Magnetisk resonanstomoartrografi av hofteledd ved klinisk mistanke om ruptur av labrum acetabulare

    ()

    sporsmal_grey_rgb
    Abstract

    Magnetisk resonanstomoartrografi med direkte punksjon og instillasjon av kontrastmedium i hofteledd er en minimalt invasiv diagnostisk teknikk hos pasienter der det er klinisk mistanke om acetabulær labrum-skade.

    Hofteleddet blir utspilt, og de intraartikulære strukturene blir bedre skilt fra hverandre. Vi har brukt denne undersøkelsesmetoden på 31 pasienter. Punksjonsteknikk med normal og patologisk labrum vil bli beskrevet.

    MR-artrografi av hofteledd er velegnet i utredningen av pasienter med suspekt labrumskade.

    Abstract

    Introduction. MR arthrography by direct joint puncture and instillation of contrast medium is a minimally-invasive diagnostic technique in patients with suspected acetabular labral tear. The joint is distended, and the intraarticular structures are well separated.

    Material and methods. 31 patients with chronic hip joint pain underwent MR arthrography by direct joint puncture and instillation of diluted gadolinium to evaluate the glenoid labrum.

    Results. The glenoid labrum was seen in all patients. Labral tear was found in ten patients. Two of these underwent arthroscopy, and the tears were verified. We also found other causes of hip pain. One patient with villonodular synovitis at MR arthrography was verified at arthroscopy.

    Interpretation. MR arthrography is a promising diagnostic technique for evaluating the acetabular labrum.

    Artikkel

    Bildediagnostisk utredning av pasienter med intraartikulære hofteleddssmerter har vært vanskelig fordi undersøkelsesmetodene har vært for dårlige til å skille de intraartikulære strukturene. Differensialdiagnostiske årsaker til disse hoftesmertene er labrumruptur, frie legemer, synovitt, degenerativ sykdom og bruskskader. I den senere tid er man blitt klar over at skade av labrum er en relativ hyppig årsak til kroniske hoftesmerter (1, 2).

    Labrumruptur kan sees hos pasienter med gjennomgått hoftetraume (3) og dysplasi eller hos mennesker uten noen predisponerende faktorer.

    Labrumruptur kan oppstå langs hele labrums lengde. Imidlertid sees de fleste rupturene i fremre del. Tidlig diagnostikk og kirurgisk intervensjon med reseksjon kan gi smertefrihet og forhindre utvikling av degenerativ leddsykdom (4).

    Materiale og metode

    Materiale og metode

    Vi har fortløpende undersøkt 31 pasienter med MR-artrografi (sju menn og 24 kvinner). Gjenomsnittalderen var 25 år (16 – 62 år). Alle pasientene klaget over hoftesmerter. Noen av pasientene hadde også en ”klikkfølelse” ved bevegelse.

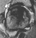
    Etter at det er tatt konvensjonelle røntgenbilder av det aktuelle hofteleddet, blir pasienten lagt på ryggen på et gjennomlysningsbord. En assistent står ved fotenden og trekker i ekstremiteten samtidig som den blir rotert innover. Dette frembyr en liten utposning av leddkapselen medialt ved collum femoris som vil være lett tilgjengelig for punksjon. Under sterile forhold rettes en 20 gg nål ved hjelp av gjennomlysning mot dette området. Man stikker lateralt for a. femoralis. Det settes forsiktig 1 % Xylocain. Hvis man ikke kjenner noen motstand under instillasjonen, er nålen sannsynlig plassert intraartikulært. For å verifisere dette settes det forsiktig ikke-ionisk kontrastmiddel (fig 1). Dersom kontrastmidlet legger seg rundt collum og caput femoris, settes det fortynnet gadolinium (fortynnet til 0,2 mmol/l). I alt settes det 6 – 8 ml væske. Pasienten får beskjed om å bevege hoften. Et røntgenbilde tas for å verifisere at nålen er kommet intraartikulært og for å se etter eventuelle større patologiske forandringer, som avansert synovitt eller større frie legemer.

    Pasienten blir deretter overført til MR-laboratoriet. Vi har en 1 tesla-maskin (Siemens Magnetom Expert). En fleksspole legges rundt hofteleddet. Rutinemessig kjøres koronal T1-vektet, T2-vektet STIR (STIR = short T1 inversion recovery), gradientekko T1-vektet med fettsuppresjon (GrE T1 FS) og aksial GrE T1 FS. Enkelte ganger har vi supplert med skrå sagittal GrE T1 FS. Vi bruker gradient sekvens-teknikken fordi den gir tynnere snittføring enn spinekkosekvensen. Den T1-vektede serien brukes primært som anatomisk oversikt. T1-vektede FS-serier blir brukt til intraartikulær diagnostikk. STIR-serien brukes primært for undersøkelse av beinmargen, idet patologisk beinmarg vil lyse opp. Dessuten vil vi kunne diagnostisere periartikulære patologiske prosesser som for eksempel peritrokanteritt og periartikulære cyster som ikke står i forbindelse med hofteleddet.

    Vi brukte Czerny og medarbeideres klassifikasjon av labrumskader ved MR-artrografi (2). Stadium 0 er normal labrum. Stadium 1 viser økt intralabral signalintensitet, forenlig med degenerativ labrum. Stadium 2 viser imbibering av kontrast inn i labrum, forenlig med ruptur. Stadium 3 viser kontrast mellom labrum og acetabularbrusken, forenlig med avrivning av labrum fra acetabulum. Ved bevart recess i stadium 1 – 3 brukes A i tillegg, mens det ved manglende fremstilling av sulcus brukes bokstaven B. Stadium B tilsier at labrum er hypertrofiert. I praksis betyr det at stadium 2 og stadium 3 viser patologiske forandringer i labrum som vil kunne behandles med ortopedisk intervensjon.

    Resultater

    Resultater

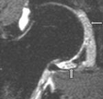
    Tabell 1 viser våre funn. Labrum ble tydelig fremstilt på alle MR-artrogrammene. Normal labrum er triangulær i tverrsnitt og med lavt signal. Den er tynnere anteroinferiort og tykkere posterosuperiort. Nedad går den sammen med ligamentum transversum. Den perilabrale recess sees normalt superiort hvor leddkapselen hefter seg noen millimeter over øvre del av labrum (fig 2). Denne recess er mye mindre anteriort og posteriort.

    Tabell 1  

    MR-artrografi hos 31 pasienter

    Antall

    Funn

    pasienter

    Labrumruptur

    10¹

    Degenerativ labrum

     5

    Normal labrum

    10

    Bursa iliopectineus

     3²

    Corpora libera

     1

    Avaskulær nekrose

     2³

    Villonodulær synovitt

     1⁴

    Subkortikalt margødem

     1⁵

    Pertitrokanteritt

     1⁶

    2 operativt verifisert1 med ødem i m. IlipsoasAlle hadde labrumrupturOperativt verifisert+ labrumrupturNormal labrum

    Degenerativ labrum viste økt signalintensitet i labrum uten affeksjon av overflaten med inntakt recess hos to pasienter (fig 3) og med manglende fremstilling av recess hos tre pasienter (fig 4). Sistnevnte ansees forårsaket av labrumhypertrofi. Labrumruptur ble diagnosisert hos ti pasienter. Ruptur ble beskrevet når man kunne identifisere kontrast mellom labrum og acetabulum (fig 5) eller imbibering av kontrast i labrum (fig 6). Alle rupturene satt i øvre del av labrum.To av disse pasientene er operert, og vårt funn ble verifisert. Begge var aktive fotballspillere, og de hadde henholdvis stadium 2B og stadium 3B ved MR-artrografi. Dette samsvarte med de artroskopiske funn. Den tredje pasienten som er operert, viste forandringer forenlig med villonodulær synovitt. Også dette ble verifisert ved artroskopi (fig 7).

    De andre funnene som kunne forklare hoftesmertene var frie legemer (én pasient), bursa iliopectineus (tre pasienter), avaskulær nekrose (to pasienter) og peritrokanteritt (en pasient). Hos en pasient var det i tillegg til labrumruptur også subkortikalt margødem i caput femoris. Hos ti pasienter kunne vi ikke finne noen patologiske forhold i eller omkring hofteleddet.

    Diskusjon

    Diskusjon

    Acetabulær labrum-skade er en av flere årsaker til kroniske hofteleddssmerter hos pasienter med tidligere hoftetraume eller hofteleddsdysplasi, men sees også hos pasienter uten tidligere kjent skade eller dysplasi. Hoftesmertene er ofte ledsaget av et klikk eller en kneppende lyd ved bevegelse. Av og til har pasientene en følelse av at hoften ”gir etter”. Konvensjonelt røntgenbilde av hofteleddene er som oftest helt negative eller kan vise dyplastiske forandringer uten at man får noen informasjon om labrum. I vårt materiale var det en pasient med lette dyplastiske forandringer, men hvor labrum var helt normal ved MR-artrografi.

    Artrografi, både med enkel og dobbelt kontrastmetode, samt computertomografi har dessverre ikke vært velegnet til å fremstille patologiske forhold (2, 5 – 7). Magnettomografi har fungert bra når det gjelder å vurdere degenerative forandringer i labrum, men dårlig ved labrumrupturer (2, 7, 8). De intraartikulære strukturer ligger for tett på hverandre. Flere studier har vist at MR-artrografi er godt egnet til å fremstille labrum (9, 10 – 12). Undersøkelsen er langt bedre enn vanlig MR av hofteleddet (2, 13). Ved å spile ut leddet med kontrast får man separert de intraartikulære strukturene. Uten kontrast vil disse strukturene ligge tett inntil hverandre, og man får lett såkalt partielt volumartefakt. Det kan føre til falskt positive funn, idet man kan se høysignalområder i tilslutning til labrum.

    Normal labrum er trekantet og lavsignalgivende ved MR-artrografiseriene, bortsett fra tilheftingen av labrum til acetabulærbrusken, hvor det er et lite, fokalt område med høyere signalintensitet. Dette representerer sannsynligvis degenerativt bindevev her. Ved konvensjonell MR kan man overdiagnostisere en ruptur (7), men ved MR-artrografi vil det ikke være noen imbibering av kontrast.

    Det er mulig at stadium 1B predisponerer for ruptur og degenerativ leddlidelse, idet denne type labrum utøver en mekanisk tilpasningsprosess til hofteleddets biomekaniske krefter (7). Det finnes imidlertid ikke noen studier der man har fulgt disse pasientene over tid.

    Hos tre pasienter fant vi en væskefylt bursa iliopectineus. Disse ble fremstilt pga. en defekt i leddkapselen mellom ligamentum iliofemorale og ligamentum pubofemorale. I seg selv er dette ikke patologisk, men av og til kan bursa bli så stor at den forårsaker trykk på nærliggende strukturer. Hos en av pasientene forårsaket bursa økt muskelbelastning i m. iliopsoas med ødem. Bursa ilipectoneus ligger lateralt for iliopsoassenen. Ekstraartikulære cyster og ganglia er som regel medialt for senen og i nær relasjon til labrum.

    En påvisning av en ganglion i relasjon til labrum indikerer at det har foreligget labrumruptur, selv om man ikke kan se selve rupturen ved MR-artrografiundersøkelsen. Dette er analogt til påvisning av ganglia i glenohumeralleddet og parameniskiale cyster i kneleddet (14, 15).

    Verken MR eller MR-artrografi av hofteleddet er spesielt effektivt til tidligdiagnostikk av bruskdefekter (16). Ved store defekter (grad 3 og 4) er det lettere å påvise de patologiske forandringene. Vi kunne ikke påvise noen bruskdefekter. To av pasientene som er blitt artroskopert, hadde normal brusk. Den tredje pasienten hadde et lite område med bruskskade i tilslutning til labrumrupturen.

    MR-artrografi med direkte leddpunksjon og instillasjon av kontrast er en metode som tolereres godt av pasientene. Robbins og medarbeidere (17) fikk 100 pasienter til å fylle ut et skjema om den subjektive redselen forut for undersøkelsen og hva de opplevde. Seks pasienter syntes undersøkelsen var mer smertefull enn forventet, men fem av dem mente at smertene var verdt de diagnostiske informasjonene.

    Konklusjon

    Konklusjon

    MR-artrografi av hofteleddet gir detaljert informasjon om labrum og er konvensjonell MR-undersøkelse overlegen Derfor bør pasienter med hoftesmerter der det er klinisk mistanke om patologiske forhold i labrum henvises til MR-artrografi.

    Kommentarer  ( 0 )

    Anbefalte artikler