevisjon og profylaktisk behandling med antibiotika (10).

    Konklusjon

    Konklusjon

    Pasienter med penetrerende skader i nakke/hals anbefaler vi blir observert i sykehus selv om det ikke foreligger nevrologiske symptomer. Ved nevrologiske utfall bør behandlingen fra starten av foregå i nevrokirurgisk avdeling. Fordi vi får liten erfaring i å vurdere pasienter med slike skader, mener vi det er sikrest tidlig å eksplorere skaden intraspinalt og reparere duraskader på alle selv om enkelte som har behandlet mange pasienter, har få komplikasjoner med konservativ behandling.

    Kommentarer  ( 0 )

    Anbefalte artikler